AOTRAUMA.ORG Центр Илизарова  

Ортопедия и травматология Общие вопросы/General questions Help Информационные технологии в медицине
 вверх
 отправить
 поиск
 админ
 главная


неправильно установленная ножка протеза
Ортопедия и травматология Отправлено Gleb Korobushkin 29 Ноябрь 2008, 12:44
Коллеги!
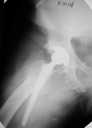
Больной Т. 56 лет, Диагноз: двухсторонний коксартроз 3-4 ст справа, 1-2 ст слева 2.10.08 выполнена операция тотальное бесцементное эндопротезирование. Использовался наружный доступ, положение на боку. Операция протекала без особенностей.
Выполнен послеоперационный ренгеноконтроль в прямой проекции. Рана зажила.
Больное выписан. Рекомендована ходьба без нагрузки 6 нед, рентгеноконтроль через 2 мес. Явка на консультацию На консультации через 7 недель- Больной ходит с дозированной нагрузкой, умеренные боли по задней поверхности правого бедра. Планируется ревизия. Удаление ножки. Установка такой же ножки Corail.
Приходилось ли кому встречаться с такой ситуацией?Вопросы: вросла ли ножка? Какие могут возникнуть сложности с удалением ножки? Нужна ли будет дополнительная трепанация диафиза? И как? Правильный выбор ножка Corail для ревизии в такой ситуации?
С ув Коробушкин Глеб

<  |  >

 

  • Сообщения о Ортопедия и травматология
  • Также Gleb Korobushkin
  • Связаться с автором
  • Ответить

    Re: неправильно установленная ножка протеза
    Michael Markushevich 29 Ноябрь 2008, 21:14
    False road это ситуация случается ,в основном у начинающих. Конечно очень неприятно. В этом случае необходимо удалить протез. С удалением в такой срок - месяц-проблем не вижу. Но теперь необходим болле длинный STEM CORAIL. Такой есть у фирмы CORIN .
    Good lack Michael
    [ Ответить ]

    • Re: неправильно установленная ножка протеза
      Отправитель: Gleb Korobushkin 30 Ноябрь 2008, 15:50
      Михаил!
      А в России фирма Corin разве уже представлена?
      С ув КГ

      [ Ответить ]
    Re: неправильно установленная ножка протеза
    Максим Королев 29 Ноябрь 2008, 21:53
    Уважаемый Глеб! В данной ситуации ножка удалиться без особых проблем, единственно может быть конфликт с мягкими тканями. При ревизионном
    эндопротезировании предпочтительна ножка типа Споторно или Вагнера.
    Често, никогда не использовал ваш вариант.
    Максим Королев.
    [ Ответить ]

    • Re: неправильно установленная ножка протеза
      Отправитель: Gleb Korobushkin 30 Ноябрь 2008, 15:31
      Максим!
      Спасибо за ответ
      КМ > В данной ситуации ножка удалиться без особых проблем,
      > единственно может быть конфликт с мягкими тканями.


      А что вы имеете ввиду под конфликтом с мягкими тканями?

      С ув Коробушкин Г

      [ Ответить ]
    Re: неправильно установленная ножка протеза
    Ильдар В. Исмагилов 29 Ноябрь 2008, 21:57
    Уважаемый Глеб, предложенные снимки впечатлили! Никто не застрахован...
    Считаю что ножка Corail вполне способна достойно выйти из этой непростой ситуации. На мой взгляд, при ревизии следует использовать следующий размер
    римера(больший), удаление пройдет без особенностей, кстати, заметите что слой НА (гидроксиаппатита) пострадал на удаляемой, обращаю Ваше внимание
    на оффсет (я бы пошел..на хай-оффсет) и положите перед операцией, на всякий случай, серкляж - вдруг пригодится... Удачи!

