AOTRAUMA.ORG Центр Илизарова  

Ортопедия и травматология Общие вопросы/General questions Help Информационные технологии в медицине
 вверх
 отправить
 поиск
 админ
 главная
 Предыдущее
 Весь тред


Re: уровень остеотомии
Aleksey V. Mozgounov 03 Май 2005, 09:31
a> Прежде всего необходимо выполнить рентгенографию в таком положении,
a> как это показано на рис. (см. вложение).
a> После этого представится возможность оценить ось и сравнитьеё с нормой
a> Рисунки из кники Dror Paley - Принципы коррекции
a> деформаций.

Рисунок хороший,
но вот у нас например нет таких длинных пленок...
потому делаем так, как писал Александр - приклеиваем проволоку на
кожу...
и в два захода...
в том смысле что поттом сопоставляем по меткам...

но вот мне почему то думается что в Донецке прекрасно знают как делать
снимки всей нижней кончености... и с метками и по рис. из Палея...

a> Показания к корригирующей остеотомии при наличии сопутствующих проблем
a> представлются сомнительными. Что это даст? Скорее всего - усугубит
a> контрактуру. В любом случае сейчас основные усилия надо посвятить
a> разаработке коленного сустава.

AV> многооскольчатый перелом правой бедреннойљ кости на границе
AV> средней и нижней трети со смещением,
AV> В настоящее время стойкая разгибательная контрактура правого
AV> коленного сустава (сгибание 105-110 гр., разгибание 160-165 гр.),
AV> варусная деформация, болевой синдром.
А как часто на фоне такой травмы удается достичь реабилитации?
И что считать адекватным уровнем разработки?
И солько по времени ей следует заниматься? Особенно если она будет
неудачна?
И каков процент положительных исходов консервативного/оперативного
лечения?
...
Все это к тому, что положительный результат на фоне всего выше
изложенного действительно под великим вопросом...
и именно исходя из этого мне кажется Антон и ставил свой
вопрос...
Почему не спасать коленный сустав в первую очередь, а заниматься
малорезультатным лечением контрактуры?

a> Что касается прямого ответа на поставленные вопросы, то остеотомию
a> нужно выполнять на том сегменте, который деформирован.
А почему?
В принципе, ход мыслей понятен и с ним нельзя не согласиться, но здесь...
как мне кажется...
имеется S-образная деформация бедра на фоне "многооскольчатого
перелома правой бедреннойљ кости на границе средней и нижней трети со смещением"
(хотя "длинные" снимки конечно же не помешали бы...)
Почему же не вмешаться на в/3 голени (вальгизировать)?
По крайней мере это не усугубит контрактуры в коленном суставе но
позволит нормально перераспределить нагрузку...
  • Сообщения о Ортопедия и травматология
  • Также Aleksey V. Mozgounov
  • Связаться с автором
  • Ответить

    Re: уровень остеотомии
    Alexander Artemiev 05 Май 2005, 00:12
    AVM> но вот у нас например нет таких длинных пленок...
    У нас тоже нет таких пленок. Просто сдвигаешь несколько кассет.
    Чтобы стоя - простой планшет из фанеры. В крайнем случае можно
    лежа.
    Если извествен тот сегмент, который деформирован, то можно
    снять именно его (получатся, например, на двух сдвинутых
    кассетах оба бедра с тазобедренными и коленными суставами).
    Особенность режима съемки при увеличении фокусного расстояния -
    снижение напряжения и увеличение экспозиции.

    AVM> потому делаем так, как писал Александр - приклеиваем проволоку на
    AVM> кожу...
    AVM> и в два захода...
    Скорее всего не избежать какого-то шевеления пациентра, поэтому велика
    погрешность.

    a>> Показания к корригирующей остеотомии при наличии сопутствующих проблем
    a>> представлются сомнительными. Что это даст? Скорее всего - усугубит
    a>> контрактуру. В любом случае сейчас основные усилия надо посвятить
    a>> разаработке коленного сустава.


    AVM> А как часто на фоне такой травмы удается достичь реабилитации?
    AVM> И что считать адекватным уровнем разработки?
    AVM> И солько по времени ей следует заниматься? Особенно если она будет
    AVM> неудачна?
    AVM> И каков процент положительных исходов консервативного/оперативного
    AVM> лечения?

