Ответить
|
Re: застарелый многооскольчатый перелом мыщелков
Alexander Chelnokov 28 Октябрь 2005, 23:33
|
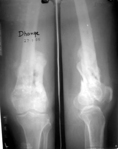
А можно нынешние рентгенограммы поглядеть?
|
[
Ответить ]
|
Re: застарелый многооскольчатый перелом мыщелков
Отправитель: Anton Vakulenko 28 Октябрь 2005, 23:34
|
Качественные только исходные рентгенограммы (вышлю или завтра или в понедельник). Все последующие рентгенисследования были малоинформативны
(в т.ч. и последние снимки). КТ-исследование делалось 3 или 4 дня назад...
|
[
Ответить ]
|
|
Re: застарелый многооскольчатый перелом мыщелков
Mangal Parihar 29 Октябрь 2005, 13:50
|
Anton,
He should certainly be given a period in skeletal traction - that will correct out his flexion deformity to a large extent. 4 weeks is not a long time, and certainly the deformity should be correctible.
You can then reassess his bony anatomy and then decide.
But I must say that I would certainly try every possiblity to fix his fractures, and hope for the best. "imperfect" joints do reasonably well at least for a while, and a TKR or Fusion, (depending on what he wants) is always an option if all else fails.
Mangal Parihar
|
[
Ответить ]
|
Re: застарелый многооскольчатый перелом мыщелков
Venkatachalam 29 Октябрь 2005, 13:51
|
This is a coronal split in the femoral condyle and is a rare injury. Please see attachment for ORIF result
|
[
Ответить ]
|
Re: застарелый многооскольчатый перелом мыщелков
Rajesh 29 Октябрь 2005, 13:53
|
CT shows major bony fragments which are markedly rotated .With this amount of bony damage,you probably should attempt to get reasonably loooking knee with ORIF and thn if he needs a TKR due to pain a few years from now, then tleast you have something looking like a knee that you can replace rather than having to use revision knee for a primary TKR now. 4 weeks is not too long .what is the condition of soft tissues?
Rajesh
Mr.K.R.Rajesh,MS,DNB,FRCS,FRCS(Orth)
Consultant Upper Limb Surgeon,
Division of Upper Limb & Joint Replacement Surgery.
Cosmopolitan Hospital,
Trivandrum,Kerala,
India.
|
[
Ответить ]
|
Re: застарелый многооскольчатый перелом мыщелков
Отправитель: Anton Vakulenko 29 Октябрь 2005, 13:55
|
Soft tissues are OK. What are your recommendations regarding surgical exposure, fragments' reduction, fixation and postoperative management?
--
Sincerely yours,
Dr. Anton V. Vakulenko
|
[
Ответить ]
|
|
Re: застарелый многооскольчатый перелом мыщелков
V.M.Iyer 29 Октябрь 2005, 14:02
|
Friends,
Before the CT and MRI era, we were treating the fractures with study of the Xrays alone. Such fractures with skeletal traction followed by non wtbearing mobilisation used to yield a fairly good range of movements. The CT gives a real ghastly picture of not so bad looking plain Xrays. I think this case needs traction to start with to correct the flexion deformity which probably will be achieved in 2 weeks time or less. We can then reassess the case with fresh Xrays. If possible one should try and fix the fragments to get some alignment. But the fixation should be stable enough to be able to mobilise the joint. Otherwise the traction can be continued for another 2 weeks to make the fracture sticky and then mobilise. We could get about 70 to 80* movements in spite of such communition. I am enclosing an Xray of a patient who is walking independantly and has 0 to 80* movemnts of the knee for the last one year

Cheers!
Dr V M Iyer
|
[
Ответить ]
|
Re: застарелый многооскольчатый перелом мыщелков
Alexander Chelnokov 29 Октябрь 2005, 14:50
|
В общем, можно сказать, что срок 1 месяц после травмы слишком мал, чтобы ставить крест на суставе. Почему вообще мысли об артродезе, если есть возможность эндопротезирования? Ведь не год, а всего месяц после травмы, движения тут восстановить легко. То, что сейчас у больного сгибательная установка и болезненны попытки движений, не говорит о том, что уже 4-главая мышца рубцово перерождена и по всей длине прочно спаяна с бедренной костью, есть фиброз сустава и т.д.
