Ответить
|
Re: мыщелки бб кости Ваши мнения
Alexey Semenisty 24 Октябрь 2009, 10:39
|
>Лежит в другой больнице, планируется перевестись к нам.
>Что бы сделали Вы?
Посмотрели бы сначала на конечность и целиком на больного, а потом бы решали , что можно сделать, что нельзя сделать и, что нужно сделать:)
Одних только рентгенограмм и знаний о возрасте и наличии каких-то, кем-то, где-то, когда-то ушитых ран маловато будет. Спектр возможных вариантов лечения "в принципе" может быть достаточно широким.
С уважением, А.Семенистый.
ГКБ № 13, Москва.
|
[
Ответить ]
|
Re: мыщелки бб кости Ваши мнения
Отправитель: Alexander Artemiev 25 Октябрь 2009, 09:55
|
> Одних только рентгенограмм и знаний о возрасте и наличии каких-то,
думаю, это основное
> кем-то, где-то,
а это вряд ли имеет значение:)хотя, если интересно...
>когда-то
неделю назад...
ушитых ран маловато будет. Спектр возможных вариантов
> лечения "в принципе" может быть достаточно широким.
Согласен. Формально немного поспешил. Как увижу сам - выложу дополнительные данные.Видимо, в понедельник.
Хотя здесь затеваются бурнейшие обсуждения и при меньшем количестве сведений.
С уважением Александр Артемьев
|
[
Ответить ]
|
Re: мыщелки бб кости Ваши мнения
Отправитель: Alexey Semenisty 25 Октябрь 2009, 10:00
|
Хотя здесь затеваются бурнейшие обсуждения и при меньшем количестве сведений.
Для данного конкретного повреждения недостающие сведения принципиальны в плане дальнейшего лечения и прогнорза :)
Согласен. Формально немного поспешил. Как увижу сам - выложу дополнительные данные.Видимо, в понедельник.
Форум ждет с нетерпением:)
С уважением, А.Семенистый.
ГКБ № 13, Москва.
|
[
Ответить ]
|
|
Re: мыщелки бб кости Ваши мнения
Андрей Мелешкин 25 Октябрь 2009, 01:48
|
Судя по описанию внешнего вида - на данном этапе я бы склонился к консервативному ведению больного;
На следующем этапе - по заживлению ран и фликтен - оценить внешний вид конечности, контрольные снимки на вытяжении, анализы, при возможности сделать КТ и далее планировать.
С Уважением А.Мелешкин
|
[
Ответить ]
|
Re: мыщелки бб кости Ваши мнения
Alexander Chelnokov 25 Октябрь 2009, 10:03
|
Саша, а в чем конкретно неясность? Надо полагать, вопрос не про общие принципы лечения переломов типа Schatzker VI или C3 по классификации AO, которые можно найти в любом руководстве?
|
[
Ответить ]
|
Re: мыщелки бб кости Ваши мнения
Alexander Artemiev 19 Ноябрь 2009, 00:51
|

Приветствую всех.
Были напряги. Только сейчас появилось время.
Собственно пациент уже выписался.
Но считаю своим долгом выложить продолжение мною же открытой темы.
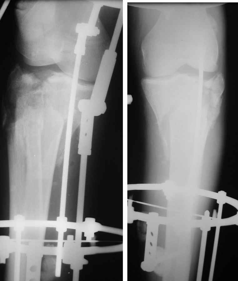
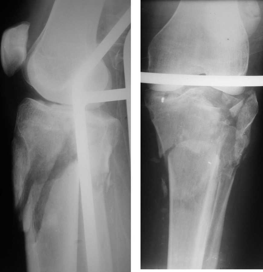
Состояние мягких тканей оказалось принципиальным в разработке плана операции.
Очаг некроза 4 на 5 см по передней поверхности голени не оставил никакого варианта кроме внешнего остеосинтеза.
Морально пациентка подготовили к артродезу. И он с этим согласился.
Но решили делать в 2 этапа. Первый - восстановить ось и дать костной крошке в проксимальном отделе консолидироваться.
Второй - собственно артродез.
Но по результатам первого этапа думаем дать пациенту попользоваться ногой. А там посмотрим.
