AOTRAUMA.ORG Центр Илизарова  

Ортопедия и травматология Общие вопросы/General questions Help Информационные технологии в медицине
 вверх
 отправить
 поиск
 админ
 главная


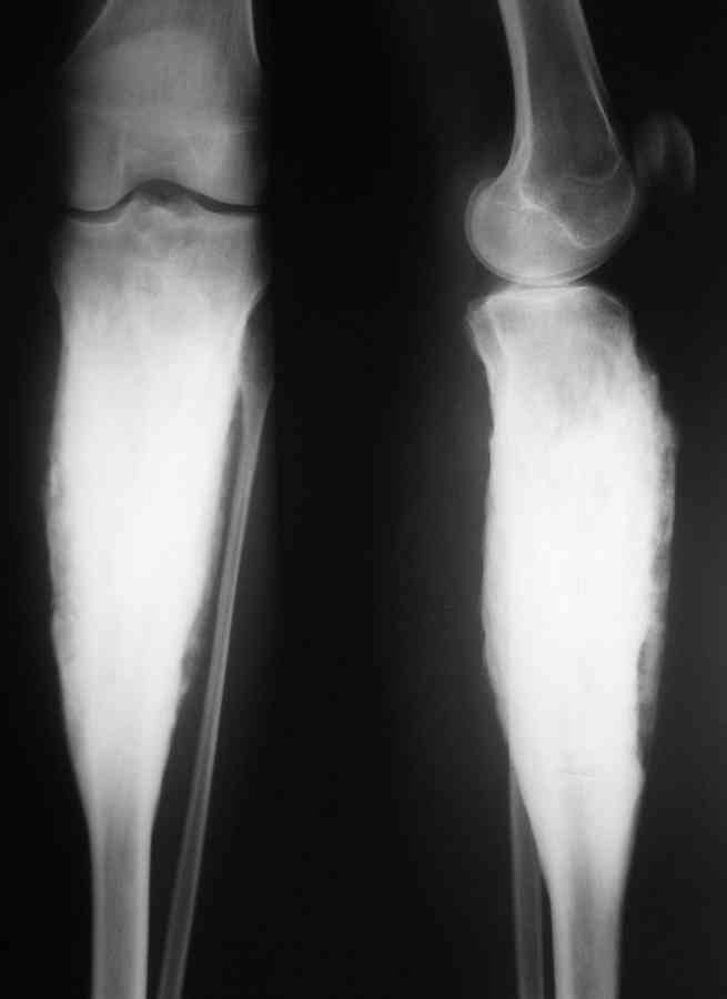
Остеомиелит Гарре
Ортопедия и травматология Отправлено Alexander Artemiev 03 Сентябрь 2009, 23:52
Господа, обратилась девушка 20 с небольшим лет.Больна с 2002 года. остеомиелит Гарре. Подтвержден гистологически.
Чем можно помочь? Кто этим занимается серьезно? И вообще какие подходы в лечении?С уважением Александр Артемьев

<  |  >

 

  • Сообщения о Ортопедия и травматология
  • Также Alexander Artemiev
  • Связаться с автором
  • Ответить

    Powered by Zope  Squishdot Powered MedLink
    Посетитель: 0000023
      "По форме правильно, а по существу - издевательство" В.И.Ленин
    ©2001-2019Orthoforum Coordinator.
    [ Главная | Отправить сообщение | Поиск | Админ ]