AOTRAUMA.ORG Центр Илизарова  

Ортопедия и травматология Общие вопросы/General questions Help Информационные технологии в медицине
 вверх
 отправить
 поиск
 админ
 главная


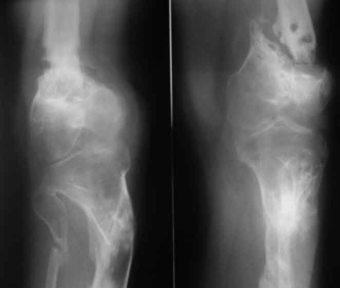
Псевдоартроз дистального отдела бедра. Distal femur nonunion
Ортопедия и травматология Отправлено Maxim Agalakov 27 Декабрь 2010, 23:27
Псевдоартроз дистального отдела бедра. Distal femur nonunion у пациента 26 лет
Открытый перелом н/3 бедра и в/3 голени в 2006 году. выполнен малоинвазивный накостный остеосинтез после заживления ран (снимки утеряны), через 3 мес после остеосинтеза - глубокое нагноение, консультировался и лечился с 2006 года в одном из лучших НИИ. многократные остеотомии, компрессии, дистракции. В августе 2010 - снят аппарат в поликлинике в центре, рекомендации - ходить в ортезе, показаться через 2 мес, консультирован в другом НИИ - рекомендовано дообследование (приличный список, каждый раз добавлено нечто новое).
В итоге попал к нам, движения в к/с отсутствуют, подвижность только на уровне ложняка, передненаружная поверхность области к/с представляет собой многочисленные рубцы от доступов, закрытых свищевых ходов. Свищей нет на протяжении 3 лет, кровь не воспалительная, СРБ - отс.

Подскажите тактику. Размышляем гвоздь антеградно до метафиза б/б кости, пластина с костной пластикой по внутренней поверхности, кожно-мышечные лоскуты по наружной (для улучшения кровоснабжения) с какой-либо фиксацией? другие варинты (ЧКО в чистом виде пока не рассматриваем , т.к. делали до этого в более компетентном по этим вопросам учреждении)

<  |  >

 

  • Сообщения о Ортопедия и травматология
  • Также Maxim Agalakov
  • Связаться с автором
  • Ответить

    Re: Псевдоартроз дистального отдела бедра. Distal femur nonunion
    Бережной Сергей 29 Декабрь 2010, 00:17
    Коленный сустав не работает и вряд ли заработает, ось голени нарушена, дистальный фрагмент бедра очень короткий. Если думать о восстановлении опороспособности ноги, то, мне кажется, только совместив интрамедуллярный остеосинтез длинным гвоздем трансартикулярно с артродезом коленного сустава и коррегирующей остеотомией большеберцовой (и малой берцовой) кости.
    [ Ответить ]

