AOTRAUMA.ORG Центр Илизарова  

Ортопедия и травматология Общие вопросы/General questions Help Информационные технологии в медицине
 вверх
 отправить
 поиск
 админ
 главная


Перелом "около пластинки"
Ортопедия и травматология Отправлено Alexander Chelnokov 24 Декабрь 2003, 20:55
1
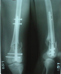
Мужчина 52 лет оперирован у нас 1,5 года назад по поводу перелома проксимального отдела большеберцовой кости. Все было неплохо, сгибал колено градусов до 60, ходил с полной нагрузкой, давно уже работал (служащий). Пару дней назад упал на скользкой улице - снимок в приложении. Какие предложения по лечению (пока первая мысль опять про закрытый интрамедуллярный остеосинтез)? И более широкий вопрос - как быть с локальным остеопорозом от бездействия после травм?
Merry Xmas!!! A male 52 years old was treated 1,5 years ago in our unit - ORIF of the proximal tibia. In 1 year follow-up all was OK - flexion 130, full WB, returned to work (white collar). Two days ago he fell on a slippery sidewalk - x-rays attached. How would you manage the injury? My first thought is closed nailing. And more common question - what we should do routinely with posttraumatic local osteoporosis? When full WB and function of the extremity is restored how long does a problem of such fractures exist?

<  |  >

 

  • Сообщения о Ортопедия и травматология
  • Также Alexander Chelnokov
  • Связаться с автором
  • Ответить

    Re: Перелом "около пластинки"
    Снаткин Владимир Ильич 25 Декабрь 2003, 05:43
    Внеочаговый остеосинтез по Илизарову с фиксацией коленного сустава на шарнирах до 4-6 недель. Эта методика менее травматична и позволяет сохранить функцию коленного сустава.
    [ Ответить ]

    • Re: Перелом "около пластинки"
      Отправитель: Alexander Chelnokov 27 Декабрь 2003, 14:32
      С меньшей травматичностью абсолютно согласен. Кстати, дистальный отломок тут достаточно большой, чтобы обойтись без фиксации голени, так что можно обойтись без шарниров.

      А вот насчет сохранения функции колена - это вряд ли лучший выбор. Практически любой вариант хирургической стабилизации, пожалуй, лучше аппарата в "стратегическом" плане.

      Да, в аппарате можно двигать коленом изо всех сил прямо с момента наложения, а при открытых операциях есть большая рана, которой надо дать зажить. Но амплитуда в аппарате при такой локализации перелома не превысит 60-90 градусов весь период пребывания, плюс риск проблем со спицами. Возможно, коллега Леонид Н. Соломин меня поправит, он недавно представлял очень интересную анатомо-хирургическую работу по оптимизации функциональных возможностей аппаратной фиксации.

      А по заживлении даже большой раны можно неделям к 4 с момента операции иметь амплитуду больше 90, в том числе полное разгибание.

      Ну а при закрытом интрамедуллярном остеосинтезе и ран обширных нет, и сквозного прошивания кожи, фасций и мышц. То есть можно с первых дней двигать, как при аппаратонм лечении, но таких помех не иметь.

      [ Ответить ]
    Re: Перелом "около пластинки"
    J.C. Goslings 25 Декабрь 2003, 08:05
    Nailing seems a good option. We probably would use a Synthes LISS plate but I expect that this is not available in your hospital.

    Good luck, Carel Goslings
    Trauma Unit AMC Amsterdam
    [ Ответить ]

    Re: Перелом "около пластинки"
    John T. Ruth 25 Декабрь 2003, 08:06
    Many options for this. Would favor peri-locking plate if available, second choice blade plate, and last would be retrograde rod. Low fracture line and osteopenia makes retrograde rod last choice due to poor fixation of locking screws. Don't know answers to other questions.
    Certainly important though.
    [ Ответить ]

    • Re: Перелом "около пластинки"
      Отправитель: Alexander Chelnokov 27 Декабрь 2003, 13:48
      JTR> Many options for this. Would favor peri-locking plate if available,
      JTR> second choice blade plate, and last would be retrograde rod.

      Why antegrade nail is not mentioned?

      JTR> Low fracture line and osteopenia makes retrograde rod last
      JTR> choice due to poor fixation of locking screws.

      I inserted 3 locking screws. Locking plates are still not available in our settings. Is there any comprartive study of locked plates vs nails in distal femoral fractures?

      JTR> Don't know answers to other questions. Certainly important

      Noted.

      [ Ответить ]
      • Re: Перелом "около пластинки"
        Отправитель: Bill Burman 27 Декабрь 2003, 13:57
        >Is there any comparative study of locked plates vs nails
        >in distal femoral fractures?

