Ответить
|
Re: Последствия чрезвертельного перелома бедренной
Rashid M. Tikhilov 16 Март 2008, 18:34
|
Уважаемый Павел,
Действительно непростая ситуация, тем более что б-й отреагировал на вмешательство нагноением, по сути возможных вариантов лечения можно сказать следующее:
Репозиция возможна только открытым путем при условии расширенного доступа и под контролем ЭОПа. Что мы сможем при этом получить? В лучшем случае - выраженную контрактуру или анкилоз в правильном положении ноги и без укорочения. Если это отвечает чаяниям пациента - ура. Но при этом есть масса подводных камней - АНГБК, нагноение, несращение...
> 2 вариант — «Эндопротезирование».
> Иссечение костных разрастаний, удаление головки бедренной кости,
> установка спейсера с антибиотиком, эндопротезирование через 6-10
> месяцев.
> Вопрос: вариант очень травматичный, что обусловливает высокий риск
> осложнений; и еще, удержится ли спейсер в вертлужной впадине после
> операции?
Этот вариант функционально более перспективен, асбсолютно оправдано двухэтапное эндопротезирование с установкой на первом этапе
артикулирующего спейсера: чашка изготавливается из цемента (гентамицин+ванкомицин) ножку лучше взять типа Элит Плюс, на тот же вариант цемента с а/б. Подводных камней так же хватает: необходима
тщательная ХО, максимальное сохранение мышц (тут масса нюансов и ориентироваться придется по ходу операции), длительная направленная а/б терапия..... Но на мой взгляд, на перспективу реабилитации это лучший вариант. Если нужна большая детализация техники установки спейсера -
напишу. Реальная результативность таких операций 90-95%
С уважением, Р.Тихилов
|
[
Ответить ]
|
Re: Последствия чрезвертельного перелома бедренной кости
Алексей20 16 Март 2008, 18:53
|
Если снимок справа по хронологии последний, то в тазобедренном сустава наступил анкилоз. Это хороший плюс костной ткани для постановки чашки эндопротеза, но отсутствие сохранения биомеханической оси бедренной кости ставит под вопрос благоприятный вариант усановки ножки эндопротеза.... Учитывая выполненную остеотомию, не считаю выполнение скелетного вытяжения лишенным смысла, для восстановления оси конечности с последующим, возможно, индивидуальным эндопротезированием.
|
[
Ответить ]
|
Re: Последствия чрезвертельного перелома бедренной
Отправитель: Pavel Ivanov 17 Март 2008, 00:05
|
Уважаемый Алексей, здравствуйте!
Очень признателен Вам за ответ, но позвольте мне не согласиться с Вами. Я бы пока не делал вывод о анкилозировании тазобедренного сустава. На рентгеновских снимках, да и по данным компьютерной томографии (а этот метод один из самых современных и информативных), хорошо прослеживается постоянной ширины щель между головкой бедренной кости и вертлужной впадины. Кроме того, несложно увидеть разницу "шеечно-диафизарного угла" до и после выполнения тракции в аппарате. Хотя, Алексей, даже если я и прав, это не сильно облегчает нашу задачу.
Кроме того, Алексей, учитывая оказию, я бы хотел поднять один вопрос, не имеющий прямого отношения к обсуждаемой сегодня проблеме. Дело в том, что я, к сожаление, не знаком с Вами лично. И мне этого сильно не хватает, что бы понять, в каком формате продолжать начатый с Вами диалог.
Попробую пояснить, чем вызван этот определенный дискомфорт.
Представьте ситуацию, что Вы принимаете участие в какой-нибудь медицинской конференции и в перерыве обсуждаете со знакомым Вам коллегой план лечения тяжелого пациента. Невдалеке от вас пьет кофе молодой, незнакомый вам обоим, доктор. Услышав обсуждение он подходит к вам, и уверенно, даже несколько категорично, предлагает свой вариант лечения. Уверен первая мысль которая Вас и Вашего товарища посетит будет такой: "Кто это? Где этот доктор работает? Какую он занимает должность? Какой у него опыт в лечении данной патологии?" Не так ли? Объяснить сей психологический феномен несложно. Просто, ответы на эти вопросы Вам необходимы, для того что бы определиться, как относиться к словам незнакомого коллеги, какие задавать ему вопросы, насколько веско аргументировать свою позицию.
Кстати, это правило мы применяем и в повседневной жизни. Ведь когда мы в компании начинаем разговор с незнакомым человеком, мы всегда в начале беседы задаем вопросы, которые помогают строить дальнейший разговор ("Как Вас зовут?", "Где Вы работаете?", "Где Вы учились?", "Какую Вы любите музыку?", "Бывали ли Вы там-то?").
Предвижу ответы оппонентов: "Формат, применяемый Алексеем для подписи своих сообщений на форуме, часто используется в Интернете". Да, это действительно так. Но использование псевдонимов или сетевых имен обычно применяться на сайтах, где участники дискуссии как раз желают скрыть свои истинные фамилию и имя, пол, возраст, социальный статус, место работы и проживания. Это, я слышал, часто встречается например на эротических страницах, на форумах хакеров, блогах анонимных алкоголиков и тинэйджеров. И это понятно. Но наш форум все же создан для профессионального общения докторов, и это обусловливает, как мне кажется, ряд отличий от вышеупомянутых сетевых ресурсов. Мне кажется, каждый доктор с гордостью может назвать свою фамилию и учреждение где он работает. Если доктор пока только учиться, то не стыдно в подписи указать - "клинический ординатор". Каждый может рассказать о своем собственном опыте. Не будет зазорным сказать, что "я таких больных не оперировал, но все же имею некоторые предположения и мысли по данному поводу".
