AOTRAUMA.ORG Центр Илизарова  

Ортопедия и травматология Общие вопросы/General questions Help Информационные технологии в медицине
 вверх
 отправить
 поиск
 админ
 главная


Navicular non-union
Ортопедия и травматология Отправлено Jeff Richmond 12 Апрель 2007, 00:38
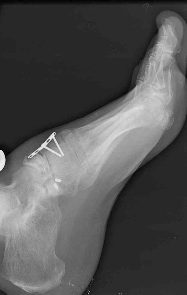
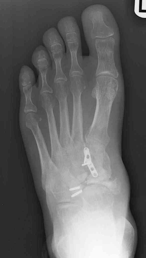
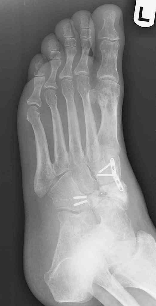
This is a 44 year old male laborer, smoker, who had his foot caught in a forklift about a year ago.
He had an ORIF and subsequent removal of hardware and presented to me with severe midfoot pain. His medial column is grossly unstable on exam but is passively correctable. Wounds are well healed, no sign of infection.

I haven't found much literature on salvage for this. What next? Iliac crest graft for structure with talo-navicular-cuneiform arthrodesis to restore the medial column? Will this fuse as an isolated procedure and given the loss of most of his subtalar motion, would a talocalcaneal arthrodesis improve his chances of fusion?

Thanks
Jeff Richmond
Division of Orthopaedic Trauma
North Shore University Hospital
Manahsset, NY

<  |  >

 

  • Сообщения о Ортопедия и травматология
  • Также Jeff Richmond
  • Связаться с автором
  • Ответить

    Re: Navicular non-union
    A Liberson 12 Апрель 2007, 15:10
    I myself would try an oblique osteotomy with gradual sliding-(of cuneiform) or a midfoot fusion including calcaneocuboid shortening or both.
    One step procedure is an idea, but has larger chance of problematic union.
    AL
    [ Ответить ]


    ( Ответить )

    Powered by Zope  Squishdot Powered MedLink
    Посетитель: 0060591
      "По форме правильно, а по существу - издевательство" В.И.Ленин
    ©2001-2019Orthoforum Coordinator.
    [ Главная | Отправить сообщение | Поиск | Админ ]