AOTRAUMA.ORG Центр Илизарова  

Ортопедия и травматология Общие вопросы/General questions Help Информационные технологии в медицине
 вверх
 отправить
 поиск
 админ
 главная
 Предыдущее


Re: Перелом "около пластинки"
Сергей Зырянов 26 Декабрь 2003, 09:37
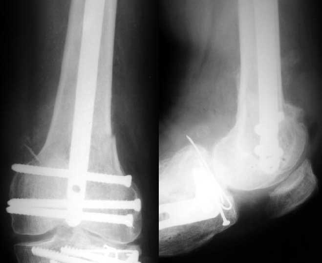
Думаю лучше зафиксировать мыщелковой клинковой пластиной 95 градусов или DCS. Трудно представить, как удастся закрепить дистальный отломок гвоздем.

Новосибирская область
г Куйбышев ЦРБ
Сергей Зырянов
  • Сообщения о Ортопедия и травматология
  • Также Сергей Зырянов
  • Связаться с автором
  • Ответить

    Re: Перелом "около пластинки"
    Alexander Chelnokov 27 Декабрь 2003, 17:15




    1


    S> Думаю лучше зафиксировать мыщелковой клинковой пластиной 95њ или DCS

    Можно и мыщелковой, и клинковой 90-градусной. Не хотелось бы только разрезов обширных, да скелетирования отломков.
    Вот новые пластинки LCP скорее раздобыть бы, с угловой стабильностью которые можно вводить подмышечно через небольшой разрез...

    S> Трудно представить , как удастся закрепить дистальный отломок гвоздем

    Винтами. Снимок в приложении.
    [ Ответить ]


    ( Ответить )

    Powered by Zope  Squishdot Powered MedLink
    Посетитель: 0027282
      "По форме правильно, а по существу - издевательство" В.И.Ленин
    ©2001-2019Orthoforum Coordinator.
    [ Главная | Отправить сообщение | Поиск | Админ ]