Ответить
|
Re: Луч со смещением
katsevman haim. tel a shomer, hand surgery - israel 12 Декабрь 2007, 20:48
|
v zavicimocti ot vosmoznoctei. perelom viglidit vne sustava - redukzia + 2-3 kirshnera. proverit posle etogo stabilnost distal radio ulnar joint, ecli ne stab fixatia kirshnerom obichno v polusupinacii.
|
[
Ответить ]
|
Re: Луч со смещением
Александр Жужнев 12 Декабрь 2007, 21:53
|
Здравствуйте, Сергей!На мой взгляд стояние неудовлетворительное, надо вывести руку в физиологическое положение, одновременно попытаться подправить,срок позволяет. Думаю, всё встанет на свои места.
Удачи.
|
[
Ответить ]
|
Re: Луч со смещением
Maxim Agalakov 13 Декабрь 2007, 00:23
|
> оставлять нельзя. Что порекомендуете?
ЧКО
С уважением,
Maxim
|
[
Ответить ]
|
Re: Луч со смещением
Отправитель: Sergey A. Melashenko 13 Декабрь 2007, 17:31
|
Ув. Максим, внеочаговый остеосинтез - вещь конечно хорошая, может попробовать для начала репозицию? В таком сроке могут быть трудности, но может и получиться. А ВЧКДО мы всегда успеем сделать.
|
[
Ответить ]
|
Re: Луч со смещением
Отправитель: Maxim Agalakov 13 Декабрь 2007, 23:34
|
а зачем пробовать ручную репозицию с сомнительным результатом (2 нед), какие проблемы в ЧКО? 3-4 спицы и почти гарантированный отличный результат (ничего не нарушаем, эффект дозированной дистракции и т.д.),
|
[
Ответить ]
|
|
Re: Луч со смещением
Victor 13 Декабрь 2007, 00:24
|
ДОБРОГО ДНЯ Sergey,
НА МОЕ МНЕНИЕ ЕСЛИ БОЛЬНОЙ НЕ РАБОТАЕТ ТЯЖЕЛО ФИЗИЧЕСКИ ИЛИ ВОБЩЕ
УЖЕ НЕ РАБОТАЕТ ТО НАДО ПОСМОТРЕТЬ НЕТ ЛИ НЕВРОЛОГИЧЕСКОЙ
СИМПТОМАТИКИ ТО НАВЕРНОЕ МОЖНО ОСТАВИТЬ В ЕТОМ ГИПСЕ ЕЩЕ НА 2
НЕДЕЛИ А ПОТОМ РАЗРАБОТКУ.
БЫВЕТ И ХУЖЕ НО КАК НИ СТРАННО ФУНКЦИЯ КИСТИ ОСТАЕТЬСЯ НЕПЛОХОЙ.
НУ А ЕСЛИ ДОБИВАТЬСЯ ПРЕКРАСНЫХ РЕЗУЛЬТАТОВ ТО КОНЕЧНО НАДО ЛАМАТЬ
КАК ДУМАЮТ КОЛЕГИ.
--
З НАЙКРАЩИМИ ПОБАЖАННЯМИ,
ВІКТОР
|
[
Ответить ]
|
Re: Луч со смещением
Отправитель: Maxim Agalakov 13 Декабрь 2007, 00:27
|
> НУ А ЕСЛИ ДОБИВАТЬСЯ ПРЕКРАСНЫХ РЕЗУЛЬТАТОВ ТО КОНЕЧНО НАДО ЛАМАТЬ
да ничего ломать не надо, дозировнно исправить в аппарате
С уважением,
Maxim
|
[
Ответить ]
|
Re: Луч со смещением
Отправитель: Sergey A. Melashenko 13 Декабрь 2007, 17:33
|
Дозированно исправить - это тракция? По другому исправить в аппарате Илизарова думаю не получиться. Или есть новые способы или аппараты (Страйкер, например)?
|
[
Ответить ]
|
Re: Луч со смещением
Отправитель: Sergey A. Melashenko 13 Декабрь 2007, 17:41
|
Agee Wrist Jack http://www.handbiolab.com/wristjack.html
|
[
Ответить ]
|
Re: Луч со смещением
Отправитель: Sergey A. Melashenko 13 Декабрь 2007, 17:45
|
Да... Интересно. Страйкер менее громоздкие, и "симпатичные" (шутка) А Запорожье еще живет в каменном веке... Хотя, как говорили наши корифеи,
в травматологии лучшая операция та, которую не сделали.
|
[
Ответить ]
|
Re: Луч со смещением
Отправитель: Maxim Agalakov 13 Декабрь 2007, 23:35
|
чем не устраивают старые? почему не получится? в Кургане достаточно наработок и по более сложным проблемам
|
[
Ответить ]
|
Re: Луч со смещением
Отправитель: Ростислав 13 Декабрь 2007, 01:46
|
ВЧКО!!!!!Быстро и надёжно!! Какой гипс?? Уже и так прошло пол срока!!А потом????Бешенная контрактура!Ещё молодой или молодая !!!
|
[
Ответить ]
|
Re: Луч со смещением
Отправитель: Sergey A. Melashenko 13 Декабрь 2007, 17:39
|
> НУ А ЕСЛИ ДОБИВАТЬСЯ ПРЕКРАСНЫХ РЕЗУЛЬТАТОВ ТО КОНЕЧНО НАДО ЛАМАТЬ
> КАК ДУМАЮТ КОЛЕГИ.