У нас в клинике поступление больных в подобные сроки - не исключение, а правило. Через месяц и даже позже можно ожидать вполне приемлемый
результат хирургического лечения. Снимков детальных нет, так что только в общем - артротомия с отсечением бугристости, репозиция, если импрессия - костная пластика, фиксация пластинами и винтами, укладка в послеоперационном периоде в положение 90/90 на первые 2-3 дня, затем использование аппарата для Continuous Passive Motions или скользящей функциональной шины.
Есть вариант закрытой артропластики, т.е. вытяжение, или аппарат с шарнирами, но это было бы опрадано разве что при инфицированных ранах в области сустава...
Первичное эндопротезирование - непривычно, но почему бы и нет, если доступный протез есть куда тут посадить?
Либо можно не ждать посттравматического артроза, а сразу планировать "вторичное раннее" эндопротезирование. То есть тогда задача первого
этапа оперативного лечения - максимальное воссоздание костного ложа для стандартного протеза, ранняя мобилизация, сохранение скользящего аппарата и мышц. Это можно сделать и путем открытой репозиции-внутренней фиксации, и закрыто (аппарат с закрытым усранением грубых смещений крупных фрагментов, или даже вытяжение +
функциональная шина).
|
[
Ответить ]
|
Re: застарелый многооскольчатый перелом мыщелков
Djoldas Kuldjanov 07 Ноябрь 2005, 18:49
|
При внутрисуcтавных переломах трехмерные (3D) изображения, кроме красивого снимка, не дают полную информацию о состоянии отломков, самыми информативными являются корональные срезы на КТ и обычная длинная ренгенограмма конечности для сравнения оси конечности.
«Soft tissues are OK. What are your recommendations regarding surgical
exposure, fragments' reduction, fixation and postoperative
management?»
Фронтальные внутрисуставные переломы мыщельков бедра, так называемые Hoffa fracture, не частые, но встречающиеся переломы, в основном они связаны с травмой высокой энергией.
В зависимости от смещения рекомендуется сопоставление костных фрагментов с последующей жесткой фиксацией.
В вашем случае доступ будет медиальный, сопоставить развернутый медиальный мыщелок и фиксацию надо произвести в передне-заднем
направлении шурупами 4.5 мм в диаметре, углубив головку шурупов под хрящ, а поперечную фиксацию - межмыщелковыми шурупами. Желательно применить шурупы 6.3 мм в диаметре. Дополнительная Buttress technique пластина предотвратит перелом от скольжения.
Даже при сросшемся переломе мыщелка рекомендуется реконструктивная операция для предотвращения последующих варус или вальгус деформации.
Место образовавшего костного дефекта после разворота мышелка заполняется спонгиозной аутокостью. Костная пластика применяется даже
в свежем случае.
Под наркозом редрессация, ранняя разработка сустава после операции, нагрузка на конечность через 12 недель помогут удержать без коллапса
фиксацию и поможет больному восстановить функции конечности без артропластики коленного сутава.
The Association between Supracondylar Intercondylar Distal Femoral Fractures and Hoffa Fractures Sean E. Nork, MD; Kamran Aflatoon, DO;
Daniel N. Segina, MD; Stephen K. Benirschke, MD; Milton L. Routt, MD; M. Bradford Henley, MD, Harborview Medical Center, Seattle, WA
Comparative Analysis for the Fixation of Coronal Distal Intra-articular Femur Fractures Paul Becker, MD; Paul R. Stafford, MD;
Ronald Goulet, PhD; Brent L. Norris, MD; Peter Nowotarski, MD, University of Tennessee College of Medicine-Chattanooga Unit, Chattanooga, TN
Djoldas Kuldjanov, MD
Department of Orthopedic Surgery
St. Louis University Medical Center
|
[
Ответить ]
|
( Ответить )
|
|