    Re: Псевдоартроз дистального отдела бедра. Distal
    VlaD 29 Декабрь 2010, 14:20
    Здравствуйте коллеги!
    Обескураживающий итог четырёхлетнего (!) лечения да ещё в условиях НИИ. Молодой человек 26 лет. Очень не хочется ставить окончательный крест на коленном суставе собственной рукой. Результатом оперативного лечения в данном случае, как мне представляется, должно быть следующее:
    1. Остеосинтез ложного сустава с возможностью полной нагрузки на ногу в послеоперационном периоде
    2. Устранение деформации большеберцовой кости с последующим остеосинтезом и возможностью нагрузки на ногу
    3. Отсутствие любой внешней иммобилизации с обеспечением возможности механотерапии, физиотерапии и лечебной физкультуры (а как возможный вариант и последующий артролиз) коленного сустава.
    Если исходить из вышеперечисленных требований к результатам оперативного лечения, кажется маловероятной возможность накостным остеосинтезом обеспечить их выполнение. Нижеизложенные рекомендации базируются на личном опыте остеосинтеза низких переломов, который, понятно, у каждого свой, поэтому прошу не судить строго. Безусловно, мы бы начали с антеградного блокированного остеосинтеза ложного сустава бедренной кости, альтернативы которому, с моей точки зрения, в данном случае нет. Не всё понятно с ротацией коленного сустава после сращения перелома большеберцовой кости. Поэтому представляется обоснованным до операции выполнить КТ шеек и дистальных эпиметафизов обеих бедренных костей с вертикально расположенными стопами ног, чтобы сравнить взаиморасположение шеек и эпиметафизов на обеих ногах. Для остеосинтеза нет необходимости открывать место ложного сустава. Такая процедура вам мало что даст. Ключом к успеху в данном случае является адекватное блокирование на дистальном конце стержня. Блокирующие винты должны быть 5-6 мм в диаметре и должно их быть не менее трёх, расположенных в разных плоскостях. Самый дистальный винт должен быть проведен во фронтальной плоскости при максимальном погружении стержня в дистальный эпиметафиз. Ещё два под углами в 30 градусов к фронтальной плоскости. Насколько мне известно, серийно выпускаемых стержней с такой конфигурацией отверстий для блокирующих винтов нет, поэтому мы сверлим их сами. Расстояние между отверстиями должно быть 3-4 мм. Стержень диаметром не менее 11-12 мм. Для того, чтобы максимально погрузить стержень расстояние между концом стержня и дистальным отверстием для блокирования не должно превышать 2-3 мм. Возникнут трудности с репозицией. Без дистракции невозможно будет совместить оси проксимального и дистального отломков. Мне представляется, что её удастся выполнить одномоментно на операционном столе в спицевом дистракционном аппарате. После рассверливания, введения стержня и его блокирования методом «back strike» необходимо ликвидировать возникший диастаз между отломками. Метод остеосинтеза, естественно, статический. Закончить операцию костной пластикой, как вы и предлагали. Через 2-3 недели остеотомии берцовых костей на вершине деформации, устранение углов, остеосинтез блокированным стержнем, 3-4 блокирующих винта на проксимальном конце стержня. Поскольку в коленном суставе разгибательная контрактура, вводить стержень придётся через коленный сустав между надколенником и мыщелками бедренной кости. Скорее всего, также понадобится костная пластика по латеральной стороне большеберцовой кости. Мне представляется, что такой план оперативного вмешательства даёт хоть какой-то шанс на успех, а не на констатацию факта очередного оперативного вмешательства. Колоссальная зависимость между конечным результатом и личным опытом хирурга. Желаю вам успеха.
    С уважением, VlaD.

    [ Ответить ]

    • Re: Псевдоартроз дистального отдела бедра. Distal
      Отправитель: Maxim Agalakov 29 Декабрь 2010, 17:59
      >Обескураживающий итог четырёхлетнего (!) лечения да ещё в условиях НИИ. Молодой человек 26 лет. Очень не хочется ставить окончательный крест на коленном суставе собственной рукой. Результатом оперативного лечения в данном случае, как мне представляется, должно быть следующее:

      тема не в плане обсуждения НИИ, а в плане - что делать - можете пациента забрать себе.

      Перечисленными вами методиками владеем вполне, гвоздь не обязательно должен быть "custom made", подойдет почти любой (не пробить дальше метафиза)

      >Колоссальная зависимость между конечным результатом и личным опытом хирурга

      подобный подход считаем абсолютно неприемлемым. потому случай выложен на форум



      [ Ответить ]
      • Re: Псевдоартроз дистального отдела бедра. Distal
        Отправитель: Alexander Chelnokov 29 Декабрь 2010, 18:50
        тема не в плане обсуждения НИИ, а в плане - что делать - можете пациента забрать себе.