        Biomechanical Evaluation of the Less Invasive Stabilization System (LISS), Angled Blade Plate, and Retrograde Intramedullary Nail for the Fixation of Distal Femur Fractures: An Osteoporotic Cadaveric Model

        http://www.hwbf.org/ota/am/ota02/otapa/OTA02855.htm


        Comparison of the LISS and a Retrograde Inserted Supracondylar Intramedullary Nail for Fixation of a Periprosthetic Distal Femur Fracture Proximal to a Total Knee Arthroplasty

        http://www.hwbf.org/ota/am/ota02/otapo/OTP02007.htm


        Bill Burman, MD

        HWB Foundation

        [ Ответить ]
    Re: Перелом "около пластинки"
    Dr Meraj A.KHAN 25 Декабрь 2003, 08:07
    in my opinion there are two options,

    1- D.C.S

    2- Supracondylar Nailing

    With D.C.S there may be difficulty if there is significant
    osteoporosis .This may not hold the screws nicely.

    thanks

    Dr M.A.KHAN

    K.A.A.HOSPITAL

    Makkah
    [ Ответить ]

    Re: Перелом "около пластинки"
    V M Iyer 25 Декабрь 2003, 08:08
    AC>>My first thought is closed nailing.
    Absolutely right and is the correct way of management. Mobilise him as early as possible.

    AC>>what we should do routinely with
    posttraumatic local osteoporosis?

    Nothing special. Encourage him to do all his activities as before. By the way, I do not see any osteoporosis. The fracture of femur, he would have sustained anyway with the fall.

    AC>>When full WB and function of the
    extremity is restored how long does a problem of such fractures exist?

    It does not exist


    V M Iyer
    . Iyer Orthopaedic Centre,
    103,Railway lines Solapur.413001.
    [ Ответить ]

    • Re: Перелом "около пластинки"
      Отправитель: Alexander Chelnokov 27 Декабрь 2003, 13:43
      VMI> Absolutely right and is the correct way of management. Mobilise him as early
      VMI> as possible.

      Antegrade nailing was performed yesterday. The patient already mobilized with crutches.

      VMI> way, I do not see any osteoporosis. The fracture of femur, he would have
      VMI> sustained anyway with the fall.

      It seems to me usual fall can't break the femur - some contributing factor needed.

      VMI> extremity is restored how long does a problem of such fractures exist?
      VMI> It does not exist

      I don't have statistics but intuitively peri-implant fractures must be more common after minor injuries than in people without recent fractures of the same/adjacent segment or total hip/knee replacement.

      [ Ответить ]
      • Re: Перелом "около пластинки"
        Отправитель: V.M.Iyer 27 Декабрь 2003, 14:11
        I was thinking of a retrograde nail because I thought the fracture was too low. I would love to see the postop Xrays. Thanks in advance

        V M Iyer
        . Iyer Orthopaedic Centre,
        103,Railway lines Solapur.413001.

        [ Ответить ]
        • Re: Перелом "около пластинки"
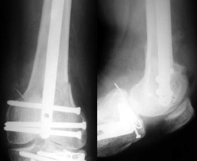
          Отправитель: Alexander Chelnokov 27 Декабрь 2003, 21:34




          1

          Sorry but I've just prepared postop images - attached. A solid 13 mm nail was used. A few degrees of recurvation appears to be which i missed on image intensifier. I'm still uncertain about
          advantages/disadvantages of ante/retrograde nailing for such fractures.

          [ Ответить ]
          • Re: Перелом "около пластинки"
            Отправитель: V.M.Iyer 27 Декабрь 2003, 21:36
            The fixation as you have done is excellent. The locking screws on either side of the # are so apart. When we put in a supracondylar nail thro a keyhole incison in the knee, the locking bolts will be nearer the # and will be more stable allowing him to bear wt early. That was the reason the supracondylar nail was innovated. The locking is done by jig and no freehand method saving time.
            V M Iyer

            [ Ответить ]
            • Re: Перелом "около пластинки"
              Отправитель: Alexander Chelnokov 28 Декабрь 2003, 19:37
              VMI> The locking screws on either side of the # are so apart. When we
              VMI> put in a supracondylar nail thro a keyhole incison in the knee,
              VMI> the locking bolts will be nearer the #

              Than in the presented case?

              VMI> and will be more stable allowing him to bear wt early.

              It hardly ever depends only on where the nail was inserted from. Also such factors as thickness of locking screws, their number and distance between them (and to the ends of the fragment) must play some role.

              VMI> The locking is done by jig and no freehand method saving time.

              Since one of nail ends has to be locked without targeting device i prefer this to be the distal end.

              [ Ответить ]
              • Re: Перелом "около пластинки"
                Отправитель: V. M. Iyer 28 Декабрь 2003, 20:25




                1

                Alex>>Since one of nail ends has to be locked without targeting device i
                Alex.>> prefer this to be the distal end.

                In the supracondylar nail system both the ends are lockable by jig and no free hand technique is needed.

                Alex>> Than in the presented case?
                I do not see the proximal bolts; I presume they must be at he trochanter level. In a supracondylar nail you are able to see both side bolts in one picture. ( Enclosure)



                [ Ответить ]
          • Re: Перелом "около пластинки"
            Отправитель: DR MOHD IQBAL 01 Январь 2004, 17:35
            Amazing ! Best result in a worst fracture./

            Hope it didn`t have intra articular extension. If u had encountered this finding during surgery, rather after pushing the nail inside or during hammering the nail, Could u had managed it closed or what u would have done.

            Anyway great job being done by ILN nails.

            Please enlighten about your technique, positioning of pt. ,Type of table, special points to remember Prior & during surgery.

