вверх
отправить
поиск
админ
главная
|
Эндопротезирование колена |
 |
 |
 |
Отправлено Alexander Rykov 13 Январь 2008, 21:09
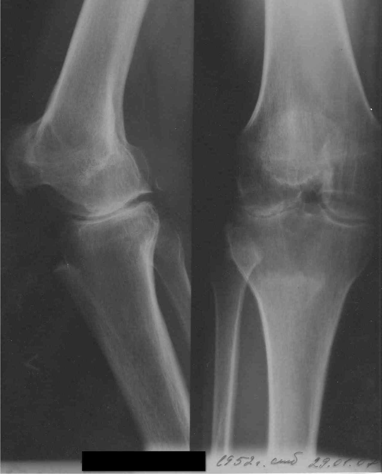
Коллеги, занимающиеся TKR, прошу совет. Обратилась пациентка 55 лет без сопутствующих проблем со здоровьем для установки коленного сустава по линии ФСС (показания установлены комиссией год назад). В программе эндопротез Зиммер LPS Legacy. После осмотра пациентки возникли сомнения в целесообразности артропластики. История: в 1998 году после серии кеналогов перенесла септический гнойный гонит с исходом в фиброзный анкилоз коленного сустава в позиции сгибания 40 град и костный анкилоз надколенниково бедренного сустава. В 1999 году в ЦИТО рекомендовано эндопротезирование (в тот период еще были движения). С 2000 года подвижности нет. Соответствующая гипотрофия 4-гл. мышцы бедра, относительное укорочение и т.д.
Вопросы: 1. Целесообразно ли эндопротезирование вообще? 2. Реально ли использование вышеуказанной модели эндопротеза в данной ситуации или следует установить "Хинч"? 3. Чем бы Вы помогли пациентке, если не надо протезировать (коррегирующий артродез приходит на ум)? Социально - инвалид 3 группы, пенсионер по возрасту, не очень богата. Спасибо заранее. Доктор А Рыков. Хабаровск. Снимки в прищепке.
<
|
>
|
|
Ответить
|
Re: Эндопротезирование колена
Rashid Tikhilov 13 Январь 2008, 23:37
|
Уважаемый д-р Рыков А.Г.,
По существу заданных вопосов:
Эндопротезирование целесообразно;
NexGen LPS это как раз та модель, которая здесь нужна. Если по каким-либо причинам нет возможности потезирования - то артродез в функционально выгодном положении.
И в дополнение, суставная щель имеет место быть, отсутствие движений связано с анкилозом в бедренно-надколенниковом сочленении, поэтому после
мобилизации надколенника удастся согнуть КС. Я бы предпочел наружный доступ с остеотомией бугристости - очень хорошая визуализация,
возможность мобилизации разгибательного аппарата и при необходимости - его удлинение. Обязательное эндопротезирование надколенника.... Случай
непростой, реальная угроза инфекции, поэтому к/цемент с гентамицином...
С ув.Р.Тихилов
|
[
Ответить ]
|
Re: Эндопротезирование колена
Отправитель: Alexander Rykov 14 Январь 2008, 18:05
|
Спасибо преогромное Рашид Муртузалиевич! Вызывало сомнение больше всего состояние разгибателей голени (все-таки 8 лет без работы). Поступлю согласно совета. Снимки после вмешательства выложу на форум. Всех с очередным Старым-новым годом. У нас он уже наступил. " За бортом -минус 33".
С Ув. Александр Рыков. Хабаровск.
|
[
Ответить ]
|
|
Re: Эндопротезирование колена
Сергей Адонин 15 Январь 2008, 01:17
|
мой опыт в эндопротезировании колена невелик и весьма хаотичен, потому позволю себе вопрос - а чем она будет активно разгибать колено после эндопротезирования, если нет четырехглавой мышцы ( а то, что от нее осталось, должно быть намертво приварено к будернной кости)?
|
[
Ответить ]
|
( Ответить )
|
|