AOTRAUMA.ORG Центр Илизарова  

Ортопедия и травматология Общие вопросы/General questions Help Информационные технологии в медицине
 вверх
 отправить
 поиск
 админ
 главная
 Предыдущее
 Весь тред


Re: Нелеченный перелом вертлужной впадины
Frederic B. Wilson, M.D. 25 Март 2007, 00:17
Chip, et al.,

While not claiming to have the best 3D brain around, it appears to me from the limited images available, that the caudal segment is stable from the symphysis to the SI joint on the fracture side. I would love to see the rest of the transverse CT images to see where the fracture line actually exits posteriorly on both the inner and outer tables of the ilium. In my hands,
assuming that the femoral head has followed the cephalad (dome) fragment, I would use an ilioinguinal approach and take down the fracture line from anterior to posterior, distracting with a lamina spreader, if necessary, to clean out and inspect the joint. I would then reduce the cephalad fragment to the caudal fragment using jungbluth or farabeuf clamp and screws and then apply a plate and screws. If the fracture exits posteriorly would you then favor an additional posterior approach to clean out and reduce from that side?

My concept is that what I am after is restoring the anterior portion of the acetabular ring to the superior dome portion to re-establish the containment of the femoral head in an intact "horseshoe". Is this accurate?

Best regards,

Fred
Frederic B. Wilson, M.D.
Assistant Professor
Trauma and Adult Reconstruction
Department of Orthopaedic Surgery
Louisiana State University Health Sciences Center
2020 Gravier St., #728
New Orleans, Louisiana, 70112

  • Сообщения о Ортопедия и травматология
  • Также Frederic B. Wilson, M.D.
  • Связаться с автором
  • Ответить

    Re: Нелеченный перелом вертлужной впадины
    Chip Routt 26 Март 2007, 13:32
    Who knows? The images are insufficient to detail a reasonable plan.
    [ Ответить ]

    • Re: Нелеченный перелом вертлужной впадины
      Отправитель: Alexander Chelnokov 27 Март 2007, 08:14
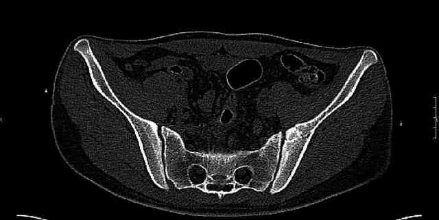
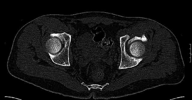
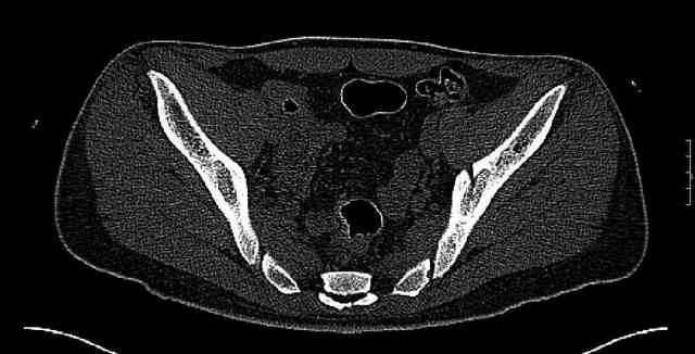
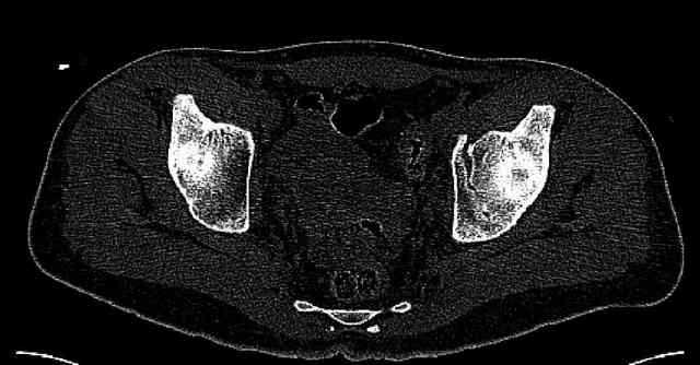
      Some more images. Does it help to guess which part of the acetabulum is displaced?




      [ Ответить ]
      • Re: Нелеченный перелом вертлужной впадины
        Отправитель: Chip Routt 27 Март 2007, 08:18
        Normal appearing SI joints and a healed posterior column limb... my bet's on caudal segment displacement.

        MLCR

        [ Ответить ]

     

    ( Ответить )

    Powered by Zope  Squishdot Powered MedLink
    Посетитель: 0016087
      "По форме правильно, а по существу - издевательство" В.И.Ленин
    ©2001-2019Orthoforum Coordinator.
    [ Главная | Отправить сообщение | Поиск | Админ ]