AOTRAUMA.ORG Центр Илизарова  

Ортопедия и травматология Общие вопросы/General questions Help Информационные технологии в медицине
 вверх
 отправить
 поиск
 админ
 главная


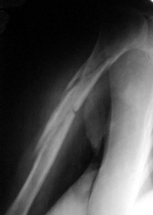
Многооскольчатый перелом плечевой кости в В/3 - ПРОДОЛЖЕНИЕ
Ортопедия и травматология Отправлено Sergey A. Melashenko 05 Декабрь 2007, 00:35 Запорожье, Украина
Продолжение сообщения от 11 сентября 2007 г.
Вот результат консервативного лечения данного перелома. Консолидация достаточная, клинически подвижности нет. Занимаюсь реабилитацией. Думаю функцию плечевого сустава можно будет восстановить на 70-80%

<  |  >

 

  • Сообщения о Ортопедия и травматология
  • Также Sergey A. Melashenko
  • Связаться с автором
  • Файл-вложение
  • Кликните для загрузки файла PC040554.jpg
    26KB (27164 bytes)

  • Ответить

    Re: Многооскольчатый перелом плечевой кости в В/3 - ПРОДОЛЖЕНИЕ
    Александр Жужнев 06 Декабрь 2007, 00:56
    Уважаемый Сергей!Можно только порадоваться за ваш хороший результат.
    А время покажет ваши проценты...
    Удачи
    [ Ответить ]

    Re: Многооскольчатый перелом плечевой кости в В/3 - ПРОДОЛЖЕНИЕ
    Sergey A. Melashenko 06 Декабрь 2007, 09:35
    Ув. Александр Челноков. Почему-то в сообщении от 11 сентября 2007 не все рентгенснимки, не хватает еще двух. Может повторно выслать?

    С ув. Sergey A. Melashenko Запорожье
    [ Ответить ]

    Re: Многооскольчатый перелом плечевой кости в В/3 - ПРОДОЛЖЕНИЕ
    Максименко Владимир 23 Декабрь 2007, 18:31
    Молдец! Так держать!
    [ Ответить ]


    ( Ответить )

    Powered by Zope  Squishdot Powered MedLink
    Посетитель: 0057074
      "По форме правильно, а по существу - издевательство" В.И.Ленин
    ©2001-2019Orthoforum Coordinator.
    [ Главная | Отправить сообщение | Поиск | Админ ]