Ответить
|
Re: Деформация голеней
Alexey Mozgounov 11 Сентябрь 2005, 01:39
|
Dear Alexander,
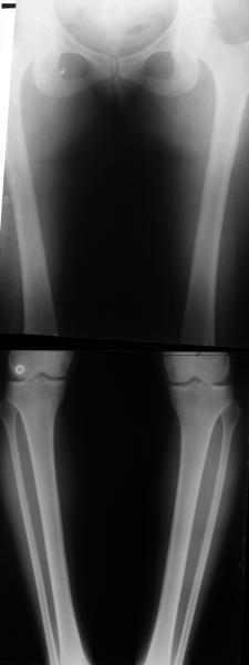
AC> Обратилась дама 25 лет. Вынуждена ходить в брюках из-за genu varum,
AC> что побудило обратиться за коррекцией.
Сейчас это модно (в смысле косметическая коррекция)... Хотя, судя по фото - в данном случае енто вполне оправдано...
AC> коррекция варуса за счет кортикотомии проксимальных отделов tibiae,
AC> чрескожная остеотомия малоберцовых.
Кортикотомия... хм... в большинтсве случае томия имеет место более чем кортико... поэтому мое частоное мнение, что речь должна идтить об остеотомии, а кортико или там иной - отдельный вопрос...
Проксимально - да.
AC> Однако есть разногласия по деталям, был бы признателен за советы,
AC> особенно от коллег, имеющих опыт эстетической коррекции.
Эстетическая коррекция... Вообще о такой заявляли в Волгограде, Питере и ... гдето еще... не помню... Но в принципе... Любая коррекция деформаций, вальгусных или врусных, подразумевает под собой долю (?) эстетики? или не так? Зачем же тогда коррегировать? Болезнь Блацнта например?
Варус?
Варус...
Эстетика?
Эстетика...
А потому любой детский ортопед должен (!!!) при коррекции варуса думать и об эстетике...
Может быть в этом проблема и состоит, что детских/подростковых ортопедов не принимают за эстетических/косметических? Или не хотят принимать?
AC> Где в данном случае оптимальный уровень уровню остеотомии? Сразу ниже
AC> бугристости? Вроде можно и дистальнее и на 2, и на 4 см...
Возможно и на ... в смысле ниже... более 4 см... а смысл?
AC> Стоит ли
AC> медиализировать дистальный фрагмент?
А зачем?
AC> Пданируется поперечная остеотомия
AC> и открытый клин - это приемлемо?
Приемлимо... Но сроки созревания дистр. регенерата...?
AC> Или шарнирная или какая-нибудь
AC> косая будут чем-то лучше?
Косая, на мой взгляд, это из того же самого раздела, что и поперечная (из которой, кстати, ПОПЕРЕЧНОЙ, возникает и открытый клин... или нгетак?)
В данном случае (раз об удлиннении не идет речь) луше шарнирная (или элипсовидная? мое мнение - кому как удобнее...)
Дело в том, что при фиксации в аппарате, любая дисконгуентность остеотомии прекрсно компенсируентся стабильностью в аппарате...
А что шарнирная или элипсовидня... особых различий нет... по крайней мере в степени коррекции...
Или не так?
--
Best regards,
~~~~~~~~~~~~~~~~~~~~~~~~~~~~~~~~~~~~~~~~~~~~~~
Aleksey V. Mozgounov, M.D., Ph.D.,
Department of Pediatric and Adolescents
Traumatology and Orthopaedics,
Research Centre of Tatarstan
"Rehabilitation Traumatology and Orthopaedics",
3, Gorky str., Kazan 420015, Russia
|
[
Ответить ]
|
Re: Деформация голеней
Отправитель: Alexander Chelnokov 11 Сентябрь 2005, 14:31
|
AVM> остеотомии, а кортико или там иной - отдельный вопрос...
Да, это больше отражает наше намерение ловко пересечь стенки, не повредив содержимое канала.
AVM> Эстетическая коррекция... Вообще о такой заявляли в Волгограде, Питере
Хотелось бы узнать мнение А.А.Артемьева, чья докторская диссертация посвящена корекции формы ног в эстетической и реконструктивной хирургии. У Л.Н.Соломина и К.У.Кудзаева в этой области опыт большой. Наши коллеги из Кургана. Возможно, есть и другие участники, кто в этой проблеме ориентируется.
AVM> Возможно и на ... в смысле ниже... более 4 см... а смысл?
Добиться максимально точного воссоздания механической и анатомической осей.
AC>> Стоит ли медиализировать дистальный фрагмент?
AVM> А зачем?
Для уменьшения западения на медиальной стороне голени. Мне кажется, не нужно, вроде тканей достаточно.
AC>> Пданируется поперечная остеотомия и открытый клин - это приемлемо?
AVM> Приемлимо... Но сроки созревания дистр. регенерата...?
Вспоминали как-то работу Р.Бородайкевича (Курган) - при углах до 25 градусов по срокам нет разницы, делать с клиновидным регенератом, или одномоментно.
AVM> Косая, на мой взгляд, это из того же самого раздела, что и поперечная
AVM> (из которой,кстати,ПОПЕРЕЧНОЙ, возникает и открытый клин... или нгетак?)
Открытый клин - конечно, но линия длиннее, срастается на большей площади. Вершина может куда-то выстоять, влияя на внешний вид. Может, еще какие-то нюансы есть.
AVM> В данном случае (раз об удлиннении не идет речь) луше шарнирная (или
Шарнирную через разрез 0,5 см не сделать.
AVM> Дело в том, что при фиксации в аппарате, любая дисконгуентность
AVM> остеотомии прекрсно компенсируентся стабильностью в аппарате...
Меня заботит не контакт отломков, скорее всего будет клиновидный дефект, и ладно. Стабильность фиксации - дело временное, а вот достигнутое положение - хотелось бы, чтобы насовсем. Вот и надо "семь раз отмерить".
AVM> А что шарнирная или элипсовидня... особых различий нет... по крайней
Можно шарнирную сводом вверх, или вниз, поперечную или косую выше, ниже, скосом туда или сюда - угол делаем один и тот же, но оси будут по разном располагаться из-за разного положения осей вращения и смещения по ширине. Вот и хотелось бы получить практический совет для данного случая. А то после прсмотра книжки D.Paley все пока еще в голове не улеглось, и только вопросов больше стало...
|
[
Ответить ]
|
Re: Деформация голеней
Отправитель: Alexey Mozgunov 11 Сентябрь 2005, 14:41
|
AC> Да, это больше отражает наше намерение ловко пересечь стенки, не
AC> повредив содержимое канала.
Ловкое пересечение как правило сводится к разрубанию переднего и боковых кортикалов, а задний элементарно надламывается вручную...
Чтобы не писалось в работах, но на этапах перерубания (пересечения) и надламывания интрамедулл. канал затрагивается. А учитывая его диаметр в верхн.3 - весьма существенно. Поэтому термин "кортикотомия" суть на практике определение, существующее в большинтсве случаев только на бумаге (протокол операции). Но это конечно же только мое личное мнение...
AVM>> Возможно и на ... в смысле ниже... более 4 см... а смысл?
AC> Добиться максимально точного воссоздания механической и анатомической
AC> осей.
Скорее всего речь должна идти о приемлемом косметическом уровне с точки зрения расположения мягких тканей верхней трети голени...
Но были бы кости - мясо нарастет, когда будет создан легкий вальгус - при ходьбе в процессе наружной девиации голени в одноопорную фазу внутренняя часть икроножной мышцы более контурируется... накачается...
AC>>> Стоит ли медиализировать дистальный фрагмент?
AVM>> А зачем?
AC> Для уменьшения западения на медиальной стороне голени. Мне кажется, не
AC> нужно, вроде тканей достаточно.
См. выше...
AC>>> Пданируется поперечная остеотомия и открытый клин - это приемлемо?
AVM>> Приемлимо... Но сроки созревания дистр. регенерата...?
AC> Вспоминали как-то работу Р.Бородайкевича (Курган) - при углах до 25
AC> градусов по срокам нет разницы, делать с клиновидным регенератом, или
AC> одномоментно.
Поперечная остеотомия и 25 гр. - это сколько в сантиметрах?
ПРи чистой шарнироной остеотоми сроки аппарата будут порябка 2,5-3
мес. В том смысле что аппарат сняли и больной 25 лет пощел "своими"
ногами. При остеотомии с клином на 25 гр. - плюс 1 мес. Примерно. А
работы это отдельный разговор... В другой плоскости...
AVM>> В данном случае (раз об удлиннении не идет речь) луше шарнирная (или
AC> Шарнирную через разрез 0,5 см не сделать.