    Пардон, изначально был задан вопрос об уровне остеотомии.
    Так вот на фоне всех перечисленных проблем целесообразность остеотомии вызывает сомнения.

    AVM> Все это к тому, что положительный результат на фоне всего выше
    AVM> изложенного действительно под великим вопросом...
    Ну вот именно...

    a>> Что касается прямого ответа на поставленные вопросы, то остеотомию
    a>> нужно выполнять на том сегменте, который деформирован.
    AVM> А почему?

    Ну как ответить? Потому что.
    А на каком ещё?


    AVM> В принципе, ход мыслей понятен и с ним нельзя не согласиться, но здесь...
    AVM> как мне кажется...
    AVM> имеется S-образная деформация бедра на фоне "многооскольчатого
    AVM> перелома правой бедреннойљ кости на границе средней и нижней трети со смещением"

    На представленных снимках эта деформация как раз и не представлена.

    AVM> (хотя "длинные" снимки конечно же не помешали бы...)
    AVM> Почему же не вмешаться на в/3 голени (вальгизировать)?

    Согласно тому же Палею следует выделять 4 причины деформации (вальгусной или варусной) в области коленного сустава. Это требует выполнения доплнительных снимков (с распоркой в области колена и пр...).
    Но этому, как я писал, посвящены 800 страниц и около тысячи рисунков.
    Летом под настроение я взялся переводить эту книжку. Тормознулся на 3-й главе (из более чем 20-ти).

    Всех благ.
    Александр Артемьев
    [ Ответить ]

    • Re: уровень остеотомии
      Отправитель: Alexey Mozgounov 09 Май 2005, 10:11
      a> У нас тоже нет таких пленок. Просто сдвигаешь несколько кассет.
      Внаслой?
      Или последовательно? В последнем случае будут зазоры...

      a> Скорее всего не избежать какого-то шевеления пациентра, поэтому велика
      a> погрешность.
      Да вроде не сталкивались особо...
      С шевелением - да... в смысле с размытостью,
      а вот со съезжанием хорошо прикрепленной к бедру метки при некотором перемещении больного при замене кассеты - нет.

      [ Ответить ]
      • Re: уровень остеотомии
        Отправитель: Alexander Artemiev 09 Май 2005, 10:16
        AVM> Внаслой?
        Не понял...

        AVM> Или последовательно?
        Естественно.

        AVM> В последнем случае будут зазоры...
        Ну конечно. Примерно 1,5 см. Нужно располагать их так, чтобы они не совпадали с линией суставов. После этого с учетом зазоров вешаешь их на окно - и обе ноги перед тобой. Сверху и до низу...

        a>> Скорее всего не избежать какого-то шевеления пациентра, поэтому велика
        a>> погрешность.
        AVM> Да вроде не сталкивались особо...
        AVM> С шевелением - да... в смысле с размытостью,
        AVM> а вот со съезжанием хорошо прикрепленной к бедру метки при некотором
        AVM> перемещении больного при замене кассеты - нет.

        Таких методик много - решетки, маркеры и пр.
        Оси по такой методике Вы не определите.
        Если будете обобщать свой материал для доклада или прензентации - запутаетесь сами и запутатете всех. Проходили.
        Но по опыту могу сказать, что пока сами не увидите и не оцените преимущества другой методики, вряд ли будете делать по-другому.
        Методика выполнения снимков "от и до" давно и повсеместно применяется в Кургане. Правда, там используют кассеты размером 30х90 и 30х120. Есть
        такие. Используются в ангографии. Мне таких найти не удалось, поэтому я сдвигаю несколько кассет.
        Американец Paley, на которого я ссылаюсь, много раз был в Кургане, многое увидел. Многое усовершенстовал сам.
        И, будучи талантливым человеком, всё доступно обобщил в своей книге.
        На русском языке ничего подобного написано не было:(

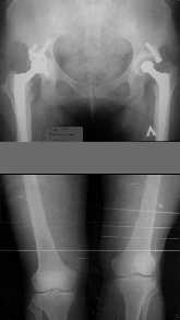
        1. Иллюстрации - во вложении.
        Два бедра после эндопротезирования.
        Авторы операции долго думали почему больная хромает.
        Сдклали снимок - одна нога короче почти на 3 см.
        Здоровый человек и то будет хромать.

