вверх
отправить
поиск
админ
главная
|
Отправлено dan schlatterer 15 Октябрь 2010, 23:21
hello everyone, attached are images of a 59 yo female, admitted today after motor vehicle collision. Pt states her pelvis has been very painful ever since she fell on her buttocks from ground level a little over a year ago. medical history significant for scleroderma, raynauds syndrome, and COPD. no past surgeries.
pt states she is very limited in walking ability secondary to pain. she requires a cane or a walker. friends and family do her shopping. the pain is localized primarily around left upper groin. she points to the rami region.
the question is if her medical history is contributing to the nonunions, and if anyone would consider surgical intervention, or is there some other successful intervention?
thanks in advance for your input.
dan
Daniel R. Schlatterer, DO, MS Vice Chairman, Orthopedic Surgery Residency Program Atlanta Medical Center
<
|
>
|
|
Ответить
|
Re: rami nonunions
Milton L. Routt 16 Октябрь 2010, 01:03
|
I’ve operated on 30-35 similar symptomatic patients... usually females in that same age range and most with prior trauma and then with sustained chronic activity related pain due to presumed insufficient healing and resultant ring instability (enough to hurt but not displace too much)...almost all have xray evidence of most of us would consider “hypertrophic” ramus nonunions, and most all have some form of sacral or other posterior ring corresponding injury.
If you examine them for mechanical ring instability, you’ll feel them collapse in your hands as you do... most are overweight to fat to downright obese so the mechanical examination can be a real challenge, but when you anesthetize them you can repeat it under fluoroscopy and see the ramus collapse and displace.
I’ve always inserted/packed/filled them up with medullary ramus screws anteriorly and then filled them posteriorly with multiple iliosacral screws at multiple levels as possible based on numerous clinical osteological factors.
Greg Altman was a visiting surgeon at HMC about 12 years ago and published one of my first patients that I noted with this problem treated percutaneously....she was one of the first ones that I noticed with this condition when I thought that these were rare and unusual.
Altman GT, Altman DT, Routt ML Jr. Symptomatic hypertrophic pubic ramus nonunion treated with a retrograde medullary screw. J Orthop Trauma 2000;14:582–5.
You can send them to the metabolic workup expert after they are stabilized...they get around much better then.
I’ve never made them stop smoking, but few even do smoke.
Some think that they are crazy because they’ve seen so many physicians and surgeons by the time they get to you...some have been to pain clinics and psychiatrists but they just hurt and can’t get around.
Some have urinary symptoms that resolve after stabilization.
Their bone quality and fat can frustrate the routine operative pelvic imaging but that’s no different for those with acute ring injuries, so you should be used to that by now.
We stabilized percutaneously a similar 54yo lady recently with 4 months old bilateral anterior and posterior ring injuries....she called in 2 weeks after surgery to ask when she could have sex again, and then promptly checked out of the nursing facility and is walking against our advice when I told her that she could have sex whenever it didn’t hurt her.
If you stabilize them simplistically, they get comfortable quickly, heal, and enjoy their lives.
I did one “atrophic” symptomatic ramus nonunion percutaneously about 2 years ago and it took her about 3 months to get comfortable...she was extremely active after surgery and hurt longer than she should have and her films were slow to show union...I was concerned that she was not going to heal, but she did but slower than her hypertrophic friends.
mlcr
|
[
Ответить ]
|
Re: rami nonunions
Отправитель: dan schlatterer 16 Октябрь 2010, 01:50
|
Dr. Routt,
Thank you very much. I was hoping you would weigh in on this case. I will keep you posted on her progress. at this point she wants to think about ssurgery a bit more. your email was very helpful in my conversation with her this morning. much appreciated, thanks again.
dan
Daniel R. Schlatterer, DO, MS
Vice Chairman, Orthopedic Surgery Residency Program
Atlanta Medical Center
|
[
Ответить ]
|
Re: rami nonunions
Отправитель: Milton L. Routt 16 Октябрь 2010, 13:51
|
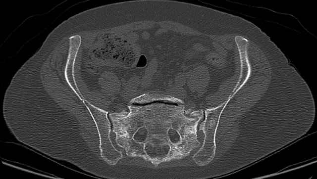
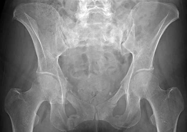
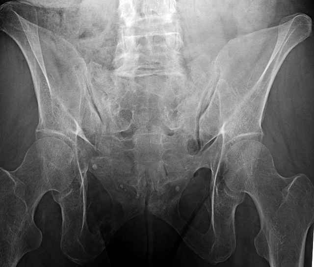
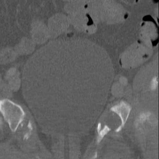
Here are a recent patient’s example slides...