И еще немного, касательно сути сообщений с короткими подписями. В последнее время на форум приходить большое количество сообщений, тон и смысл которых можно свести к связке вопрос-ответ: "Что мне делать" - "Делай только так, а не иначе. Короткая подпись.". И это при том, что на форуме всегда обсуждают сложные случаи, которые, как правило, не имеют единственно правильного, универсального решения. Каждый из предлагаемых вариантов лечения имеет множество плюсов и минусов, сильных и слабых сторон, технических преимуществ и сложностей. И искусство советчика в том и состоит, что бы помочь вопрошающему коллеге все правильно взвесить и выбрать оптимальный способ, проинформировать о возможных неожиданностях в ходе лечения или операции. Для меня примером такого подхода являются сообщения Джолдаса Кулджанова. Его сообщения всегда интересно читать, потому что Джолдас, дай бог ему здоровья, всегда очень подробно объясняет все нюансы обсуждаемой темы, и, что очень важно, подкрепляет, свои слова примерами своих схожих больных и ссылками на полезные статьи. Вот это класс! Именно такие сообщения определяют ценность форума для врачей-практиков.
Алексей, простите за столь длинный текст, но может теперь будет понятно, почему я не знаю как отнестись к Вашему совету:
"Учитывая выполненную остеотомию, не считаю выполнение скелетного вытяжения лишенным смысла, для восстановления оси конечности с последующим, возможно, индивидуальным эндопротезированием".
Спасибо за участие в дискуссии.
Буду рад получать от Вас письма.
С уважением,
Павел Иванов
1970 г.р.
Начно-исследовательский институт скорой помощи им. Н.В. Склифосовского
отделение множественной и сочетанной травмы
старший научный сотрудник, к.м.н.
129090, Москва, Большая Сухаревская пл, 3
|
[
Ответить ]
|
Re: Последствия чрезвертельного перелома бедренной
Отправитель: Алексей20 18 Март 2008, 06:51
|
Спасибо за такое внимание, к сожалению я не нашел функции регистрации на форуме. Случай с вашим пациентом не простой, возможно в тексте не очень понятно выразил свои мысли. Если интересны подробности пишите адрес. Сомневаюсь, что по адресу: 129090, Москва, Большая Сухаревская пл, 3
дойдет письмо. С уважением.
|
[
Ответить ]
|
|
Re: Последствия чрезвертельного перелома бедренной кости
Алексей20 16 Март 2008, 19:03
|
Как вариант - перемонтаж аппарата: косая передняя планка переставляеться на дистальное кольцо, большее отведение и дистракция, как подготовка к эндопротезированию.
|
[
Ответить ]
|
Re: Последствия чрезвертельного перелома бедренной
Alexander Chelnokov 16 Март 2008, 20:17
|
Есть и третий вариант - продолжить лечение в аппарате. Подвести диафиз под культю шейки, завершить репозицию, а там еще раз вернуться к этому вопросу, и может быть, в аппарате все и оставить. Понятно, что это вариант долгий и неудобный во многих отношениях, но, может, тише едешь - дальше будешь?
Вариант с остеосинтезом гвоздем тут если и планировать, то чтобы эта операция заключалась только во введении гвоздя в заранее установленные в нужное положение отломки. Всякие одномоментные
коррекции, многократные попытки введения-перевведения элементов
фиксатора чреваты многими неприятностями.
Вариант с двухэтапным протезированием представляется более надежным, хотя и тоже далеко не простым.
|
[
Ответить ]
|
Re: Последствия чрезвертельного перелома бедренной кости
Андрей Волна 16 Март 2008, 21:02
|
Случай крайне нестандартный. Поэтому путей решения - правильных - может быть несколько . Или ни одного... Гвоздь - со своим пациентом - нет, я бы не рискнул. Боюсь, не получится, хотя и опыт определённый есть, в своё время, уже более 10 лет назад, мы были в числе тех, кто начинал БИОС в России... Но - не тот случай, мне кажется. Эндопртез, согласен - куда перспективнее, если от Ргр отталкиваться, а не от пациента. Ведь он и на вытяжение, и на дистракцию в аппарате отреагировал нагноением. Очень опасно, сейчас, во всяком случае. АВФ? Наверное, один из немногих случаев, когда это лучшее из решений, мне кажется. Андрей Волна
|
[
Ответить ]
|
Re: Последствия чрезвертельного перелома бедренной кости
Андрей Верховский 16 Март 2008, 22:30
|
2 вариант. Только сразу произвести и резекцию проксимального отдела бедренной кости под ревизионный эндопротез. На счет 1 варианта - получите укорочение, нет гарантии что анибактериальное покрытие поможет, операция получится не менее травматичная (все равно нужно открыть широко для полноценной ревизии и резекции некротизированной кости). По 2 варианту - полноценная ревизия с удалением даже сомнительных участиков кости на фоне хорошей избирательной антибиотикотерапии и улучшения капиллярного кровоснабжения, не будет укорочения, если боитесь что не удержится - зафиксируйте минимальным стержневым аппаратом.
С уважением.
|
[
Ответить ]
|
Re: Последствия чрезвертельного перелома бедренной кости
Леспович 17 Март 2008, 01:56
|
так же сторонник иссечения оссификатов с перспективой 2хполюсного эндопротеза.
Удачи.
|
[
Ответить ]
|
Re: Последствия чрезвертельного перелома бедренной кости
Асратян Давид 17 Март 2008, 02:59
|
Здравствуйте Павел!
