вверх
отправить
поиск
админ
главная
|
Отправлено Gleb Korobushkin 28 Июнь 2009, 10:13
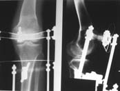
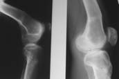
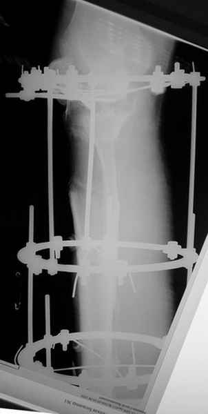
Пациент В. 53 лет, травма в феврале 2009. ДЗ. Открытый оскольчатый перелом нижней трети голени. При боли поступлении выполено ПХО, аппарат Илизарова. В последующем проводили ВХО, резекция костных отломков, укорочение 6 см, рана зажила. Была выполнена остеотомия большеберцовой кости в проксимальном отделе, резекция. Производилось тракция. На последних рентгенограммах выявлено, что одновременно с "выращиванием" регенерата произошло низведение надколенника на длину выращенного регенерата. Клинически: активное разгибание сохранено, объем движений в колене 180-110 градусов. Черными стрелками обозначен верхний край надколенника с одной и с другой стороны. Красная стрелка обозначает пальпируемую связку надколенника. Причина - остеотомия выше места прикрепления связки надколенника. Вопрос: была ли у кого подобная ситуация? Что делать? При первом обдумывании приходит решение: отсечение места прикрепления связки надколенника с костным блоком, перемещение на "правильное" место, укорочение сухожилия четырехглавой мышцы.
С ув Коробушкин Глеб
<
|
>
|
|
Ответить
|
Re: низведение надколенника
Юрий Алексеевич Булахтин 28 Июнь 2009, 22:54
|
... укорочение сухожилия четырехглавой мышцы.
У молодого человека это мне представляется избыточным - тонус должен сам восстановиться после возвращения надколенника на место.
С уважением, Юрий Алексеевич Булахтин
|
[
Ответить ]
|
Re: низведение надколенника
Отправитель: Gleb Korobushkin 29 Июнь 2009, 20:55
|
Юрий Алексеевич!
Спасибо за ответ!
>... укорочение сухожилия четырехглавой мышцы.
>У молодого человека это мне представляется избыточным - тонус должен сам
>восстановиться после возвращения надколенника на место.
- Было бы очень хорошо, если низведения было бы достаточно, но
1) низведение проводилось почти два месяца, и одномоментно возвращение надкодленника на место будет ли возможно?
2) даже если он (надколенник) окажется на своем месте будет ли сохранено активное разгибание голени?
С ув Коробушкин Глеб
|
[
Ответить ]
|
Re: низведение надколенника
Отправитель: Юрий Алексеевич Булахтин 29 Июнь 2009, 20:56
|
Здравствуйте, Глеб!
В прошлом сообщении вы писали, что разгибание - 180 градусов, поэтому я и считаю, что срок в два месяца не является критичным и активное разгибание после перемещения места прикрепления собственной связки надколенника восстановится быстро. Ведь ни рубцового перерождения, ни укорочения мышц на бедре не было.
> 1) низведение проводилось почти два месяца, и одномоментно возвращение
> надкодленника на место будет ли возможно?
По снимкам - плотность регенерата хорошая, сложностей с фиксацией в него костного "основания" быть не должно.
|
[
Ответить ]
|
|
Re: низведение надколенника
Leonid Solomin 30 Июнь 2009, 15:29
|
Уважаемый Глеб Владимирович!
К сожалению, подобное осложнение "нет-нет да и возникает" при удлинении, коррекции деформации голени. В англоязычной литературе оно описано как "patella baja". Один из вариантов лечения - проксимальное перемещение надколенника приемами чрескостного остеосинтеза.

Всего наилучшего,
Л.Соломин
|
[
Ответить ]
|
Re: низведение надколенника
Alexander Artemiev 30 Июнь 2009, 15:40
|
Здравствуйте, Глеб.
По счастию, не довелось сталкиваться с такой проблемой.
По-моему, надколенник низвелся на величину, гораздо меньшую удлинению.
Я бы уменьшил диастаз между фрагментами сантиметра на два. Судя по снимкам, регенерат это может позволить.
Если же говорить о пластике связки, то, надеюсь, Вы это планируете сделать потом, после снятия аппарата и реабилитации. Возможно, и нужды в этом не будет.
С уважением Александр Артемьев
|
[
Ответить ]
|
Re: низведение надколенника
Alexander Chelnokov 30 Июнь 2009, 22:43
|
Я бы присоединился к предложению А.Артемьева - уменьшить диастаз, и посмотреть можно будет, как поведет себя надколенник.
Чтобы не сталкиваться с таким осложнением, лучше удлинять большеберцовую кость на уровне диафиза. Тогда еще и интрамедуллярный стержень будет удобнее вводить по завершении удлинения ;-)
|
[
Ответить ]
|
Re: низведение надколенника
Ерсин 01 Июль 2009, 20:54
|
Уважаемый Глеб!
Занимаясь с ОПКГ нередко встречался с подобной клин., ситуацией.
Приношу свои извинения если выражусь некорректно (как коллега я думаю поймете). В первую очередь допущена ошибка по линии остеотомии, правильно было бы произвести косую остеотомию (во фронтальной плоскости) т.е. верхушка линии остеотомии начинается из под бугристости можно направить сверху вниз или наоборот, тем самым избежали бы дистракционную транспозицию lig.patella. Во вторых следуеть начать пассивные и активные движения в коленном суставе чем быстрее и максимально восстановите движения (всего 70 град) тем больше шансов воостановить функцию (аппарат не будет мешат), дело в том, что по мере непроизвольного перемещения надколенника верхний заворот и капсула сустава тоже сворачивается, сморщивается, спаевается с окружащими тканями(неоднократно обнаруживал во время разъеденения спаек после подобных случаев), а у Вас прошло уже почти 6 мес. По х-ray не возможно разглядеть в зоне open-frac есть сращение?
Как предлагаеть А.Н. второй варинат переход в БИОС с высоким ведением UTN, заодно сразу можно перемести бугристость с блоком вверх (но не на 6 см, укорочивать сухожилие 4-главой вскорее всего надо будет), назначтье постоянную изометрическую гимнастику (24 час в сутки 7 дней в нед.). С уважением Е.Т.
P.S. Как предлагает старший товарищ наверное можно применить аппаратную тензию, но ни разу не пробовал поэтому молчу, но вряд ли пациент согласиться на такое после всех "прелестей" ЧКДО.
|
[
Ответить ]
|
( Ответить )
|
|