            Looking forward for a response from your side.

            Thanks

            Iqbal

            DR Mohd Iqbal

            Kota Trauma Hospital

            Chambal Garden Road

            KOTA 324009INDIA

            [ Ответить ]
            • Re: Перелом "около пластинки"
              Отправитель: Alexander Chelnokov 01 Январь 2004, 17:50
              DMI> Hope it didn`t have intra articular extension. If u had encountered this

              The discussed case was pure metaphyseal, not T- or Y- intraarticular.
              Though the second case was C2 fracture, and it took to perform closed reduction with joystick wires, and then insert opposite olive wires.

              DMI> Please enlighten about your technique, positioning of pt. ,Type of table,

              A small wire distractor was used for intra op reduction. Position - supine with adduction and internal rotation of the affected limb.

              [ Ответить ]
          • Re: Перелом "около пластинки"
            Отправитель: Tom DeCoster 02 Январь 2004, 14:58
            the postop radiographs look excellent.
            What do people think about driving an antegrade nail this distal as compared to retrograde nailing?

            [ Ответить ]
            • Re: Перелом "около пластинки"
              Отправитель: Chris Wilson 02 Январь 2004, 15:00
              Because retrograde nails are not without their problems.There's a poor choice of sizes,and you have to breach a normal joint,with risk of infection,and even greater risk of fat pad or patella tendon fibrosis later.

              Regards
              Chris Wilson
              UIniversity Hospital
              Cardiff
              UK

              [ Ответить ]
              • Re: Перелом "около пластинки"
                Отправитель: Tom DeCoster 03 Январь 2004, 13:06
                Those are all the arguments against retrograde nailing (surgical injury to the knee), but there are advantages like better distal fixation and control.
                The antegrade nail in the case shown is probably into the knee joint slightly.
                This case looks great but there must be some risk of splitting the condyles or other knee joint injury when driving an antegrade nail this distal. The antegrade nail also has entry site problems including variable injury to the hip muscles, heterotopic ossification, femoral neck fracture, and positioning difficulties. Overall the entry site problems seem about the same for the two techniques. If that is the case then the decision might come down to which one offers better distal fixation and that might be retrograde nail. If there are more entry site problems with retrograde nail than antegrade the antegrade nailing might be preferable even if the distal fixation isn't quite as good or reliable.

                So, to me, it is a trade-off between benefits and risks for specific fracture patterns. In this case of a very distal femur shaft fracture the antegrade nail driven very distal in the femur looks extremely good. Without a comparative series we are left to base decisions on general principles, theory and related experience.

                TD

                [ Ответить ]
                • Re: Перелом "около пластинки"
                  Отправитель: Alexander Chelnokov 04 Январь 2004, 17:00
                  TAC> the knee), but there are advantages like better distal fixation and control.

                  This strongly depends on a particular nail design - number of holes, distance between them, distance from the distal tip of the nail to the most distal hole. The latter distance can be minimized in antegrade nail to literally 3-4 mm while retrograde nails have to reserve more space for the threaded canal of the nail connecting screw.

                  TAC> The antegrade nail in the case shown is probably into the knee joint slightly.

                  Not in this case. Though i have a couple of similar cases with 3-4 mm prominince of the nail - looks asymptomatic or covered by pre-existing problems.

                  TAC> This case looks great but there must be some risk of splitting the condyles or
                  TAC> other knee joint injury when driving an antegrade nail this distal.

                  The risk is minimized by using of a distractor with some olive wires.
                  Also canal in the condyles can be prepared by a long awl.

                  TAC> difficulties. Overall the entry site problems seem about the same for the two
                  TAC> techniques.

                  Isn't early knee mobilization easier without a recent local wound?

                  TAC> If that is the case then the decision might come down to which one
                  TAC> offers better distal fixation and that might be retrograde nail.

                  Why retrograde nails offer better distal fixaton? Maybe holes for locking scrws are threaded?

                  TAC> nail driven very distal in the femur looks extremely good.
                  TAC> Without a comparative series we are left to base decisions on

                  In our settings same nails are used for ante- and retrograde insertion.
                  For distal cases presuming particular design of the nail i prefer antegrade. Retrograde is reserved for unilateral femur+tibia fractures, problems in the hip region (implants, excessive scars, neck fractures).

                  [ Ответить ]
                  • Re: Перелом "около пластинки"
                    Отправитель: Tom DeCoster 05 Январь 2004, 15:19
                    All good and cogent arguments for antegrade nailing.

                    Regarding knee motion:
                    Knee motion is slower to return after retrograde nailing as you mention, but does come back after a few months just like or better than other knee operations (e.g., ACL reconstruction). Hip motion (that you didn't mention) returns to normal faster and more completely with retrograde nailing than antegrade.
                    Hence the concept of "entry site problems are probably equivalent."

                    Regarding distal fixation. I think the retrograde nail has better distal fixation because it is typically placed under direct control more distally in the distal fragment with potential for nail in the subchondral bone. The distal screws (3 or more) can be placed obliquely in several planes with nail mounted guides giving better purchase on the distal fragment than the typical co-linear transverse screws (often 2 or maybe 3). The clustered oblique screws seem better at resisting toggling of the voluminous distal fragment around the nail better than the co-linear screws, (which were designed for and work great for rotation and length control of mid-diaphyseal fractures).