А для поперечной/косой "кортикотомии" эти о,5 см- реальны? Или это
опять таки из разряда записей в истории болезни?
1,0-1,5-2,0 - вот на мой взгляд реально рабочие числа...
И то при этом после всех манипуляций по удлинению требуютя
косметические швы на рубец, через который рубили, и рубцы, которые
остались после спиц на фоне удлинения.
AVM>> Дело в том, что при фиксации в аппарате, любая дисконгуентность
AVM>> остеотомии прекрсно компенсируентся стабильностью в аппарате...
AC> Меня заботит не контакт отломков, скорее всего будет клиновидный
AC> дефект, и ладно. Стабильность фиксации - дело временное, а вот
AC> достигнутое положение - хотелось бы, чтобы насовсем. Вот и надо "семь
AC> раз отмерить".
ПРи genu varum сплошь и рядом бывает нулевая или внутренняя торсия
лодыжечной вилки... Соответвественно при коррекции варуса возникает
необходимость и в коррекции патологической торсии... И какую бы супер
пупер шарнирную остеотомию кто не делал при устранении торсии возникает тот
самый "дефект" между отломками. Поэтому речь о стопроцентом контакте и
не идет.
Судя по снимку у девушки имеется внутренняя установка надколенников...
Как у нее с торсионным статусом? Бедро? Голень? КТ? Торсиометры? А то, куда будут
смотреть надколенники после вашей коррекции - тоже существенный
косметический момент. Или не так?
AVM>> А что шарнирная или элипсовидня... особых различий нет... по крайней
AC> Можно шарнирную сводом вверх, или вниз, поперечную или косую выше,
AC> ниже, скосом туда или сюда - угол делаем один и тот же, но оси будут
AC> по разном располагаться из-за разного положения осей вращения и
AC> смещения по ширине. Вот и хотелось бы получить практический совет для
AC> данного случая. А то после прсмотра книжки D.Paley все пока еще в
AC> голове не улеглось, и только вопросов больше стало...
Александр, а не могли бы вы представить ваши схемы расчета? С учетом
осей?
|
[
Ответить ]
|
Re: Деформация голеней
Отправитель: Alexander Chelnokov 11 Сентябрь 2005, 15:12
|
AVM> Ловкое пересечение как правило сводится к разрубанию переднего и
Да в курсе я, конечно, и иллюзий не питаю. Но картинки с пересеченной костью и целыми внутрикостными сосудами видел, и вполне бесспорно, что если удается сохранить их, то заживает быстрее.
AVM> Скорее всего речь должна идти о приелемом косметическом уровне с точки
AVM> зрения расположения мягких тканей верхней трети голени...
Во-о-о-т. То есть правомочна такая мотивация. А то идеально с точки зрения биомеханики все может быть расположено иначе.
AVM> девиации голени в одноопорную фазу внутренняя часть икроножной мышцы
AVM> более контурируется... накачается...
Да, у меня те же препдополжения... Если Саша Артемьев не переубедит
;-)
AVM> Поперечная остеотомия и 25 гр. - это сколько в сантиметрах?
Тут должно быть менее 1 см.
AVM> ПРи чистой шарнироной остеотоми сроки аппарата будут порябка 2,5-3
[Шепотом] Не хочу аппаратом фиксировать, гвозди планирую...
AVM> А для поперечной/косой "кортикотомии" эти о,5 см- реальны? Или это
Ну близко к тому. 0,5-1 см.
AVM> ПРи genu varum сплошь и рядом бывает нулевая или внутренняя торсия
AVM> лодыжечной вилки... Соответвественно при коррекции варуса возникает
Клинически глядел - вроде нету большой торсии.
AVM> Судя по снимку у девушки имеется внутренняя установка надколенников...
AVM> Как у нее с торсионным статусом? Бедро? Голень? КТ? Торсиометры?
Похоже, немного есть. Думаю пренебречь.
AVM> смотреть надколенники после вашей коррекции - тоже существенный
AVM> косметический момент. Или не так?
Полагаю, останется куда сейчас смотрят. Для изменения надо надбугорковую остеотомию делать.
AVM> Александр, а не могли бы вы представить ваши схемы расчета? С учетом
Вот, с учетом и без учета, и на разных уровнях...
Саша Артемьев, может, для данного случая свой вариант нарисуешь?
|
[
Ответить ]
|
Re: Деформация голеней
Отправитель: Alexander Artemiev 11 Сентябрь 2005, 15:24
|
Приветствую.
AC> Во-о-о-т. То есть правомочна такая мотивация. А то идеально с точки
AC> зрения биомеханики все может быть расположено иначе.
AVM>> девиации голени в одноопорную фазу внутренняя часть икроножной мышцы
AVM>> более контурируется... накачается...
Усложняете вы всё.
Слова-то какие. Девиация, одноопорная фаза...
Оставьте...
AC> Да, у меня те же препдополжения... Если Саша Артемьев не переубедит
AC> ;-)
Чего изволите?
AC> {Шепотом} Не хочу аппаратом фиксировать, гвозди планирую...
Внутренний остеосинтез в таких ситуациях привлекателен.
Хотя есть аргументы ЗА и ПРОТИВ.
Точнее есть преимущества того или иного метода.
Основной недостаток внутреннего остеосинтеза - одномоментная коррекция с отсутствием возможности что-либо исправить потом.
Эти пациенты - очень специфический контингент. Что-то не понравится, будет предъява... Вдруг захочет из О сделать Х или наоборот.
AC> Клинически глядел - вроде нету большой торсии.
Читайте Пэлея...
AVM>> Судя по снимку у девушки имеется внутренняя установка надколенников...
AVM>> Как у нее с торсионным статусом? Бедро? Голень? КТ? Торсиометры?
Совсем-то уж усложнять не надо. Хуже чем есть не будет.
AC> Вот, с учетом и без учета, и на разных уровнях...
AC> Саша Артемьев, может, для данного случая свой вариант нарисуешь?
Из приведнной схемы не совсеим понял что означают разноцветные линии.
И зачем латерализация периферического фрагмента. Я всегда делаю медиализацию. См схему. И для данного случая медиализация подходит как нельзя лучше.
|
[
Ответить ]
|
Re: Деформация голеней
Отправитель: Alexander Chelnokov 11 Сентябрь 2005, 15:58
|
a> Усложняете вы всё.
a> Слова-то какие. Девиация, одноопорная фаза...
a> Оставьте...
Дак Палея начитавшись, еще и не про то заговоришь...
AC>> Да, у меня те же препдополжения... Если Саша Артемьев не переубедит
AC>> ;-)
a> Чего изволите?
Да не хочу я медиализацию тут делать. Если ты не переубедишь ;-)
AC>> {Шепотом} Не хочу аппаратом фиксировать, гвозди планирую...
a> Внутренний остеосинтез в таких ситуациях привлекателен.
А как же.
a> Основной недостаток внутреннего остеосинтеза - одномоментная коррекция
a> с отсутствием возможности что-либо исправить потом.
С чем и связано занудное желание все уточнить-прояснить.
a> Эти пациенты - очень специфический контингент. Что-тог не понравится,
a> будет предъява... Вдруг захочет из О сделать Х или наоборот.
Не хотелось бы. Но если что - тут аппарат и пригодится.
AC>> Клинически глядел - вроде нету большой торсии.
a> Читайте Пэлея...
Страницу укажи?
AVM>>> Как у нее с торсионным статусом? Бедро? Голень? КТ? Торсиометры?
a> Совсем-то уж усложнять не надо. Хуже чем есть не будет.
Согласен.
a> Из приведнной схемы не совсеим понял что означают разноцветные линии.
Черные - это нынешняя механическая ось. Красные - это планируемая правильная ось.
a> И зачем латерализация периферического фрагмента.
;-) Читайте Палея. Стр. 114-115.
a> Я всегда делаю медиализацию. См схему. И для данного случая
Медиализация - это чисто эстетический прием, как я понимаю. Поскольку если делать остеотомию ниже вершины деформации, для восстановления оси надо делать смещение по ширине, в данном случае как раз латерализацию.
А вот на схемке без осей - там на разных уровнях (который правильнее?) устранение варуса чисто открытым клином без медиализации-латерализации. Если как-то так сделать - этого недостаточно будет?
|
[
Ответить ]
|
Re: Деформация голеней
Отправитель: Alexander Artemiev 11 Сентябрь 2005, 15:00
|
Здравствуйте, коллеги.
AVM>> остеотомии, а кортико или там иной - отдельный вопрос...
AC> Да, это больше отражает наше намерение ловко пересечь стенки, не
AC> повредив содержимое канала.
Лукавство это.
