AOTRAUMA.ORG Центр Илизарова  

Ортопедия и травматология Общие вопросы/General questions Help Информационные технологии в медицине
 вверх
 отправить
 поиск
 админ
 главная
 Предыдущее


Re: застарелый вывих бедра
Рашид М. Тихилов 06 Май 2005, 08:38
Уважаемый Алексей,
У Вас есть две возможности помочь этому пациенту. Либо выполнить артродез сустава, либо эндопротезирование. Артродез потребует достаточно много времени (примерно 6 иемяцев) и существенно ограничит его возможности. Эндопротезирование в данном случае - операция не из простых. Какие могут быть проблемы:
1.Большой костный посттравматический дефект вертлужной впадины. Поэтому необходима КТ для четкого планирования операции. При наличии контакта чашки с вертлужной впадиной на 55-60%% недопокрытие компенсируется за счет костной аутопластики собственной удаленной головкой (фиксация головки минимум 2-я винтами). Если недопокрытие большое, или не удается установить чашку, то можно установить кольцо Мюллера, опять же с костной пластикой.
2. Низведение бедра. Нам удавалось низвести одномоментно до 2см, максимум 3 см. В противном случае - предоперационное скелетное вытяжение. Но даже в этом случае нет гарантии легкого вправления даже при полном релизе. Выход из ситуации - более низкая установка ножки.
3. Доступ - я предпочитаю передний доступ с обязательным (при больших сроках после травмы) задним релизом.
4. Принципиально можно ставить чашку выше истинной ВВ и компенсировать длину ноги более высоким положением ножки, но в данном случае в этом нет необходимости.
С уважением, Р.Тихилов
  • Сообщения о Ортопедия и травматология
  • Также Рашид М. Тихилов
  • Связаться с автором
  • Ответить

    Re: застарелый вывих бедра
    Anatoly Yakushin 06 Май 2005, 08:42
    Я согласен с Рашидом Муртузалиевичем по поводу проблемы с дефектом вертлужной впадины. К предоперационному планированию надо подойти очень серьезно, выполнение КТ обязательно.
    Мюллеровского укрепляющего кольца может и не хватить, надо быть готовым к установке кольца Ганса или Бурх-Шнайдера.

    Что касается низведения, то есть очень эффективная методика двухэтапного низведения, предложенная проф. Абельцевым.
    На первом этапе открываете зону сустава, резецируете головку и шейку, ставите вертлужный компонент, делаете полноценный задний релиз.
    Затем зашиваете рану и накладываете вытяжение.
    Проводите вытяжение возрастающими грузами и через неделю или две берете больного на повторную операцию, при которой ставите бедренный
    компонент.

    Таким способом можно компенсировать весьма значительные укорочения.

    Удачи.
    [ Ответить ]

    • Re: застарелый вывих бедра
      Отправитель: Alexander Chelnokov 06 Май 2005, 08:58
      AAY> Что касается низведения, то есть очень эффективная методика
      AAY> двухэтапного низведения, предложенная проф. Абельцевым.

      А почему не обсуждается предварительное низведение аппаратом таз-бедро? Чем оно a priori не устраивает? Насколько мне известно, этот подход сейчас применяется не только в нашей стране с богатым илизаровским анамнезом (ау, Елена Александровна Волокитина!), но и в Европе (см., например,
      здесь ). Аппарат наложить - проще некуда, по сравнению с накроватным вытяжением это заведомо более управляемый метод с куда большими возможностями...

      [ Ответить ]
      • Re: застарелый вывих бедра
        Отправитель: Волокитина Елена Александровна 24 Май 2005, 17:14
        Двухэтапный метод имплантации применяем только при высоких (подвздошных) вывихах - резекция головки, имплантация впадины, зашиваем рану, аппарат с двумя опорами на крыло и в нижней трети бедра, низводим 2-3 недели,темп низведения в аппарате по состоянию больного и неврологическим жалобам. При надацетабулярных неоарозах низводится бедро сразу же, без проблем, после небольшого релиза.
        В данном случае, думаю, проблем с низведением бедра не будет. Но стоит ли выполнять протезирование? Слишком много проблем, без особых надежд на успех. Артродез у данного молодого человека вполне оправдан. Или же первым этапом перед протезированием пойти на пластику впадины костью из головки и мобилизацию бедра, дождаться надежного заполнения дефекта, а потом уже думать об эндопротезировании.
        С уважением Е.А.Волокитина