                    But that is theory and you can achieve many of the desired effects with antegrade technique by driving the nail very distally as in the case shown and using a nail with very distal locking screws, as you mentioned and illustrated.
                    That's what makes this case an interesting discussion.

                    TD

                    [ Ответить ]
                    • Re: Перелом "около пластинки"
                      Отправитель: Alexander Chelnokov 05 Январь 2004, 23:19
                      TAC> does come back after a few months just like or better than other knee
                      TAC> operations (e.g., ACL reconstruction).

                      It would be interesting to compare long-term follow up of both techniques.

                      TAC> Hip motion (that you didn't mention) returns to normal faster
                      TAC> and more completely with retrograde nailing than antegrade.

                      Really i didn't check limits of abduction/rotation. But it seems that fnctionally significant range of hip motions is not strongly affected.

                      TAC> Hence the concept of "entry site problems are probably equivalent."

                      Yes, i agree in general - cases of abductor weakness show that there is no ideal here.

                      TAC> fixation because it is typically placed under direct control

                      Pls add some more details about the direct control.

                      TAC> screws (3 or more) can be placed obliquely in several planes with nail mounted

                      Not available here yet. Though tibial nails can be used as retrograde femoral - it has 45 degrees holes except trasverse.

                      TAC> better than the co-linear screws, (which were designed for and work great for
                      TAC> rotation and length control of mid-diaphyseal fractures).

                      Why the holes are not threaded? It would provide greatest angular stability.

                      TAC> using a nail with very distal locking screws, as you mentioned and illustrated.
                      TAC> That's what makes this case an interesting discussion.

                      THX for your as usual very interesting comments.

                      [ Ответить ]
                      • Re: Перелом "около пластинки"
                        Отправитель: Tom DeCoster 06 Январь 2004, 11:43
                        1. Knee motion after antegrade and retrograde nailing of femur shaft fractures has been reviewed and generally suggests knee motion is slower to return after retrograde nailing but at 3 months motion is generally full and equal with the 2 techniques.

                        2. For distal femur fractures the typical comparison has been between retrograde nails and plates and the motion is similar with the two techniques, although some loss of motion is typical.

                        3. I agree with Dr. Carr's description of the subchondral purchase of retrograde nails.

                        4. Threaded distal locking holes in retrograde nails seems like a good idea but is not yet available, to my knowledge. Locking plates are gaining great popularity over the past year and do provide for a construct with outstanding stability.

                        5. Direct control to me means the relative small distal fragment can be moved with the partially inserted nail used as a joystick in contrast to the "indirect" reduction achievable by trying to align the distal fracture with an antegrade nail. Other percutaneous manipulation/reduction maneuvers are occasionally required. Rarely would extending the incision to visualize the fracture surfaces of an extra-articular distal femur fracture be required.

                        6. "Generations" are used colloquially in many medical musings. I would say first generation nails were Kuntscher type without locking. Second generation were lockable nails. A variety of products have referred to themselves as third generation (titanium, sleeved systems, retrograde, active compression nails and the like) but none have really been a quantam improvement and I doubt there is any consensus on what, if anything, constitutes a third generation nail as of 2004.

                        [ Ответить ]
                  • Re: Перелом "около пластинки"
                    Отправитель: Manuel Becerra 05 Январь 2004, 15:21
                    You have shown a very nice case but could you pls answer the following questions?

                    1. How was the overall X-ray exposure as compared to that of a retrograde nail?
                    2. How did you reduce the distal fragment: open, mini-open, closed, joystick technique?
                    3. How can you make sure there is no or a slight distal protrusion: only C-arm, C-arm and X-ray, mini-open?
                    4. If there is a protrusion how can you make certain there is no damage to cartilage, PCL?
                    5. There is an "exact" entry point for the retrograde nail, how can you control the "exit point"? (Blumensaat's line?)

                    thanks and regards

                    Manuel Becerra MD
                    Lima - Peru

                    [ Ответить ]
                    • Re: Перелом "около пластинки"
                      Отправитель: Alexander Chelnokov 05 Январь 2004, 15:24
                      MB> 1. How was the overall X-ray exposure as compared to that of a
                      MB> retrograde nail?

                      Never performed retrograde nailing for such a distal fracture so have nothing to compare with.

                      MB> 2. How did you reduce the distal fragment: open, mini-open, closed,
                      MB> joystick technique?

                      Closed, by a small wire external distractor.

                      MB> 3. How can you make sure there is no or a slight distal protrusion:
                      MB> only C-arm, C-arm and X-ray, mini-open?

                      C-arm only, and post-op X-rays, of course. Though as i mentioned before there were cases of the slight distal protrusion which didn't cause any troubles.

                      MB> 4. If there is a protrusion how can you make certain there is no damage
                      MB> to cartilage, PCL?

                      One can be definitely certain about damage of the cartilage only with direct vizualization (arthroscopic?) - in the case i certain only that the canal was prepared by awl and the nail was not pulled out to the position. PCL must be posterior to the nail - never thought about it.