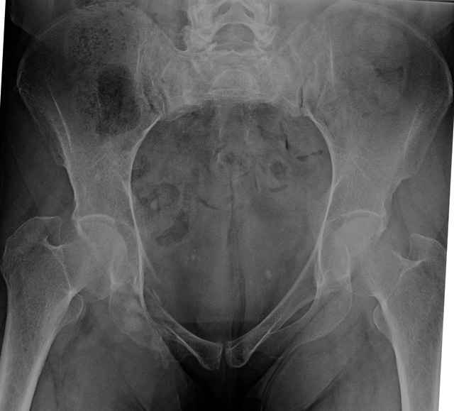
54 yo Female Fell c/o Pain
Initial Films
?Instability on Exam - Limited by Pain
NonOp Initial Mgmt

3 Months After Fall
Continued Pain & Immobility
(+) Instability to Compressive Manual Exam

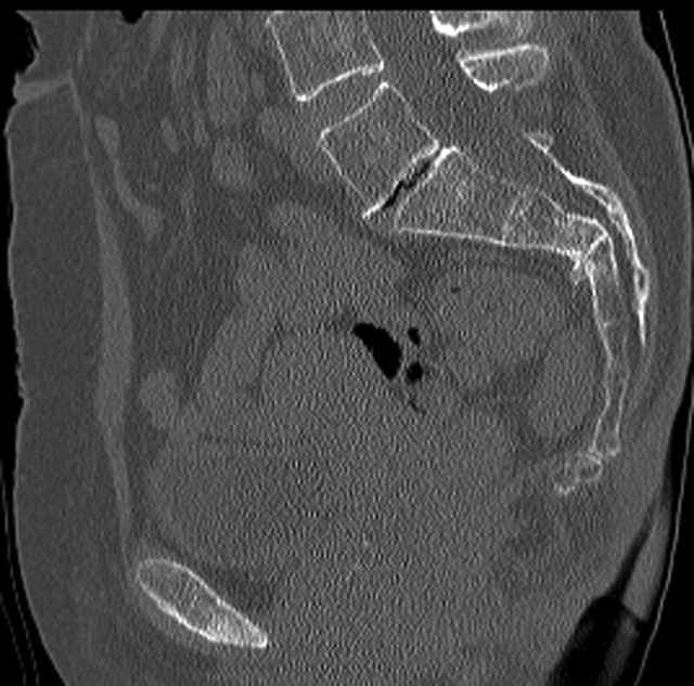
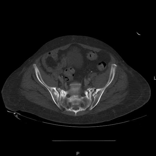
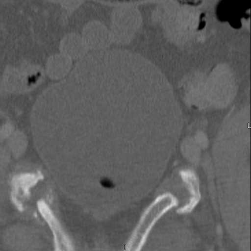
Pelvic CT Scan - 3 Months After Fall
Sacral Injuries
Ramus Fractures

Percutaneous Fixation
(B) Ramus-Retrograde
2 TransIliac-TransSacral
Upper Segment
mlcr
|
[
Ответить ]
|
|
( Ответить )
|
|