С уважением Александр Артемьев
>
|
[
Ответить ]
|
Re: мыщелки бб кости Ваши мнения
Отправитель: Alexey Semenisty 19 Ноябрь 2009, 00:55
|
>Но считаю своим долгом выложить продолжение мною же открытой темы..
И это правильно!
Состояние мягких тканей оказалось принципиальным в разработке плана операции.
Очаг некроза 4 на 5 см по передней поверхности голени не оставил никакого варианта кроме внешнего остеосинтиеза.
Почему??? Есть сухой некроз по передней поверхности, но вне зоны возможных хирургических доступов...-
Морально пациентка подготовили к артродезу. И он с этим согласился.
Жесть!!!
Но решили делать в 2 этапа.
Вот это правильно)
Первый - восстановить ось и
..длину, дать успокоится мягким тканям.
Для первого этапа достаточно. Через 5-10 дней мы бы приступили к следующему этапу. А именно, фиксация из ограниченного заднемедиального доступа 1\3 трубчатой или рекон пластиной медиального фрагмента, и остеосинтез наружного мыщелка из второго тоже ограниченного латерального доступа без артротомии, под контролем ЭОПа..... Сухой некроз в данном случае не являлся бы серьезной помехой для внутренней фиксации (во всяком случае, судя по имеющимся фото)
Второй - собственно артродез.
Я думаю, это не повод сразу думать об артродезе... Конечно уже прошло много времени. Но до месяца у нас есть опыт вполне удачных реконструкций и "переделок"...
Но по результатам первого этапа думаем дать пациенту попользоваться ногой. А там посмотрим.
Оставляя внутрисуствной перелом в таком положении с замкнутым суставом, вы практически обрекаете пациента...IMHO
P.S. безусловно, с двумя пластинами LCP, каннюлироваными винтами, хроносом все это дорого... Но того же анатомического и функционального результата можно достичь, используя вместо пластин аппарат Илизарова, и разрезы для репозиции тогда нудны совсем маленькие .
С уважением, А.Семенистый.
ГКБ № 13, Москва.
|
[
Ответить ]
|
Re: мыщелки бб кости Ваши мнения
Отправитель: Alexander Artemiev 19 Ноябрь 2009, 14:36
|
Алексей, спасибо за комментарии.
Нечто подобное я и ожидал.
Скажу честно:
- пациент, хотя и небогатый человек, был подготовлен к любым реальным затратам, связанным лечением любыми современными конструкциями, и готов был понести их.
- пациенту и его родственникам рассказали о всех плюсах и минусах различных методов лечения, не только АВФ и пластины, о рисках, прогнозах и неоднозначности результатов. Во всяком случае в рамках собственной эрудиции, невзирая на пристрастия и вкусы. Хотя, естественно, пациента можно убедить в чем угодно.
- наш небольшой, но дружный коллектив, представленный здесь мной и менее многословным Багратом Григоряном, закрывает большую часть спектра современных методик. Да думаю, что никто не отказал бы помочь...
И, тем не менее, мы сделали вполне осознанный выбор.
Очевидно, что в реале картина была бы гораздо хуже, чем на рентгене. Каким бы способом мы не вскрыли зону повреждения, обнаружили бы дефект, который нужно чем-то замещать и далее по нарастающей. Пластина наверняка вылезла бы в зону некроза и т.д и т.п. Срок тоже уже к месяцу подползал...
НО. Я видел хорошие наблюдения после разных методов фиксации - и погружных, и внешних, и комбинированных. Видел и плохие. При том, что подобные по тяжести повреждения (не считая огнестрелов) встречались не так уж часто. Особенно у людей, к лечению которых можно подойти осознанно и творчески:( Статистика результатов не убеждает ни в чём.
Короче, книгу жизни не перепишешь. У этого больного выбрали такой метод. Пациент на связи, о результатах доложу...
Всем привет
С уважением Александр Артемьев
|
[
Ответить ]
|
Re: мыщелки бб кости Ваши мнения
Отправитель: Alexey Semenisty 19 Ноябрь 2009, 14:54
|
Мне кажется, не стоит сразу програмироваться на артродез. Думай о хорошем;) .
В любом случае результат будет очень интересен.
И еще раз спасибо, что случай не обрывается первичным статусом!
С уважением, А.Семенистый.
ГКБ № 13, Москва.
|
[
Ответить ]
|
|
( Ответить )
|
|