        [ Ответить ]
    Re: застарелый вывих бедра
    Alexey Rounkov 13 Май 2005, 17:41
    Уважаемый Рашид Муртузалиевич,
    Есть ли у Вас примеры установки протеза при обширных дефектах впадины?
    Какой был самый большой дефицит задней колонны, какой срок наблюдения, довольны ли Вы результатом?
    Существуют ли рекомендации по эндопротезированию с дефектами впадины, с указанием количественных характеристик дефекта и его расположения?
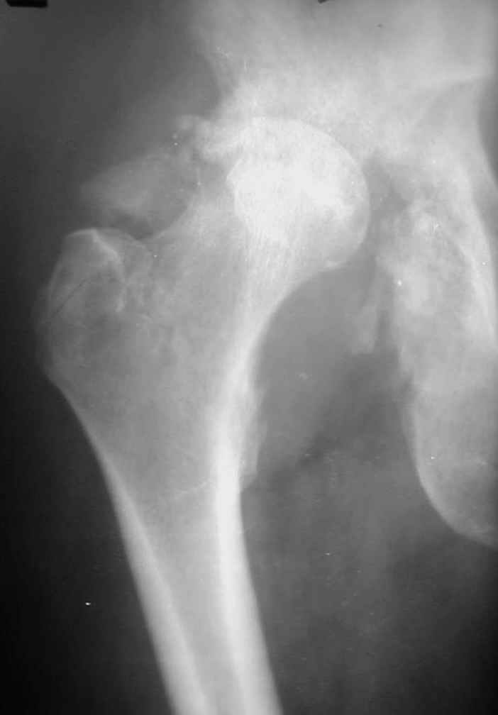
    В предлагаемой ситуации имеется последствия перелома задней колонны, что значительно больше усугубляет ситуацию, чем банальный дефект заднего края, и костного материала из головки может просто не хватить, тем более что в таком случае как раз вся нагрузка должна лечь на эту несчастную костную пластику. Наколько оправданы такие опасения, на Ваш взгляд?
    [ Ответить ]

    • Re: застарелый вывих бедра
      Отправитель: Рашид Муртузалиевич Тихилов 19 Май 2005, 23:11
      Уважаемый Д-р Рунков,
      Вы затронули очень интересный вопрос который до настоящего времени толком не решен. Мы проанализировали лечение 56 пациентов с различными травмами вертлужной впадины и подготовили статью, которую планируем опубликовать во 2-м номере ж-ла "Травматология и ортопедия России".
      Коротко по сути Ваших вопросов.

      РАВ> Уважаемый Рашид Муртузалиевич,
      РАВ> Есть ли у Вас примеры установки протеза при обширных дефектах впадины?
      РАВ> Какой был самый большой дефицит задней колонны, какой срок наблюдения,
      РАВ> довольны ли Вы результатом?

      Максимальные сроки наблюдения 5-6 лет. С появлением современных эндопротезов результаты сравнимы с первичным протезированием при обычном КА. Но, каждая операция нестандартная и требуется
      тщательнейшее планирование каждого шага и необходимо иметь несколько запасных вариантов.

      РАВ> Существуют ли рекомендации по эндопротезированию с дефектами впадины,
      РАВ> с указанием количественных характеристик дефекта и его расположения?

      Схематично можно сказать так - если есть контакт с 60% и более ВВ, то этого достаточно для последующей биологической фиксации чашки. Опять же НО, мы стараемся "подрыться" фрезами так, что бы был приемлимый упор чашки, а фиксация аутотрансплантата головки была прочной без каких либо дефектов и зазоров.

      РАВ> В предлагаемой ситуации имеется последствия перелома задней колонны,
      РАВ> что значительно больше усугубляет ситуацию, чем банальный дефект
      РАВ> заднего края, и костного материала из головки может просто не хватить,
      РАВ> тем более что в таком случае как раз вся нагрузка должна лечь на эту
      РАВ> несчастную костную пластику.

      Если у Вас есть дефект крыши, то никакая пластика не выдержит, лучше сразу ставить опорные кольца, все зависит от локализации костного дефекта.

      РАВ> Наколько оправданы такие опасения, на Ваш
      РАВ> взгляд?

      Такие опасения абсолютно оправданы.
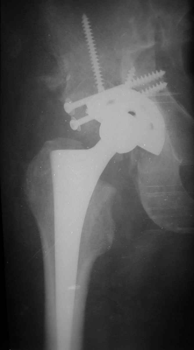
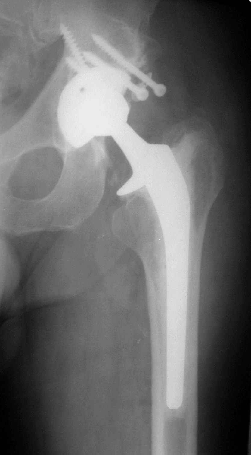
      В институте совместно с фирмой Зиммер достаточно регулярно (практически ежемесячно) проводятся 2-х недельные циклы по различным вопросам эндопротезирования. Если есть возможность и желание, мы готовы поделиться с Вами нашим опытом, тем более есть что показать и что обсудить - в настоящее время ежедневно выполняется от 6 до 10 эндопротезирований коленного и тазобедренного сустава. В качестве примеров хочу показать 2 наблюдения, через 1 год и 5 лет после операции

      С уважением, Р.Тихилов

























      1 год







      5 лет





      [ Ответить ]

     

    ( Ответить )

    Powered by Zope  Squishdot Powered MedLink
    Посетитель: 0040998
      "По форме правильно, а по существу - издевательство" В.И.Ленин
    ©2001-2019Orthoforum Coordinator.
    [ Главная | Отправить сообщение | Поиск | Админ ]