AOTRAUMA.ORG Центр Илизарова  

Ортопедия и травматология Общие вопросы/General questions Help Информационные технологии в медицине
 вверх
 отправить
 поиск
 админ
 главная


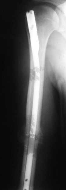
Блокируемый незаблокированный штифт.
Ортопедия и травматология Отправлено Andrey Sereda 29 Июнь 2008, 23:44
Уважаемые коллеги!Обратился пациент, оперирован не у нас.
Что делать?
Варианты:
1. Заблокировать.
2. Ничего не делать.
3. Заменить штифт на более толстый.
4. Еще варианты?
Спасибо. (Извините за снимки, дома нет негатоскопа, если необходимо - завтра пересниму).

<  |  >

 

  • Сообщения о Ортопедия и травматология
  • Также Andrey Sereda
  • Связаться с автором
  • Ответить

    Re: Блокируемый незаблокированный штифт.
    Adonin 29 Июнь 2008, 23:56
    однозначно не блокировать и не убирать - есть прекрасная мозоль и все отлично срастается. Мне плохо видно - выступает ли гвоздь проксимально ( кажется, нет, гвоздь строго в уровень с костью)?
    Если гвоздь хоть чуть-чуть выступает - убрать гвоздь как можно скорее (месяца через 3 после травмы), если не выступает - оставить все как есть

    С уважением,
    Адонин Сергей Витальевич
    [ Ответить ]

    • Re: Блокируемый незаблокированный штифт.
      Отправитель: Andrey Sereda 29 Июнь 2008, 23:58
      Спасибо. А не слишком ли хороша мозоль?

      [ Ответить ]
      • Re: Блокируемый незаблокированный штифт.
        Отправитель: Adonin 30 Июнь 2008, 21:15
        Большая мозоль - здоровый организм УСПЕШНО компенсирует недостатки фиксации.
        Раз есть боль в области плеча - скорее всего, таки травмируется ротаторная манжета плеча гвоздем - либо подождать еще месяцок и гвоздь убрать, пока он больному не разорвал манжету "в клочья", либо (в идеале, если есть желание, операционное время, инструмент того же производителя, которым пользовались в Склифе, понимание со стороны больного и т.д) - забить гвоздь на полсантиметра глубже и заблокировать одним проксимальным шурупом, чтоб предотвратить его миграцию в канале

        Само же состояние перелома мне не внушает никаких сомнений или опасений

        С уважением,
        Адонин Сергей Витальевич

        [ Ответить ]
        • Re: Блокируемый незаблокированный штифт.
          Отправитель: Oleg Garin 04 Июль 2008, 21:55
          Раз есть боль в области плеча - скорее всего, таки травмируется ротаторная манжета плеча гвоздем - либо подождать еще месяцок и гвоздь убрать, пока он больному не разорвал манжету "в клочья

          Сергей, если бы гвоздь травмировал манжету, вряд ли удалось бы добиться 80% мобильности...

          [ Ответить ]
          • Re: Блокируемый незаблокированный штифт.
            Отправитель: Adonin 04 Июль 2008, 21:59
            Во-первых, я не настаиваю, во-вторых - у больного еще все может быть впереди в плане полного разрыва манжеты, в-третьих - клинические проявления разрыва манжеты - дело мутное - можно иметь частичный разрыв и приличную клинику, а можно - большую дыру и вполне бессимптомного пациента.

            Гвоздь для плеча - дело не очень хорошее, и, честно говоря, на этих снимках показаний к такому методу лечения я никаких не вижу. Больше процент несращений, часто (до 20-30 процентов) встречаются осложнения со стороны плечевого сустава... Однако, это уже выходит за пределы обсуждаемой темы

            С уважением,
            Адонин Сергей Витальевич


            [ Ответить ]
    Re: Блокируемый незаблокированный штифт.
    Alexander Chelnokov 29 Июнь 2008, 23:59
    А пациент обратился-то на какой предмет вообще? Что-то забеспокоило?

