ВХОД ДЛЯ ПАЦИЕНТОВ
вверх
поиск
админ
главная
исходное
последующие
|
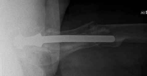
Re: Перипротезный перелом
послал Sandro Reverberi 28 Декабрь 2008, 12:07
|
dear Alexander,
your is a fine and elegant solution.
You transformed a cemented hip prosthesis to a cementless revision hip prosthesis with a little approach.
But I have some questions:
* your nail has a point of minus resistance at the tip of femural stem and at the fulcrum of the fracture; by the time could it break?
* by the time stem and nail could reciprocally move?
* distal fixation of the nail is based near only on two screws : are they sufficient to secure a good stability before fracture consolidation?
* materials of the stem and nail (I think Iron steel in both); if they should be different (and many hip prosthesis are made by an alloy that is not the same of the nails) we could see electrolytic phenomena
So I think that your is a good idea, it can be actually good in this case, but is not sure in all cases.

I generally should prefer a long stem revision prosthesis, as that allegated.
Sandro Reverberi
|
| Послать ответ |
Обратите внимание: Поля с жирными названиями обязательны.
Старайтесь отвечать в рамках обсуждаемой темы, а не начинать новые обсуждения.
Указывайте адекватную тему сообщения, чтобы было ясно, о чем оно.
Не послайте сообщений не по теме (оффтопик), раздраженных, грубых или обидных комментариев. Здесь это неуместно.
|