        Макс, ты чего злой такой? Мягше с людьми надо, мягще...
        Да, ситуация непростая. IMHO коленный сустав тут вряд ли когда-нибудь удастся снова задействовать.
        Так что неплохо бы было закончить стержнем от вертела до дистального отдела большеберцовой в качестве эндопротеза диафиза. Но тут и это (вроде простое) решение трудно выполнить - все кривое. Получается, выпрямлять надо, либо одномоментно, либо плавно.
        Удобнее и безопаснее, по-моему, постепенно.


        [ Ответить ]
        • Re: Псевдоартроз дистального отдела бедра. Distal
          Отправитель: Maxim Agalakov 29 Декабрь 2010, 19:07
          Да я не злой, так раздражение легкое из-за того, что ситуация действительно непростая. Сустав погиб - это без вариантов.
          Гвоздь по предложенному Вами способу - первое, что пришло в голову, но...Удержит ли до сращения на атрофичном ложняке? порозище жесточайший. парень опору не давал сами понимаете сколько?
          Пациент действительно сложный. гвоздь заколотить и мы можем, будет ли это оптимальным решением?
          P.S. С Н.Г!

          [ Ответить ]
          • Re: Псевдоартроз дистального отдела бедра. Distal
            Отправитель: Maxim Agalakov 29 Декабрь 2010, 19:40
            может насверлить доп дырок на уровне метафиза бедрв7

            [ Ответить ]
            • Re: Псевдоартроз дистального отдела бедра. Distal
              Отправитель: Alexander Chelnokov 30 Декабрь 2010, 21:17
              По ним легко сломается.

              [ Ответить ]
          • Re: Псевдоартроз дистального отдела бедра. Distal
            Отправитель: Maxim Agalakov 29 Декабрь 2010, 20:57
            исправлять голень - это отдельная тема, может хватит пробить до деформацмм?

            [ Ответить ]
        • Re: Псевдоартроз дистального отдела бедра. Distal
          Отправитель: Виноградский Александр 29 Декабрь 2010, 23:34
          На фото R-гр к сожелению не захвачена вся голень. На самом деле там не просто деформация, а еще запаянный канал. Не на ограниченном участке, а практически на всем протяжении. Формирование канала, даже известными способами может превратиться в неконтролируемое разрушение большеберцовой кости. Вот и думаем, может ограничиться фиксацией проксимального метафиза большеберцовой, до деформации.

          [ Ответить ]
      • Re: Псевдоартроз дистального отдела бедра. Distal
        Отправитель: VlaD 29 Декабрь 2010, 21:25
        > гвоздь не обязательно должен быть "custom made", подойдет почти любой (не пробить дальше метафиза)

        Ожидая получить от Вас столь же бурный эмоциональный ответ, всё же выскажусь ещё раз, но только по сути дела. Расстояние между двумя блокирующими отверстиями во фронтальной плоскости на дистальном конце стержня у всех известных фирм не менее 3 см. Экстраполируя это расстояние на дистальный отломок бедренной кости можно установить, что проксимальный из двух дистальных винтов во фронтальной плоскости изначально будет несостоятельным. Оптимальная фиксация при таком низком переломе и такой порозной кости будет достигнута только при наличии не менее трёх блокирующих винтов в дистальном отломке, проведенными в разных плоскостях. И на их расположение отводится только около 2,5 см длины дистального отломка. Адекватность блокирования намного возрастёт, если каждый из блокирующих винтов будет расположен в обоих мыщелках бедренной кости, на что и обращалось внимание в посте, и что, с моей точки зрения, является ключом к стабильному остеосинтезу, позволяющему нагрузку на ногу. Поэтому утверждение «подойдет почти любой гвоздь» в данном случае не состоятельно, и если просто «заколотить гвоздь» то такое решение, безусловно, не «будет оптимальным».


