ВХОД ДЛЯ ПАЦИЕНТОВ
вверх
поиск
админ
главная
исходное
|
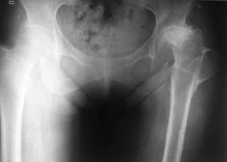
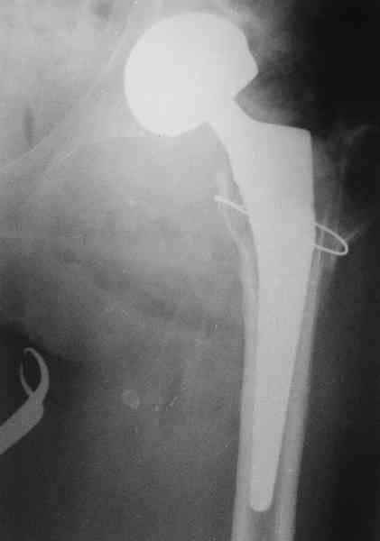
Re: несросшаяся шейка бедра
послал Салаватов Салават 31 Май 2007, 19:48
|
Не такое уж страшное укорочение по снимкам.Вчера прооперирован похожий случай.Обошлись без релиза и аппаратного низведения. укорочение было 4 сантиметра.Теперь ножки ровные.

|
| Послать ответ |
Обратите внимание: Поля с жирными названиями обязательны.
Старайтесь отвечать в рамках обсуждаемой темы, а не начинать новые обсуждения.
Указывайте адекватную тему сообщения, чтобы было ясно, о чем оно.
Не послайте сообщений не по теме (оффтопик), раздраженных, грубых или обидных комментариев. Здесь это неуместно.
|