ВХОД ДЛЯ ПАЦИЕНТОВ
вверх
поиск
админ
главная
исходное
|
Re: Дистальное бедро и клинковая пластина
послал Alexander Chelnokov 05 Сентябрь 2007, 22:15
|
Dear Юрий и коллеги,
> Хотелось бы узнать какую тактику лечения Вы предпочли? Речь идет о
> пациенте 60-ти лет с переломом дистального отдела бедренной кости,
> фиксированного пластиной?
На операцию пошли, имея в возможных планах практически все прозвучавшие предложения - и про пластину, и про аппаратную коррекцию. Была даже несколько экстравагантная идея закрыто убрать винты из диафизарной части пластины, наложить аппарат, постепенно восстановить ось и длину, после чего вновь ввести винты в пластину, подложив шайбы между пластиной и костью.
А.Семенистый:
> Есть подозрение, что мыщелки отрепонированы между собой неидеально,
> как-будто наружный завален кзади (угол открыт кпереди). Надо удалять все
> железо, репонировать открыто суставные поверхности и...
Это предложение показалось слишком радикальным. Неровно оно совсем чуть, по межмыщелковой борозде, т.е. в ненагружемой зоне, да уже и срослось хотя бы там... И не 18 лет пациенту.
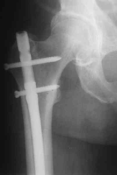
Удалили ластину без проблем. Выявилась значительная подвижность. В этих условиях сразу пропала мотивация к постепенной коррекции аппаратом. Попробовал восстановить длину, введя между отломками spreader. Отчасти удалось. Тогда защили рану, наложили спицевой дистрактор (2 спицы в дистальный отдел и 1 вверху). после этого был убран и спонгиозный винт. И сделали антгерадное штифтование, как говорится, "по принятой в
клинике методике".
С.Максимов:
> При остеосинтезе гвоздем кроме доступа для удаления пластины и
> репозиции необходим дополнительный доступ и дополнительная травма
> сустава (?).
Дополнительные доступы для введения гвоздя и проксимальных винтов понадобились, но они маленькие, по 1 см. Нижние винты ввели прямо между швами. Суставы дополнительно не травмировали, и даже ввели гвоздь не через f. piriformis, а через большой вертел.
Длину восстановили, возможно, даже с изьбытком, ну да динамизируем пораньше. Введенные в овальное отверстие дистальые винты имеют угловую стабильность. Снимки приложены. Заранее спасибо за критику и комментарии.

|
| Послать ответ |
Обратите внимание: Поля с жирными названиями обязательны.
Старайтесь отвечать в рамках обсуждаемой темы, а не начинать новые обсуждения.
Указывайте адекватную тему сообщения, чтобы было ясно, о чем оно.
Не послайте сообщений не по теме (оффтопик), раздраженных, грубых или обидных комментариев. Здесь это неуместно.
|