        [ Ответить ]
        • Re: Псевдоартроз дистального отдела бедра. Distal
          Отправитель: Maxim Agalakov 29 Декабрь 2010, 21:53
          описываемый вами гвоздь выпускает, например Metadiafix от ФГУП ЦИТО (копеечный) или Expert от Synthes (дорогой), думаю у любого производителя подобные найдутся. Проблема не в гвозде.
          Прошу извинения за излишне эмоциональное высказывание.

          [ Ответить ]
        • Re: Псевдоартроз дистального отдела бедра. Distal
          Отправитель: Виноградский Александр 29 Декабрь 2010, 23:51
          Гвоздь, конечно не любой, но определенные решения известны. Например гвоздь MetaDiaFix-F имени Челнокова. Плюс несколко заклиненных винтов обеспечат угловую стабильность. Но в данном случае, мы имеем не перелом, который срастется за 3-4 месяца, а гипотрофический псевдоартроз. Отсутствие движений в колене, приведет к подвижности на уровне ложного сустава и товерстий гвоздя, нестабильности и тд(обострение инфекции, перелом гвоздя. Отсюда и вопросы..

          Кликните для загрузки файла гвоздь.jpg
          39KB (39940 bytes)

          [ Ответить ]
    • Re: Псевдоартроз дистального отдела бедра. Distal
      Отправитель: Глинчный С.В. 29 Декабрь 2010, 19:01
      Поясните, пожалуйста, что за метод блокирования «back strike». заранее спасибо.

      [ Ответить ]
      • Re: Псевдоартроз дистального отдела бедра. Distal
        Отправитель: VlaD 29 Декабрь 2010, 22:04
        «Back strike» в дословном переводе с английского означает удар назад, в обратную сторону. Это не метод блокирования. Это приём, позволяющий после дистального блокирования перед проксимальным ликвидировать имеющийся диастаз между отломками путём выбивания стержня (например, до плотного контакта между отломками при поперечном переломе, если во время остеосинтеза между отломками возник диастаз).

        [ Ответить ]
    Re: Псевдоартроз дистального отдела бедра. Distal femur nonunion
    В.Машталов 29 Декабрь 2010, 23:25
    Уважаемы Максим !
    Наше предложение : резекция ложного сустава с металлокаркасной пластикой в этой зоне, остетомия неправильно-сросшегося перелома в/3 голени для восстановления оси и Биос резсуставно длинным индивидуальным гвоздем до
    дистальной голени,(рычаг очень большой, введение гвоздя только в метадифиз б/берцовой кости стабильности не даст, дополнительно промежуточное
    блокирование в метафизах бедра и голени. Улучшить кровоснабжение в этой зоне не лишне, поэтому возможен вариант и васкуляризированного лоскута.
    Осознаю риски и сложности реализации , но и случай непростой, простого решения здесь нет. Успеха!
    В.Машталов

    [ Ответить ]

    Re: Псевдоартроз дистального отдела бедра. Distal femur nonunion
    Александр Артемьев 30 Декабрь 2010, 01:06
    Если Вы уже попрощались с коленным суставом, то рассматривайте оба сегмента (бедро и голень) как один. Для полноты картины лучше всего сделать КТ, хотя можно ограничиться и посегментной рентгенографией. В итоге можно определиться с механической осью и с укорочением, которое имеется почти наверняка уже сейчас, а в процессе лечения должно увелитчиться.
    А после этого - подумайте как Вы хотите эту ось исправить. Вижу два варианта:
    1. Попытаться добиться сращения бедренной кости под таким углом, чтобы сразу исправить механическую ось конечности, т.е. под углом, противоположным углу деформации большеберцовой кости. В итоге бедренно-тибиальный блок будет представлять S-образную форму, посредине будет криво расположенная щель бывшего коленного сустава.
    2. Пытаться срастить бедро в "классическом" положении, а с голенью разбираться отдельно - либо в рамках этого этапа лечения, либо позже - вторым (и далее) этапом, заодно и подумать об удлинении.
    Это, скажем так, стратегия...
    Что касается тактики, то вижу смысл вскрыть зону ложного сустава, иссечь "сосульки" и фиксировать с укорочением, достигнув плотного контакта более-менее состоятельных тканей. Сначала - внешним аппаратом, далее - по вкусу.
    Для верности можно расковырять коленный сустав, чтобы быть уверенным, что фиброзный анкилоз трансформировался в костный.
    Это в общих чертах...