                      MB> 5. There is an "exact" entry point for the retrograde nail, how can you
                      MB> control the "exit point"? (Blumensaat's line?)

                      Also with the intercondylar notch at some AP shots with different cranial deviation.

                      [ Ответить ]
                • Re: Перелом "около пластинки"
                  Отправитель: James Carr 05 Январь 2004, 15:28
                  A good summary by Tom. Technically, the retrograde is much easier, and allows for exact reduction of the condyles by visualization. It also obtains fixation through the entry tunnel if the nail engages it. I have experienced cases of arthrofibrosis, and patellar ligament scarring though, so it is a trade off to be sure. Interestingly, as Alex points out, antegrade nails often have screw holes closer to the end of the nail. Jim Carr

                  [ Ответить ]
                  • Re: Перелом "около пластинки"
                    Отправитель: Alexander Chelnokov 05 Январь 2004, 23:16
                    JC> easier, and allows for exact reduction of the condyles by
                    JC> visualization.

                    Do you mean arthroscopiс control or incision for the nail is large enough to view/control the condyles? Can you pls describe the technique?

                    JC> It also obtains fixation through the entry tunnel
                    JC> if the nail engages it.

                    Didn't get the idea - could you pls explain?

                    JC> antegrade nails often have screw holes closer to the end of the nail.

                    So maybe it takes some re-design of the end of the nail to adopt features of distal/retrograde nails?
                    BTW can somebody point a source where definitions can be found whar first, second etc generations nails are. THX in advance.

                    [ Ответить ]
                    • Re: Перелом "около пластинки"
                      Отправитель: James Carr 06 Январь 2004, 11:28
                      Since the retrograde nail can be placed by arthrotomy, direct visualization of the fracture is made. No arthroscope is needed. Secondly, the retrograde nail is placed through a drill hole in the notch- an area that has good subchondral bone. This creates a snug fitting tunnel in which the end of the nail can be left, thus providing some fixation. Hope that helps. I am not aware of a source to define the various generations of nails. Jim


                      [ Ответить ]
      • Re: Перелом "около пластинки"
        Отправитель: Abdelsalam Eid 28 Декабрь 2003, 19:30
        I appreciate your admiration for Itramedullry nailin which you once told us was recently introduced in your unit.
        But, don't you think you are using antigrade nails for some very low fractures including some intercondylar fractures. Do ou have a reference supporting antigrade nailing in such occasio in favour of other choices eg DCS, Supracondylar nail, condylar buttress plate. And perhaps you could show us also some of your results, that is (follow up) not immediate postop x rays.

        Many thanks

        Abdelsalam Eid, MCh(Ortho)(Zagazig), AFSA(Ortho)(Paris V)

        Assistant Lecturer

        Zagazig University

        Egypt

        [ Ответить ]
        • Re: Перелом "около пластинки"
          Отправитель: Alexander Chelnokov 28 Декабрь 2003, 21:01





          1

          2


          de> you think you are using antigrade nails for some very low
          de> fractures including some intercondylar fractures.

          Exactly. It seems the option looks underestimated.

          de> Do ou have a reference supporting antigrade nailing in such
          de> occasio in favour of other choices eg DCS, Supracondylar nail,

          No, i haven't seen such comparisons. However some advantages of closed antegrade nailing vs conventional plating looks self-evident like no site opeining, no bone skeletization, less blood loss, no need for autografting... If you or other colleagues can help me with the references it would be greatly appreciated. I would be interested also to compare ante- vs retrograde nailing for the localization.

          de> And perhaps you could show us also some of your results ,
          de> that is (follow up) not immediate postop x rays.

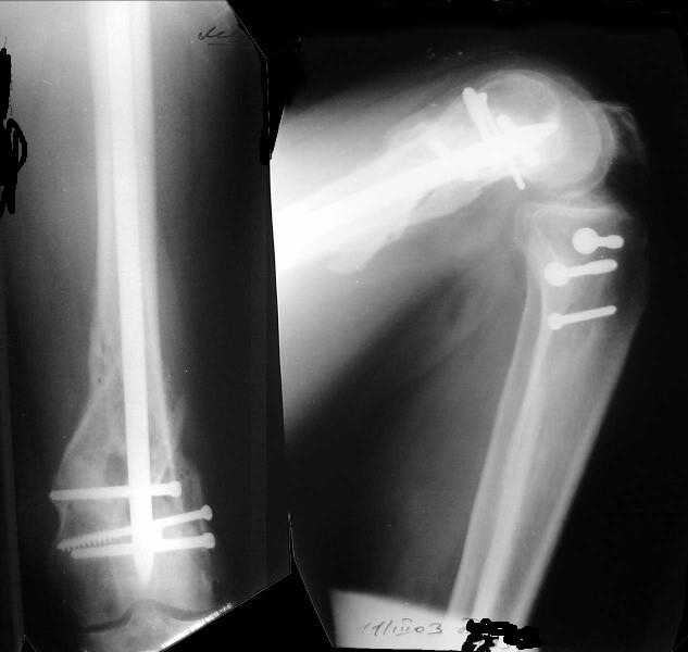
          I attached an example of C2 fracture with result of the same technique in 5 months.

