ВХОД ДЛЯ ПАЦИЕНТОВ
вверх
поиск
админ
главная
исходное
|
Re: застарелый многооскольчатый перелом мыщелков
послал V.M.Iyer 29 Октябрь 2005, 14:02
|
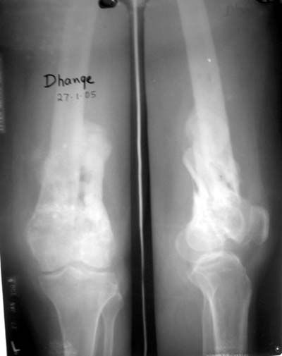
Friends,
Before the CT and MRI era, we were treating the fractures with study of the Xrays alone. Such fractures with skeletal traction followed by non wtbearing mobilisation used to yield a fairly good range of movements. The CT gives a real ghastly picture of not so bad looking plain Xrays. I think this case needs traction to start with to correct the flexion deformity which probably will be achieved in 2 weeks time or less. We can then reassess the case with fresh Xrays. If possible one should try and fix the fragments to get some alignment. But the fixation should be stable enough to be able to mobilise the joint. Otherwise the traction can be continued for another 2 weeks to make the fracture sticky and then mobilise. We could get about 70 to 80* movements in spite of such communition. I am enclosing an Xray of a patient who is walking independantly and has 0 to 80* movemnts of the knee for the last one year

Cheers!
Dr V M Iyer
|
| Послать ответ |
Обратите внимание: Поля с жирными названиями обязательны.
Старайтесь отвечать в рамках обсуждаемой темы, а не начинать новые обсуждения.
Указывайте адекватную тему сообщения, чтобы было ясно, о чем оно.
Не послайте сообщений не по теме (оффтопик), раздраженных, грубых или обидных комментариев. Здесь это неуместно.
|