На самом деле ситуация очень неординарная, и наверно нет универсального варианта для выхода из сложившейся ситуации.
Хотелось бы узнать: на что готов пойти пациент(я и мею ввиду моральную сторону) и как долго он готов лечиться. И самое главное, какого результата он ждет?
Мне кажется 1 вариант, как уже отметили коллеги на форуме и обосновали это очень хорошо, здесь не совсем подойдет.
2 вариант -эндопротезирование- да более перспективный в функциональном и техническом отношении. Обязательно 2х этапное протезирование.
По поводу вопроса :
"Вопрос :вариант очень травматичный, что обусловливает высокий риск осложнений; и еще, удержится ли спейсер в вертлужной впадине после операции?" .---- Мне кажется есть простой выход, оставить пациента в аппарате, выполнить хорошую некрэктомию с удалением головки дера, ввести спейсе, если есть в наличии КоллапАн-использовать его гелевую форму(www.collapan.ru). Пусть походит в аппарате со спейсером, только дать небольшую компрессию. Как минимум через 3 мес решать о втором этапе.
Кстати, как потом оценить до опеарции, протезировать или нет? Или Вы думаите оценивать интраоперационно?
И там возможно тоже несколько вариантов.
Это - эндопротезирование, второй - повторная установка спейсера, и 3- "атродезирование"(опорное бедро) в аппарате,а к счастью он уже установлен.
С уважением Асратян Давид.
ЦКГ ФТС России г.Москва.
Открытое шоссе д.32
|
[
Ответить ]
|
Re: Последствия чрезвертельного перелома бедренной
Alexander Artemiev 17 Март 2008, 11:44
|
Приветствую всех.
Пытался вникнуть в ситуацию. Может быть, что-то пропустил.
Почему выбор идет между внутренним стеосинтезом и эндопротезом?
А нельзя подержать в аппарате до консолидации, оценить функцию и с самим пациентом обсудить - что есть, что будет, а что может быть...?
С уважением Александр Артемьев
|
[
Ответить ]
|
Re: Последствия чрезвертельного перелома бедренной
Рунков А.В. 17 Март 2008, 23:09
|
Павел, привет!
Какие были движения в суставах до наложения аппарата? Нет ли КТ с 3D?
Перед любой дальнейшей процедурой используйте аппарат для более полного восстановления соотношений отломков - ПЕРВЫЙ этап еще НЕ закончен!.
С уважением РАВ.
|
[
Ответить ]
|
Re: Последствия чрезвертельного перелома бедренной
Anatoly Lazarev 18 Март 2008, 15:18
|
Дорогие коллеги, хвала Вам за долготерпение. Мы отказались от коррекции длины конечности после остеотомии бедра, таза в аппартах наружной фиксации в виду закономерно повторяемых нагноений в раннем, как у вас, или более позднем, после остеосинтеза, периодах.
Наш собственный опыт и опыт В.П. Абельцева (Первым начал он) показывает высокую эффективность коррекции длинны после остеотомии скелетным вытяжением. Переносится пациентом лучше, осложнений не было, максимальное удлинение получили до 10 см - полсле чего остеосинтез или эндопротез по Абельцеву. Аппарат в данной ситуации источник инфекции и прчина резкого угнетения регионарного кровотока, и кроме того болезненное вынужденное положение больного и дистресс.
Конкретно в данной ситуации: об эндопротезировании и остеосинтезе в ближайшее время не может быть и речи до стойкого купирования
воспаления местного и общего плана - для этого необходимо снять все железо, наложить вытяжение и вспомнить методику консервативного лечения, рану можно санировать открыто под наркозом в момент снятия аппарата, далее дренировать и ждать заживления воспаленных ран от стержней и пр. после заживления + 1-2 недели молжно готовиться к остеосинтезу, хорошо бы за это время провести курсы антибиотиков, имунномодуляторов, сосудисётой терапии с хорощей адаптацией и контролем стояния отломков на вытяжении (очень важно!).
Остеосинтез: не очень хорошо виден весь прокисмальный отломок - чем больше пенек ниже большого и малого вертелов - тем более эффективней будет интрамедуллярный остеосинтез например Y-Nail, но угол надо подобрать больше 135 гр для коррекции длины, больше угол - длиньше нога, примерно 10 гр = 1 см. Если проксимальный отломок заканчивается сразу за малым вертелом или латеральнее выше, то следует примерить пластину типа LISS or LSPDF, но лучше та, где отверстия не совмещенные, а одинарные. На операции дистальный отломок отводите под нужным углом 150 гр, к примеру, вводлите 5 винтов в проксимальный отдел = вертела и шейка, затем с торцевой компрессией фиксируете 8-и т.д. винтами диафиз к пластине. После приведения ноги - длина должна быть одинакова, сустав по-моему вполне жизнеспособен. Теперь остается тлько защититься от вторичного нагноения: был ранее в Росии Touralin - сильно помогал, ну а теперь - антибиотики - местно и в огранизм, стабильный остеосинтез, достатоточная гемоперфузия отломков. Пластического материала для осётеогенеза мне кажется там хватит, его можно измельчить и смешеть с анибиотиками - депо и того и другого. и Как говаривал Н.И. Пирогов:"операцию мы сделали, а теперь Бог вылечит!".
NB. Глубокоуважаемые коллеги вышеизложенное - это не предложение типа Free Fantasy - это практически описание проведенного нами лечения, одного из нескольких случаев с положительным исходом в похожей ситуации. Успехов. ЛАФ.
|
[
Ответить ]
|
Re: Последствия чрезвертельного перелома бедренной
Pavel Ivanov 19 Март 2008, 13:24
|
Дорогие коллеги, здравствуйте.
