AOTRAUMA.ORG Центр Илизарова  

Ортопедия и травматология Общие вопросы/General questions Help Информационные технологии в медицине
 вверх
 отправить
 поиск
 админ
 главная
 Предыдущее
 Весь тред


Re: уровень остеотомии
Alexander Artemiev 05 Май 2005, 00:12
AVM> но вот у нас например нет таких длинных пленок...
У нас тоже нет таких пленок. Просто сдвигаешь несколько кассет.
Чтобы стоя - простой планшет из фанеры. В крайнем случае можно
лежа.
Если извествен тот сегмент, который деформирован, то можно
снять именно его (получатся, например, на двух сдвинутых
кассетах оба бедра с тазобедренными и коленными суставами).
Особенность режима съемки при увеличении фокусного расстояния -
снижение напряжения и увеличение экспозиции.

AVM> потому делаем так, как писал Александр - приклеиваем проволоку на
AVM> кожу...
AVM> и в два захода...
Скорее всего не избежать какого-то шевеления пациентра, поэтому велика
погрешность.

a>> Показания к корригирующей остеотомии при наличии сопутствующих проблем
a>> представлются сомнительными. Что это даст? Скорее всего - усугубит
a>> контрактуру. В любом случае сейчас основные усилия надо посвятить
a>> разаработке коленного сустава.


AVM> А как часто на фоне такой травмы удается достичь реабилитации?
AVM> И что считать адекватным уровнем разработки?
AVM> И солько по времени ей следует заниматься? Особенно если она будет
AVM> неудачна?
AVM> И каков процент положительных исходов консервативного/оперативного
AVM> лечения?

Пардон, изначально был задан вопрос об уровне остеотомии.
Так вот на фоне всех перечисленных проблем целесообразность остеотомии вызывает сомнения.

AVM> Все это к тому, что положительный результат на фоне всего выше
AVM> изложенного действительно под великим вопросом...
Ну вот именно...

a>> Что касается прямого ответа на поставленные вопросы, то остеотомию
a>> нужно выполнять на том сегменте, который деформирован.
AVM> А почему?

Ну как ответить? Потому что.
А на каком ещё?


AVM> В принципе, ход мыслей понятен и с ним нельзя не согласиться, но здесь...
AVM> как мне кажется...
AVM> имеется S-образная деформация бедра на фоне "многооскольчатого
AVM> перелома правой бедреннойљ кости на границе средней и нижней трети со смещением"

На представленных снимках эта деформация как раз и не представлена.

AVM> (хотя "длинные" снимки конечно же не помешали бы...)
AVM> Почему же не вмешаться на в/3 голени (вальгизировать)?

Согласно тому же Палею следует выделять 4 причины деформации (вальгусной или варусной) в области коленного сустава. Это требует выполнения доплнительных снимков (с распоркой в области колена и пр...).
Но этому, как я писал, посвящены 800 страниц и около тысячи рисунков.
Летом под настроение я взялся переводить эту книжку. Тормознулся на 3-й главе (из более чем 20-ти).

Всех благ.
Александр Артемьев
  • Сообщения о Ортопедия и травматология
  • Также Alexander Artemiev
  • Связаться с автором
  • Ответить

    Re: уровень остеотомии
    Alexey Mozgounov 09 Май 2005, 10:11
    a> У нас тоже нет таких пленок. Просто сдвигаешь несколько кассет.
    Внаслой?
    Или последовательно? В последнем случае будут зазоры...

    a> Скорее всего не избежать какого-то шевеления пациентра, поэтому велика
    a> погрешность.
    Да вроде не сталкивались особо...
    С шевелением - да... в смысле с размытостью,
    а вот со съезжанием хорошо прикрепленной к бедру метки при некотором перемещении больного при замене кассеты - нет.
    [ Ответить ]

    • Re: уровень остеотомии
      Отправитель: Alexander Artemiev 09 Май 2005, 10:16
      AVM> Внаслой?
      Не понял...

      AVM> Или последовательно?
      Естественно.

      AVM> В последнем случае будут зазоры...
      Ну конечно. Примерно 1,5 см. Нужно располагать их так, чтобы они не совпадали с линией суставов. После этого с учетом зазоров вешаешь их на окно - и обе ноги перед тобой. Сверху и до низу...

      a>> Скорее всего не избежать какого-то шевеления пациентра, поэтому велика
      a>> погрешность.
      AVM> Да вроде не сталкивались особо...
      AVM> С шевелением - да... в смысле с размытостью,
      AVM> а вот со съезжанием хорошо прикрепленной к бедру метки при некотором
      AVM> перемещении больного при замене кассеты - нет.