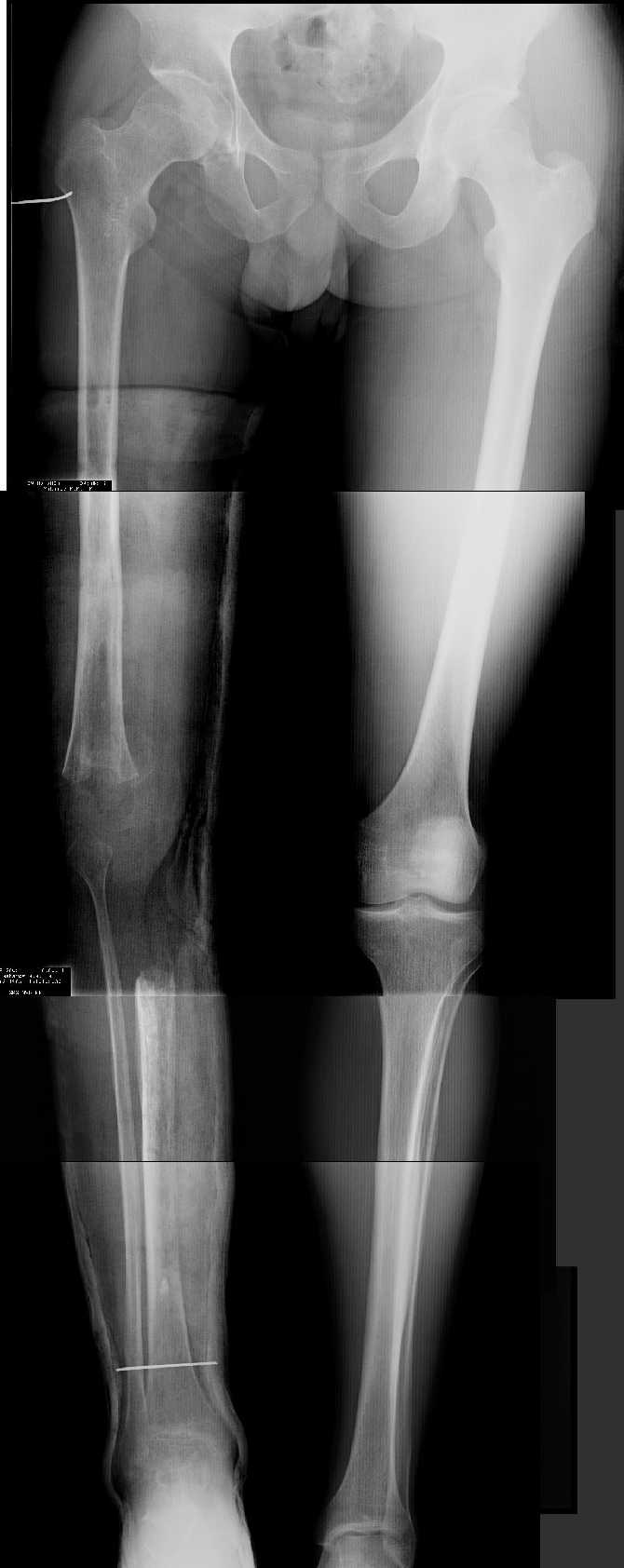
        2. Другой пример - дефект после инфицирования коленного эндопротеза.
        Предполагалось, что величина дефекта 11-12 см. Так получается, если
        сделать снимок только области коленных суставов. Определить
        укорочение сложно, так как нога просто болтатется.
        Сделали снимок "от и до" - величина дефекта 17 см.
        Правда эта иллюстарция сделана на цифровом рентгеновском аппарате.
        Больной стоит, а трубка передвигается сверху вних, последовательно
        выполняя рентгенограммы. В данном случае - 4 штуки.


        Но всё это требует времени, скурпулезности и, главное - заинтересованности. Любой - материальной, научной, практической - как угодно. Это штучный товар. Все эти укладки придется выполнять самому - ни рентгенолог, ни рентгенлаборант не справятся.


        Удачи.
        Александр Артемьев













        [ Ответить ]

     

    ( Ответить )

    Powered by Zope  Squishdot Powered MedLink
    Посетитель: 0036825
      "По форме правильно, а по существу - издевательство" В.И.Ленин
    ©2001-2019Orthoforum Coordinator.
    [ Главная | Отправить сообщение | Поиск | Админ ]