Свежая информация о нашем пациенте.
Мы выполнили дополнительную тракцию в аппарате на 3 см и планируем провести дополнительные стержни через проксимальную часть дистального отломка, что бы выполнить окончательную репозицию. Однако,
больной крайне тяжело переносит наличие аппарата. Если после операции он при помощи инструктора ЛФК стоял у кровати, то сейчас категорически отказывается это делать из-за боли в области стержней. Пациент психологически подавлен, пассивен, вял. В области стержней, проведенных через крылья подвздошных костей имеется выраженное воспаление мягких тканей.
Вчера у него повысилась температура тела до 39,0 гр. Сегодня в перевязочной мы чуть развели ткани в дне раны, которая располагается кзади на боковой поверхности. Получили 200 мл сливкообразного гноя без запаха. Раневой канал заканчивается на проксимальной части диафиза. Сегодня обсуждали его с руководителем отделения профессором В.А. Соколовым. Пришли к выводу, что если воспаление будет сохраняться, то в пятницу возьмем его на ревизию и санацию. Дело осложняется еще и тем, что у больного нет выписных эпикризов с предыдущих этапов лечения (а у него, как я сообщал, было нагноение в области перелома, на передней пов-ти тазобедренного сустава имеется послеоперационный рубец длиной 12 см). Может там что либо осталось (салфетка и т.п.).
Уважаемый Рашид Муртузалиевич, очень лестно получить ваши рекомендации. Правда, лично мне более симпатичен вариант с остеосинтезем. Но мне кажется, его надо попытаться выполнить закрыто. Так как любой разрез в этой ситуации - это прямой путь к осложнениям (что у нас произошло). Кроме того, это не исключает эндопротезирования в последующем. Очень бы хотелось услышать от Вас о деталях установки спейсеров. Отдаю себе отчет, что для выполнения эндопротезирования в этой ситуации нужны очень опытные руки и большой опыт. Наверное именно этот момент способствует тому, что я пока склонялся к выполнению остеосинтеза.
Дорогие Александр Николаевич и Алексей Владимирович, вы конечно же правы. Если планировать остеосинтез, то надо сделать более точную репозицию. Планируем этим заняться в ближайшие дни. Алексей Владимирович, движения в тазобедренном суставе были в пределах 10-20 гр. Завтра попрошу у врачей из КТ сделать 3D реконструкции.
Уважаемые Андрей Анатольевич и Александр Александрович, к сожалению мы не считаем возможным продолжить лечение аппаратом. Сколько понадобиться держать аппарат для сращения перелома? 3-5 месяцев? Мы этот вариант не можем рассматривать как возможный. Этот больной этого наверняка не перенесет.
Уважаемый Давид Асратян, в настоящее время выполнить качественную некрэктомию считаем нецелесообразным. Эта операция очень травматичная, что может еще больше усугубить воспаление.
Уважаемый Анатолий Федорович, спасибо за Ваши рекомендации. Если воспаление будет сохраняться, то мы воспользуемся Вашим советом - демонтируем аппарат и перейдем к скелетному вытяжению. Однако, не потеряем ли мы длину конечности?
Большое спасибо. Надеюсь на продолжение дискуссии.
Извините за краткость. Время 0 ч 41 мин. Клюю носом. Завтра дежурить.
--
Best regards,
Pavel Ivanov
Sklifosovsky Clinical and Research Institute for Emergency Medicine
Polytrauma Department
|
[
Ответить ]
|
Re: Последствия чрезвертельного перелома бедренной
Отправитель: Евгений Халиман 19 Март 2008, 22:02
|
"провести дополнительные стержни через проксимальную часть дистального отломка" - однозначно, заодно такая стабилизация поможет вам бороться со свищом. Не понимаю, почему не рассматривается вопрос о проведении в проксимальный отломок пары стержней, как без этого добиться приемлемого положения проксимального отломка и даже попытаться повоздействовать на ШДУ - а почему нет?
"В области стержней, проведенных через крылья подвздошных костей имеется выраженное воспаление мягких тканей" - стоит их по очереди освободить и проверить стабильность, если болтаются в кости - пока не перепроведёте, так и будет воспаление у стержней.
"демонтируем аппарат и перейдем к скелетному вытяжению" - Вы серьёзно? и потерять всё что есть? плюс проблемы при перевязке свища, который "располагается кзади на боковой поверхности"? Не демонтировать надо в такой ситуации, а чрескостные элементы перепроводить. Нестабильность - одна из основных причин воспаления у спиц и стержней.
То что описано, я не могу назвать иначе, как хронический травматический остеомиелит, да ещё и в стадии обострения. И тогда какие-либо железки внутрь ставить, ну как-то не по канонам это.
Так что, IMHO, продолжать упорно последовательно лечить чрескостным методом, тем более что результаты есть, а все возможности его вы ещё далеко не исчерпали. После восстановления длины конечности я бы на вашем месте всерьез рассмотрел вопрос о стабилизации перелома полностью аппаратом с освобождением таза, я выше написал о том что куда, если, конечно, будут держаться стержни в остатках проксимального метаэпифиза. Апарат вообще можно тогда сделать чисто стержневой с односторонней внешней рамой из секторов и полуколец, это гораздо компактнее будет. А переносимость такого аппарата будет куда как лучше.
|
[
Ответить ]
|
|
Re: Последствия чрезвертельного перелома бедренной кости
Асратян Давид 19 Март 2008, 21:37
|
Здравствуйте Павел!
