AOTRAUMA.ORG Центр Илизарова  

Ортопедия и травматология Общие вопросы/General questions Help Информационные технологии в медицине
 вверх
 отправить
 поиск
 админ
 главная


Киста проксимального метафиза бедренной кости
Ортопедия и травматология Отправлено Anton Bekhterev 21 Июль 2009, 14:44
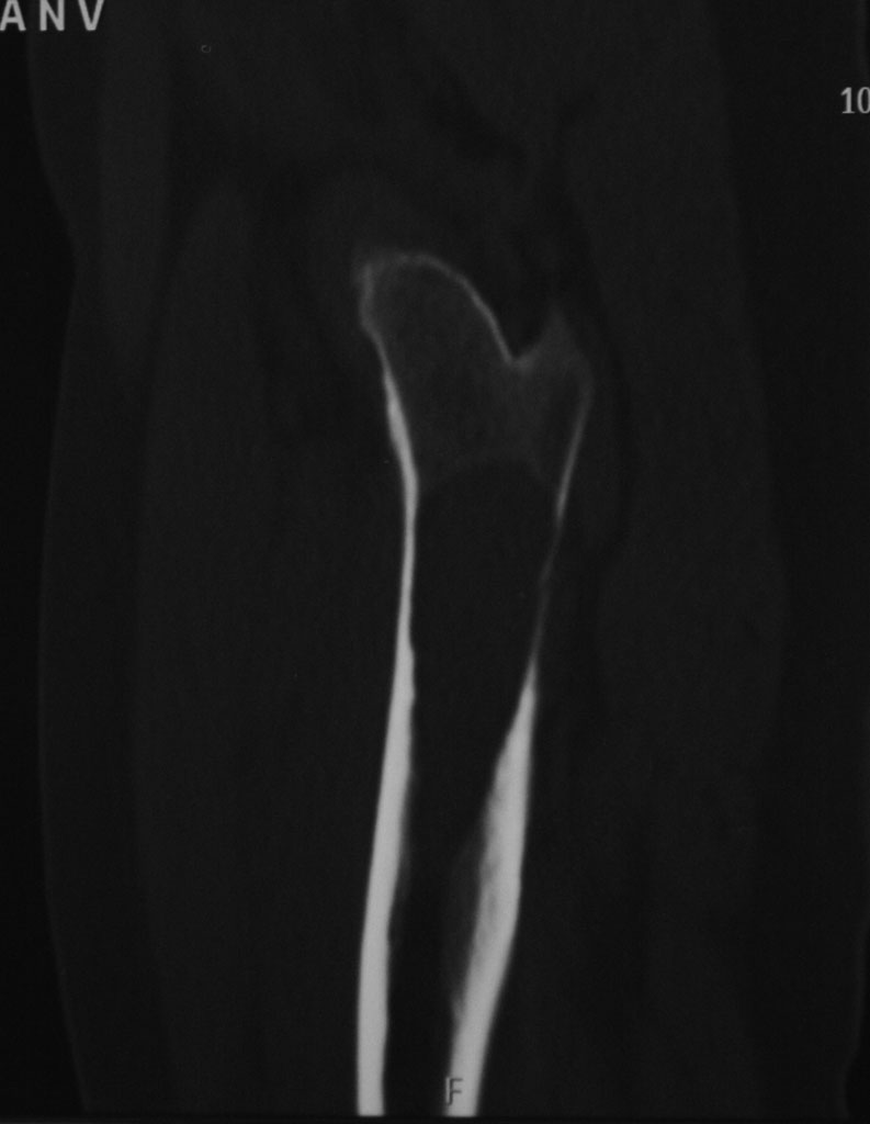
Добрый день. 2,5 месяца назад пациентке по поводу патологического чрезвертельного перелома правой бедренной кости (киста) был выполнена закрытая репозиция и БИОС гамма-гвоздем Stryker с заполнением полости Hydroset.
Гистологическое заключение: участки остеонекроза,хроническое воспаление. На этой неделе больная обратилась с жалобами на боли в области левого тазобедренного сустава. Со стороны оперированной ноги жалоб нет. Проведенное рентгенобследование выявило наличие полостного образования в проксимальном метадиафизе левой бедренной кости, перелом наружной стенки. Планируем выполнить БИОСлевой бедренной кости по методике аналогичной на правой ноге и этому случаю Какой фиксатор выбрать: длинную гамму или универсальный бедренный гвоздь?
Как малотрвматично обработать стенки полости?
Спасибо.

<  |  >

 

  • Сообщения о Ортопедия и травматология
  • Также Anton Bekhterev
  • Связаться с автором
  • Ответить

    Re: Киста проксимального метафиза бедренной кости
    Бехтерев Анон 21 Июль 2009, 20:54
    Rg-грамма
    Кликните для загрузки файла IMG_5485 copy_.jpg
    69KB (71180 bytes)

    [ Ответить ]

    Re: Киста проксимального метафиза бедренной кости
    Анатолий 28 Июль 2009, 17:02
    Уважаемый Антон!
    Хорошо выполненный остеосинтез- это замечательно. Но какой же все-таки клинический диагноз? Исключили ли вы гиперапаратиреоз, эозинофильную гранулему и др. патологию с возможным полиоссальнывм поражением скелета в данном случае?
    [ Ответить ]

    Re: Киста проксимального метафиза бедренной кости
    Анатолий 28 Июль 2009, 17:02
    Уважаемый Антон!
    Хорошо выполненный остеосинтез- это замечательно. Но какой же все-таки клинический диагноз? Исключили ли вы гиперапаратиреоз, эозинофильную гранулему и др. патологию с возможным полиоссальнывм поражением скелета в данном случае?
    [ Ответить ]


    ( Ответить )

    Powered by Zope  Squishdot Powered MedLink
    Посетитель: 0043546
      "По форме правильно, а по существу - издевательство" В.И.Ленин
    ©2001-2019Orthoforum Coordinator.
    [ Главная | Отправить сообщение | Поиск | Админ ]