      Таких методик много - решетки, маркеры и пр.
      Оси по такой методике Вы не определите.
      Если будете обобщать свой материал для доклада или прензентации - запутаетесь сами и запутатете всех. Проходили.
      Но по опыту могу сказать, что пока сами не увидите и не оцените преимущества другой методики, вряд ли будете делать по-другому.
      Методика выполнения снимков "от и до" давно и повсеместно применяется в Кургане. Правда, там используют кассеты размером 30х90 и 30х120. Есть
      такие. Используются в ангографии. Мне таких найти не удалось, поэтому я сдвигаю несколько кассет.
      Американец Paley, на которого я ссылаюсь, много раз был в Кургане, многое увидел. Многое усовершенстовал сам.
      И, будучи талантливым человеком, всё доступно обобщил в своей книге.
      На русском языке ничего подобного написано не было:(

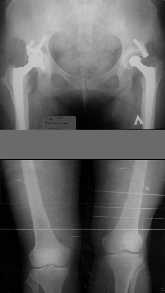
      1. Иллюстрации - во вложении.
      Два бедра после эндопротезирования.
      Авторы операции долго думали почему больная хромает.
      Сдклали снимок - одна нога короче почти на 3 см.
      Здоровый человек и то будет хромать.

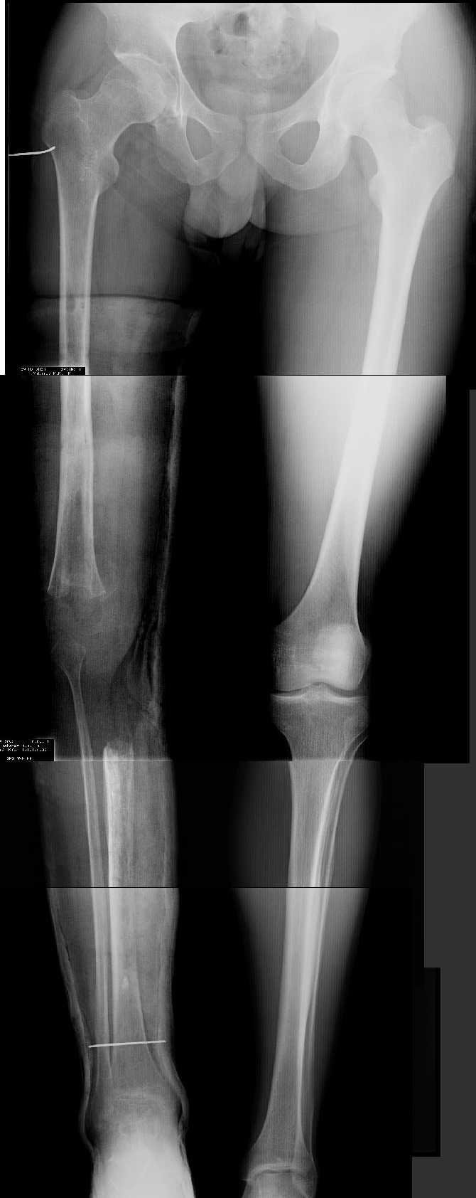
      2. Другой пример - дефект после инфицирования коленного эндопротеза.
      Предполагалось, что величина дефекта 11-12 см. Так получается, если
      сделать снимок только области коленных суставов. Определить
      укорочение сложно, так как нога просто болтатется.
      Сделали снимок "от и до" - величина дефекта 17 см.
      Правда эта иллюстарция сделана на цифровом рентгеновском аппарате.
      Больной стоит, а трубка передвигается сверху вних, последовательно
      выполняя рентгенограммы. В данном случае - 4 штуки.


      Но всё это требует времени, скурпулезности и, главное - заинтересованности. Любой - материальной, научной, практической - как угодно. Это штучный товар. Все эти укладки придется выполнять самому - ни рентгенолог, ни рентгенлаборант не справятся.


      Удачи.
      Александр Артемьев













      [ Ответить ]

     

    ( Ответить )

    Powered by Zope  Squishdot Powered MedLink
    Посетитель: 0000006
      "По форме правильно, а по существу - издевательство" В.И.Ленин
    ©2001-2019Orthoforum Coordinator.
    [ Главная | Отправить сообщение | Поиск | Админ ]