AVM>> Эстетическая коррекция... Вообще о такой заявляли в Волгограде, Питере
Ну и в Москве, конечно:)
AC> Хотелось бы узнать мнение А.А.Артемьева, чья докторская диссертация
AC> посвящена корекции формы ног в эстетической и реконструктивной
AC> хирургии.
Хочешь - узнавай:)
AVM>> Возможно и на ... в смысле ниже... более 4 см... а смысл?
Чем дальше от сустава - тем проще и технически, и больным легче переносится.
AC>>> Стоит ли медиализировать дистальный фрагмент?
AVM>> А зачем?
Красива...
Это значительно улучшает эстетический эффект, придавая полноту ногам.
Мне лично нравится:)
Технически при отсутствии опыта может показаться немного сложным. При навыке занимает минут 10.
И при этом не выходит за пределы нормальной оси.
AVM>> Косая, на мой взгляд, это из того же самого раздела, что и поперечная
AVM>> (из которой,кстати,ПОПЕРЕЧНОЙ, возникает и открытый клин... или нгетак?)
Совершенно верно.
AC> Открытый клин - конечно, но линия длиннее, срастается на большей
AC> площади. Вершина может куда-то выстоять, влияя на внешний вид. Может,
AC> еще какие-то нюансы есть.
Не нужно вырубать клин, если, конечно об этом идет речь. Это пережитки доилизаровской эпохи.
AVM>> Дело в том, что при фиксации в аппарате, любая дисконгуентность
AVM>> остеотомии прекрсно компенсируентся стабильностью в аппарате...
Золотые слова
AC> Меня заботит не контакт отломков, скорее всего будет клиновидный
AC> дефект, и ладно. Стабильность фиксации - дело временное, а вот
AC> достигнутое положение - хотелось бы, чтобы насовсем. Вот и надо "семь
AC> раз отмерить".
Не нужно ничего отмерять, рисовать т.н скиаграммы. В аппарате всё можно довести до идеала в течение 1-1,5 мес, пока регенерат не сросся.
Возложите эту ответственность на пациентку. Проблема в том, что при наличии двух аппаратов невозможно сдвинуть ноги. Учитывая, что бедренно-берцовый угол открыт кнаружи (см. Пэлея) при отсуствии смыкания стоп может сложиться впечатление о гиперкоррекции. Особенно если широкий
таз. Поэтому пусть больная перед зеркалом в окружении родственников
сама принимает решение о том, что довольна.
AVM>> А что шарнирная или элипсовидня... особых различий нет...
А хочешь - жни, а хочешь - куй...
А все равно получишь... сращение...
AC> Можно шарнирную сводом вверх, или вниз, поперечную или косую выше,
AC> ниже, скосом туда или сюда - угол делаем один и тот же, но оси будут
AC> по разном располагаться из-за разного положения осей вращения и
AC> смещения по ширине.
AC> Вот и хотелось бы получить практический совет для
AC> данного случая.
ПОПЕРЕЧНАЯ
AC> А то после прсмотра книжки D.Paley все пока еще в
AC> голове не улеглось, и только вопросов больше стало...
Не принимайте всё близко к сердцу...
Что русскому хорошо, то американцу - смерть...
AC> И вот еще прочитал в книжке Л.Н.Соломина - остеотомию малоберцовой
AC> можно не делать! И американский коллега то же самое подсказывает.
AC> Интересненько...
В написании этой главы мне пришлось участвовать. Труд коллективный.
моё мнение, видимо, осталось в меньшинстве. Я остеотомию малоберцовки делаю ПРИНЦИПИАЛЬНО ВСЕГДА. Это занимает 2-3 минуты, на фоне перелома б/б кости травма ничтожная. На границе нижней и средней трети практически невозможно что-либо повредить.
Года 2-3 назад эта тема возникла в англоязычном Ортоподе. Даже я напрягся - дискутировал на ангельском языке, отправлял картинки.
Сейчас, я так понимаю, рецидив.
Смотри архивы.
Картинки - в приложении.Будут вопросы - готов ответить.

|

|
 Ещё картинка - схема. Хотя у Соломина всё написано.
|
 Вот ещё картинки, которые отправлял в Ортопод. Коррекция кривизны и удлинение на 3 см.
|

|
Затеется дискуссия - буду счастлив.
Удачи всем.
Александр Артемьев
|
[
Ответить ]
|
Re: Деформация голеней
Отправитель: Alexander Chelnokov 11 Сентябрь 2005, 16:38
|
Ну наконец-то ты откликнулся, а то завтра оперировать уже.
AC>> повредив содержимое канала.
a> Лукавство это.
Ты знал! ;-)
AVM>>> Возможно и на ... в смысле ниже... более 4 см... а смысл?
a> Чем дальше от сустава - тем проще и технически, и больным легче
a> переносится.
Применительно к данному случаю - нарисуй, пожалста, линию сечения?
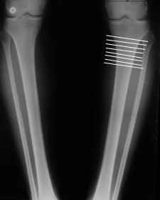
Или давай для простоты я картинку с несколькими вариантами прилагаю, которая линия, если считать сверху, тут оптимальна с высоты твоего немалого опыта? И имеет ли значение, как сечь - параллельно суставной щели, перепендикулярно диафизу или иначе как-то?
a> Это значительно улучшает эстетический эффект, придавая полноту ногам.
a> Мне лично нравится:)
В данном случае это насколько желательно?
AC>> площади. Вершина может куда-то выстоять, влияя на внешний вид. Может,
AC>> еще какие-то нюансы есть.
a> Не нужно вырубать клин, если, конечно об этом идет речь. Это
a> пережитки доилизаровской эпохи.
Нет, про вырубание и речи нет. Это про линию остеотомии. Chris Wilson вот советует делать косо, начать медиально см в 12 от суставной щели и направление на головку малоберцовой кости.
AC>> достигнутое положение - хотелось бы, чтобы насовсем. Вот и надо "семь
AC>> раз отмерить".
a> Не нужно ничего отмерять, рисовать т.н скиаграммы. В аппарате всё
a> можно довести до идеала в течение 1-1,5 мес, пока регенерат не сросся.
Хочется одномоментно сделать, и фиксировать не аппаратом. Поэтому чем дистальнее - тем удобнее. Так вот насколько дистально можно? И для исправления оси, чем дистальнее, тем больше надо латерально смещать периферический отломок для сохранения оси.
a> Возложите эту ответственность на пациентку. Проблема в том, что при
:-) Возьму на заметку.
a> А все равно получишь... сращение...
Это конечно. Но - сращение с такой, или другой, или третьей механической осью. И анатомической. Вот и пытаюсь уяснить диапазон приемлемости.
AC>> данного случая.
a> ПОПЕРЕЧНАЯ
Fixed.
AC>> голове не улеглось, и только вопросов больше стало...
a> Не принимайте всё близко к сердцу...
a> Что русскому хорошо, то американцу - смерть...
В общем, достаточно ли ориентироваться на клиническую оценку - ноги стали выглядеть приемлемо, и этим удовлетворяемся?
a> В написании этой главы мне пришлось участвовать. Труд коллективный.
a> моё мнение, видимо, осталось в меньшинстве. Я остеотомию
a> малоберцовки делаю ПРИНЦИПИАЛЬНО ВСЕГДА. Это занимает 2-3 минуты,
А оказывается, есть не единиччный опыт, что не делают, и проблем не видят. Как к этому относиться?
a> трети практически невозможно что-либо повредить.
Чем чревато неделание остеотомии малоберцовой при высокой вальгизирующей остеотомии большеберцовой? Есть ли данные таких наблюдений?
a> напрягся - дискутировал на ангельском языке, отправлял картинки.
a> Сейчас, я так понимаю, рецидив.
a> Смотри архивы.
Спорили именно делать - не делать остотомию малоберцовой?
a> Картинки - в приложении.Будут вопросы - готов ответить.
Спасибо!
a> Затеется дискуссия - буду счастлив.
Да вроде со вчерашнего дня идет.
Чего-то коллега Кудзаев давно никак не проявлялся здесь.
|
[
Ответить ]
|
Re: Деформация голеней
Отправитель: Alexander Artemiev 11 Сентябрь 2005, 18:23
|
Привет.
AC> Применительно к данному случаю - нарисуй, пожалста, линию сечения?
AC> Или давай для простоты я картинку с несколькими вариантами прилагаю,
AC> которая линия, если считать сверху, тут оптимальна с высоты твоего
AC> немалого опыта? И имеет ли значение, как сечь - параллельно суставной
AC> щели, перепендикулярно диафизу или иначе как-то?
