AOTRAUMA.ORG Центр Илизарова  

Ортопедия и травматология Общие вопросы/General questions Help Информационные технологии в медицине
 вверх
 отправить
 поиск
 админ
 главная


Перелом проксимального конца бедренной кости со смещенмем малого вертела
Ортопедия и травматология Отправлено Pavel Ivanov 21 Январь 2008, 03:43
Уважаемые коллеги, здравствуйте. Позвольте поделиться информацией об одной нашей пациентке и спросить совета.
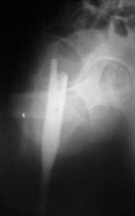
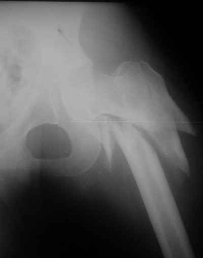
Девушка 21 года 02.10.07 г. пострадала в результате падения с высоты 4-го этажа при пожаре в одном из студенческих общежитий г. Москвы. Получила тяжелую сочетанную травму, в том числе закрытый оскольчатый чрез- и подвертельный перелом левой бедренной кости. Лечилась в одной из больниц столицы. Бедро было фиксировано при помощи скелетного вытяжения. Через полтора месяца после травмы переведена в институт им. Склифосовского. У больной имелись: поддиафрагмальный абсцесс, трахеопищеводный свищ, трахеостома, гастростома, несостоятельность швов раны передней брюшной стенки, укорочение левого бедра на 10 см (рентгенограммы при поступлении - рис 1.). В середине декабря был наложен спицестержневой аппарат, с помощью которого к сегодняшнему удалось устранить укорочение бедра (рис. 2). В течение последних 4-х дней устраняем смещение дистального отломка бедренной кости по ширине. Раны на передней брюшной стенке почти зажили. Температура тела и лабораторные показатели нормальные. Планируем выполнить закрытый остеосинтез левой бедренной кости удлиненным проксимальным бедренным штифтом производства фирмы "Остеомед". Нас смущает, что малый вертел бедренной кости остается значительно смещенным проксимально и кнутри.

Как вы думаете, насколько это повлияет на функцию конечности в последующем? И еще, интересно, кто-нибудь из участников форума в подобных ситуациях делал ли открытую репозицию и фиксацию малого вертела?

Заранее спасибо за участие в дискуссии.

Best regards,
Павел Иванов
Александр Неведров
Sklifosovsky Clinical and Research Institute for Emergency Medicine
Polytrauma Department
3, Bolshaya Sukharevskay sq. Moscow,
129090 Russia

<  |  >

 

  • Сообщения о Ортопедия и травматология
  • Также Pavel Ivanov
  • Связаться с автором
  • Ответить

    Re: Перелом проксимального конца бедренной кости с
    Alexander Chelnokov 21 Январь 2008, 04:00
    Мы в таких случаях делаем все закрыто, малый вертел остается, где есть. На функцию это заметно не влияет. Однако и без погони за малым вертелом при таких переломах штифтование в застарелых случаях может быть непростым. Надо избежать варусного положения фрагментов, для этого лучше в аппарате вальгизировать отломки, и создать запас по длине с перерастяжением. На момент остеосинтеза надо бы ногу привести, не потеряв заданный вальгус. Желательно фиксировать сразу с правильной длиной, чтобы не торопиться с динамизацией.

    [ Ответить ]

    Re: Перелом проксимального конца бедренной кости со смещенмем малого вертела
    сергей адонин 22 Январь 2008, 07:04
    если "остеосинтез левой бедренной кости удлиненным проксимальным бедренным штифтом производства фирмы "Остеомед" - это что-то по типу gamma-nail - полностью согласен. За малым ветрелом однозначно гоняться не надо при любом методе фиксации.


    [ Ответить ]

    Re: Перелом проксимального конца бедренной кости с
    Pavel Ivanov 23 Январь 2008, 00:57
    Уважаемые Александр Николаевич и Сергей Адонин, спасибо за ваши рекомендации. Они развеяли наши сомнения. Готовимся к операции.

    са> если "остеосинтез левой бедренной кости удлиненным проксимальным
    са> бедренным штифтом производства фирмы "Остеомед" - это что-то по типу
    са> gamma-nail - полностью согласен.

    Штифт, который мы планируем использовать, представлен на сайте производителя (http://www.osteomed.ru/index.php?module=article&cid=79)

    Best regards,

    Pavel Ivanov
    Sklifosovsky Clinical and Research Institute for Emergency Medicine
    Polytrauma Department
    [ Ответить ]

    Re: Перелом проксимального конца бедренной кости с
    Djoldas Kuldjanov 23 Январь 2008, 14:36
    Павел привет.

    Если решили интрамедуллярным гвоздем, тогда во время или до операции надо убедиться в отсутствии
    перелома латерального кортекса в проксимальной части бедра.

    Такие бывшие нестабильные переломы из-за отсутствия медиальной стенки (малый вертел) имеют
    тенденцию уходит в варус.

    Слабый или срастающийся латеральный кортекс
    иногда не выдерживают стресс и проксимальные шурупы могут прорезаться в корональном направлении из-за варуса.

    Для предупреждения таких явлений необходимо провести превентивный шуруп-стопор в передне-заднем направлении латеральнее гвоздя.

    Вальгус в 4 градуса создаст благоприятные условия для сращения.

    И острые свёрла для рассверливания проксимального
    канала.

    Успехов и до встречи.
    [ Ответить ]

    Re: Перелом проксимального конца бедренной кости со смещенмем малого вертела
    Керимов А. 25 Январь 2008, 02:41
    Паша большой привет из центра травматологии и ортопедии ГВКГ им. Н.Н. Бурденко.
    Очень понравилось:
    "Если решили интрамедуллярным гвоздем, тогда во время или до операции надо убедиться в отсутствии
    перелома латерального кортекса в проксимальной части бедра."
    Ну а почему бы в данном случае не попробавть DHS LSP пластину от "Синтеза". Как раз для таких случаев.
    С уважением
    Артур Керимов
    [ Ответить ]

    Re: Перелом проксимального конца бедренной кости с
    Pavel Ivanov 17 Февраль 2008, 00:48
    Уважаемы коллеги, здравствуйте.

    Дорогие Джолдас Кулджанов и Артур Керимов, спасибо вам за помощь. Извините, что отвечаю с задержкой. Артур, пожалуйста, передай привет и низкий поклон всем врачам-травматологам госпиталя имени Н.Н. Бурденко.



















    Мы закончили репозицию отломков бедренной кости в аппарате (рис. 1, 2) у нашей пациентки и на прошлой неделе сделали ей вторую операцию. Штифт удалось ввести закрыто. Верхний шеечный винт держался очень плохо, поэтому мы его убрали и решили не ставить. Нижний держал очень плотно. Рентгенограммы после операции прилагаю (рис. 3,4). Пока не получилось сделать нормальный аксиальный снимок (больная с трудом сгибает и отводит ногу в тазобедренном суставе). Пока сделали боковую проекцию в положении на здоровом боку со сгибанием здоровой ноги.

    От нас и от нашей пациентки всем спасибо за участие в обсуждении.


    -- Best regards, Pavel Ivanov Sklifosovsky Clinical and Research Institute for Emergency Medicine Polytrauma Department
    [ Ответить ]


    ( Ответить )

    Powered by Zope  Squishdot Powered MedLink
    Посетитель: 0010487
      "По форме правильно, а по существу - издевательство" В.И.Ленин
    ©2001-2019Orthoforum Coordinator.
    [ Главная | Отправить сообщение | Поиск | Админ ]