Не знаю как Вам, но мен кажется, что само течение процесса подсказывает логический ответ на Ваш случай. И тут я остаюсь при своем мнении. Если пациент не выносит аппарат, то как же он вынесет вытяжение?(я глубоко сомневаюсь) Его максимально быстрая активизация, выход из ситуации. Если нет возможности добиться этого в аппарате, то только спейсер и ничего другого. Если его состояние не очень позволяет, то тем более по жизненным показаниям надо его брать и выполнять некрэктомию и устанавливать спейсер. Вероятность развития сепсиса при несанированном источнике очень большая, и как бы не пропустить этот момент.
Позвольте встречные вопросы: 1.Проводилась ли проверка иммунного статуса и соответствующая коррекция при подборе антибактериальной терапии?
2.Учитывая такое течение процесса( я рассматриваю конкретного больного, а не в целом проблему лечения подобных случаев), неужели сохраняется желание выполнения закрытого остеосинтеза, даже если использовать антибактериальное покрытие? Мне кажется это совсем не логично.
Позвольте не согласиться с высказыванием:
"Эта операция очень травматичная, что может еще больше усугубить воспаление."
Воспаление чего, если Вы максимально санируете источник, и устанавливаете туда спейсер с антибиотиком? И конечно же потом дренируете полноценно рану проточно-промывной системой?
В сложившейся ситуации потеря длины конечности на пару см не имеет никакого значения. В конце концов при удачном исходе можно потом удлинить за счет глени, если в этом будет чрезвычайная необходимость.
Еще раз мое видение решения проблемы:
Удаление одномоментное всего железа(демонтаж аппарата), некрэктомия, удаление оставшегося фрагмента проксимального отдела бедра, установка или готового артикулирующего спейсера или же самостоятельно изготовленного(не принципиально), дренирование. Активизация на 2-3 сутки на ноги, пусть ходит даже с наличием промывной системы. Соответственная антибактериальная терапия + плазмоферез, иммунокоррекция. Не бойтесь ситуации вывиха спейсера, установите его в положении номро- или ретроверсии. Даже если вывихнет и не сможете вправить, спейсер выполнит свою главную функцию. К сожалению в стране нет Туралина.( хотя есть некоторые запасливые товарищи им пользуются успешно). Тогда коллапан гель с антибиотиком как при ревизии, так и при протезировании.
С уважением Асратян Давид.
|
[
Ответить ]
|
Re: Последствия чрезвертельного перелома бедренной
Pavel Ivanov 23 Март 2008, 09:54
|
Уважаемые Давид Асратян и Евгений Халиман, здравствуйте.
Постараюсь ответить на ваши письма.
АД> подсказывает логический ответ на Ваш случай. И тут я остаюсь при
АД> своем мнении. Если пациент не выносит аппарат, то как же он вынесет
АД> вытяжение?(я глубоко сомневаюсь)
Я вижу большую разницу между аппаратом и скелетным вытяжением.
АД> Позвольте встречные вопросы: 1.Проводилась ли проверка иммунного
АД> статуса и соответствующая коррекция при подборе антибактериальной терапии?
Нет, не проводилась. (Давид, я себя чувствую, как будто я на разборе у главного врача).
АД> 2.Учитывая такое течение процесса( я рассматриваю конкретного
АД> больного, а не в целом проблему лечения подобных случаев), неужели
АД> сохраняется желание выполнения закрытого остеосинтеза, даже если
АД> использовать антибактериальное покрытие? Мне кажется это совсем не
АД> логично.
Да, Давид, такое желание у меня сохраняется. Отдаю себе отчет, что Вы можете не увидеть в этом логики.
Давид, процитирую Ваши слова "Если нет возможности добиться этого в аппарате, то только спейсер и ничего другого". Осторожно замечу, что спейсер и штифт с антибактериальным покрытием из костного цемента и ванкомицина отличаются между собой только формой и размерами.
АД> Позвольте не согласиться с высказыванием:
АД> "Эта операция очень травматичная, что может еще больше усугубить воспаление."
АД> Воспаление чего, если Вы максимально санируете источник, и
АД> устанавливаете туда спейсер с антибиотиком? И конечно же потом
АД> дренируете полноценно рану проточно-промывной системой?
Про некрэктомию. Не уверен, что нам ее удастся выполнить, так как некротизированных тканей при ревизии мы можем не найти. А такое часто бывает, особенно при нагноениях на таких крупных сегментах как бедро.Да там и нет особых причин для некроза тканей. Для воспаления есть, а для некроза нет. Дай бог найти все карманы и гнойные затеки, и их хорошо санировать.
Хочу добавить, что я уже давно с недоверием отношусь к методу проточно-промывного дренирования, ввиду его ненадежности и малой эффективности. Полноценно дренировать рану таким образом не получается, так как обычно происходит промывание только просвета дренажной трубки.
Мне вчера позвонил Джолдас Кулджанов, и предложил другой, как мне кажется, оптимальный способ послеоперационного ведения раны. Он планирует об этом рассказать в своем сообщении на форуме.
АД> Еще раз мое видение решения проблемы:
АД> Удаление одномоментное всего железа(демонтаж аппарата), некрэктомия,
АД> удаление оставшегося фрагмента проксимального отдела бедра, установка
АД> или готового артикулирующего спейсера или же самостоятельно
АД> изготовленного(не принципиально), дренирование. Активизация на 2-3
АД> сутки на ноги, пусть ходит даже с наличием промывной системы.