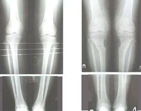
Мне представляется оптимальным на уровне 3-4 линии (т.е. как раз посредине отмеченной зоны). Если рассчимтываешь делать медиализацию, то параллельно суставной поверхности, иначе просто не сдвинешь без джистракции - отломки зацепятся. Если без медиализации - то вообще не имеет значения.
a>> Это значительно улучшает эстетический эффект, придавая полноту ногам.
a>> Мне лично нравится:)
AC> В данном случае это насколько желательно?
Если опыт единичный, то не усложняй. И так будет хорошо.
AC> Нет, про вырубание и речи нет. Это про линию остеотомии. Chris Wilson
AC> вот советует делать косо, начать медиально см в 12 от суставной щели и
AC> направление на головку малоберцовой кости.
Картинку видел, а читать не стал - лишнее все это. Чем проще (поперечно), тем менее травматично и, соответственно, лучше.
AC> Хочется одномоментно сделать, и фиксировать не аппаратом. Поэтому чем
AC> дистальнее - тем удобнее. Так вот насколько дистально можно? И для
AC> исправления оси, чем дистальнее, тем больше надо латерально смещать
AC> периферический отломок для сохранения оси.
Ты же понимаешь, опыт эмпирический. Было дело - промахивался с метками - делал сантиметра на 2-3 ниже сустава - всё было хорошо.
Сложно только цеплять короткий фрагмент, особенно когда удлинение. Спускался ниже - 5-7 см ниже сустава - тоже всё хорошо. Ниже уже бессмысленно - диафиз, ломать труднее, срастается дольше.
AC> В общем, достаточно ли ориентироваться на клиническую оценку - ноги
AC> стали выглядеть приемлемо, и этим удовлетворяемся?
Ну конечно. Ведь и сейчас больная считает себя здоровой. О профилактике артроза не рассуждаем. Станет прямее - значит лучше.
AC> А оказывается, есть не единиччный опыт, что не делают, и проблем
AC> не видят. Как к этому относиться?
1. сначала опирался на опыт лечения ложных
суставов или замедленно сращения - пока малоберцовку не сломаешь - толку не будет.
2. Собственно кривизну по моей статистике исправляют процентов 30, не более. Остальные - либо удлинение, либо и то и другое. Так что уже
наблатыкался ломать - проблем нет.
3. Сломать малоберцовку - чего проще и безвреднее?
4. Если внимательно посмотришь на рентгенограммы, то в зоне перелома малоберцовой кости она втягиваетсмя внутрь, таким образом немного уменьшая объем тканей по внутреннему контуру. Причем чем выше - тем эффектнее. Не надо только совсем высоко лезть - там перонеус. Многих пайциенток это тоже смущает. Так что решаем проблему комплексно. На это, кстати, особо упирает Казбек Кудзаев.
AC> Чем чревато неделание остеотомии малоберцовой при высокой
AC> вальгизирующей остеотомии большеберцовой? Есть ли данные таких
AC> наблюдений?
Я делаю всегда, проблем не знал. Почему - объяснил выше. Если не делать - предвижу трудности с перемещением отломков, особенно по ширине, когда могут быть зубчики при остеотомии.
AC> Спорили именно делать - не делать остотомию малоберцовой?
Совершщенно беспредметный спор. Лучше бы спорили как менее травматично делать остеотомию большеберцовой.
Удачи
Александр Артемьев
|
[
Ответить ]
|
Re: Деформация голеней
Отправитель: Alexander Chelnokov 11 Сентябрь 2005, 18:26
|
a> Мне представляется оптимальным на уровне 3-4 линии (т.е. как раз
a> джистракции - отломки зацепятся. Если без медиализации - то вообще не
Понял, спасибо.
AC>> В данном случае это насколько желательно?
a> Если опыт единичный, то не усложняй. И так будет хорошо.
Если в медиализацию непременно планировать, то придется остеотомию делать проксимальнее, на гвозде иначе ничего не сдвинешь. В общем,
не буду медиализацию делать.
a> Картинку видел, а читать не стал - лишнее все это. Чем проще
a> (поперечно), тем менее травматично и, соответственно, лучше.
Наверно.
a> метками - делал сантиметра на 2-3 ниже сустава - всё было хорошо.
a> Сложно только цеплять короткий фрагмент, особенно когда удлинение.
a> Спускался ниже - 5-7 см ниже сустава - тоже всё хорошо.
Это сильно успокаивает.
AC>> стали выглядеть приемлемо, и этим удовлетворяемся?
a> Ну конечно. Ведь и сейчас больная считает себя здоровой. О
a> профилактике артроза не рассуждаем. Станет прямее - значит лучше.
Так и запишем.
a> 3. Сломать малоберцовку - чего проще и безвреднее?
Не ломать? ;-)
a> 4. Если внимательно посмотришь на рентгенограммы, то в зоне перелома
a> малоберцовой кости она втягиваетсмя внутрь, таким образом немного
a> уменьшая объем тканей по внутреннему контуру.
Уменьшая по внутреннему??
a> тоже смущает. Так что решаем проблему комплексно.
В общем, не рубить ее можно, когда надбугорковая остеотомия. Если делать на расстоянии 4-6 см от суставной поверхности - лучше сломать.
a> На это, кстати, особо упирает Казбек Кудзаев.
В чем его точка зрения состоит?
a> Я делаю всегда, проблем не знал. Почему - объяснил выше. Если не
a> делать - предвижу трудности с перемещением отломков, особенно по
Предпложим, преодолели их - интересно, есть ли связанные с целой малоберцовкой какие-то болевые синдромы ии еще что-то плохое.
AC>> Спорили именно делать - не делать остотомию малоберцовой?
a> Совершщенно беспредметный спор. Лучше бы спорили как менее травматично
Это я пытаюсь у тебя выспросить, о чем именно был в ортоподе разговор, про который ты вспомнил.
|
[
Ответить ]
|
Re: Деформация голеней
Отправитель: Alexander Artemiev 12 Сентябрь 2005, 00:18
|
Привет, Саша.
Дискуссия сошла в диалог, так что сворачиваемся...
a>> 4. Если внимательно посмотришь на рентгенограммы, то в зоне перелома
a>> малоберцовой кости она втягиваетсмя внутрь, таким образом немного
a>> уменьшая объем тканей по внутреннему контуру.
AC> Уменьшая по внутреннему??
По наружному, конечно.
AC> В общем, не рубить ее можно, когда надбугорковая остеотомия. Если
AC> делать на расстоянии 4-6 см от суставной поверхности - лучше сломать.
a>> На это, кстати, особо упирает Казбек Кудзаев.
AC> В чем его точка зрения состоит?
Про точку зрения не знаю, но малоберцовку ломал.
AC> Это я пытаюсь у тебя выспросить, о чем именно был в ортоподе разговор,
AC> про который ты вспомнил.
В архиве сохранилось.
Могу тебе переслать.
В-основном вокруг смысла жизни. Типа как это так можно у здорового человека...
Удачи на операции.
Пиши.
ААА
|
[
Ответить ]
|
Re: Деформация голеней
Отправитель: Alexander Chelnokov 11 Сентябрь 2005, 14:32
|
И вот еще прочитал в книжке Л.Н.Соломина - остеотомию малоберцовой можно не делать! И американский коллега то же самое подсказывает. Интересненько...
|
[
Ответить ]
|
|
Re: Деформация голеней
Tom Schaller 11 Сентябрь 2005, 03:03
|
I prefer a medial opening wedge. Currently I prefer the tomofix system by synthes. Its instrumentation allows "dialing in" the correction nicely, and the fixed angle construct provides excellent stability. A few other companies have similar systems, Arthrex for example. Trying to hinge the correction on intact lateral cortex (1 cm.) is key to preserve stability.
The nonunion/hardware failure rate is substantially higher when the lateral cortex is breeched. Fibular osteotomy not required.
Attached is a screen capture from the AO foundation website which has an excellent training module on performing an opening wedge HTO. It shows from preop planning to intra-op techniques. It is helpful even if you don't use their product to perform the procedure. Certainly it is not mandatory to use any osteotomy system to obtain and secure a well done osteotomy - im not sure what instrumentation you have access to.
The question of what to fill the opening wedge with is an issue. Illiac crest is the gold standard, but has its own morbidity, and doesn't add to the overall cosmesis desired by this young lady. You may consider allograft or other substitutes, but research done at my center shows moderate increased likelihood of construct failure.
Good luck
Tom Schaller
MSU/KCMS Dept. of Orthopedics
Kalamazoo, Michigan
|
[
Ответить ]
|
Re: Деформация голеней
Отправитель: Chris Wilson 11 Сентябрь 2005, 03:29
|
As someone who has done over 50 open wedge HTO's, and only 2 for aesthetic reasons( big decision) here is my 2pennyworth.
