вверх
отправить
поиск
админ
главная
Предыдущее
Весь тред
|
Re: несросшаяся шейка бедра
Anton Vakulenko 29 Май 2007, 22:14
|
> у нас, вероятно, первым этапом наложили бы аппарат таз-бедро без
> резекции головки, потом протезирование после восстановления длины.
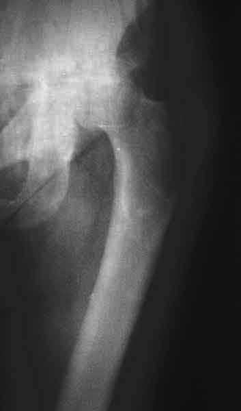
Получится ли низвести головку? Там, скорее всего очень плотное фиброзное сращение. У нас такого опыта закрытого низведения не было. По вашему мнению, сколько времени может уйти на низведение до 8 см? И какая компоновка АВФ?
С уважением,
А. В. Вакуленко
|
|
|
Ответить
|
Re: несросшаяся шейка бедра
Maxim Agalakov 29 Май 2007, 22:23
|
> Получится ли низвести головку? Там, скорее всего очень плотное
> фирозное сращение. У нас такого опыта закрытого низведения не было. По
> вашему мнению, сколько времени может уйти на низведение до 8 см? И
> какая компоновка АВФ?
Насчет 8 см согласен с А.Н. Челноковым, это наверное ортопедическое за счет приводящей, сгибательной контрактуры и, возможно, колена. на ликвидацию укорочения у нас обычно уходит около 2-х нед. снимки в приложении, возможно не очень показательные, но других с ходу не нашел, завтра еще поищу.

|
[
Ответить ]
|
Re: несросшаяся шейка бедра
Отправитель: Anton Vakulenko 29 Май 2007, 22:32
|
Буду ждать!..
--
С уважением,
А. В. Вакуленко
|
[
Ответить ]
|
Re: несросшаяся шейка бедра
Отправитель: Maxim Agalakov 30 Май 2007, 23:02
|

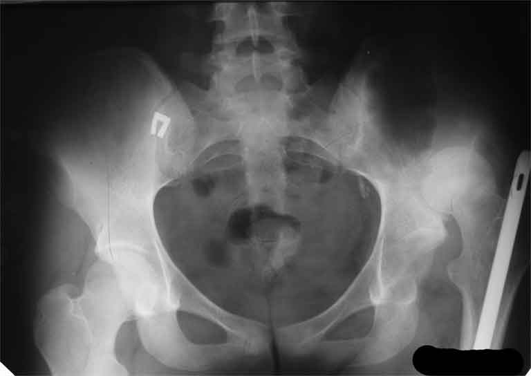
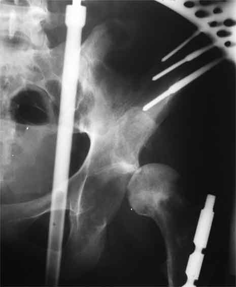
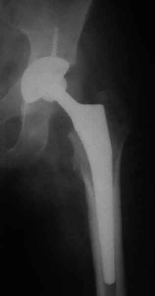
Еще пара фото, ситуация несколько иная, задачи те же, открытое вправление застарелого вывиха в 2002, молодой возраст. Сейчас госпитализирована для эндопротезирования.
--
С уважением,
Агалаков
|
[
Ответить ]
|
|
( Ответить )
|
|