AOTRAUMA.ORG Центр Илизарова  

Ортопедия и травматология Общие вопросы/General questions Help Информационные технологии в медицине
 вверх
 отправить
 поиск
 админ
 главная
 Предыдущее


Re: Деформация голеней
Mangal Parihar 11 Сентябрь 2005, 11:28
Alex,

I do upper tibial osteotomies with either an ilizarov fixator and acute correction of the deformity or with an orthofix with gradual correction.

Sending you pics of the steps of the osteotomy and the frame.






















You can do the osteotomy in a "focal dome" or in a transverse fashion. The dome has the advantage of having a good contact, allowing weight bearing as tolerated early on.
The level is below the tibial tuberosity.

The frame I use is pretty simple, with one wire each in the proximal and distal ring, two schanz pins in the proximal ring, and one each in the middle and distal ring.

I preconstruct a frame with the proximal ring in varus by the use of coupled washers in the threaded rods in the front and back. These are used as hinges, and after the correction, a medial and lateral threaded rod is also added.

Since the center of rotation of these deformities is usually near the knee joint line, lateral translation of the distal fragment is necessary to normalise all the axes.

You can also do the osteotomy in a transverse fashion.

When I use an orthofix fixator, the osteotomy is oblique, starting below the tuberosity and ending 1 cm away from the lateral cortex at the level of the head of the fibula. No fibular osteotomy is needed there. The deformity is gradually corrected over 2 or three weeks.
You could also do the same with an ilizarov fixator

Regards

Mangal Parihar
  • Сообщения о Ортопедия и травматология
  • Также Mangal Parihar
  • Связаться с автором
  • Ответить

    Re: Деформация голеней
    Alexander Artemiev 11 Сентябрь 2005, 14:55
    Приветствую.
    MP> I do upper tibial osteotomies with either an ilizarov fixator and
    MP> acute correction of the deformity or with an orthofix with gradual
    MP> correction.

    Посмотрел я картинки:(
    Это не эстетика.
    Это рубка леса и лучевая болезнь.

    С уважением Александр Артемьев
    [ Ответить ]

    Re: Деформация голеней
    T. Derek V. Cooke 12 Сентябрь 2005, 21:48
    Hello Mangal:
    Very nice correction but, to my eye there is some 'over' correction of the tibia, now in some proximal valgus?
    What is the hka?
    What about the P/F joint orientation.

    Alex, with your permission I will run our alignment analaysis program on your long leg views and give you some correction options?
    Regards
    Derek
    [ Ответить ]

    • Re: Деформация голеней
      Отправитель: Alexander Chelnokov 12 Сентябрь 2005, 22:01
      TDVC> Alex, with your permission

      No permission required. You have your own copies of images and may
      do anything without any harm to originals ;-)

      TDVC> I will run our alignment analaysis program on your long leg
      TDVC> views and give you some correction options?

      It is very interesting! Pls do, it will be greatly appreciated.

      [ Ответить ]
      • Re: Деформация голеней
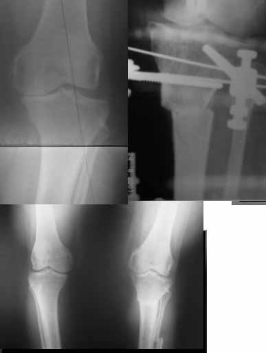
        Отправитель: T. Derek V. Cooke 13 Сентябрь 2005, 23:51
        Hello Alex:
        Thanks for the clinical photo.
        Your patient appears to have "Insquinting Knees"?
        I am attaching a word doc with a 'print screen' of the program in use, showing the images being viewed and analysed








        . On the right leg you can see some of the tools (from the tool bar above) applied to demonstrate a mild mech-axis varus of about 5 degrees.
        On the left the bone landmarks used in the anlaysis are shown.
        The data for the analysis are in the XLs sheet below, exported from the program automatically.
        I have given a label of the abreviations and some normative values.
        In essence she has a mild mech-axis varus of 7 degrees with some contribution from the femur (2) degrees and more from the tibia (6 degrees), none from the joint.
        The analysis took about 6 mins.
        Regards
        Derek

        [ Ответить ]
        • Re: Деформация голеней
          Отправитель: Alexander Chelnokov 14 Сентябрь 2005, 00:00
          TDVC> Your patient appears to have "Insquinting Knees"?

          Exactly.

          TDVC> In essence she has a mild mech-axis varus of 7 degrees
          TDVC> with some contribution from the femur (2) degrees and more from
          TDVC> the tibia (6 degrees), none from the joint.

          And what is conclusion? Should it be corrected, by what means, at what level, to what axis, with what lateral/medial translation?

          TDVC> The analysis took about 6 mins.

          THX to all people discussed the case.

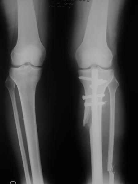
          Yesterday i performed correction of one leg (the plan to make both in one session was cancelled because of some external reasons). Suggestions of Nuno Lopes were most close to my view. A small wire distractor was used intraoperatively. Derotation ~6-7 degrees was performed also. CT scans evaluating rotation will be available only
          tomorrow. No problem to change rotation of the operated limb in the moment of the second surgery. Comments/critics are welcome.













          Can the attached result be analyzed by the software?

          [ Ответить ]

     

    ( Ответить )

    Powered by Zope  Squishdot Powered MedLink
    Посетитель: 0012791
      "По форме правильно, а по существу - издевательство" В.И.Ленин
    ©2001-2019Orthoforum Coordinator.
    [ Главная | Отправить сообщение | Поиск | Админ ]