Добиваться лучшего нужно всегда, это наш долг.
|
[
Ответить ]
|
|
Re: Луч со смещением
Бехтерев Антон 13 Декабрь 2007, 17:30
|
А что беспокоит самого пациента? Если лечить рентгенограмму, то без ЧКДО не обойтись Прошло уже две недели. При отсутствии отека и неврологических расстройств - выведите кисть из положения гиперфлексии в функциональное в хорошо отмоделированной гипсовой повязке.
|
[
Ответить ]
|
Re: Луч со смещением
Отправитель: Sergey A. Melashenko 13 Декабрь 2007, 17:34
|
Гипс снял, временно одел ортез. Неврологических и других расстройств, отека - нет. Попробую произвести репозицию. Просто вывести кисть в функциональное положение без репозиции, думаю, ничего не даст. Угол
флексии суставной поверхности выше допустимого, и по оси недотянуто.
С ув. Sergey A. Melashenko, melash@rambler.ru г. Запорожье
|
[
Ответить ]
|
|
Re: Луч со смещением
Бехтерев Антон 13 Декабрь 2007, 17:42
|
попробуйте не искать приключений на свою голову. Закрытая ручная репозиция через две недели сопровождается травмированием тканей. и если у вас нет признаков Зудека сейчас, то после репозиции вы легко можете их получить при удовлетпорительном стоянии отломков. Хотите исправить стояние - используйте аппараты внешней фиксации или открытую
репозицию.
|
[
Ответить ]
|
Re: Луч со смещением
Отправитель: Sergey A. Melashenko 13 Декабрь 2007, 17:45
|
Совершенно с Вами согласен, в плане риска нейродистрофического синдрома.
Поэтому и решил проконсультироваться. о все же склоняюсь к закрытой репозиции. Тем более больной ознакомлен и согласен с возможными осложнениями и не настроен на оперативное лечение...
|
[
Ответить ]
|
Re: Луч со смещением
Отправитель: Maxim Agalakov 13 Декабрь 2007, 23:39
|
немного повторюсь, в чем проблема с ЧКО в этом случае, без проблем можно сделать в перевязочной, в том числе под местной анестезией, сравнимо по травматизации со скелетным вытяжением
|
[
Ответить ]
|
|
Re: Луч со смещением
vladimir storogenko 13 Декабрь 2007, 17:49
|
уважаемый Сергей Что Вам и больному важненее, востановленная функция или красивая рентгенограмма? Согласен Бехтеревым Антоном.При отсутствии неврологии никаких ломаний ведение консервативное с последующим полноценым физиофункциоальным лечением.С ув. Старостенко .В.Г
|
[
Ответить ]
|
Re: Луч со смещением
Aleksey Osipov 13 Декабрь 2007, 23:29
|
Уважаемый Сергей, такое стояние отломков неприемлемо. Целесообразна закрытая ручная репозиция под общим обезболиванием. при неудовлетворительном стоянии - операция открытая репозиция из волярного доступа, остеосинтез Т-образной пластиной. Либо если пациент "нормальный" сразу открытая репозиция, остеосинтез (достаточно просто, жесткая фикчация, ранняя функция)
|
[
Ответить ]
|
Re: Луч со смещением
Исмаил Дибиров 13 Декабрь 2007, 23:42
|
Привет!Оставлять нельзя,это понятно. Почему нельзя попробовать вытянуть и зафиксировать в лонгете без гиперкоррекции ни в одну из сторон.Обезболивание или в\венное или проводниковое. Только с хорошей противотягой и расслаблением. Если отек большой:2 полукольца и тянуть по оси. Убьете 2-х зайцев: и результата добьетесь и с "Зудеком легче договориться" без сдавливания гипсом.
|
[
Ответить ]
|
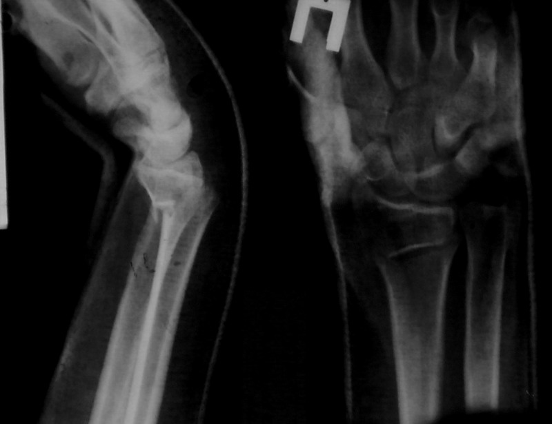
Re: Луч со смещением
Sergey Melashenko 14 Декабрь 2007, 02:02
|

Под проводниковой анестезией произвел аккуратную одномоментную репозицию, фиксацию гипсовой повязкой в положении умеренной экстензии. Думаю неплохо получилось. Мягкие ткани не вызывали опасений в плане Зудека.
Спасибо.
|
[
Ответить ]
|
Re: Луч со смещением
Sergey Melashenko 14 Декабрь 2007, 02:04
|
Под проводниковой анестезией произвел аккуратную одномоментную репозицию, фиксацию гипсовой повязкой в положении умеренной экстензии. Думаю неплохо получилось. Мягкие ткани не вызывали опасений в плане Зудека.
Спасибо.
13.12.2007.jpg
37KB (38539 bytes)
|
[
Ответить ]
|
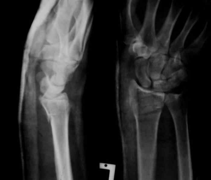
Re: Луч со смещением
Sergey Melashenko 20 Декабрь 2007, 03:03
|
Сегодня контроль - все в порядке. Никакой неврологии нет.
Иногда многие вопросы можно решить грамотной репозицией. И не оперировать так часто, как сейчас.
Не сильно ли мы увлекаемся остеосинтезами... ? Как говорили корифеи, лучашая операция та , которую не сделали.
Спасибо за дискуссию.
С ув. Сергей Мелашенко
|
[
Ответить ]
|
( Ответить )
|