          [ Ответить ]
          • Re: Перелом "около пластинки"
            Отправитель: V. M. Iyer 29 Декабрь 2003, 15:14
            This is great. I would never have thought of doing antegrade nailng for such a #. I would also have never dreamt of such range of flexion.

            Alex>>Aren't the upper nail tip and screws to be a stress-riser?
            Theoritically yes. But I have not seen one in the last 4 years or so. But I have seen it in Gamma nail fixations. So we do the PFN now.

            Alex>>In general i would say the distal locking is not a biggest problem of the surgery.

            After seeing these 2 and one you had shown some weeks ago, I see that for you it is a child's play.

            Alex>>And if one is able to avoid arthrotomy of the intact knee joint -

            It has been discused at various meets that there is no real problem.

            Regards
            V M Iyer

            [ Ответить ]
            • Re: Перелом "около пластинки"
              Отправитель: Alexander Chelnokov 29 Декабрь 2003, 21:58
              VMI> a #. I would also have never dreamt of such range of flexion.

              This is not best flexion reached after the injury/surgery. The patient was obese and negative to physical activity.
              What typical post op rehabilitation protocol after retrograde nailing is used? How agressive is knee ROM ? When full weight-bearing is encouraged?
              How often knee effusion/hemarthrosis is occured? How it is managed if any? THX.

              VMI> Theoritically yes. But I have not seen one in the last 4 years or so. But I
              VMI> have seen it in Gamma nail fixations. So we do the PFN now.

              Few months ago at a Stryker Gamma nail workshop some rumours circulated about troubles with PFN in North America. Any news?

              VMI> After seeing these 2 and one you had shown some weeks ago, I see that for
              VMI> you it is a child's play.

              If you mean distal locking it is really performed by a child's toy. I've shown this here before.

              Alex>>>And if one is able to avoid arthrotomy of the intact knee
              VMI> It has been discused at various meets that there is no real problem.

              Our arthroscopic guys still don't like when somebody penetrates the joint with something else than their delicate tools. ;-)

              [ Ответить ]
              • Re: Перелом "около пластинки"
                Отправитель: V. M. Iyer 01 Январь 2004, 15:17






                1

                2

                The mobilisation of knee is started immediately from the second day. Weight bearing is permitted as in any other interlocked nailing. That is, Toe touch to start with and within four days, partial to in another two weeks, full weight bearing. Of course that is assuming that the correct size nail has been used. Up to 70 kg body weight, 11no will be good enough and 12mm if more.Usually at the 1st followup, at 6 weeks time, they have full flexion..I
                have seen a few surgeons putting in a drain, but I have not found it unnecessary. There has never been any effusion needing active treatment.
                Enclosing a recent intraop picture

                V M Iyer
                . Iyer Orthopaedic Centre,
                103,Railway lines Solapur.413001.

                [ Ответить ]
          • Re: Перелом "около пластинки"
            Отправитель: Abdelsalam Eid 30 Декабрь 2003, 13:32
            Quite impressive. Have you published anything yet?

            Anyone aware of published similar work?

            Abdelsalam Eid, MCh(Ortho)(Zagazig), AFSA(Ortho)(Paris V)

            Assistant Lecturer

            Zagazig University

            Egypt

            [ Ответить ]
    Re: Перелом "около пластинки"
    Сергей Зырянов 26 Декабрь 2003, 09:37
    Думаю лучше зафиксировать мыщелковой клинковой пластиной 95 градусов или DCS. Трудно представить, как удастся закрепить дистальный отломок гвоздем.

    Новосибирская область
    г Куйбышев ЦРБ
    Сергей Зырянов
    [ Ответить ]

    • Re: Перелом "около пластинки"
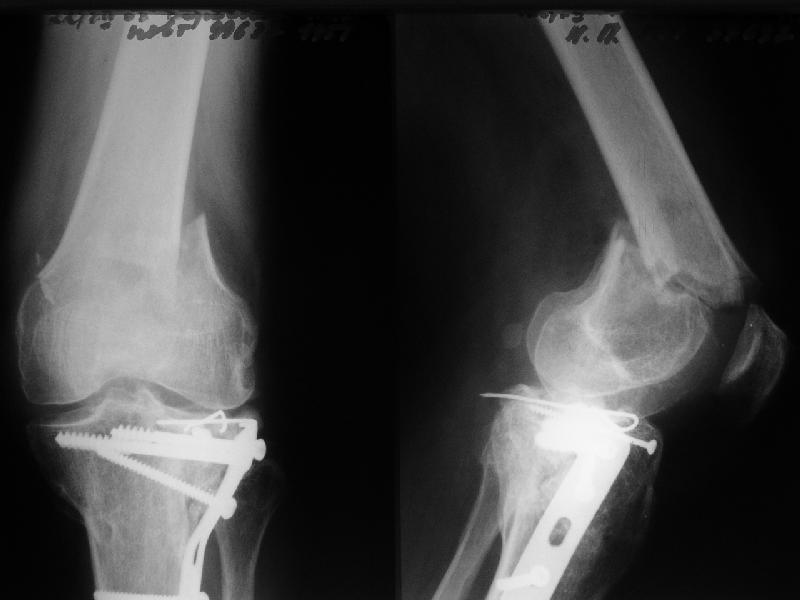
      Отправитель: Alexander Chelnokov 27 Декабрь 2003, 17:15




      1


      S> Думаю лучше зафиксировать мыщелковой клинковой пластиной 95њ или DCS

      Можно и мыщелковой, и клинковой 90-градусной. Не хотелось бы только разрезов обширных, да скелетирования отломков.
      Вот новые пластинки LCP скорее раздобыть бы, с угловой стабильностью которые можно вводить подмышечно через небольшой разрез...