1) ignore the impossibly idealistic "Stratec" diagram of an osteotomy around the tibial tubercle. If you start your osteotomy (by osteotome and never powersaw)just in the start of the flare of the tibial metaphysis, about 12 cm below the joint line,and aim for the fibula head, it will give you an osteotomy length of 65 mm in the average patient and this equates to 1 mm opening per 1 deg of desired correction;
2)go about 3/4 the way across the bone;
3) expand the osteotomy slowly;
4) if the correction is large( over 8 deg) or any cracks appear, or you put the limb axis in or beyond the neutral plane, so that the osteotomy is in tension rather than compression, then use a strong device( e.g. a Tomofix plate) rather than a minimal invasive device( e.g. a Pudu plate) - have both available if you're not sure, as the actual kit to do the osteotomy is a bit better on the Pudu set
5) make your approach antero-medial, and deep to the MCL in the sub-periosteal plane, rather than medial and through the MCL, as described by Pudu - much better result
regards
Chris Wilson
University
Hospital
Cardiff
UK
|
[
Ответить ]
|
Re: Деформация голеней
Отправитель: Alexander Chelnokov 13 Сентябрь 2005, 23:35
|
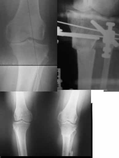
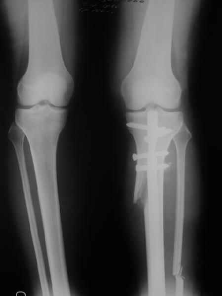
Yesterday one leg was done (my plan to make both in one session were cancelled because of external reasons). So much exciting and useful experience.
The osteotomy line i planned to make a bit oblique, but not so as you suggested. But at the moment of osteoclasis after corticotomy through the anterior stab wound the line became almost as you described. Now problem is how to reproduce thee line at the next leg ;-)
The prominent fragment seems to be useful for cosmetic purposes, because aesthetic guys perform medialization of the distal fragment to gain attractive curve at the medial side of the leg. Also all locking options became available - initially i planned to engage only two most
proximal 45 degree holes.
I cut the fibula because i externally rotated the distal fragment by 6-7 degrees. With only angular correction it didn't show any displacement.
Today CT for estimation of rotation was performed, results i will see only tomorrow. Rotation of the operated limb can be corrected with the second surgery. Comments/critics are welcome.
|
[
Ответить ]
|
|
Re: Деформация голеней
Kevin J. Pugh 11 Сентябрь 2005, 03:34
|
Alex,
I would do bilateral proximal tibial opening wedge osteotomies just below the tubercle. I would fix the osteotomy with a frame, and rotate about the proximal tib-fib joint so that you don't have to
dislocate this joint or cut the fibula. This would be a distraction osteogenesis case, so no graft required. You will get some length, but since you are doing both sides, this can be managed nicely by making it symmetrical.
This is nicely drawn out and explained on Charlie Taylor's web site at www.jcharlestaylor.com.
I have done this osteotomy several times for residual adult Blounts.
They make great bone.
Good luck.
kp
|
[
Ответить ]
|
Re: Деформация голеней
Mangal Parihar 11 Сентябрь 2005, 11:28
|
Alex,
I do upper tibial osteotomies with either an ilizarov fixator and acute correction of the deformity or with an orthofix with gradual correction.
Sending you pics of the steps of the osteotomy and the frame.
You can do the osteotomy in a "focal dome" or in a transverse fashion. The dome has the advantage of having a good contact, allowing weight bearing as tolerated early on.
The level is below the tibial tuberosity.
The frame I use is pretty simple, with one wire each in the proximal and distal ring, two schanz pins in the proximal ring, and one each in the middle and distal ring.
I preconstruct a frame with the proximal ring in varus by the use of coupled washers in the threaded rods in the front and back. These are used as hinges, and after the correction, a medial and lateral threaded rod is also added.
Since the center of rotation of these deformities is usually near the knee joint line, lateral translation of the distal fragment is necessary to normalise all the axes.
You can also do the osteotomy in a transverse fashion.
When I use an orthofix fixator, the osteotomy is oblique, starting below the tuberosity and ending 1 cm away from the lateral cortex at the level of the head of the fibula. No fibular osteotomy is needed there. The deformity is gradually corrected over 2 or three weeks.
You could also do the same with an ilizarov fixator
Regards
Mangal Parihar
|
[
Ответить ]
|
Re: Деформация голеней
Отправитель: Alexander Artemiev 11 Сентябрь 2005, 14:55
|
Приветствую.
MP> I do upper tibial osteotomies with either an ilizarov fixator and
MP> acute correction of the deformity or with an orthofix with gradual
MP> correction.
Посмотрел я картинки:(
Это не эстетика.
Это рубка леса и лучевая болезнь.
С уважением Александр Артемьев
|
[
Ответить ]
|
Re: Деформация голеней
Отправитель: T. Derek V. Cooke 12 Сентябрь 2005, 21:48
|
Hello Mangal:
Very nice correction but, to my eye there is some 'over' correction of the tibia, now in some proximal valgus?
What is the hka?
What about the P/F joint orientation.
Alex, with your permission I will run our alignment analaysis program on your long leg views and give you some correction options?
Regards
Derek
|
[
Ответить ]
|
Re: Деформация голеней
Отправитель: Alexander Chelnokov 12 Сентябрь 2005, 22:01
|
TDVC> Alex, with your permission
No permission required. You have your own copies of images and may
do anything without any harm to originals ;-)
TDVC> I will run our alignment analaysis program on your long leg
TDVC> views and give you some correction options?
It is very interesting! Pls do, it will be greatly appreciated.
|
[
Ответить ]
|
Re: Деформация голеней
Отправитель: T. Derek V. Cooke 13 Сентябрь 2005, 23:51
|
Hello Alex:
Thanks for the clinical photo.
Your patient appears to have "Insquinting Knees"?
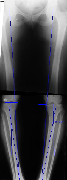
I am attaching a word doc with a 'print screen' of the program in use, showing the images being viewed and analysed
. On the right leg you can see some of the tools (from the tool bar above) applied to demonstrate a mild mech-axis varus of about 5 degrees.
On the left the bone landmarks used in the anlaysis are shown.
The data for the analysis are in the XLs sheet below, exported from the program automatically.
I have given a label of the abreviations and some normative values.
In essence she has a mild mech-axis varus of 7 degrees with some contribution from the femur (2) degrees and more from the tibia (6 degrees), none from the joint.
The analysis took about 6 mins.
Regards
Derek
|
[
Ответить ]
|
Re: Деформация голеней
Отправитель: Alexander Chelnokov 14 Сентябрь 2005, 00:00
|
TDVC> Your patient appears to have "Insquinting Knees"?
Exactly.
TDVC> In essence she has a mild mech-axis varus of 7 degrees
TDVC> with some contribution from the femur (2) degrees and more from
TDVC> the tibia (6 degrees), none from the joint.
And what is conclusion? Should it be corrected, by what means, at what level, to what axis, with what lateral/medial translation?
TDVC> The analysis took about 6 mins.
THX to all people discussed the case.
Yesterday i performed correction of one leg (the plan to make both in one session was cancelled because of some external reasons). Suggestions of Nuno Lopes were most close to my view. A small wire distractor was used intraoperatively. Derotation ~6-7 degrees was performed also. CT scans evaluating rotation will be available only
tomorrow. No problem to change rotation of the operated limb in the moment of the second surgery. Comments/critics are welcome.
Can the attached result be analyzed by the software?
|
[
Ответить ]
|
|
Re: Деформация голеней
Nuno Craveiro Lopes 11 Сентябрь 2005, 16:41
|
Alex,
This is a case of tibia vara and the cora is well down as you can see on the sketch, so do a percut otm on the cora and just nail it with an entry point medially to the tubercle and do an extra proximal antero-posterior interference screw if needed.
Best regards,
Nuno Craveiro Lopes
Head of Orthopedic and Trauma Department
Garcia de Orta Hospital
|
[
Ответить ]
|
Re: Деформация голеней
Одесский Я.А 11 Сентябрь 2005, 23:58
|
Уважаемые коллеги!
На мой взгляд мы имеем дело с Leg Malalignment Syndrome.для которого характерны ексесивная антеверсия тазобедренных суставов и наружная торсия голеней. Возможен вариант, когда нет патологической ротации бёдер.