АД> Соответственная антибактериальная терапия + плазмоферез,
АД> иммунокоррекция. Не бойтесь ситуации вывиха спейсера, установите его
АД> в положении номро- или ретроверсии. Даже если вывихнет и не сможете
АД> вправить, спейсер выполнит свою главную функцию. К сожалению в стране
АД> нет Туралина.( хотя есть некоторые запасливые товарищи им пользуются
АД> успешно). Тогда коллапан гель с антибиотиком как при ревизии, так и
АД> при протезировании.
Давид, Ваша уверенность, даже некоторая категоричность в советах свидетельствуют о большом опыте, накопленном Вами в лечении таких пациентов. Хочу обратиться в Вам с просьбой, благо Вы работаете в Москве. В понедельник мы будем оперировать нашего пациента (ревизия, дренирование). Мы бы были признательны, если бы Вы приехали к нам в институт и помогли как на операции, так и советами по дальнейшему лечению, показали бы результаты лечения своих пациентов со схожей патологией. Уверен, Вам будет интересно. Приезжайте. Мой моб. телефон 589-61-50.
Спасибо за участие в обсуждении.
_________________
Евгений, you wrote
ЕХ> вам бороться со свищом. Не понимаю, почему не рассматривается вопрос
ЕХ> о проведении в проксимальный отломок пары стержней, как без этого
ЕХ> добиться приемлемого положения проксимального отломка и даже
ЕХ> попытаться повоздействовать на ШДУ - а почему нет?
Не уверен что проводить стержни через шейку и головку бедренной кости целесообразно при их остеопорозе и минимальной подвижности в вертлужной впадине. При размонтировании тазового компонента вся конечность ниже перелома плюс вес всего аппарата будут выламывать эти два стержня из головки. Это может привести к прорезыванию кости, воспалению в данной области и невозможности проведения элементов внутреннего фиксатора в последующем.
ЕХ> "демонтируем аппарат и перейдем к скелетному вытяжению" - Вы
ЕХ> серьёзно? и потерять всё что есть? плюс проблемы при перевязке свища,
Да Евгений, все что я здесь писал, все это очень серьезно.
ЕХ> То что описано, я не могу назвать иначе, как хронический
ЕХ> травматический остеомиелит, да ещё и в стадии обострения. И тогда
ЕХ> какие-либо железки внутрь ставить, ну как-то не по канонам это.
Евгений, а какие каноны Вы имеете в виду?
Мне приходится иногда слышать укоры о нелогичности и нарушении канонов. Иногда эта нелогичность оправдана, вернее, логичность не сразу видна (например, как в этом случае http://weborto.net/forum/1170705165/, http://weborto.net/forum/1173553022/, http://weborto.net/forum/1177351385/).
ЕХ> далеко не исчерпали. После восстановления длины конечности я бы на
ЕХ> вашем месте всерьез рассмотрел вопрос о стабилизации перелома
ЕХ> полностью аппаратом с освобождением таза, я выше написал о том что
ЕХ> куда, если, конечно, будут держаться стержни в остатках
ЕХ> проксимального метаэпифиза. Аппарат вообще можно тогда сделать чисто
ЕХ> стержневой с односторонней внешней рамой из секторов и полуколец, это
ЕХ> гораздо компактнее будет. А переносимость такого аппарата будет куда
ЕХ> как лучше.
Евгений, было бы крайне интересно и полезно посмотреть рентгеновские снимки и фотографии Ваших пациентов, иллюстрирующие Ваши утверждения.
Спасибо за Вашу помощь.
Best regards,
Pavel Ivanov
Sklifosovsky Clinical and Research Institute for Emergency Medicine
Polytrauma Department
|
[
Ответить ]
|
Re: Последствия чрезвертельного перелома бедренной
Отправитель: Евгений Халиман 23 Март 2008, 22:04
|

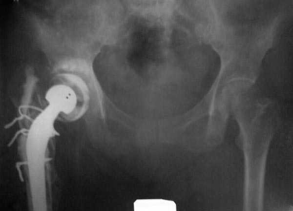
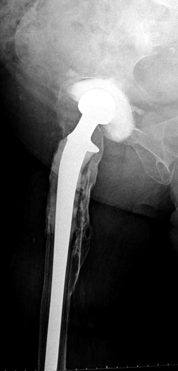
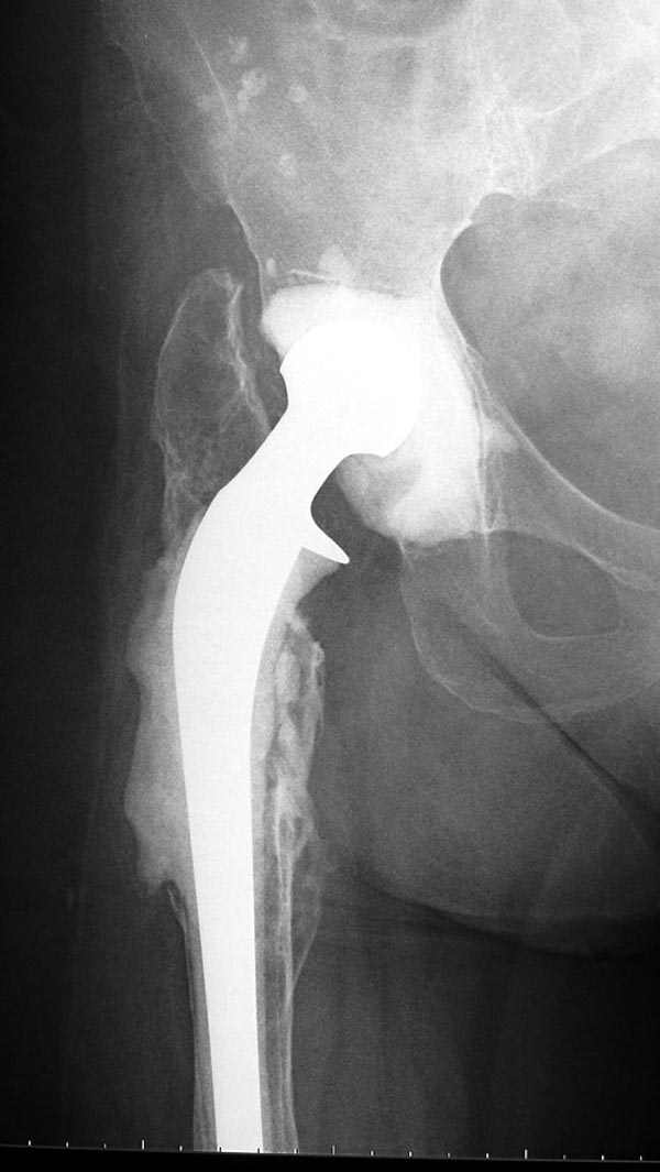
Вот снимки по свежей ситуации, парень 19 лет, длинный оскольчатый перелом бедра от шейки до в-с/3. давно уже ходит на своих ногах.
