AOTRAUMA.ORG Центр Илизарова  

Ортопедия и травматология Общие вопросы/General questions Help Информационные технологии в медицине
 вверх
 отправить
 поиск
 админ
 главная
 Предыдущее


Re: неполный перелом шейки
Djoldas Kuldjanov 27 Май 2008, 22:17
“А что означает профилактическая перкутанная фиксация? Профилактика чего? Резорбции что ли? Снимки у Вас высокого качества- это ясно, а ППФ - это не ясно.”

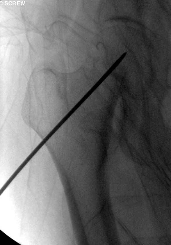
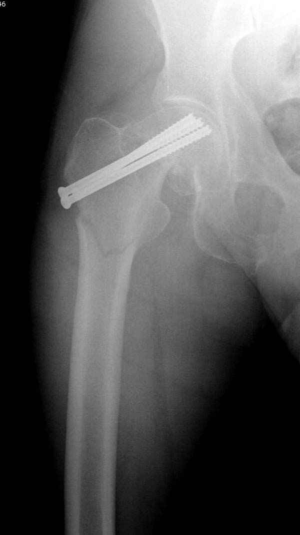
Профилактику дальнейшего раскола неполного перелома шейки провели тремя канюлированными шурупами.

Профилактику алкогольного делирия проводим по схеме после мониторинга CIWA-Ar (специального протокола Clinical Institute Withdrawal Assessment for Alcohol)

Назначения Lorazepama (Ативан) по 2 мг в зависимости от результата протокола. Также проводится витамин В1 (Thiamin) для профилактики Korsakoff-Wernicke синдрома.



На второй день после выписки упал дома. Снимки приложены. Коллеги рекомендуют удаление шурупа и вытяжение. Что делать?


Djoldas Kuldjanov, MD
Department of Orthopedic Surgery
St. Louis University Medical Center
  • Сообщения о Ортопедия и травматология
  • Также Djoldas Kuldjanov
  • Связаться с автором
  • Ответить

    Re: неполный перелом шейки
    Alexander Chelnokov 27 Май 2008, 22:29
    Привет из солнечного Будапешта с Eurotrauma-2008. Да, замечательный пример. Получается, профилактику расхождения отломков шейки надо было проводить каким-то реконструкционным или проксимальным гвоздем, причем сразу длинной версией. Сейчас, наверно, так и надо бы сделать.
    Убрать винты, каким-то джойстиком в вертельной области сделать репозицию шейки, фиксировать ее спицами, а дальше вправлять и фиксировать как вертельный перелом.

    [ Ответить ]

    Re: неполный перелом шейки
    Исмаил Дибиров 28 Май 2008, 03:35
    Да!Не зря говорят:"дуракам умных операций не делают"...Неужели забыли "таких" больных,или "там" уже так не пьют?!А что останется от шейки после удаления 3Х спонгиозных винтов в плане кровоснабжения? Срастется?

    [ Ответить ]

    Re: неполный перелом шейки
    А.Рыков 29 Май 2008, 00:04
    Решайте проблемы по мере поступления. На первом этапе решение одно, и на мой взгляд верное. Ситуация изменилась кардинально - другое решение. Я бы избрал ресинтез, убрав винты заменил на Гамму. Что с ним будет послезавтра? - Будем решать послезавтра. Такая наша доля.

    С ув. А Рыков
    Хабаровск
    [ Ответить ]

    Re: неполный перелом шейки
    Алтай Джафаров 30 Май 2008, 16:36
    уважаемый коллега,
    вопрос вне контекста: при введении каннюлированных
    винтов как часто пользуетесь гайдом? и пользуетесь ли вы им всегда?
    с уважением

    Др. Алтай Джафаров
    [ Ответить ]

    • Re: неполный перелом шейки
      Отправитель: Alexander Chelnokov 31 Май 2008, 21:13
      Простите, непонятно, что подразумевается под "гайдом" - спица-направитель, по которой вводится винт? Или что-то другое?

      [ Ответить ]
      • Re: неполный перелом шейки
        Отправитель: Алтай Джафаров 31 Май 2008, 21:15
        Я имел ввиду параллельный направитель,
        обеспечивающий параллельное расположение винтов. к
        сожелениию не смог найти точное название на англ.

        С Уважением
        Др. Алтай Джафаров

        [ Ответить ]
        • Re: неполный перелом шейки
          Отправитель: Djoldas Kuldjanov 31 Май 2008, 21:19
          Наверное речь идет насчет parallel guide из набора. Применяем по возможности всегда, но,
          как видно на снимке, не всегда получается
          паралельно.

          Такие несмещенные переломы обычно для молодых резидентов, и бывают технические неточности, но в этом случае посчитали фиксацию адекватной.
          Соблюдая правила, многократными попытками можно
          увеличить риск стрессового перелома латерального
          кортекса.

          [ Ответить ]

     

    ( Ответить )

    Powered by Zope  Squishdot Powered MedLink
    Посетитель: 0033738
      "По форме правильно, а по существу - издевательство" В.И.Ленин
    ©2001-2019Orthoforum Coordinator.
    [ Главная | Отправить сообщение | Поиск | Админ ]