На мой взгляд для планирования коррекции необходимо следующее обследование:
1. Снимки на длиной плёнке ног включая тазобедренные суставы и голеностопные в правильном положении коленей (по надколенникам)
2. Латеральные снимки каждой ноги стоя, включая тазобедренные , коленные и голеностопные суставы
3. Варус и валгус стрес коленных суставов
4. Латеральнае снимки коленных суставов в сгобании 20 градусов и в поглном разгибании
(особенно если имеется переразгибание коленей)
5. КТ тазобедренных , коленных и голеностопных суставов - Ротационный профиль.
Если на учитывать всех сопутствующих деформаций, а коррегировать только варусную деформацию голеней, как планируется, больная останеться с патологической ротацией коленных суставов, что в дальнейшем может привести к болям в пателло-феморальном суставе а в последствии и к остеоартрозу коленных суставов.
С уважением!
|
[
Ответить ]
|
Re: Деформация голеней
Отправитель: Alexander Chelnokov 13 Сентябрь 2005, 20:48
|
ОЯА> На мой взгляд для планирования коррекции необходимо следующее
ОЯА> обследование:
Кое-что из этого сделано.
Вчера оперирована, но по организационным причинам успел только одну ногу. Вторую планируем в ближайшие дни.
ОЯА> 5. КТ тазобедренных , коленных и голеностопных суставов - Ротационный
ОЯА> профиль.
Это сегодня только сделали. Левую ногу я на операции деротировал градусов на 7-8. По данным КТ, если что, можно будет еще подкрутить, когда вторую ногу будем делать.
ОЯА> Если на учитывать всех сопутствующих деформаций, а коррегировать
ОЯА> только варусную деформацию голеней, как планируется, больная
ОЯА> останеться с патологической ротацией коленных суставов, что в
Насчет ротации можно будет подкорректировать, но, правду говоря, основа для действий в данном случае - практически стопроцентно не соображения ортопедической профилактики, а пожелания больной по изменению формы ног.
Интересно, есть ли данные об отдаленных результатах коррекций таких деформаций, в сравнении с естественным течением? Действительно ли снижается встречаемость артроза? Если да, то насколько?
|
[
Ответить ]
|
Re: Деформация голеней
Отправитель: Александр Ельцин 14 Сентябрь 2005, 01:26
|
Коллега, УРА!!!
Поддерживаю и радуюсь, что увидел мнение и план ДИАГНОСТИЧЕСКИХ действий, а не спор о технике и железе.
Забегая, вперед, хотел бы спросить автора-оператора: какой угол валгусной деформации Вы получили? И где после операции располагается надколенник? И САМОЕ важное, что изменилось в т/бедренных суставах?
Спасибо.
|
[
Ответить ]
|
Re: Деформация голеней
Отправитель: Alexander Chelnokov 14 Сентябрь 2005, 21:28
|
АЕ> Поддерживаю и радуюсь, что увидел мнение и план ДИАГНОСТИЧЕСКИХ
АЕ> действий, а не спор о технике и железе.
О "технике и железе" тоже есть о чем посоветоваться.
АЕ> Забегая, вперед, хотел бы спросить автора-оператора: какой угол
АЕ> валгусной деформации Вы получили?
См. снимки. Пока очевидно, что анатомическая ось большеберцовой кости заняла положение под прямым углом к проксимальной суставной площадке. Что можно расценить как 2-3 градуса гипервальгуса. А можно и считать в пределах нормы (85-90 градусов)...
АЕ> И где после операции располагается надколенник?
Где и был. Остеотомия подбугорковая.
АЕ> И САМОЕ важное, что изменилось в т/бедренных суставах?
Если дистальные отделы голеней развернуть кнутри, чтобы при параллельном расположении стоп надокленники смотрели кпереди, то, соответственно, получится такая же наружная ротация в тазобедренных суставах. Это градусов 25-30 в данном случае. Какие проблемы это решит и какие создаст - буду признателен за подсказку.
|
[
Ответить ]
|
Re: Деформация голеней
Отправитель: Александр Ельцин 16 Сентябрь 2005, 01:11
|
Уважаемый коллега, обсуждаемый клинический случай совсем не прост, в чем мы все убедились во время обсуждения. Думаю, что истина в наших спорах все-же родиться.
С уважением и интересом отношусь к Вашему опыту. Что касается последнего наблюдения, жалею лишь о том, что мы не успели обсудить его до операции.
Может быть в будущем мы будем более последовательны, - сначала обсуждение или вопросы, а потом операция. Со своей стороны обещаю активное участие в обсуждении (м.б. и другие варианты).
Александр Ельцин.
|
[
Ответить ]
|
Re: Деформация голеней
Отправитель: Alexander Chelnokov 16 Сентябрь 2005, 17:36
|
АЕ> чем мы все убедились во время обсуждения. Думаю, что истина в наших
АЕ> спорах все-же родиться.
Не ожидал бы в данном случае "истины" как чего-то окончательного, финального, безоговорочного и общепринятого. Практически все высказанные не очень близкие точки зрения имеют серьезное основание, так что достаточно было бы иметь серьезные соображения в пользу имеющегося варианта.
АЕ> последнего наблюдения, жалею лишь о том, что мы не успели обсудить его
АЕ> до операции. Может быть в будущем мы будем более последовательны,
АЕ> - сначала обсуждение или вопросы, а потом операция.
К сожалению, не всегда есть достаточно времени, чтобы провести исчерпывающую дискуссию. Тем не менее, до операции свои соображения успели высказать как отечественные, так и зарубежные коллеги.
АЕ> Со своей стороны обещаю активное участие в обсуждении (м.б. и
Спасибо за конструктивное участие.
|
[
Ответить ]
|
|
Re: Деформация голеней
Leonid N. Solomin 12 Сентябрь 2005, 18:50
|
Дорогие коллеги!
Извините, включаюсь в разговор с опозданием: неделю был без инета и мобильного тел. (а как, оказывается, здорово!).
В данном случае я согласен с мнением А.А.Артемьева и, доведись, сам выполнил бы поперечную подбгорковую остеотомию с медиализацией дистального фрагмента и устранением ротационного компонента. Малоберцовую бы пересек. После компрессии, за счет взаимной "импактизации" фрагментов пресловутого клина Вы не увидите. Использование одномоментной коррекции и внутренней фиксации - риск (исключается возможность, при необходимости, "доводки"; сложно одномоментно "сколотить" фрагменты; не знаю, насколько остеосинтез позволит обеспечить раннюю нагрузку "до полной"; аппарат - да). Впрочем, риск - не есть противопоказание, конечно.
Всего наилучшего,
Л.Соломин
|
[
Ответить ]
|
Re: Деформация голеней
Отправитель: Alexander Chelnokov 13 Сентябрь 2005, 20:51
|
LS> Извините, включаюсь в разговор с опозданием: неделю был без инета и
LS> мобильного тел. (а как, оказывается, здорово!).
Ужас! Сенсорная депривация практицки. Через пару недель или помрешь, или обезумеешь!
LS> бы поперечную подбгорковую остеотомию с медиализацией дистального фрагмента
LS> и устранением ротационного компонента. Малоберцовую бы пересек.
Насчет малоберцовой - если без ротации, похоже, можно не пересекать. Посмотрел по ходу операции - после коррекции угла большеберцовой свежесломанная fibula не шелохнулась! Удивился, даже элеватором подвигал отломки - шевелятся, но никуда не хотят смещаться.
LS> После компрессии, за счет взаимной "импактизации" фрагментов
LS> пресловутого клина Вы не увидите.
Да пусть и увидим, беда небольшая. Это еще и немножко плюс длина, жалко.
LS> Использование одномоментной коррекции и внутренней фиксации -
LS> риск (исключается возможность, при необходимости, "доводки";
Это да. Предоперационное планирование тут надо тщательнЕе проводить поэтому.
LS> сложно одномоментно "сколотить" фрагменты;
А зачем их сколачивать? Клиновидный дефект такого размера заполнится.
LS> не знаю, насколько остеосинтез позволит обеспечить раннюю
LS> нагрузку "до полной"; аппарат - да).
В нашем случае вариант с возможностью ранней полной нагрузки.
LS> Впрочем, риск - не есть противопоказание, конечно.
Спасибо за благословение! ;)
|
[
Ответить ]
|
|
Re: Деформация голеней
Alexander Chelnokov 13 Сентябрь 2005, 23:23
|
a> Совершщенно беспредметный спор. Лучше бы спорили как менее травматично
a> делать остеотомию большеберцовой.
Как уже писал, вчера сделал одну ногу (может, свой плюс будет что не обе- вдвое меньше травма, сразу на костыли встанет, оперированную ножку немного разомнет, тут и вторую заделаем).
Операция была интересной, много полезного опыта приобрел.
