AOTRAUMA.ORG Центр Илизарова  

Ортопедия и травматология Общие вопросы/General questions Help Информационные технологии в медицине
 вверх
 отправить
 поиск
 админ
 главная


неправильно сросшийся перелом бедра
Ортопедия и травматология Отправлено Anton Vakulenko 12 Апрель 2007, 00:27
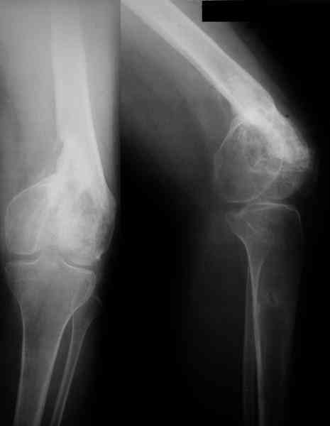
18-летняя девушка получила открытый перелом дистального отдела бедренной кости около 1 года назад.
Лечилась в другом учреждении в АВФ. Сейчас беспокоит укорочение левой ноги до 3 см и ограничение объема движений в коленном суставе 170-120 град). В суставе боли нет.

Предварительный план:
- дистальная остеотомия бедренной кости с устранением угловой деформации
- фиксация пластиной-клинком АО с аутопластикой зоны остеотомии губчатой аутокостью
Ваши рекомендации?..
С уважением,
А. В. Вакуленко
Клиника эндопротезирования суставов

<  |  >

 

  • Сообщения о Ортопедия и травматология
  • Также Anton Vakulenko
  • Связаться с автором
  • Ответить

    Re: неправильно сросшийся перелом бедра
    Alexander Chelnokov 12 Апрель 2007, 00:44
    Еще раз выражаю свою радость от наконец-то состоявшейся очной встречи в Донецке в конце марта.

    АВВ> беспокоит укорочение левой ноги до 3 см и ограничение объема движений в
    АВВ> коленном суставе 170-120 град). В суставе боли нет.
    АВВ> - дистальная остеотомия бедренной кости с устранением угловой деформации
    АВВ> - фиксация пластиной-клинком АО с аутопластикой зоны остеотомии
    АВВ> губчатой аутокостью


    И этот вариант возможно, и другие пластины типа DCS или LCP. И аппаратом, и гвоздями и ретро-, и антеградными.

    Наш выбор был бы антгерадный стекржень. Только за последние недели сделали еще две операции по коррекции оси в дистальном отделе бедра: чрескожная поперечная остеотомия, одномоментная коррекция с помощью poller спиц, а здесь еще и переразгибании колена, при введении гвоздя.
    В этом случае вообще ничего открывать не надо, никаких пластик, движения в колене с первого дня. Проблемы для ранних движений при этом варианте предельно минимизированы.

    Для планирования коррекции надо сделать чистый профиль, чтобы сложились мыщелки. Лучше еще сделать два боковых снимка - в крайних положениях
    коленного сустава.
    [ Ответить ]

    Re: неправильно сросшийся перелом бедра
    Алексей Семенистый 12 Апрель 2007, 00:49
    По поводу необходимости остеотомии возражений нет. Только какую? После остеотомии с минус клином останется укорочение.
    остотомия с открытым клином медиально и кзади восстановит длину конечности, но технически это намного сложнее, потребуется пластика, и тогда клинковая пластина -нелучший выбор. Если пластина АО, то лучше LISS (LCP DF).
    Недавно А.Н.Челноков в теме "ПОЛЕР" показал прекрасную возможность фиксировать остетомию очень дистальным блокированием антеградно введенного штифта.
    Сгибания 120град вообщем-то достаточно и для ретроградного штифтования (если это истинное сгибание, а не за счет антекурвации), в этом случае хорошую стабильность даст DFN (R\AFN) со спиральным клинком.
    Подходящий случай для аппарата Илизарова с Hexapod приставкой...Вырастить регенерат и... заштифтовать!
    В любом случае для правильного планирования необходимы более информативные боковые снимки, вероятно есть ротационное смещение и про него не забудьте.
    Восстановлением объема движений пожалуй обнадеживать не стоит :(.

    Вообщем вариантов много, но клинковая пластина в 21 веке морально устарела.

    С уважением, А.Семенистый.
    ГКБ 13, Москва.
    [ Ответить ]

    Re: неправильно сросшийся перелом бедра
    Michael Berenstein 12 Апрель 2007, 00:56
    Уважаемый коллега!

    Ну какие могут быть рекомендации в стране развитого илизаровского метода.

    С уважением

    М.Беренштейн

    [ Ответить ]

    Re: неправильно сросшийся перелом бедра
    DR SANJEEV JAIN 12 Апрель 2007, 23:03
    Osteotomy blade plate with bone graft is not a bad option specialyy for people like me who are not comfortable with Illizarov technique.
    But the only problem is that how wil the screws hold in such osteoporotic bone.My suggestion is to use the fibula as inlay graft as well.
    [ Ответить ]

    Re: неправильно сросшийся перелом бедра
    Dr. Serkan Aykut 12 Апрель 2007, 23:04
    i think, İlizarov frame is a good option. Shortening and angulation can correct with this method.
    Dr. Serkan Aykut
    Bursa, Turkey

    [ Ответить ]

    Re: неправильно сросшийся перелом бедра
    Dino Aguilar 12 Апрель 2007, 23:27
    I will proceed to distal femur reconstruction with Ilizarov Frame.

    Dino Aguilar
    [ Ответить ]

    Re: неправильно сросшийся перелом бедра
    Castro 14 Апрель 2007, 03:14
    Ja dumaio, chto metod Ilizarov zdes' jiaveliaetsa metodom vibora dla reshenia niskolkih zdach' odnovremenno
    Castro- Amman
    [ Ответить ]


    ( Ответить )

    Powered by Zope  Squishdot Powered MedLink
    Посетитель: 0010414
      "По форме правильно, а по существу - издевательство" В.И.Ленин
    ©2001-2019Orthoforum Coordinator.
    [ Главная | Отправить сообщение | Поиск | Админ ]