AOTRAUMA.ORG Центр Илизарова  

Ортопедия и травматология Общие вопросы/General questions Help Информационные технологии в медицине
 вверх
 отправить
 поиск
 админ
 главная
 Предыдущее
 Весь тред


Re: застарелый вывих бедра
Alexey Rounkov 13 Май 2005, 17:41
Уважаемый Рашид Муртузалиевич,
Есть ли у Вас примеры установки протеза при обширных дефектах впадины?
Какой был самый большой дефицит задней колонны, какой срок наблюдения, довольны ли Вы результатом?
Существуют ли рекомендации по эндопротезированию с дефектами впадины, с указанием количественных характеристик дефекта и его расположения?
В предлагаемой ситуации имеется последствия перелома задней колонны, что значительно больше усугубляет ситуацию, чем банальный дефект заднего края, и костного материала из головки может просто не хватить, тем более что в таком случае как раз вся нагрузка должна лечь на эту несчастную костную пластику. Наколько оправданы такие опасения, на Ваш взгляд?
  • Сообщения о Ортопедия и травматология
  • Также Alexey Rounkov
  • Связаться с автором
  • Ответить

    Re: застарелый вывих бедра
    Рашид Муртузалиевич Тихилов 19 Май 2005, 23:11
    Уважаемый Д-р Рунков,
    Вы затронули очень интересный вопрос который до настоящего времени толком не решен. Мы проанализировали лечение 56 пациентов с различными травмами вертлужной впадины и подготовили статью, которую планируем опубликовать во 2-м номере ж-ла "Травматология и ортопедия России".
    Коротко по сути Ваших вопросов.

    РАВ> Уважаемый Рашид Муртузалиевич,
    РАВ> Есть ли у Вас примеры установки протеза при обширных дефектах впадины?
    РАВ> Какой был самый большой дефицит задней колонны, какой срок наблюдения,
    РАВ> довольны ли Вы результатом?

    Максимальные сроки наблюдения 5-6 лет. С появлением современных эндопротезов результаты сравнимы с первичным протезированием при обычном КА. Но, каждая операция нестандартная и требуется
    тщательнейшее планирование каждого шага и необходимо иметь несколько запасных вариантов.

    РАВ> Существуют ли рекомендации по эндопротезированию с дефектами впадины,
    РАВ> с указанием количественных характеристик дефекта и его расположения?

    Схематично можно сказать так - если есть контакт с 60% и более ВВ, то этого достаточно для последующей биологической фиксации чашки. Опять же НО, мы стараемся "подрыться" фрезами так, что бы был приемлимый упор чашки, а фиксация аутотрансплантата головки была прочной без каких либо дефектов и зазоров.

    РАВ> В предлагаемой ситуации имеется последствия перелома задней колонны,
    РАВ> что значительно больше усугубляет ситуацию, чем банальный дефект
    РАВ> заднего края, и костного материала из головки может просто не хватить,
    РАВ> тем более что в таком случае как раз вся нагрузка должна лечь на эту
    РАВ> несчастную костную пластику.

    Если у Вас есть дефект крыши, то никакая пластика не выдержит, лучше сразу ставить опорные кольца, все зависит от локализации костного дефекта.

    РАВ> Наколько оправданы такие опасения, на Ваш
    РАВ> взгляд?

    Такие опасения абсолютно оправданы.
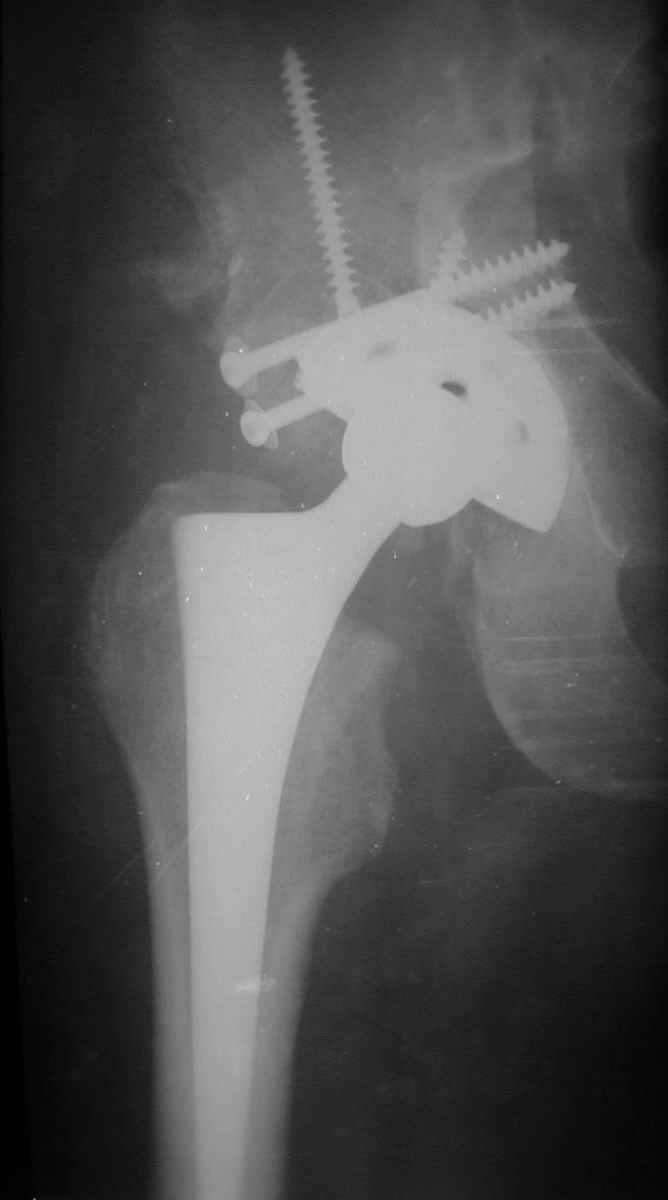
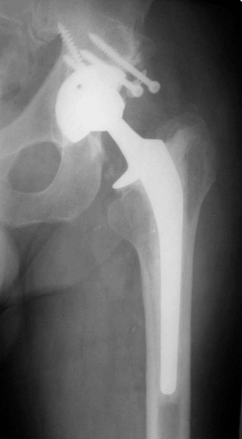
    В институте совместно с фирмой Зиммер достаточно регулярно (практически ежемесячно) проводятся 2-х недельные циклы по различным вопросам эндопротезирования. Если есть возможность и желание, мы готовы поделиться с Вами нашим опытом, тем более есть что показать и что обсудить - в настоящее время ежедневно выполняется от 6 до 10 эндопротезирований коленного и тазобедренного сустава. В качестве примеров хочу показать 2 наблюдения, через 1 год и 5 лет после операции

    С уважением, Р.Тихилов

























    1 год







    5 лет




    [ Ответить ]


    ( Ответить )

    Powered by Zope  Squishdot Powered MedLink
    Посетитель: 0039605
      "По форме правильно, а по существу - издевательство" В.И.Ленин
    ©2001-2019Orthoforum Coordinator.
    [ Главная | Отправить сообщение | Поиск | Админ ]