Делалось не мной (ассистировал), я на тазах "пока ещё не волшебник, а только учусь"
|
[
Ответить ]
|
Re: Последствия чрезвертельного перелома бедренной
Отправитель: Pavel Ivanov 24 Март 2008, 19:20
|
Dear Евгений.
Представленные Вами рентгенограммы действительно являются примером качественной фиксации спице-стержневым аппаратом. Они, как ни что другое, многое иллюстрируют.
Кроме того, было бы ошибкой ставить знак равенства между нашим и Вашим пациентами. Они не только не похожи, разница между ними просто огромная. Говорю это не для того, чтобы задеть Вас или обидеть. Ни в коем случае. Просто теперь я понимаю, что Ваше мнением строится на простом преломлении Ваших подходов к лечению пациентов со свежими переломами, на ситуацию, абсолютно несопоставимую, подобную нашей.
Всего доброго.
Pavel Ivanov
Sklifosovsky Clinical and Research Institute for Emergency Medicine
Polytrauma Department
|
[
Ответить ]
|
Re: Последствия чрезвертельного перелома бедренной
Отправитель: Евгений Халиман 25 Март 2008, 19:11
|
Павел, какие обиды, мы ж истину тут рожаем :)
Готов поспорить, не так уж огромна разница. Я вполне понимаю, что фиксация свежего отломка у 19-летнего парня и чего там осталось от головки-шейки-вертелов у вашего немолодого пациента - это не одно и то же. Но я продолжаю настаивать на том, что вы далеко не исчерпали возможности данного метода. А то, что вся ситуация происходит на фоне гнойной раны чуть ли не в самом очаге - вообще для меня делает непонятой дискуссию о выборе метода, метод выбора уже применяется, и даже успешно.
Если вернуться обратно к разнице - и там, и там главное что нужно пациенту после репозиции - качественная стабильная фиксация. Раз есть гной - значит, внеочаговая (так уж ортодоксально я обучен), и даже если существуют крутые технологии по погружному остеосинтезу на фоне гнойных проблем - тем не менее, зачем идти заведомо более сложным и затратным путём? Кроме того, зачем придумывать спейсер, когда вон какая мозоль и оссификаты, там есть чему срастись и так.
Компоновку данного аппарата, в котором дистальный отломок фиксирован лишь на дистальном уровне, а проксимальный вообще сам по себе никак, только через бывший сустав, назвать стабильной никак нельзя. Нет стабильности - нет нормального заживления, но есть осложнения, надеюсь, это-то можно экстраполировать на вашего больного?
ну и маленькая поправочка, в нашем аппарате нет спиц.
Вообще, конечно, нельзя забывать о том, что лучший метод - тот, которым лучше владеет хирург ;)
|
[
Ответить ]
|
Re: Последствия чрезвертельного перелома бедренной
Отправитель: Евгений Халиман 23 Март 2008, 22:14
|
Кстати, если тазобедренный сустав безнадежно потерян, то можно по выведении длины и оси зафиксировать в аппарате дистальный отломок и только левую половину таза, освободив правую.
Опять же, раз сустав потерян, то открывается свобода ввести дополнительно стержень в тазовой подсистеме хоть через шейку-головку-вертлужку. Либо всё-таки над суставом. А ввести его надо, весьма заметно добавляет стабильности. Так делаем не только мы, видел снимки в Кургане.
|
[
Ответить ]
|
Re: Последствия чрезвертельного перелома бедренной
Отправитель: керимов артур 25 Март 2008, 01:51
|
"зафиксировать в аппарате дистальный отломок и только левую половину таза, освободив правую"--
-это верный шаг к потере стабильности системы таз-бедро, т.к. по законам биомеханики чем длинее рычаг, тем выше стабильность.
Дополнительная фисация таза стержнем в надвертлуж. области действительно помогает, но тут необходимо определиться с распространенностью воспалительного процесса и тактикой дальнейшего лечения (будет пациент в дальнейшем лечиться в АВФ?).
Извиняюсь за некоторую сумбурность мыслей.