    [ Ответить ]

    • Re: Псевдоартроз дистального отдела бедра. Distal femur nonunion
      Отправитель: Maxim Agalakov 30 Декабрь 2010, 19:04
      К сожалению, не могу представить осевые снимки (пациент был только на консультации), клинически ось голени правильная, во всяком случае, взглядом не ловится нарушений
      Иссечь сосульки из какого доступа, передне-наружная поверхность представляет сплошной рубец. спаянный с костью?

      [ Ответить ]
    Re: Псевдоартроз дистального отдела бедра. Distal femur nonunion
    Vladimir.B Abduev 30 Декабрь 2010, 21:18
    Уважаемые коллеги! Чтобы не жалко было ставить крест на коленом суставе надо поставить себе два вопроса. Сколько лет активной жизни имеет человек и сколько лет допустимо лечить одну неопорную ногу? Теперь легче? Поэтому, все эксперименты по пластинам, гвоздям, костным пластикам, а так же другим гвоздям "от подмышки до лодыжки" (по моему выражение принадлежит И.Л.Крупко) в условиях очень деформированных диафизов в условиях несомненного наличия дремлющей инфекции по меньшей мере рискованны, опасны и могут стать контрпродуктивными. А время уходит, человек мог бы стать полезным членом общества. Вижу единственное оптимальное, наименее опасное, эффективное действие: Внеочаговый чрескостный остеосинтез закрытым способом, с постепенным устранением деформации голени и поперечного смещения на бедре. На возражения типа:" а как же без вскрытия каналов?" Отвечаю: да без вскрытия. При условии точного, стабильного остеосинтеза с ранней осевой нагрузкой.
    С уважением и всех поздравляю с наступающим Новым годом!
    [ Ответить ]

    • Re: Псевдоартроз дистального отдела бедра. Distal femur nonunion
      Отправитель: Maxim Agalakov 30 Декабрь 2010, 22:20
      Предложенным вами способом пациента лечили весьма сведущие в этом вопросе специалисты (скорее всего лучшие) на протяжении 4-х лет, каким образом новый аппарат улучшит функцию коленного сустава?

      [ Ответить ]
      • Re: Псевдоартроз дистального отдела бедра. Distal femur nonunion
        Отправитель: Vladimir B. Abduev 05 Январь 2011, 14:50
        Уважаемый Максим! Ваши доводы о том что методом внеочагового остеосинтеза больного лечили лучшие специалисты и потому на нём нужно поставить крест вряд ли состоятельны. Дело в том, что за 4 года ситуация качественно изменилась в худшую сторону: практически погиб коленный сустав, остеопороз, рубцовые изменения в мягких тканях и т.д. Поэтому изменились и задачи. Тогда задачами было восстановление опороспособности конечности, при сохранении функции сустава, и это диктовало определённые технические приёмы, схемы остеосинтеза аппаратами, приёмы реабилитации и т.д. К сожалению они не решены. Теперь задача другая, в чём то упрощённая - восстановить опороспособность конечности не рассматривая вопрос о функции колена. А раз задача другая то и приёмы другие. Как совершенно правильно выразился наш коллега нужно рассматривать сейчас конечность как один сегмент. Удачи.

        [ Ответить ]
        • Re: Псевдоартроз дистального отдела бедра. Distal femur nonunion
          Отправитель: Maxim Agalakov 05 Январь 2011, 16:08
          Возможно, но эти специалисты занимались пациентом на протяжении 4-х лет и закончили лишь 2 мес назад. Если рассматривать конечность как один сегмент - особых преимуществ ЧКО перед штифтованием не имеет, более того при интрамедуллярном остеосинтези есть возможность выполнить костную пластику через канал.