Снимки в приложении - фас сравнительный с неоперированной ногой. Жду критики.
Впрос про остеотомию большеберцовой непраздный. Эта получилась при надломе несколько более наклонно, чем я делал (сейчас проблема,
как на второй ноге сделать так же). Вот этот высоящий "зуб" центрального отломка не заменит ли в плане косметики то, что получается при медиализации дистального?
|
[
Ответить ]
|
Re: Деформация голеней
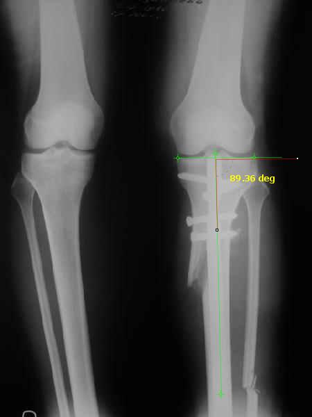
Отправитель: T. Derek V. Cooke 14 Сентябрь 2005, 18:23
|
Hi Alex:
Nice job!
It is very interesting to me that as you have derotated the tibia you have centred the patella, I think and the prox tibia looks much more anatomic.
The analysis in the attached images is direct, just using the tools.
Tibial tilt is perhaps more than you want but the tibial correction is to 90 (very slight over
correction.
Will need full length views to tell us about the hka but it appears neutral.
Measurements took 4 mins
Derek
|
[
Ответить ]
|
Re: Деформация голеней
Отправитель: Alexander Chelnokov 15 Сентябрь 2005, 19:46
|
TDVC> Nice job!
Thx.
TDVC> It is very interesting to me that as you have derotated
TDVC> the tibia you have centred the patella, I think and the prox
TDVC> tibia looks much more anatomic.
But it results with approproiate external rotation of the hip. What problems does it solve and generate?
TDVC> Tibial tilt is perhaps more than you want
Tibial tilt remains unchanged. According to Paley's "Principles of deformity correction" normal range of proximal posterior tibial angle is 80+/-3.5 degrees.
TDVC> but the tibial correction is to 90 (very slight over
TDVC> correction.
Or just in upper part of normal range?
|
[
Ответить ]
|
Re: Деформация голеней
Отправитель: T. Derek V. Cooke 15 Сентябрь 2005, 19:49
|
Hello Alex:
The 'insquint', Patella 'looking in' with feet ahead, is a due to tibail Ext malrotation.
Cooke, T.D.V., Price, N., Fischer, B., Hedden, D. (1990): The inwardly pointing knee. An unrecognized problem of external rotational mal-alignment. Clin. Orthop., 260:56-60.
Whether by intention or design I think you derotated this with your osteotomy.
Did you show us the preop tibial alignment? Our data for posterior tibial tilt is a mean of closer
to 10 degrees (Yoshioka, Y., Siu, D., Scudamore, R.A., Cooke, T.D.V. (1989) Tibial anatomy and functional axes. J. Orthop. Res., 7:132-137.)
Regards
Derek
|
[
Ответить ]
|
|
Re: Деформация голеней
Абдукахар 14 Сентябрь 2005, 02:09
|
Уважаемый Alexandr Chelnokov!
1-лучше произвести остиотомию на уровне бугристости.
2-нестоит медиализировать дистальный фрагмент.
3-более приемлема шарнирная остеотиомияю.
Ташкент Бабакулов Абдукахар
|
[
Ответить ]
|
Re: Деформация голеней
Djoldas Kuldjanov 16 Сентябрь 2005, 21:44
|
У меня возникли вопросы, связанные с легальной стороной лечения и финансовые, во сколько же обходятся больным такие операции, неужели они способны на оплату по прейскурантам Волгоградского ценра “The International Centre of Anthropometrical (Orthopaedic) Cosmetology and Correction™ http://www.rucosm.com/index.htm”, где примерное лечение стоит от 15 до 30 тыс. баксов.
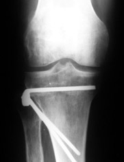
Теперь насчет операции, Александр успешно применил более практичный метод, интрамедуллярный штифт для фиксации высокой остеотомии большеберцовой кости в косметологической практике, где для лечения деформации конечности традиционно применялись аппараты внешной фиксации (с удлинением и без) или различные боковые пластины.
Без сомнения, этот почти закрытый (косметологический) метод имеет преимущества перед традиционными, из-за возможности раннего восстановления с ранними нагрузками, когда нашему знаменитому хоккейсту Детроитского Red Wings Steve Yzerman после остеотомии с применением Pudu plate и аллокостью для восстановления потребовалось целый хоккейный сезон.
О необходимости остеотомии малоберцовой, хочу поделиться еще не опубликованными данными экспериментальной работы.
Цель работы, уточнение роли малоберцовой кости и верхнего тибиа-фибулярного сочленения при лечении ложных суставов большеберцовой кости. Для этого я просмотрел около 100 ренгенограмм проксимального тибиа-фибулярного сочленения и по форме соприкосновения костей друг с другом, разделил на три группы: вертикальный, горизонтальный и косой (наклон более 30 градусов от вертикальной линии).
При нагрузке аппаратом, если дистальная спица была проведена за обе кости, головка малоберцовой кости при косом и вертикальном сочленении передвигалась верх: при косом в среднем на 0.5 см, а при вертикальном более 1 см, и при продолжающей компрессии на большеберцовой, переходил в состояние верхнего подвывиха, а горизонтальный сустав, наоборот, как внутренная шина дистрагировал ложный сустав.
Хотя эти предварительные выводы, во-первых, по форме сустава можно предугадать о необходимости остеотомии малоберцовой и второй вывод определить наилучший уровень остеотомии малоберцовой, чем меньше дистанция между остеотомиями (возможно, связано с межберцовой перепонкой) было легче создать компрессию.
Что лучше, остеотомию делать выше или ниже бугристости при удлинениях голени, на этот вопрос ответили многие на последней конференции АСАМИ в Нью Йорке, где показали результаты удлинения голени, когда остеотомию проводили намного ниже в диафизе большеберцовой.
Из осложнении, при Chevron остеотомии самыми частыми осложнениями были пенетрация линии остеотомии в сустав, а боковые косые остеотомии (opening или closed wedge), хотя имели преимущества перед фигурными из-за доступа, но имелись случаи надлома во время компрессии, если тяжелый имплант был посажен слишком низко к линии остеотомии, а также ранние (femuro-patellar) артрозы из-за периориентации надколенника (patellar malalignment) и множественные мягкотканые осложнения спицами при фиксации аппаратами.
Кстати, недавно в форуме говорили о необходимости создания стандартизации методик по стране, чтобы единая методика была по лечению различной патологии и повреждениям костей скелета. Как однажды наблюдал в нашей операционной, в один день в четырех операционных шли идентичные операции, все они были High Tibia Osteotomy, и каждый фиксировал как мог, без стандартной методики и без оглядки на установленные зав.кафедрой или директором принципы. Получилось, что первый выбрал blade plate, а второй fork plate, третий наружным фиксатором Heidelberg, а я применил Mini-Max tension plate (в переводе вроде minimal implant, maximum benefit), так что девиз “кто чем владеет..”, поэтому мы за инновации в нашем деле, тем более за успешные.
С учетом всех перечисленных, желаю успеха и ждем повтора первого дубля уже с другой стороны.
Джолдас Кульджанов
Djoldas Kuldjanov, MD
Department of Orthopedic Surgery
St. Louis University Medical Center
|
[
Ответить ]
|
Re: Деформация голеней
Отправитель: Alexander Chelnokov 16 Сентябрь 2005, 21:53
|
DK> У меня возникли вопросы, связанные с легальной стороной лечения и
DK> финансовые, во сколько же обходятся больным такие операции,
У нас, насколько я знаю, больной пришлось заплатить тысяч 25 рублей. Т.е. несколько больше $800.
DK> примерное лечение стоит от 15 до 30 тыс. баксов.
Интересно, много ли желающих находится?
DK> метод, интрамедуллярный штифт для фиксации высокой остеотомии
DK> большеберцовой кости в косметологической практике, где для лечения
Ну, тут не полностью косметологическая ситуация, варус все-таки был заметный.
DK> О необходимости остеотомии малоберцовой, хочу поделиться еще не
Спасибо, очень интересно. Видимо, деротация голени требует остеотомии независимо от варианта строения тибиофибулярного сустава?
DK> проводили намного ниже в диафизе большеберцовой.
Интересно подробности бы. А то тут очередной пациент на подходе, как раз на удлинение...
DK> Из осложнении, при Chevron остеотомии самыми частыми осложнениями были
Noted.