      S> Трудно представить , как удастся закрепить дистальный отломок гвоздем

      Винтами. Снимок в приложении.

      [ Ответить ]
    Re: Перелом "около пластинки"
    Tom DeCoster 26 Декабрь 2003, 09:39
    In this case a 52 year old male sustained a distal femur (supracondylar) fracture 1.5 years after plate treatment of a proximal tibia fracture which appearantly healed well.

    Apparently this was a low energy trauma and Alex suggests post traumatic osteopenia of the limb as a contributing or causative factor. In addition to the question of how to treat this individual patient, he poses the question how common is post-traumatic regional osteoporosis and how should it be treated or prevented and specifically is there a role for bisphosponates or somatotropins?

    I'm not certain this patient has that condition but it seems logical. I'm not certain how to make the diagnosis. I would think 100% of patients have the phenomena of post-fracture osteoporosis to some degree, so the matter of defining the degree to which it causes clinical problems would be desirable. I would think the incidence of a distal femur fracture after a plated proximal tibia fracture is in the realm of 1/1000. That's probably the same rate for other parts of the body (fracture of an adjacent bone months after an initial fracture.) I would think the incidence would be less after operative treatment than after non-operative treatment, so perhaps there is some historical information available on this topic.
    I think mobilizing the patient as soon as possible with progressive return to normal activities would be the usual scenario and perhaps watch for the occasional patient with radiographic signs of more extreme forms of regional osteoporosis and diagnose and treat those somewhat more aggressively.
    [ Ответить ]

    • Re: Перелом "около пластинки"
      Отправитель: Alexander Chelnokov 26 Декабрь 2003, 11:16
      THX for the valuable reply. I suggest early mobilization and return to noramal activity already is the conventional scenario. In other words we should suggest such fractures not preventable? I am not certain where the border of more extreme forms of regional osteoporosis lies, and what is the optimal program if one suggests the local ostepenia is beyond the border.

      [ Ответить ]
      • Re: Перелом "около пластинки"
        Отправитель: Tom DeCoster 27 Декабрь 2003, 15:18
        I don't know how to prevent them but that is not to say that they are not preventable.
        A good place to start looking would be the ones at highest risk, but I'm not certain how to identify them.

        [ Ответить ]
    Re: Перелом "около пластинки"
    Muhammad Amin Chinoy 26 Декабрь 2003, 09:42
    i would have thought a Retrograde nail to be a better idea, though personally i would go for a DCS

    [ Ответить ]

    Re: Перелом "около пластинки"
    Владимир Старостенко 01 Январь 2004, 15:35
    согласен со своим тезкой владимиром. внеочаговая фиксация наиболее оптимальная. западные специалисты рекомндуют внутреннюю фиксацию, потому что это входит в их стандарты. хотелось бы знать о вашем решениии и последующем результате
    с.ув. Владимир Старостенко. Купянск. Украина

    [ Ответить ]

    • Re: Перелом "около пластинки"
      Отправитель: Alexander Chelnokov 01 Январь 2004, 16:25
      Соображения насчет оптимальности аппаратной фиксации см. здесь в ответе коллеге Снаткину.
      Насчет рекомендаций внутренней фиксации, "потому что это входит в их стандарты" - а почему, как полагаете, она туда входит?
      Хотя, насколько мне известно, аппаратами для подобной локализации наши западные коллеги пользуются, во всяком случае, публикации такие попадались.
      Что сделано и рентгенограммы - см. здесь в ответе коллеге Зырянову. Пациент через 3 уехал домой встерчать Новый Год, с костылями, с частичной нагрузкой на оперированную ногу.

      С Новым Годом!

      [ Ответить ]
      • Re: Перелом "около пластинки"
        Отправитель: vladimir 05 Январь 2004, 01:53
        ув. александр. я понимаю ваш вопрос,но не все владеют методикой спицевых аппаратов. мне приходилось беседовать с коллегой из канады, для них этот метод требует длительного наблюдения для исключения осложнений,главным образом спицевых нагноений. вот и вы пошли по этой методике, хотя мне думается что больного может ожидать выраженная контрактура коленного сустава. хотя с точки зрения анатомического сопоставления операция выполнена удачно. с наилучшими пожеланиями и с наступающими праздиками старостенко владимир.

        [ Ответить ]
        • Re: Перелом "около пластинки"
          Отправитель: Alexander Chelnokov 05 Январь 2004, 23:27
          ВС> спицевых аппаратов. мне приходилось беседовать с коллегой из канады,
          ВС> для них этот метод требует длительного наблюдения для исключения
          ВС> осложнений,главным образом спицевых нагноений.

