AOTRAUMA.ORG Центр Илизарова  

Ортопедия и травматология Общие вопросы/General questions Help Информационные технологии в медицине
 вверх
 отправить
 поиск
 админ
 главная
 Предыдущее
 Весь тред


Re: Деформация голеней
T. Derek V. Cooke 12 Сентябрь 2005, 21:48
Hello Mangal:
Very nice correction but, to my eye there is some 'over' correction of the tibia, now in some proximal valgus?
What is the hka?
What about the P/F joint orientation.

Alex, with your permission I will run our alignment analaysis program on your long leg views and give you some correction options?
Regards
Derek
  • Сообщения о Ортопедия и травматология
  • Также T. Derek V. Cooke
  • Связаться с автором
  • Ответить

    Re: Деформация голеней
    Alexander Chelnokov 12 Сентябрь 2005, 22:01
    TDVC> Alex, with your permission

    No permission required. You have your own copies of images and may
    do anything without any harm to originals ;-)

    TDVC> I will run our alignment analaysis program on your long leg
    TDVC> views and give you some correction options?

    It is very interesting! Pls do, it will be greatly appreciated.
    [ Ответить ]

    • Re: Деформация голеней
      Отправитель: T. Derek V. Cooke 13 Сентябрь 2005, 23:51
      Hello Alex:
      Thanks for the clinical photo.
      Your patient appears to have "Insquinting Knees"?
      I am attaching a word doc with a 'print screen' of the program in use, showing the images being viewed and analysed








      . On the right leg you can see some of the tools (from the tool bar above) applied to demonstrate a mild mech-axis varus of about 5 degrees.
      On the left the bone landmarks used in the anlaysis are shown.
      The data for the analysis are in the XLs sheet below, exported from the program automatically.
      I have given a label of the abreviations and some normative values.
      In essence she has a mild mech-axis varus of 7 degrees with some contribution from the femur (2) degrees and more from the tibia (6 degrees), none from the joint.
      The analysis took about 6 mins.
      Regards
      Derek

      [ Ответить ]
      • Re: Деформация голеней
        Отправитель: Alexander Chelnokov 14 Сентябрь 2005, 00:00
        TDVC> Your patient appears to have "Insquinting Knees"?

        Exactly.

        TDVC> In essence she has a mild mech-axis varus of 7 degrees
        TDVC> with some contribution from the femur (2) degrees and more from
        TDVC> the tibia (6 degrees), none from the joint.

        And what is conclusion? Should it be corrected, by what means, at what level, to what axis, with what lateral/medial translation?

        TDVC> The analysis took about 6 mins.

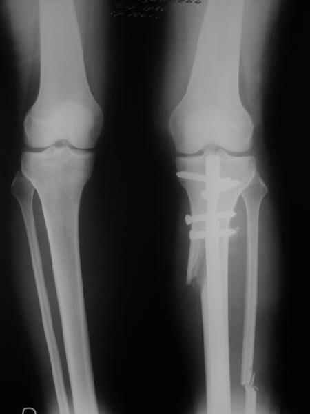
        THX to all people discussed the case.

        Yesterday i performed correction of one leg (the plan to make both in one session was cancelled because of some external reasons). Suggestions of Nuno Lopes were most close to my view. A small wire distractor was used intraoperatively. Derotation ~6-7 degrees was performed also. CT scans evaluating rotation will be available only
        tomorrow. No problem to change rotation of the operated limb in the moment of the second surgery. Comments/critics are welcome.













        Can the attached result be analyzed by the software?

        [ Ответить ]

     

    ( Ответить )

    Powered by Zope  Squishdot Powered MedLink
    Посетитель: 0014688
      "По форме правильно, а по существу - издевательство" В.И.Ленин
    ©2001-2019Orthoforum Coordinator.
    [ Главная | Отправить сообщение | Поиск | Админ ]