AOTRAUMA.ORG Центр Илизарова  

Ортопедия и травматология Общие вопросы/General questions Help Информационные технологии в медицине
 вверх
 отправить
 поиск
 админ
 главная
 Предыдущее
 Весь тред


Re: уровень остеотомии
Alexey Mozgounov 09 Май 2005, 10:11
a> У нас тоже нет таких пленок. Просто сдвигаешь несколько кассет.
Внаслой?
Или последовательно? В последнем случае будут зазоры...

a> Скорее всего не избежать какого-то шевеления пациентра, поэтому велика
a> погрешность.
Да вроде не сталкивались особо...
С шевелением - да... в смысле с размытостью,
а вот со съезжанием хорошо прикрепленной к бедру метки при некотором перемещении больного при замене кассеты - нет.
  • Сообщения о Ортопедия и травматология
  • Также Alexey Mozgounov
  • Связаться с автором
  • Ответить

    Re: уровень остеотомии
    Alexander Artemiev 09 Май 2005, 10:16
    AVM> Внаслой?
    Не понял...

    AVM> Или последовательно?
    Естественно.

    AVM> В последнем случае будут зазоры...
    Ну конечно. Примерно 1,5 см. Нужно располагать их так, чтобы они не совпадали с линией суставов. После этого с учетом зазоров вешаешь их на окно - и обе ноги перед тобой. Сверху и до низу...

    a>> Скорее всего не избежать какого-то шевеления пациентра, поэтому велика
    a>> погрешность.
    AVM> Да вроде не сталкивались особо...
    AVM> С шевелением - да... в смысле с размытостью,
    AVM> а вот со съезжанием хорошо прикрепленной к бедру метки при некотором
    AVM> перемещении больного при замене кассеты - нет.

    Таких методик много - решетки, маркеры и пр.
    Оси по такой методике Вы не определите.
    Если будете обобщать свой материал для доклада или прензентации - запутаетесь сами и запутатете всех. Проходили.
    Но по опыту могу сказать, что пока сами не увидите и не оцените преимущества другой методики, вряд ли будете делать по-другому.
    Методика выполнения снимков "от и до" давно и повсеместно применяется в Кургане. Правда, там используют кассеты размером 30х90 и 30х120. Есть
    такие. Используются в ангографии. Мне таких найти не удалось, поэтому я сдвигаю несколько кассет.
    Американец Paley, на которого я ссылаюсь, много раз был в Кургане, многое увидел. Многое усовершенстовал сам.
    И, будучи талантливым человеком, всё доступно обобщил в своей книге.
    На русском языке ничего подобного написано не было:(

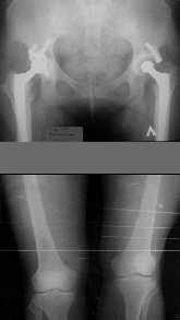
    1. Иллюстрации - во вложении.
    Два бедра после эндопротезирования.
    Авторы операции долго думали почему больная хромает.
    Сдклали снимок - одна нога короче почти на 3 см.
    Здоровый человек и то будет хромать.

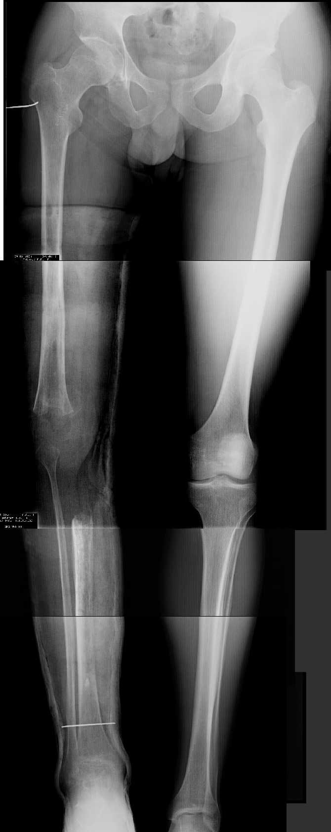
    2. Другой пример - дефект после инфицирования коленного эндопротеза.
    Предполагалось, что величина дефекта 11-12 см. Так получается, если
    сделать снимок только области коленных суставов. Определить
    укорочение сложно, так как нога просто болтатется.
    Сделали снимок "от и до" - величина дефекта 17 см.
    Правда эта иллюстарция сделана на цифровом рентгеновском аппарате.
    Больной стоит, а трубка передвигается сверху вних, последовательно
    выполняя рентгенограммы. В данном случае - 4 штуки.


    Но всё это требует времени, скурпулезности и, главное - заинтересованности. Любой - материальной, научной, практической - как угодно. Это штучный товар. Все эти укладки придется выполнять самому - ни рентгенолог, ни рентгенлаборант не справятся.


    Удачи.
    Александр Артемьев












    [ Ответить ]


    ( Ответить )

    Powered by Zope  Squishdot Powered MedLink
    Посетитель: 0000026
      "По форме правильно, а по существу - издевательство" В.И.Ленин
    ©2001-2019Orthoforum Coordinator.
    [ Главная | Отправить сообщение | Поиск | Админ ]