          А отчего ж только для них? У нас что, не бывает нагноений у спиц? По-моему, это аксиома, что за аппаратом надо грамотно приглядывать весь период фиксации. Другое дело, что в бывшем СССР это пока не выражается в деньгах так, как на Западе, но - время и усилия отнимает заметно.

          ВС> вот и вы пошли по этой методике, хотя мне думается что больного
          ВС> может ожидать выраженная контрактура коленного сустава.

          Почему? Контрактура ожидаема при длительной иммобилизации, а тут движения с первого дня, как в аппарате - только без спиц и стержней, прошивающих 4-главую мышцу. По сути, это практически тот же аппарат, только внутри.

          ВС> хотя с точки зрения анатомического сопоставления операция выполнена
          ВС> удачно.

          Надо еще шлифовать методику, делать ее более технологичной.

          ВС> с наилучшими пожеланиями и с наступающими праздиками

          И Вас с тем же!

          [ Ответить ]
          • Re: Перелом "около пластинки"
            Отправитель: vladimir 18 Январь 2004, 23:49
            ув.александр недолго отсутствовал, поэтому задержался с ответом. вы сами нашли ответ на вопрос почему на западе не очень используют спицевые аппараты за исключением не многих таких как Италия и др. хотя и спицы прошивают четырехглавую мышцу но на небольшой площади, а открытое манипулирование на отломках вблизи сустава не ислючает также спаечного процеса.и в заключении как и в любой математической задаче есть два и более решений так и в подходе к лечению можно использовать несколько вариантов. вы пошли по этому пути возможно наиболее отработанном вами. желаю вам успехов. с уважением старостенко владимир.

            [ Ответить ]
            • Re: Перелом "около пластинки"
              Отправитель: Alexander Chelnokov 19 Январь 2004, 08:28
              v> ответом. вы сами нашли ответ на вопрос почему на западе не очень
              v> используют

              И все-таи почему, на Ваш взгляд?

              v> спицевые аппараты за исключением не многих таких как
              v> Италия и др.

              Аппараты вообще много где используют, далеко не только в Италии, вопрос, для чего? Удлинения, осевые коррекции и т.п.
              Но как средство окончательной фиксации при переломах, особенно бедра - насколько я знаю, крайне редко даже в Италии.

              v> хотя и спицы прошивают четырехглавую мышцу но на
              v> небольшой площади,

              Даже точечная фиксация илиотибиального тракта и 4-главой мышцы создает проблемы.

              v> а открытое манипулирование на отломках вблизи
              v> сустава не ислючает также спаечного процеса.

              Именно поэтому и выполнен закрытый интрамедуллярный остеосинтез.

              v> и в заключении как и в любой математической задаче есть два и более
              v> решений так и в подходе к лечению можно использовать несколько
              v> вариантов.

              Как наши зарубежные коллеги говорят, есть много способов ободрать кота. Подразумевая, что бывает несколько равноэффективных вариантов лечения. Но тут, похоже, не совсем тот случай.

              v> вы пошли по этому пути возможно наиболее отработанном
              v> вами.

              Наиболее отработано у нас было как раз аппаратное лечение, стараемся использовать эти наработки в смежных ситуациях. Впрочем, и накостного остеосинтеза тоже напробовались.

              v> желаю вам успехов.

              Взаимно ;-)

              [ Ответить ]
              • Re: Перелом "около пластинки"
                Отправитель: Владщимир Григорьевич Старостенко 06 Февраль 2004, 13:47
                > И все-таи почему, на Ваш взгляд?

                Думаю, что опять же из-за принятых стандартов, которые, возможно, приняты ранее широкого внедрения спицевых аппаратов

                > Но как средство окончательной фиксации при переломах, особенно бедра - насколько я знаю, крайне редко даже в Италии.

                > правильно но применительно данного случая, где имеет место повторная травма сегмента нижней конечности используют.

                > Даже точечная фиксация илиотибиального тракта и 4-главой мышцы создает проблемы.

                Cогласен, но тогда, чтобы избежать проблем, может, стоит отказаться от оперативных методов лечения и применять консервативные методы лечения.

                > Именно поэтому и выполнен закрытый интрамедуллярный остеосинтез.

                Да, метод хорош, но, к сожалению, не всегда применим в широкой практике на просторах СНГ, так как не все лечебные учрежденя, особенно в црб, обладают необходимым оснащением.

                > равноэффективных вариантов лечения. Но тут, похоже, не совсем тот случай.

                Ну кто как под каким углом взлянет на решение данной проблемы.

                > Наиболее отработано у нас было как раз аппаратное лечение, стараемся использовать эти наработки в смежных ситуациях.
                > Впрочем, и накостного остеосинтеза тоже напробовались.

                Конечно идеальных методов вряд ли существует.

                всего наилучшего ВАМ и ВАШИМ коллегам.

                С уважением Старостенко Владщимир Григорьевич Купянск Украина.

                [ Ответить ]

     

    ( Ответить )

    Powered by Zope  Squishdot Powered MedLink
    Посетитель: 0009614
      "По форме правильно, а по существу - издевательство" В.И.Ленин
    ©2001-2019Orthoforum Coordinator.
    [ Главная | Отправить сообщение | Поиск | Админ ]