    [ Ответить ]

    • Re: неправильно установленная ножка протеза
      Отправитель: Gleb Korobushkin 30 Ноябрь 2008, 15:33
      Ильдар!
      Спасибо за ответ! Серкляж приготовлю
      С ув КГ

      [ Ответить ]
    Re: неправильно установленная ножка протеза
    konstantin glazkov 30 Ноябрь 2008, 20:08
    С удалением ножки в эти сроки проблем быть не должно. Возможно пройдет ножка большего размера,но имейте в запасе ревизионную ножку типа Вагнера.
    [ Ответить ]

    Re: неправильно установленная ножка протеза
    Андрей Каминский 30 Ноябрь 2008, 23:01
    Думаю ножка прихватилась, и при удалении вокруг нее надо будет аккуратно пройти узким тонким долотом. Высока вероятность удаления без раскола, но и к этому следует готовиться. Может циркляжик привентивно наложить. Если удаляться не будет, то можно пилой пройти вдоль большого вертела до ножки и чуть развести пропил дллотом. Ножку ВЫ извлечете уже без гидроксиапатитного покрытия.
    Считаю, что использование подобной ножки для ревизии вполне оправдано, а с размером определитесь в процессе забивания рашпилей. Интраоперационный рентген на рашпиле может помочь.
    УДачи.
    Каминский А.В. г.Курган.
    [ Ответить ]

    • Re: неправильно установленная ножка протеза
      Отправитель: Глеб Коробушкин 30 Ноябрь 2008, 23:03
      Андрей!
      Спасибо за Ваш ответ!
      КА> Думаю ножка прихватилась и при удалении вокруг нее надо будет аккуратно
      пройти узким тонким долотом. Высока вероятность >удаления без раскола, но и
      к этому следует готовиться.
      >Может циркляжик привентивно наложить. если удаляться не будет, то можно
      >пилой пройти вдоль большого вертела до ножки и чуть >развести пропил
      >дллотом.


      - Заднюю поверхность бедра, туда куда вышла ножка я вывести для пропила, не смогу. Предполагается наружный доступ, с вывихиванием головки бедра кпереди.
      Какой пропил в области большого вертела вы считаете в данном случае
      целесообразен?



      [ Ответить ]
      • Re: неправильно установленная ножка протеза
        Отправитель: Андрей Каминский 30 Ноябрь 2008, 23:05
        Тут и не обязательно выводить заднюю поверхность,Вы можете прямо по боковой, что откроется в доступе. Вам надо только немного ослабить фиксацию ножки и она выйдет. Нам приходилось выбиватьножки различных производителей. К чести "Корая" - их не видел, но спаторно, алтимед, ЭСИ бывали и они стояли в канале правильно, однако ослабления в вертельной области было достаточно для удаления. В Вашем случае фиксация ограничена вертелом. Все получится.
        Каминский А.В.

        [ Ответить ]
    Re: неправильно установленная ножка протеза
    Рашид Муртузалиевич Тихилов 03 Декабрь 2008, 04:29
    Уважаемый Глеб,
    Не надо особенно мудрить, ножка вышла высоко, практически весь проксимальный отдел бедра сохранен, после аккуратного удаления ножки с максимально бережным отношением к м.тканям, и после визуализации канала используйте ту ножку, которая оптимально подходила при первичном планировании. Окончательный размер ее вы определите по плотной посадке рашпиля. Неприятно, но не смертельно... бывает хуже
    С ув.Р.Тихилов
    [ Ответить ]

    Re: неправильно установленная ножка протеза
    Глеб Коробушкин 05 Декабрь 2008, 00:15
    Спасибо большое за советы!
    Сегодня свершилась ревизия. С максимально бережным отношением к тканям выделил бедро.
    Ножка "слету " удалить не удалось, после выделения долотом ножку удалил.
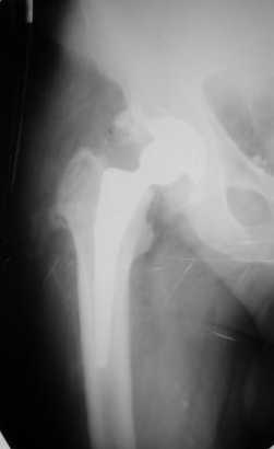
    Поставил Corail большего размера.
    Рентгенограммы вывешу.
    С ув Коробушкин Г
    [ Ответить ]


    ( Ответить )

    Powered by Zope  Squishdot Powered MedLink
    Посетитель: 0005238
      "По форме правильно, а по существу - издевательство" В.И.Ленин
    ©2001-2019Orthoforum Coordinator.
    [ Главная | Отправить сообщение | Поиск | Админ ]