    [ Ответить ]

    • Re: Блокируемый незаблокированный штифт.
      Отправитель: Andrey Sereda 30 Июнь 2008, 00:03
      Пациент обратился с жалобой на лигатурный свищ.
      Амплитуда движений 70-80% от контрлаптеральной конечности с умеренной болью в месте перелома. Наиболее болезненно - заведение руки за спину (появляется боль в области плечевого сустава). Отведение - градусов 70, далее за счет лопатки.



      [ Ответить ]
      • Re: Блокируемый незаблокированный штифт.
        Отправитель: Alexander Chelnokov 30 Июнь 2008, 00:12
        Пациент обратился с жалобой на лигатурный свищ.

        А где он, как выглядит?

        Амплитуда движений 70-80% от

        Обычное дело, пусть разрабатывает давно, лучше с методистом. Тут по снимкам проблем не видно. Винты вводить необязательно - если хирург знает, что делает. Например, если получился хороший press-fit из-за несоответствия формы гвоздя и канала.



        [ Ответить ]
        • Re: Блокируемый незаблокированный штифт.
          Отправитель: Adonin 30 Июнь 2008, 01:20
          Алекс, не согласен с утвержением о том, что шурупы ДЛЯ ПЛЕЧА не нужны.
          Я пользуюсь биометовскими гвоздями и их инструкцию помню оч хорошо; не думаю, что другие производители рекомендуют что-то иное.
          1 гвозди для плеча не могут быть пресс-фит - гоздь гладкий, полость канала неравномерная
          2 на плечо приходятся много большие ротационные усилия, чем на . скажем, нижнюю конечность. Именно по этой причине до сих пор "золотой стандарт" лечения переломов диафиза плеча - пластины: несмотря на все их недостатки, они обеспечивают лучшую ротационную стабильность отломков. Даже на блокированных гвоздях процент несращений много больше. чем на пластинах ( кажется , 93 процента хороших результатов для гвоздей и 97 для пластин - было на АОвских компакт -дисках, можно перепроверить)

          Мой производитель
          1 не рекомендует пользоваться молотком в процессе погружения гвоздя - гвоздь должен полностью вводиться от руки, можно добить оч легкими ударами последний сантиметр, чтоб хорошо погрузить гвоздь в плечо
          2 настойчиво рекомендует КАК МИНИМУМ по 2 шурупа проксимально и дистально ( при высоких переломах, разумеется, проксимальных шурупов можно больше)

          Будь это бедро - нет проблем, да и то я при поперечных переломах средней трети диафиза всегда один шуруп ввожу, чтоб потом не иметь головной боли с проксимальной миграцией гвоздя ( благо, работы-то на 3 минуты максимум- вводится по направителям, не нужен даже рентген-контроль)

          PS кстати, насколько я знаю, тот же биомет выпускает гвозди только 2 диаметров - 8 и 9 миллиметров, явно не планируя пресс-фитнесс

          С уважением,
          Адонин Сергей Витальевич

          [ Ответить ]
          • Re: Блокируемый незаблокированный штифт.
            Отправитель: Alexander Chelnokov 30 Июнь 2008, 21:21
            Алекс, не согласен с утвержением о том, что шурупы ДЛЯ ПЛЕЧА не нужны.

            Еще раз - если врач знает, что делает, то они не нужны на плече в той же мере, что и на других сегментах.

            Я пользуюсь биометовскими гвоздями и их инструкцию помню оч хорошо; не думаю, что другие производители рекомендуют что-то иное.

            А производители - наместники господа? Эти инструкции пишут конкретные врачи. Причем еще когда нет серьезного опыта использования выходящего на рынок фиксатора. И там в большей мере надо смотреть, какой шпунтик в какую дырочку надо вставить, чтобы чего не перепутать. Да и в ходе использования появляются основания для пересмотра инструкций, и варианты использования, инструкцией не предусмотренные.

            Вообще-то хирург сам должен знать имплантат досконально, не только инструкцию, но и его недокументированные, а то и скрываемые производителем свойства и особенности.


