AOTRAUMA.ORG Центр Илизарова  

Ортопедия и травматология Общие вопросы/General questions Help Информационные технологии в медицине
 вверх
 отправить
 поиск
 админ
 главная


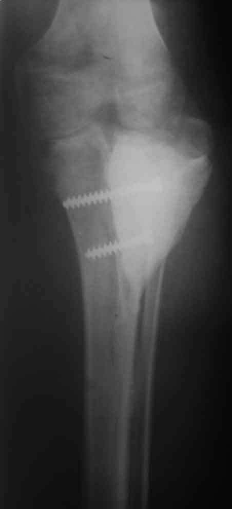
Костный и мягкотканый дефект голени
Ортопедия и травматология Отправлено Maxim Agalakov 24 Апрель 2011, 19:10
продолжение темы http://weborto.net/forum/1301716981/
Рентген, интраоперационные фото и после снятия повязки

<  |  >

 

  • Сообщения о Ортопедия и травматология
  • Также Maxim Agalakov
  • Связаться с автором
  • Ответить

    Re: Костный и мягкотканый дефект голени
    александр ерохин 25 Апрель 2011, 00:49
    Конечность опороспособна уже?
    Если получилось(а пока вроде кажется,что -да)поздравляю.Случай очень интересный,я сам не был уверен,что получится с цементом.От суставной то поверхности осталось что?
    [ Ответить ]

    • Re: Костный и мягкотканый дефект голени
      Отправитель: Maxiim Agalakov 27 Апрель 2011, 01:42
      нагрузку пока не разрешаю до полного заживления -если вдруг нестабильность, то все может"полыхнуть".
      Из суставной площадки- оставил все и ,к сожалению,она не приросла к основному фрагменту
      PS До сих пор не уверен,что все получилось и тактика выбрана правильно (при невозможности направить в отд с микрососудистыми возможностями)

      [ Ответить ]
      • Re: Костный и мягкотканый дефект голени
        Отправитель: Gene 02 Май 2011, 21:50
        На фоне того что было - это отлично!а для меня вообще космос! научите-:))
        А разве цемент со временем не перестраивается в кость?

        [ Ответить ]

     

    ( Ответить )

    Powered by Zope  Squishdot Powered MedLink
    Посетитель: 0000013
      "По форме правильно, а по существу - издевательство" В.И.Ленин
    ©2001-2019Orthoforum Coordinator.
    [ Главная | Отправить сообщение | Поиск | Админ ]