вверх
отправить
поиск
админ
главная
|
несросшийся перелом шейки бедра |
 |
 |
 |
Отправлено Maxim Agalakov 12 Август 2007, 06:55
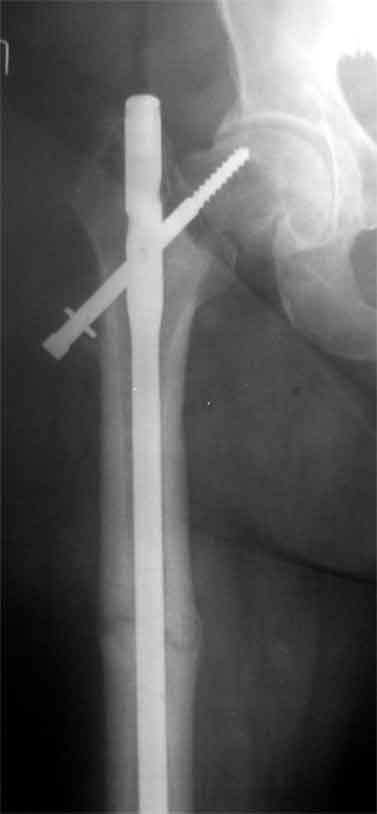
Доброго время суток, коллеги. Обратилась на консультацию пациентка 52 лет. травма и первичный остеосинтез перелома бедра около года назад, далее был обнаружен перелом шейки бедра (возможно ятрогенный), реостеосинтез реконструкционным гвоздем 8 месяцев назад. Конченость не опорна. В больнице, где выполнялись эти вмешательства предложили выполнить THR с длинной ножкой. Возможно ли в такой ситуации добиться сращения шейки при помощи каких-либо остеотомий?
<
|
>
|
|
Ответить
|
Re: несросшийся перелом шейки бедра
Иван 12 Август 2007, 07:03
|
Уважаемый Максим такие переломы, тем более после вмешательств в таком возрасте. повидимому действительно тотальное эндопротезирование будет правильным решеним и если ножки не хватит то использовать и накостный, как при перипратезных переломах. это по всей видимости единственное решение.
с ув. Иван
Симферополь.
|
[
Ответить ]
|
Re: несросшийся перелом шейки бедра
Отправитель: Maxim Agalakov 12 Август 2007, 07:04
|
возраст как раз далеко не преклонный, да и головка выглядит "живой"
С уважением,
Агалаков
|
[
Ответить ]
|
|
Re: несросшийся перелом шейки бедра
Odessky Jacob M.D. 12 Август 2007, 07:05
|
Приветствую всех!
На мой взгляд дистальный перелом срощен, а состояние тазобедренного сустава и молодой возраст пациентки позволяют произвести вальгизирующую остеотомию проксимального бедра. В случае, если нет сращения дистального перелома можно фиксировать длинным DHS; Если есть сращение- обычным DHS.
После вальгизирующей остеотомии необходимо дать хорошую нагрузку
С уважением
|
[
Ответить ]
|
Re: несросшийся перелом шейки бедра
Отправитель: Maxim Agalakov 12 Август 2007, 07:07
|
> На мой взгляд дистальный перелом срощен,
Вряд ли, сохраняется боль при попытке опоры на конечность,да и по Р -нет уверенности
> а состояние тазобедренного
> сустава и молодой возраст пациентки позволяют произвести
> вальгизирующую остеотомию проксимального бедра.
сожалею, но с такими операциями не сталкивлся, хотя сам склоняюсь такому варианту лечения, если не затруднит, не могли бы вы отправить ссылки или приложить статьи по таким операциям
|
[
Ответить ]
|
|
Re: несросшийся перелом шейки бедра
Batal Shushaniya 12 Август 2007, 07:08
|
Здравствуйте.
У меня складывается ощущение, что экспериментировать уже с больной хватит, а провести тотальную артропластику и вернуть опорную функцию повржденной конечности. Аргументы:остеопороз того участка кости, где планируются манипуляция, повышают риск несостоятельности реостеосинтеза, кроме того, осеотомия бедренной кости усложнит выполнение тотальной артропластики в последующем. (В перспективе, если даже вы выполинили удачную вальгизирующую остеотомию бедренной кости,прогрессирование артроза заставит Вас выполнить THR, а измененная геометрия бедренной кости заставит Вас попотеть).
Удачи.
Batal Shushaniya.
ФГУ "3 ЦВКГ имени А. А. Вишневского МО РФ"
|
[
Ответить ]
|
Re: несросшийся перелом шейки бедра
Артак Григорян 12 Август 2007, 07:12
|
Коллкега на представленных снимках имеется ротационная стабильность и плохо репонированный перелом. В данный момент думать об эндопротезтровании или межвертельной остеотомий рано, так как перелом диафиза бера еще полностью не сросся, я думаю, надо на данном этапе попытаться стабилизировать перелом шейки бедра конюлированными винтами, удалить проксимальный винт, попытатся сделать репозицию, хотя маловероятно, что получется добиться улучшения, и стабилизировать 3 конюлированными винтами и дать компресию, таким образом дать шанс, может перелом срастется до удаления штифта. Удачи
Артак Григорян
|
[
Ответить ]
|
Re: несросшийся перелом шейки бедра
Djoldas Kuldjanov 12 Август 2007, 07:15
|
Применение одного импланта для лечения ипсилатеральных переломов резко ограничено из-за риска осложнениий, связанных с применением неадекватной фиксации. По литературным данным, осложнения после применения зарекламированных реконструктивных гвоздей для лечения ипсилатеральных переломов доходили до 56%.
Несостоятельность фиксации шейки не давала возможности срастись перелому, потому что запланированнная динамическая нагрузка в большинстве случаев прекращалалась из-за вторичного варусного смещения шейки.
Сегодня применяемые новые реконструктивные гвозди Intertan и Gamma 3, которые имеют возможности создания угловую стабильность за счет блокировки гвоздя и шурупа в проксимальном отделе бедра, пока
недостаточно изучены для восстановительных операции на шейке.
В идеале свежие ипсилатеральные переломы надо лечит отдельно каждый:
шейку паралельними шурупами, бедро ретроградным методом. При латеральных переломах шейки 130 градусный DHS с ретроградным гвоздем.
Тогда импланты, не мешая друг другу, создадут компрессию на бедре и скольжение в шейке.
В данном случае навряд ли можно ожидать образования сращения на бедре и еще имеется укорочение засчет варуса.
Для предоперационной планировки необходимо сравнительные ренгенограммы с другой стороны, которая точно укажет истинную длину конечности. КТ
поможет установит сращение на шейке и бедре. Восстановление длины можно сделать за счет вальгусной остеотомии оригинальным методом Blade Plate. На бедро шт ифт ретроградно или пластина, кому что нравится. На мой взгляд, еще имеется шанс спасти головку остеотомией.
Djoldas Kuldjanov, MD
Department of Orthopedic Surgery
St. Louis University Medical Center
|
[
Ответить ]
|
Re: несросшийся перелом шейки бедра
Отправитель: Холод Юля 01 Ноябрь 2008, 23:50
|
Здравствуйте!!!Очень прошу Вас отозваться на моё сообщение!!!У моей бабушки перелом шейки бедра со смещением..(Костной мозоли нет)..Операций ей не делали, она по-немногу ходить с помощью костылей...Ей очень больно. Врачи приписует как обезболивающее кетаноф, но дело в том, что его так часто принимать вредно..Может вы подскажете что-нибудь эффективное для обезбаливания..Пожалуйста, буду вам очень благодарна!!!
|
[
Ответить ]
|
|
( Ответить )
|
|