            [ Ответить ]
            • Re: Блокируемый незаблокированный штифт.
              Отправитель: Adonin 01 Июль 2008, 16:52
              Алекс, я - категорический противник "творческого" подхода к лечению больных в стандартных ситуациях. Так как, выясняется, Вы не уважаете инструкции производителей - посмотрите, пожалуйста, 303 страницу электронного издания ao principles of internal fixation - очень популярный источник, думаю, и у Вас он есть. Там , в подразделе surgical treatment - hints and tricks написано все, что я до этого писал со ссылкой на производителя - и о том, что гвоздь вводится от руки, и о том, что совет авторов - довйное блокирование и дистально, и проксимально. К сожалению, вырезать кусок текста из PDF-ного файла и вставить его суда я не могу. Если рекомендации АО для Вас тоже недостаточно авторитетны - буду рыться в других источниках

              С уважением,
              Адонин Сергей Витальевич

              [ Ответить ]
              • Re: Блокируемый незаблокированный штифт.
                Отправитель: Alexander Chelnokov 01 Июль 2008, 17:26
                я - категорический противник "творческого" подхода к лечению больных в стандартных ситуациях.

                Обращаю внимание на разницу между "врач знает, что делает" и "врач может что-то творчески симпровизировать".

                Так как, выясняется, Вы не уважаете инструкции производителей

                Инструкция имеет свое назначение - в основном поясняет, как пользоваться инструментами, типа "втулку 4 вставить в отверстие 7 и повернуть по часовой стрелке до щелчка". Не надо от нее ожидать полного освещения всех остальных аспектов.

                tricks написано все, что я до этого писал со ссылкой на производителя - и о том, что гвоздь вводится от руки, и о том, что совет авторов -

                Все это понятно. Маленькое соображение - скоро выйдет очередное издание, в котором будет написано много того, чего нет в старом. Все новые подходы, описание которых там будет, появятся ведь не после публикации, а уже давно много кому известны и апробированы.

                Если рекомендации АО для Вас тоже недостаточно авторитетны - буду рыться в других источниках

                А если вспомнить, сколько лет звучали рекомендации АО использовать гвозди без рассверливания, или диафизарные переломы лечить пластинами, то становится понятно, что догмы даже от самых-самых не надо абсолютизировать.


                [ Ответить ]
            • Re: Блокируемый незаблокированный штифт.
              Отправитель: Adonin 01 Июль 2008, 16:59
              Вообще-то хирург сам должен знать имплантат досконально, не только инструкцию, но и его недокументированные, а то и скрываемые производителем свойства и особенности.

              Алекс, тут Вы погорячились, не правда ли?
              Расскажите. как мне узнать скрываемые производителями особенности той полусотни имплантов, которой я пользуюсь. Увы, на заводах ни биомета, ни страйкера, ни смитов с племянниками у меня шпиенов нет

              [ Ответить ]
              • Re: Блокируемый незаблокированный штифт.
                Отправитель: Alexander Chelnokov 03 Июль 2008, 00:48
                Расскажите. как мне узнать скрываемые производителями особенности той полусотни имплантов, которой я пользуюсь.

                Практика - один из важнейших критериев истины, как известно. Так что путь узнать эти особенности - опыт. Свой и коллег.

                Увы, на заводах ни биомета, ни страйкера, ни смитов с племянниками у меня шпиенов нет

                На заводах-то ничего криминального врачу не увидеть. А в операционной замечаешь, что, к примеру, втулка у кондуктора коротковата, и приходится делать разрез побольше. Или что есть ступенька в месте соединения гвоздя с кондуктором. Или что изгиб слишком низко, или что винты тонковаты.


                [ Ответить ]
        • Re: Блокируемый незаблокированный штифт.
          Отправитель: Andrey Sereda 30 Июнь 2008, 01:22
          А где он, как выглядит?
          Рубец около 7 см параллельно дистальному краю акромиона, перпендикулярно оси верхней конечности. Участок гиперемии 3*3 мм в задней части рубца, торчит нитка. Уже не торчит.

          [ Ответить ]

     

    ( Ответить )

    Powered by Zope  Squishdot Powered MedLink
    Посетитель: 0000023
      "По форме правильно, а по существу - издевательство" В.И.Ленин
    ©2001-2019Orthoforum Coordinator.
    [ Главная | Отправить сообщение | Поиск | Админ ]