DK> Кстати, недавно в форуме говорили о необходимости создания
DK> стандартизации методик по стране, чтобы единая методика была по
DK> лечению различной патологии и повреждениям костей скелета.
По-моему, это очередная утопия. Как минимум по трем причинам - 1)денег не хватит. Например, при переломах шейки бедра всем старше 70 - эндопротезирование - чем на стандарт не тянет? 2) Всегда есть альтернативные варианты, преимущество которых друг перед другом трудно выявить, и директивное утверждение какого-то одного подхода как стандарта столкнется с противодействием сторонников других методик, что наглядно видно из примера с 4 вариантами фиксации при высокой
остотомии tibia. И 3) - отсутствие обоснования предписанных действий.
На днях у хирургов проскочил "стандарт" по лечению флегмон - тихий ужас.
Куда больше импонирует что-то типа западных Clinical Guidelins, без жестких указаний, что и как делать.
DK> без оглядки на установленные зав.кафедрой или директором принципы.
:-) Это для постсоветской системы звучит совсем крамольно. Не знаю насчет всего xUSSR, но в России нету ни профсоюза, ни ассоциации нормальной, чтобы отстаивать права врача, в том числе право на самостоятельные решения и самостоятельную ответственность. Это возможно, видимо, только в частной практике?
DK> С учетом всех перечисленных, желаю успеха
Спасибо за лестную оценку и поддержку!
DK> и ждем повтора первого дубля уже с другой стороны.
Уже всю голову сломал над проблемой, как с другой стороны сломать по той же линии... Спицей, видимо, насверлю...
|
[
Ответить ]
|
|
Re: Деформация голеней
Bagrat Grygoryan 20 Сентябрь 2005, 07:02
|
>Болезнь Блаунта например?
>Варус?
>Варус...
>Эстетика?
>Эстетика...
>А потому любой детский ортопед должен (!!!) при коррекции варуса думать и об эстетике...
Уважаемые коллеги, много работ посвящено коррекции деформаций конечностей (варусной, вальгусной, торсионной), НЕ ВАЖЕН способ фиксации, важен подход – правильная биомеханическая коррекция, что достигается правильным определением уровня деформации (бедро, голень) и соответственно, правильным определением уровня коррекции.
Аппаратная коррекция очень грамотно изложена в диссертации Белокрылова Николая Михайловича «Хирургическая тактика лечения деформирующего гонартроза» Пермь 1998г. В моей работе описаны методы коррекции с накостным остеосинтезом. «Корригирующие операции в лечении гонартроза» Москва 2003г.
С уважением Баграт Степанович.
|
[
Ответить ]
|
Re: Деформация голеней
Отправитель: Alexander Chelnokov 20 Сентябрь 2005, 07:10
|
GBS> ВАЖЕН способ фиксации, важен подход – правильная биомеханическая
GBS> коррекция, что достигается правильным определением уровня
GBS> деформации (бедро, голень) и соответственно, правильным
GBS> определением уровня коррекции.
Большая просьба прокомментировать прилагавшиеся снимки. Видно, что сделано что-то красивое, но не совсем понятно, по какому поводу, как рассчитывалась коррекция, и что именно сделано.
GBS> методы коррекции с накостным остеосинтезом. «Корригирующие
GBS> операции в лечении гонартроза» Москва 2003г.
А как это почитать? Заранее спасибо.
|
[
Ответить ]
|
Re: Деформация голеней
Отправитель: Bagrat Grygoryan 20 Сентябрь 2005, 07:17
|
Уважаемый Александр,
Поводом для проведения всех корригирующих остеотомий у исследуемых пациентов служил гонартроз 1-3 стадии, косметическая коррекция в большинстве случаев являлась вторичной.
Хотя любого больного она не в меньшей степени интересовала. При всех видах остеотомий обязательным требованием являлась восстановление баланса пассивных и динамических сил путем восстановления оси конечности, стабильности связочного аппарата и контроля над мышечной активностью при осевой нагрузке. Как правило, учитывалась сохранность гиалинового хряща на компенсирующем нагрузку мыщелке бедра или большеберцовой кости. Предоперационное планирование осуществляли с поднагрузочных рентгенограмм обоих конечностей.
Дополнительными методами диагностики являлось измерение внутрикостного давления в зоне гипернагрузки и радионуклидные исследования нуклидами технеция. Применялись различные варианты остеотомий на различных сегментах. Для коррекции варусной-торсионной деформации:
высокие плюс, минус остеотомии большеберцовой кости,косая остеотомия малоберцовой. Для коррекции вальгусной деформации применялась плюс, минус надмыщелковая остеотомия бедренной кости. Фиксацию при высокой подмыщелковой остеотомии производили уникальной клинковой пластиной и тяговыми кортикальными винтами. Угол коррекции выставлялся
специальным угломером и направителем.
Подробно с работой можно ознакомится в ЦМБ. Пособие для врачей могу выслать на Ваш адрес.
С уважением Баграт Степанович.
|
[
Ответить ]
|
Re: Деформация голеней
Отправитель: Alexander Chelnokov 20 Сентябрь 2005, 07:58
|
Глубокоуважаемый Баграт,
Tuesday, September 20, 2005, 12:32:39 AM, you wrote:
GBS> варусной-торсионной деформации: высокие плюс, минус остеотомии
GBS> большеберцовой кости,косая остеотомия малоберцовой.
Плюс, минус - это при одной операции? В смысле, и иссекали небольшой клин, и оставляли открытый с другой стороны?
GBS> остеотомии производили уникальной клинковой пластиной и тяговыми
GBS> кортикальными винтами. Угол коррекции выставлялся специальным
GBS> угломером и направителем.
Очень интересно. Эти инструменты тиражируются?
GBS> Подробно с работой можно ознакомится в ЦМБ.
Ну, это для многих из нас как на Луне ;-) А в виде файла его не существует? Можно было бы разместить на http://weborto.net.
GBS> Пособие для врачей могу выслать на Ваш адрес.
Буду признателен, адрес в подписи указан.
--
Best regards,
Alexander N. Chelnokov
Ural Scientific Research Institute
of Traumatology and Orthopaedics
7, Bankovsky str. Ekaterinburg 620014 Russia
|
[
Ответить ]
|
Re: Деформация голеней
Отправитель: Bagrat Grygoryan 20 Сентябрь 2005, 21:19
|
Глубокоуважаемый Александр,
>Плюс, минус - это при одной операции? В смысле, и иссекали небольшой
>клин, и оставляли открытый с другой стороны?
В зависимости от баланса связок, комбинировали (+-)остеотомии или производили полную
минус или плюс остеотомию
Оригинальные инструменты фирмы Вальдемар Линк в 1997 году стоили около 3000 М, ничего сложного, есть предварительная договоренность о тиражировании с НПО "Остеомед", пластины уже есть в наличии.
Файлы большие, более 10мб, если получите, отправлю! Могу скатать на диск и передать в ближайшее время. С уважением Баграт.
|
[
Ответить ]
|
Re: Деформация голеней
Отправитель: Alexander Zolotov 22 Сентябрь 2005, 05:59
|
Глубокоуважаемый Баграт,
Поделитесь, пожалуйста, опытом, как Вам удается выполнять такие качественные рентгеновские снимки всей ноги полностью? На трех кассетах одновременно? Стыки кассет обычно <крадут> 1-2 см изображения. На снимке Вашего пациента <украденных> участков нет!
Не могли бы Вы выслать Ваше пособие для врачей и на мой адрес: 692 245 Приморский край, г. Спасск-Дальний, Больничный переулок 2, городская больница, травматологическое отделение, Золотову А. С.
В свою очередь могу предложить собственную статью из американского журнала на родственную тему (устранение угловой деформации) с описанием ?little trick": Zolotov A. S. Reduction of an Angled Displacement Using the Ilizarov Apparatus // Orthopedics. - 2002. - Vol. 25, # 8. - P. 805-808. (303 kb)
Best regards,
Alexander
www.drzolotov.narod.ru
|
[
Ответить ]
|
Re: Деформация голеней
Отправитель: Bagrat Grigoryan 23 Сентябрь 2005, 17:59
|
Уважаемый Александр Сергеевич,
Качественные под нагрузочные рентгеновские снимки, получаются благодаря современному рентгеновскому оборудованию фирмы SIEMENS, (подробности могу уточнить у рентгенологов), а качественно стыковать (прозрачный скотч) научились с годами, но это для публикаций, для работы достаточно скрепить степлером по анатомическим осям с учетом толщины диафизов и грамотно расчертить. Пособие с удовольствием отправлю.
С интересом жду Вашей статьи
С уважением Баграт Степанович.
|
[
Ответить ]
|
|
( Ответить )
|
|