AOTRAUMA.ORG Центр Илизарова  

Ортопедия и травматология Общие вопросы/General questions Help Информационные технологии в медицине
 вверх
 отправить
 поиск
 админ
 главная


FAI
Ортопедия и травматология Отправлено Maxim Agalakov 29 Май 2016, 18:51
FAI бить или не бить - вот в чем вопрос
Пациентка 40 лет оперирована по-поводу дисплазии т/б сустава - ПАО, огромное спаибо нашим коллега из Н.Н., честно, без иронии. Сейчас 6 мес после операции, появилась боль, по тестам, похоже на импинджемент. Имеет ли смысл за ним гоняться? Или рекомендовать поверхностное или тотальное протезирование?PS Да, не все проекции выложил, это предварительный вопрос, сам опыта вмешательств при FAI не имею, потому спрашиваю совета. Если кто возьмется доделаю проекции и МРТ

<  |  >

 

  • Сообщения о Ортопедия и травматология
  • Также Maxim Agalakov
  • Связаться с автором
  • Ответить

    Re: FAI
    Maxim Agalakov 29 Май 2016, 19:27
    до, почему-то снимок не прошел
    Кликните для загрузки файла раз.jpg
    148KB (152372 bytes)

    [ Ответить ]

    Re: FAI
    Бережной Сергей 29 Май 2016, 21:34
    Может быть КТ сделать? Посмотреть, что с консолидацией после остеотомии, оценить получше состояние головки.
    [ Ответить ]

    • Re: FAI
      Отправитель: Maxim Agalakov 29 Май 2016, 23:05
      можно, но клинически и рентгенологически - она срослась

      [ Ответить ]
    Re: FAI
    Alexander Chelnokov 29 Май 2016, 23:50
    А не поздновато оперировали? Там уже артроз, похоже, приличный был. Да и покрытие головки остается недостаточным.
    [ Ответить ]

    Re: FAI
    Бережной Сергей 30 Май 2016, 01:14
    Вы говорите о том, что остеотомия срослась. Но снимки не представляете. И о том, что имеются симптомы феморо-ацетабулярного синдрома. Но какие это симптомы - не перечисляете. Так дискутировать сложно. Известно, что рентгенологическими признаками, сопутствующими предполагаемому Вами состоянию, являются глубокая вертлужная впадина или форма шейки бедренной кости в виде "ручки револьвера". И еще уменьшенный шеечно-диафизарный угол. А здесь непокрытая полностью головка, обычная шейка, большой ШДУ. И выраженный артроз. Что же должно заставить думать о феморо-ацетабулярном импиджменте?

    P.S. FAI это еще и принятое сокращение названия журнала Foot and Ankle International. Не говоря уже о Федерации анархистов Италии. Лучше все-таки на русском писать.
    [ Ответить ]

    • Re: FAI
      Отправитель: Савранский Александр 30 Май 2016, 01:19
      мы вот как раз о Федерации и подумали :)))

      [ Ответить ]
    • Re: FAI
      Отправитель: Коваленко А.Н. 01 Июнь 2016, 22:21
      О ФАИ могут заставить думать клинические проявления, а кроме описанных Сергеем Юрьевичем рентгенологических признаков ФАИ причиной может являться ретроверсия впадины, проявляющаяся на рентгене "восьмеркой". Но по представленным послеоперационным рентгенограммам оценить ее, мягко говоря, сложно, края впадины прослеживаются нечетко. Кстати импдижмент стал изучаться усиленно после первых результатов ПАО, в случаях, когда операция сопровождалась гиперкоррекцией или потерей антеверсии в процессе позиционирования впадины. Возможно здесь тот самый случай - начало кривой обучения сложным операциям.
      --
      С уважением, Коваленко А.Н.

      [ Ответить ]
    Re: FAI
    Шведовченко Игорь Владимирович 30 Май 2016, 11:42
    Доброе утро, уважаемый Максим. Положа руку на сердце-вы считаете, что после вмешательства на тазовом компоненте что то принципиально изменилось? Имею в виду степень костного покрытия и т.д.
    [ Ответить ]

    • Re: FAI
      Отправитель: Maxim Agalakov 30 Май 2016, 23:00
      да, я так считаю, в true false post op. было очень неплохо, снимков не было под рукой, а свежие не было возможности сделать (не было времени, у нас это не рутинная процедура)

