ВХОД ДЛЯ ПАЦИЕНТОВ
вверх
поиск
админ
главная
исходное
|
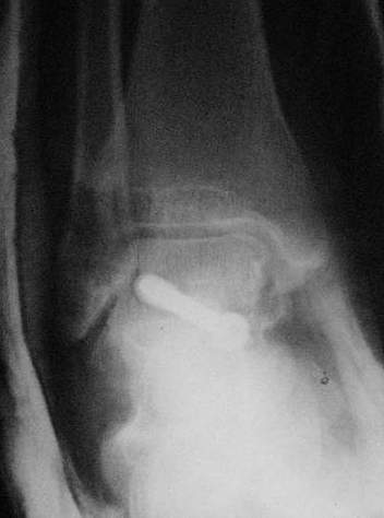
Re: Перелом таранной кости
послал Сергей Зырянов 16 Ноябрь 2008, 22:26
|

Прооперировали таранную кость, доступ внутренний без пересечения внутренней лодыжки. Хотя покаялись, что не пошли на остеотомию лодыжки внутренней. Винт
провели через небольшой передний доступ.
Джолдас, какими доступами вы пользовались? Какой срок иммобилизации по вашему мнению необходим в моем представленном случае?
Сергей зырянов
|
| Послать ответ |
Обратите внимание: Поля с жирными названиями обязательны.
Старайтесь отвечать в рамках обсуждаемой темы, а не начинать новые обсуждения.
Указывайте адекватную тему сообщения, чтобы было ясно, о чем оно.
Не послайте сообщений не по теме (оффтопик), раздраженных, грубых или обидных комментариев. Здесь это неуместно.
|