вверх
отправить
поиск
админ
главная
|
огнестрельный перелом голени |
 |
 |
 |
Отправлено Djoldas Kuldjanov 30 Август 2009, 12:15
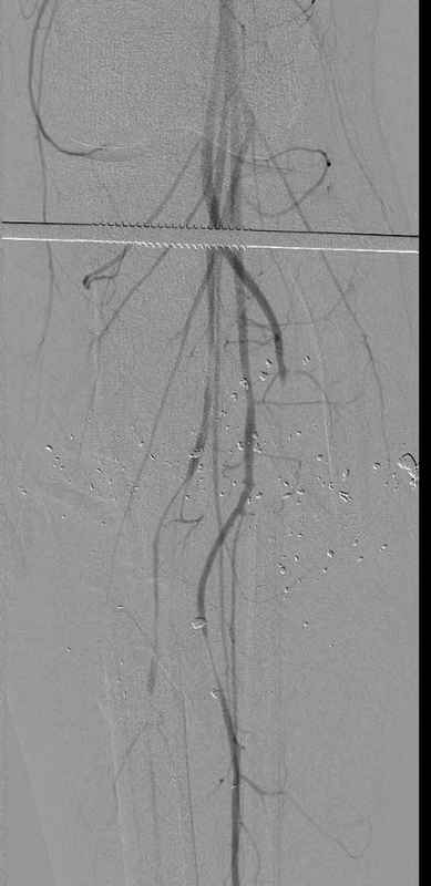
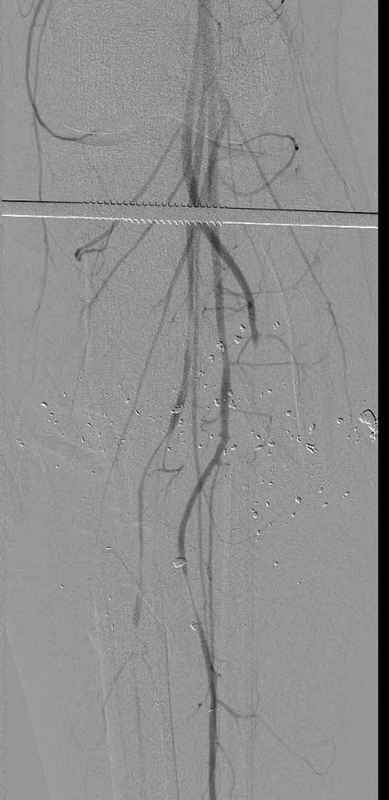
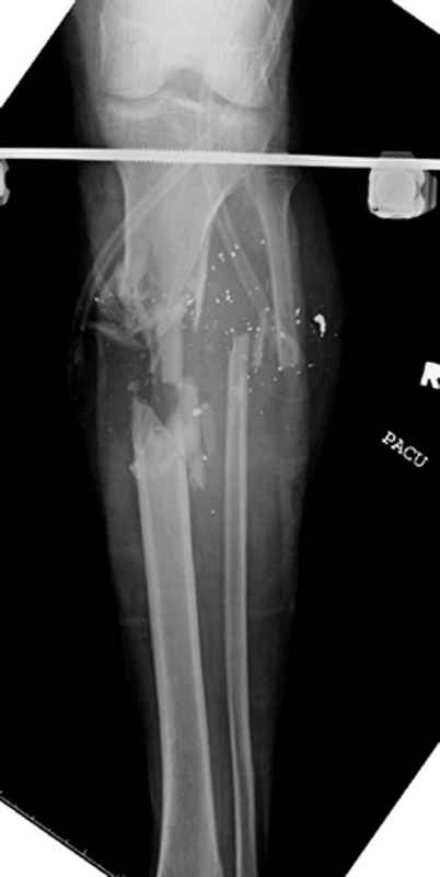
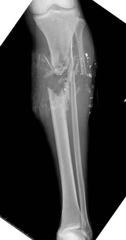
Уважаемые коллеги, Современная тактика лечения огнестрельных переломов вызывает споры. Опыты многих стран доказывает, что открытые переломы можно успешно лечить с применением внутренних металлических конструкций, включая гвозди. В западных странах более 25 лет эту методику применяют для лечения огнестрельных переломов. После применения адекватных методов по предупреждению осложнений, например, после промывания ран, огнестрельные переломы можно стабилизировать без боязни инфицирования. Здесь представлен больной 27 лет с ранениями, включая огнестрельный перелом большеберцовой кости. Стандартный аьгоритм: 11.08.09 доставлен в операционную, Irrigation&Debridment c фиксацией Наружным Фиксатором и вакуумирование VAC; службой травмы пройзведена ангиография с негативным результатом. (снимки 1-10) 14.08.09 повторная Irrigation&Debridment (чувстительственность из раны негативная) со сменой фиксации на медуллярный гвоздь и вакуумирование VAC 18.08 и 21.08.09 Irrigation&Debridment с сменой е VAC, после высеялся MRSA in thio т.е. на специальных срезах небольшое количество (11-13) 25.08.09 повторная Irrigation&Debridment. Пластик хирург не стал рисковать с Soleus flap из-за отечности, и применен Gastric flap, кожная пластика на медиальную и латеральную рану; аллографт из костных стружек с BMP. Поверхность вакуумирована VAC системой на 4 дня (14-16) Финальные снимки сделаем на днях. Djoldas Kuldjanov, MDDepartment of Orthopedic SurgerySt. Louis University Medical Center
<
|
>
|
|
Ответить
|
Re: огнестрельный перелом голени
Evgueny 01 Сентябрь 2009, 08:45
|
Уважаемый Джолдас,
Спасибо за презентацию.
Чем вызвана отсрочка штифтования при отриц. ангиографии? Почему сразу не
фиксировали нерассверливемым штифтом?
Признателен за пояснения,
Евгений Чекашкин
|
[
Ответить ]
|
Re: огнестрельный перелом голени
Отправитель: Djoldas Kuldjanov 01 Сентябрь 2009, 20:58
|
Привет Женя,
"Чем вызвана отсрочка штифтования при отриц. ангиографии? Почему сразу не фиксировали нерассверливемым штифтом?"
Да, можно было гвоздем без рассверливания сразу же в день поступления.
Но не стали спешить с гвоздем с меньшим диаметром, потому что конечность удалось застабилизировать наружным аппаратом.
Несмотря на мультиорганное повреждение: живота и другой конечности, состояние больного оставалось стабильным.
Потом было было желание узнать насчет контаминации бактериями, поэтому после каждого дебридмента брали пробу на чувствительность из раны.
В этом случае в последующем появился незначительный рост MRSA in thio only, означающий незначительный рост бактерий в специальных более детальных исследованиях.
Такой рост можно было проигнорировать, но учитывая характер повреждения, мы проконсультировались со специалистом по инфекциям, который лучше всех понимает, как бороться с бактериями. У нас такой специалист врач инфекционист, который скоординировал назначение двухнедельного курса антибиотиков.
Джолдас
|
[
Ответить ]
|
Re: огнестрельный перелом голени
Отправитель: Суворов М С 22 Сентябрь 2009, 12:00
|
Здравствуйте! Спасибо за представленный опыт. Если получится, представте отдаленные результаты.
|
[
Ответить ]
|
|
( Ответить )
|
|