      [ Ответить ]
    • Re: FAI
      Отправитель: Коваленко А.Н. 02 Июнь 2016, 12:20
      Чтобы определить, что изменилось после операции имеет смысл пользоваться точными измерительными инструментами.
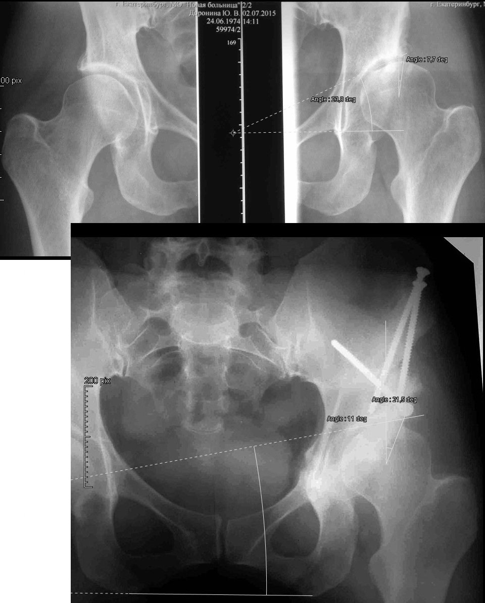
      Зная нормальные значения углов, можно понять, насколько в результате операции удалось приблизиться к норме. Согласно моим замерам достигнуты физиологические значения угла Виберга (с 7,7 до 21,5) и наклона опорной поверхности(с 23,8 до 11). Хотя по-хорошему среди предоперационных снимков должна быть тоже обзорная проекция таза. Можно еще мерить процент погружения головки во впадину, индекс глубины впадины и другие индексы. Конечно, значения могут варьировать в разных руках, но так будет хотя бы не "на глаз", можете представить свои измерения и показать на сколько какой параметр изменился.

      Кликните для загрузки файла Preop-Postop.jpg
      129KB (132330 bytes)

      [ Ответить ]
    Re: FAI
    Богопольский Олег Евгеньевич 02 Июнь 2016, 01:22
    Добрый вечер коллеги!
    Уважаемый Максим, если Вы спрашиваете совета, тем более только по снимкам, не объясняя толком какими Вы тестами пользовались, то неплохо выкладывать читаемые снимки. (Как Вам уже сказал Бережной С.Ю. и Коваленко А.Н.)
    Успешность предшествовавшей ПАО весьма сомнительна (с позволения ув. Шведовченко Игоря Владимировича добавлю): угол Виберга (или LCEA, если Вам удобнее англоязычность) до операции в лучшем случае 14 градусов, после - 18 градусов по самым позитивным представлениям (при норме 26-35). Угол наклона крыши вертлужной впадины (Tonnis angle): до операции - 20 гр., после 13 гр. (норма 0-10).
    Снимки в проекции "ложного" профиля показывают в большей степени передне-наружный отдел вертлужной впадины. И, если Вы говорите что там все "неплохо", то это как раз и может быть причиной проблемы на данный момент - передний импинджмент, как последствие ПАО.
    Для принятия решения о тактике дальнейшего лечения и оценки состояния тазобедренного сустава требуется дополнительное обследование - КТ (на рентгенограммах в до операционном периоде видна довольно большая киста вертлужной впадины).
    С уважением, Богопольский О.Е.
    [ Ответить ]

    Re: FAI
    Плиев Д.Г. 02 Июнь 2016, 21:43
    Здравствуйте коллеги, хочу вставить свои пять копеек.

    Снимки плохого качества, но изменив яркость и контрастность в фотошопе можно определить границы вертлужной впадины. Если бы был снимок таза до операции, можно было-бы точно определить угол коррекции. По моему непросвещенному взгляду могу сказать, что угол Виберга до операции был от -5 до 0 градусов, после 16-17. В данном случае я бы подождал, хотя бы год. Если будет нарастать болевой синдром, то рекомендовал бы операцию, но уже эндопротезирование. По поводу ретроверсии тяжело судить, так как таз на снимке расположен косо и опять, же снимки плохого качества.
    Почему рекомендую подождать – в любом случае положение сустава изменилось, нагрузка соответственно тоже. Да 16-17 градусов может мало, но это лучше чем 0.
    У меня была пациентка, полтора года назад выполнил ей ПАО, до операции угол Виберга -5, после операции 30. Но во время операции покрытие обеспечил только за счет латерализации вертлужной впадины. Через месяц пациентка дает полную нагрузку, хотя просил не делать. Ломается винт и происходит потеря коррекции. Угол Виберга уже 10-12 градусов. У пациентки через 3 месяца боли, связанные с нагрузкой. Поставил на очередь по замене сустава. Сейчас полтора года после операции, прибавила в весе (+7 кг), работа связанна с ходьбой по лестнице, болей нет, ограничений движений тоже нет, от операции отказалась. Пациентка довольна, хотя сам честно не знаю насколько долго это ей хватит потому, что по снимкам была аналогичная ситуация. Сейчас к счастью таких косяков нет.

    С уважением, Плиев Давид Гивиевич.

    Кликните для загрузки файла 1-1.jpg
    296KB (303716 bytes)

    [ Ответить ]

    Re: FAI
    Коваленко А.Н. 06 Июнь 2016, 17:55
    Максим Вячеславович, позвольте узнать, на чем все порешилось?
    Спасибо.
    [ Ответить ]

    • Re: FAI
      Отправитель: Maxim Agalakov 07 Июнь 2016, 13:17
      Если лучше не будет, то на протезе

      [ Ответить ]

     

    ( Ответить )

    Powered by Zope  Squishdot Powered MedLink
    Посетитель: 0007668
      "По форме правильно, а по существу - издевательство" В.И.Ленин
    ©2001-2019Orthoforum Coordinator.
    [ Главная | Отправить сообщение | Поиск | Админ ]