AOTRAUMA.ORG Центр Илизарова  

Ортопедия и травматология Общие вопросы/General questions Help Информационные технологии в медицине
 ВХОД ДЛЯ ПАЦИЕНТОВ
 вверх
 поиск
 админ
 главная
 исходное


Re: Перелом пилона
послал Djoldas Kuldjanov 01 Ноябрь 2007, 22:04
Яков изложил все необходимые аспекты лечения переломов пилона, и, не желая менять тему, решил выставить нашу точку зрения в двух клинических примерах.

При лечении внутрисуставных переломов типа "Pilon"
или "Tibial Plateau" на голени, применение простых
наружных фиксаторов типа "Spanning ExFix" или "Travelling ExFix" стал одним из стандартом этапного лечения.

В первые часы после поступления больным экстренно накладывается простой фиксатор из двух поперечно проведенных стержней или сооружается "Delta
Frame" в зависимости от места локализации, и проводится дистракция.

Преимуществ у временного фиксатора много, во первых больной независим, если по другим показаниям нет необходимости находиться в стационаре, то больной может быть выписан домой с возможностью в амбулаторных условиях оценивать состояния мягких ткани на готовность к операции.

Наружным фиксатором обеспечивается длина конечности, предупреждается вторичное сокращение мягких ткани, что является немаловажным фактором для заживления послеоперационных ран. Без фиксатора сокращенные мягкие ткани легко травмируется во время манипуляций, трудно будет провести репозицию, ухудшается местное кровообращение и сохраняется посттравматический отек.

Дистрагированные лигаментотаксисом костные фрагменты иногда организуются в нужном направлении и во время операции облегчается репозиция отломков.

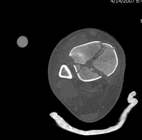
Дополнительные ренгенограммы после дистракции и
обязательная комьютерная томография дают возможности разузнать топографию расположения фрагментов, что немаловажно для планирования хирургического доступа.

По апексу фрагмента ориентируется при планировании
фиксации, также предоперационно определяется
направление фиксирующего материала: шурупа или спицы с упорной площадкой.

Много споров когда оперировать, что лучше, операция срочная или запоздалая-поэтапная?

Еще в 1995 году мы провели исследование, где проводили анализ насыщения кислородом кожи при травмах в нижних отделах конечности.

В результате, в первые 6 часов после травмы насыщение кислородом в ткани оставалось без изменения, но после 6 часов драматически стало падать.
Пик падении в 80% насыщения кислородом сравнительно с другой стороны достигло на шестой день.

Показатель готовности к операции считается когда
“wrinkle probe” на конечности положительная, то есть образования морщинок на коже конечности между двумя пальцами доказывает отсутствия отека, иначе первично невозможно закрыть рану.

Открыто или закрыто - это уже зависит от опыта и
наличия материала. Минимальным аппаратом Илизарова или одним из Contoured Medial или Antero-Lateral Locking Plate из лимитирванного доступа не имеет значения, но самое главное необходимо добиться репозиции сустава.

Первичная пластина или интрамедуллярный фиксатор на малоберцовую зависит от характера перелома, косые и многооскольчатые пластинами, а поперечных можно интрамедуллярными фиксаторами. Восстановленная длина малоберцовой служит ориентиром и помогает определению высоты большеберцовой во время восстановления.

Переломы пилона сопровождаются ударом со сминанием в метафизарной части большеберцовой, то есть со значительной потерей костного объема.
При репозиции суставных поверхностей образуются полости в метафизарных отделах, без заполнения их
структуральными элементами невозможно предохраниться от посттравматической деформации. Латеральная колонна удерживается малоберцовой поэтому голень деформируется в варус.

Аутокость является самым надежным материалом, но при желании можно применить синтетический заполнитель Osteoset Pallets - структуральный материал, по аннотации материал через определенное время интегрируется в кость.



Здесь выставлена пара случаев перелома пилона, оба
случая леченные этапным наружным фиксатором.



Второй случай фиксирован аппаратом Илизарова.

Djoldas Kuldjanov, MD
Department of Orthopedic Surgery
St. Louis University Medical Center
Послать ответ

Имя
Email
Уведомление Сообщить мне по e-mail об ответах на это сообщение
Название
Комментарий
(Проверьте URL! Не забудьте написать http://!)
Кодировка
Если не знаете, что выбрать, выберите "Просто текст"!
Приложение
Можно приложить к сообщению файл c изображением, который затем будет доступен увидевшим сообщение.
Подготовка иллюстраций:
  • Рентгенограммы: черно-белые полутоновые изображения в формате JPEG (8 bit, greyscale) с разрешением от 300х200 до 1024х768 пикселов;
  • Клинические фотографии: полноцветные изображения в формате JPEG (24 bit, truecolor) с разрешением от 300х200 до 1024х768 пикселов;
  • Схемы и рисунки: черно-белые (2 bit) штриховые (line-art) изображения в формате GIF или compressed TIFF
  • Подберите степень сжатия файла JPEG и размер изображения таким образом, чтобы необходимые детали были различимы, но размер файла не превышал 75 кб.
  • Учтите, что текущая версия программного обеспечения Форума позволяет приложить к одному сообщению лишь один файл-вложение. Поэтому, если необходимо отправить несколько изображений, можно либо послать каждое как отдельное сообщение, либо в графическом редакторе объединить изображения в одно (сделать коллаж).
  • Если при подготовке изображений встречаются трудности, не стесняйтесь обратиться к координатору Форума.

  • Введите видимые символы в обратном порядке. Enter the above characters in reverse order (*Обязательно)
    В тексте сообщения можно использовать теги HTML <B> <I> <P> <A> <LI> <OL> <UL> <EM> <BR> <TT> <HR> <STRONG> <BLOCKQUOTE> <DIV .*> <DIV> <P .*>
  • Обратите внимание: Поля с жирными названиями обязательны.
  • Старайтесь отвечать в рамках обсуждаемой темы, а не начинать новые обсуждения.
  • Указывайте адекватную тему сообщения, чтобы было ясно, о чем оно.
  • Не послайте сообщений не по теме (оффтопик), раздраженных, грубых или обидных комментариев. Здесь это неуместно.
  • Powered by Zope  Squishdot Powered MedLink
    Посетитель: 0000003
      "По форме правильно, а по существу - издевательство" В.И.Ленин
    ©2001-2019Orthoforum Coordinator.
    [ Главная | Отправить сообщение | Поиск | Админ ]