AOTRAUMA.ORG Центр Илизарова  

Ортопедия и травматология Общие вопросы/General questions Help Информационные технологии в медицине
 вверх
 отправить
 поиск
 админ
 главная
 Предыдущее
 Весь тред


Re: Перелом "около пластинки"
Alexander Chelnokov 28 Декабрь 2003, 21:01





1

2


de> you think you are using antigrade nails for some very low
de> fractures including some intercondylar fractures.

Exactly. It seems the option looks underestimated.

de> Do ou have a reference supporting antigrade nailing in such
de> occasio in favour of other choices eg DCS, Supracondylar nail,

No, i haven't seen such comparisons. However some advantages of closed antegrade nailing vs conventional plating looks self-evident like no site opeining, no bone skeletization, less blood loss, no need for autografting... If you or other colleagues can help me with the references it would be greatly appreciated. I would be interested also to compare ante- vs retrograde nailing for the localization.

de> And perhaps you could show us also some of your results ,
de> that is (follow up) not immediate postop x rays.

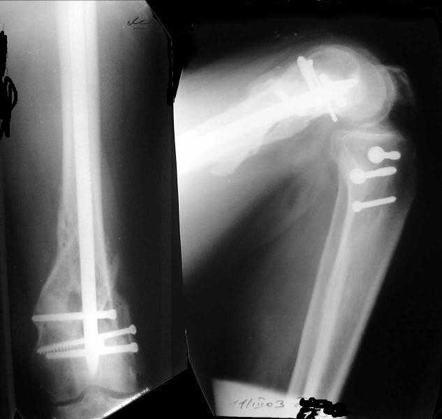
I attached an example of C2 fracture with result of the same technique in 5 months.
  • Сообщения о Ортопедия и травматология
  • Также Alexander Chelnokov
  • Связаться с автором
  • Ответить

    Re: Перелом "около пластинки"
    V. M. Iyer 29 Декабрь 2003, 15:14
    This is great. I would never have thought of doing antegrade nailng for such a #. I would also have never dreamt of such range of flexion.

    Alex>>Aren't the upper nail tip and screws to be a stress-riser?
    Theoritically yes. But I have not seen one in the last 4 years or so. But I have seen it in Gamma nail fixations. So we do the PFN now.

    Alex>>In general i would say the distal locking is not a biggest problem of the surgery.

    After seeing these 2 and one you had shown some weeks ago, I see that for you it is a child's play.

    Alex>>And if one is able to avoid arthrotomy of the intact knee joint -

    It has been discused at various meets that there is no real problem.

    Regards
    V M Iyer
    [ Ответить ]

    • Re: Перелом "около пластинки"
      Отправитель: Alexander Chelnokov 29 Декабрь 2003, 21:58
      VMI> a #. I would also have never dreamt of such range of flexion.

      This is not best flexion reached after the injury/surgery. The patient was obese and negative to physical activity.
      What typical post op rehabilitation protocol after retrograde nailing is used? How agressive is knee ROM ? When full weight-bearing is encouraged?
      How often knee effusion/hemarthrosis is occured? How it is managed if any? THX.

      VMI> Theoritically yes. But I have not seen one in the last 4 years or so. But I
      VMI> have seen it in Gamma nail fixations. So we do the PFN now.

      Few months ago at a Stryker Gamma nail workshop some rumours circulated about troubles with PFN in North America. Any news?

      VMI> After seeing these 2 and one you had shown some weeks ago, I see that for
      VMI> you it is a child's play.

      If you mean distal locking it is really performed by a child's toy. I've shown this here before.

      Alex>>>And if one is able to avoid arthrotomy of the intact knee
      VMI> It has been discused at various meets that there is no real problem.

      Our arthroscopic guys still don't like when somebody penetrates the joint with something else than their delicate tools. ;-)

      [ Ответить ]
      • Re: Перелом "около пластинки"
        Отправитель: V. M. Iyer 01 Январь 2004, 15:17






        1

        2

        The mobilisation of knee is started immediately from the second day. Weight bearing is permitted as in any other interlocked nailing. That is, Toe touch to start with and within four days, partial to in another two weeks, full weight bearing. Of course that is assuming that the correct size nail has been used. Up to 70 kg body weight, 11no will be good enough and 12mm if more.Usually at the 1st followup, at 6 weeks time, they have full flexion..I
        have seen a few surgeons putting in a drain, but I have not found it unnecessary. There has never been any effusion needing active treatment.
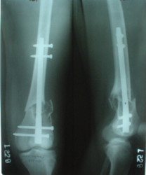
        Enclosing a recent intraop picture

        V M Iyer
        . Iyer Orthopaedic Centre,
        103,Railway lines Solapur.413001.

        [ Ответить ]
    Re: Перелом "около пластинки"
    Abdelsalam Eid 30 Декабрь 2003, 13:32
    Quite impressive. Have you published anything yet?

    Anyone aware of published similar work?

    Abdelsalam Eid, MCh(Ortho)(Zagazig), AFSA(Ortho)(Paris V)

    Assistant Lecturer

    Zagazig University

    Egypt
    [ Ответить ]


    ( Ответить )

    Powered by Zope  Squishdot Powered MedLink
    Посетитель: 0000066
      "По форме правильно, а по существу - издевательство" В.И.Ленин
    ©2001-2019Orthoforum Coordinator.
    [ Главная | Отправить сообщение | Поиск | Админ ]