AOTRAUMA.ORG Центр Илизарова  

Ортопедия и травматология Общие вопросы/General questions Help Информационные технологии в медицине
 вверх
 отправить
 поиск
 админ
 главная
 Предыдущее
 Весь тред


Re: Деформация голеней
Chris Wilson 11 Сентябрь 2005, 03:29
As someone who has done over 50 open wedge HTO's, and only 2 for aesthetic reasons( big decision) here is my 2pennyworth.
1) ignore the impossibly idealistic "Stratec" diagram of an osteotomy around the tibial tubercle. If you start your osteotomy (by osteotome and never powersaw)just in the start of the flare of the tibial metaphysis, about 12 cm below the joint line,and aim for the fibula head, it will give you an osteotomy length of 65 mm in the average patient and this equates to 1 mm opening per 1 deg of desired correction;
2)go about 3/4 the way across the bone;
3) expand the osteotomy slowly;
4) if the correction is large( over 8 deg) or any cracks appear, or you put the limb axis in or beyond the neutral plane, so that the osteotomy is in tension rather than compression, then use a strong device( e.g. a Tomofix plate) rather than a minimal invasive device( e.g. a Pudu plate) - have both available if you're not sure, as the actual kit to do the osteotomy is a bit better on the Pudu set
5) make your approach antero-medial, and deep to the MCL in the sub-periosteal plane, rather than medial and through the MCL, as described by Pudu - much better result

regards
Chris Wilson
University
Hospital
Cardiff
UK
  • Сообщения о Ортопедия и травматология
  • Также Chris Wilson
  • Связаться с автором
  • Ответить

    Re: Деформация голеней
    Alexander Chelnokov 13 Сентябрь 2005, 23:35
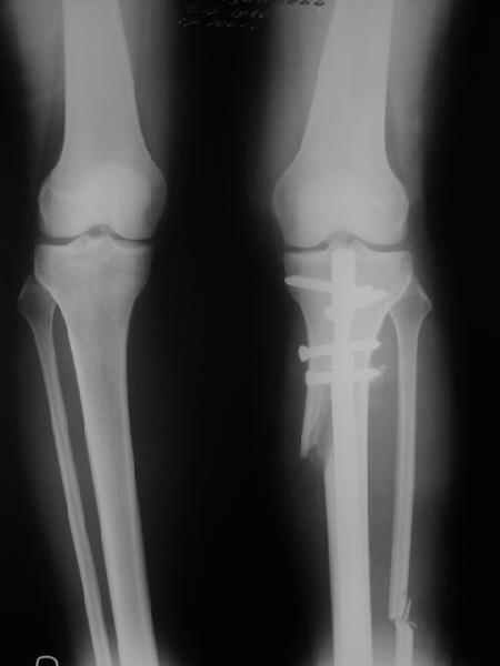
    Yesterday one leg was done (my plan to make both in one session were cancelled because of external reasons). So much exciting and useful experience.

    The osteotomy line i planned to make a bit oblique, but not so as you suggested. But at the moment of osteoclasis after corticotomy through the anterior stab wound the line became almost as you described. Now problem is how to reproduce thee line at the next leg ;-)

    The prominent fragment seems to be useful for cosmetic purposes, because aesthetic guys perform medialization of the distal fragment to gain attractive curve at the medial side of the leg. Also all locking options became available - initially i planned to engage only two most
    proximal 45 degree holes.
    I cut the fibula because i externally rotated the distal fragment by 6-7 degrees. With only angular correction it didn't show any displacement.
    Today CT for estimation of rotation was performed, results i will see only tomorrow. Rotation of the operated limb can be corrected with the second surgery. Comments/critics are welcome.












    [ Ответить ]


    ( Ответить )

    Powered by Zope  Squishdot Powered MedLink
    Посетитель: 0012731
      "По форме правильно, а по существу - издевательство" В.И.Ленин
    ©2001-2019Orthoforum Coordinator.
    [ Главная | Отправить сообщение | Поиск | Админ ]