С уважением Керимов Артур
ГВКГ им.Н.Н.Бурденко
|
[
Ответить ]
|
|
Re: Последствия чрезвертельного перелома бедренной
Djoldas Kuldjanov 25 Март 2008, 23:38
|
Из предложенных вариантов быстрейший результат можно ожидать после поэтапного эндопротезирования.
"Антибиотико-цементные" спейсеры после купирования
инфекции уже после первого этапа позволяют больным
передвигаться самостоятельно, иногда нагружая конечность годами.
Как-то показывал случай после осложненного тотального эндопротеза, сперва из-за отсутствия экономических возможности, а затем привыкшая к своей участи вот уже более 8 лет ходит на временном "протезе-спейсере".

Полость вертлужной впадины и проксимальное бедро были заполнены custom made временным протезом из цемента.
Для бедренного компонента можно применить старую
длинную ножку протеза и желательно малого диаметра.
Цементная смесь наносится вручную на металл и
затем доводится до ровного диаметра поверхности
снятием лишнего цемента шаблоном. Такие шаблоны были в старом интрамедуллярном наборе, различные по диаметру отверстия на металлической пластине. Протез с цементом проводится через отверстие в шаблоне для точного совпадения с размером проксимального римера. Таким образом приготовленный феморальный компонент будет
держаться в бедренной кости плотно.
В зависимости от процесса дозу антибиотика можно
увеличить в два раза: Tobramycin 2.4 gm Vancomycin 2 mln. На такое количества порошка для получения
нормальной полимеризации цемента необходимо добавить дополнительную цементную жидкость.
В вертлужную полость устанавливается цемент и головкой протеза выдавливается выемка, т.е. создается место для головки. В проксимальное бедро устанавливается заранее подготовленный цементный бедренный компонент.
Через пару месяцев после улучшения мягкотканой
кондиции можно приступить к окончательному протезу.
Но, учитывая молодой возраст и отсутствие
аваскулярного некроза головки, я бы все таки
позаботился бы восстановить собственную головку.
Конечно для восстановления понадобится больше времени и больной должен быть готов на возможные неудачи.
Такие сложные случае должны пройти адекватное
официальное "консультирование" больного.
Для этого сперва проводим в условиях операционной
формальную Irrigation&Debridment с заполнением полости спейсером из антибиотиков, рана не закрывается первично, а вакуумируется губкой из по системе KCI на поверхности раны создающий 50-200 mmHg негативного давления с интенсивностью 10-50 mmHg/second.
Положительных моментов от вакуума много, кроме
улучшения местного кровообращения, уменьшение
поверхности раны, предупреждение вторичного
инфецирования, и ещё одно из самых главных
экономических преимуществ, нет надобности в ежедневных перевязках, и гигиенически приятно когда рана закрыта и нет грязной промокающей повязки, что облегчает жизнь обслуживающего персонала.
Критерием закрытия раны является только "отрицательная"! культура посева из раны на
анаэробную и аэробную флору. То есть I&D может
повториться несколько раз до чистой флоры. Также
ирригацию предлагаем проводить Simpulse Pulsed Lavage System не менее 5 литров стерильной жидкости под давлением. Количество промываемой жидкости зависит от загрязненности раны.

Сегодня в операционной провел малый эксперимент,
различные губки (sponge) найденные в операционной
(фото) на ровной поверхности были прикрыты обычной
стерильной пленкой Iobane, присоеденена к ней трубка из внутривенной системы и обычный отсос от
анестеологической машины. Самодельный вакуум работал как нормальный.
В дальнейшем заменил бы наружный фиксатор из частей аппарата Илизарова на более стабильный - стержневой фиксатор таз-бедро. В тазу можно применить полукольцо стержнями за крыло таза и дистально 2-3 стержня между передней и боковыми головками четерехглавой мышцы. Дельтовидная рама сверху вниз усилит конструкцию.
Можно на аппарате или на вытяжении немного дотянуть для создания запаса длины.
Следующий этап восстановление применением Blade Plate. Универсальный имплант и сегодня является уникальным по механическим характеристикам для восстановления проксимального отдела бедра где имеется сложная биомеханика.
Имеющиеся 130 градусные для вальгуса пластины от
Synthes короткие всего на две дырки, выход, обычная длинная 95 градусная Blade Plate разгибается до 105-110 градусов. Металл трудно поддается деформации, и его не согнуть между тепловой батереей в операционной, надо подготовить заранее после предварительного нагрева в механической мастерской.
Проведя клинок горизонтально в шейку, и соединив с
диафизом бедра создаем небольшой вальгус, тем самым увеличиваем длину конечности. Образовавшийся дефект кости надо заполнить блоком цемента, который предупреждает инфицирования и дает устойчивость конструкции. После затихания процесса можно приступить ко вторичному заполнению аутокостью или можно применить костную массу из того же местного костного регенерата.
Обещанный Synthesом локинг вариант пластины еще до нас не дошел, но блокирующая на пластине шайба поможет созданию локинг концепт.
Djoldas Kuldjanov, MD
Department of Orthopedic Surgery
St. Louis University Medical Center
|
[
Ответить ]
|
Re: Последствия чрезвертельного перелома бедренной
Rashid M. Tikhilov 31 Март 2008, 01:22
|
Павел, добрый вечер,
Пока я был в коротком отпуске, Джолдас очень подробно и обстоятельно (впрочем, как всегда) описал технику установки артикулирующего спейсера.
Если есть желание, приглашаю приехать в ин-т, покажем как это делается живьем, к сожалению, это не редкая операция....
С ув.Р.Тихилов
|
[
Ответить ]
|
( Ответить )
|
|