          [ Ответить ]
    Re: Псевдоартроз дистального отдела бедра. Distal femur nonunion
    Александр Артемьев 31 Декабрь 2010, 00:42
    Уважаемый Максим.
    Вы несколько обескураживаете своими вопросами.
    ---Предложенным вами способом пациента лечили весьма сведущие в этом вопросе специалисты (скорее всего лучшие)---
    Ну не лечите тогда его вообще. Или Вы хотите найти теперь лучших специалистов по гвоздям?

    --- каким образом новый аппарат улучшит функцию коленного сустава?---
    Аппараты, гвозди, пластины и прочие девайсы ничего не улучшают и даже не лечат вообще.
    Так же как врачИ во множественном числе.
    У такого пациента должен быть один врач, который готов стать ближайшим родственником этому пациенту года так на полтора-два.
    И лечение нужно начать: 1- с головы; 2 - потом перейти к ногам как к органу; 3 - потом расчленить проблему на составляющие, и исправление деформации - это не отдельная тема, а ось определяется не клинически; 4 - определить очередность решения проблем.
    Вы начали с последнего - с ложного сустава бедра.
    Начните с первого - почему развились эти проблемы, если его лечили лучшие? Может быть, он законченный раздолбай и не выполнял рекомендации?
    Или за четыре года лечения уже стал психопатом, с которым и связываться опасно? Или уже готов отрезать ногу, лишь бы не мучиться? Ну и сами-то Вы готовы терпеть его два года?
    Если да - то переходите к следующей позиции...

    По поводу доступа - какая разница, какой доступ, если сустава уже нет. Пойдите спереди, выкиньте надколенник, резецируйте бедро, удалите хрящ... Можно пойти снутри. Сзади только не нужно.
    [ Ответить ]

    • Re: Псевдоартроз дистального отдела бедра. Distal femur nonunion
      Отправитель: Maxim Agalakov 31 Декабрь 2010, 15:21
      >Ну не лечите тогда его вообще
      - вы считаете специалистов РНЦ ВТО непрофессионалами?

      >Или Вы хотите найти теперь лучших специалистов по гвоздям?

      - а чего их искать, я их знаю

      >исправление деформации - это не отдельная тема, а ось определяется не клинически;

      - объяните мне важность исправления деформации при болтающемся атрофичном ложняке и неопороспособной н\конечности, в такой ситуации я механическую ось выставлю как вам понравится.

      >Может быть, он законченный раздолбай и не выполнял рекомендации?

      - ничего подобного и это следует из вороха справок. где ни разу не упоминается хоть какое-то нарушение рекомендаций

      >По поводу доступа - какая разница, какой доступ, если сустава уже нет

      -разница большая, его колено представляет один сплошной рубец, особенно по передне-наружной поверхности, спаянный с костью. Если ими пойти по-вашей рекомендации - все отомрет в ближайшие 2 недели. Если задумываться о сохраняющих сустав операциях -то это обширная мобилизация разгибательного аппарата типа Judet, укрыть все это можно будет только кожно мышечным лоскутом на питающей ножке либо free (микрососудистым оснащением не располагаем), чем укрывать. какой лоскут выбрать из прошитых в 150 местах мышц и кожи? изнутри - не мобилизовать мышца.

      >Вы несколько обескураживаете своими вопросами

      - Ваши ответы обескуражили, пожалуй, больше.
      Максим, Е-бург




      [ Ответить ]

     

    ( Ответить )

    Powered by Zope  Squishdot Powered MedLink
    Посетитель: 0026595
      "По форме правильно, а по существу - издевательство" В.И.Ленин
    ©2001-2019Orthoforum Coordinator.
    [ Главная | Отправить сообщение | Поиск | Админ ]