ВХОД ДЛЯ ПАЦИЕНТОВ
вверх
поиск
админ
главная
исходное
|
Re: Proximal femoral shaft nonunion + osteomyeliti
послал Djoldas Kuldjanov 08 Февраль 2007, 00:03
|
Павел,
Мы бы начали с санации очага и заполнения полости антибиотическими бусами. Для создания устойчивой конечности и для профилактики стрессовых переломов, костный канал заполняем “custom made antibiotic nail”, который готовится "экстемпоре"
После определения длины канала берется 3мм длинная проволока, обычно "long guided wire" от интрамедуллярного набора, концы загибаются, ее
вставляют в трубку, трубку заполняют цементом с антибиотиком.
Канал до вставления гвоздя рассверливается на пару мм, а взятая большего диаметра внутренная арматура обычно удерживает конечность, даже в некоторых случаях, при небольшом дефекте, и вес больного.
Наложенный до операции наружный фиксатор поможет исправить деформированную ось, а в послеоперационном периоде удерживает как дополнительная временная фиксация.
После затихания инфекционного процесса, если размеры дефекта не позволяют оставить все как есть, то удлинение на гвозде, без гвоздя
или любыми другими гибридными, циркулярными аппаратами.
Недавний случай: год назад леченный интрамедуллярным гвоздем открытый перелом бедра инфецировался, многократные Irrigation&Debridment
закончили вставлением антибиотического гвоздя и кожной пластикой переднего мягкотканнего дефекта.
Редко, но бывает - недавно он обратился по поводу свищевого абцесса медиальной поверхности бедра.
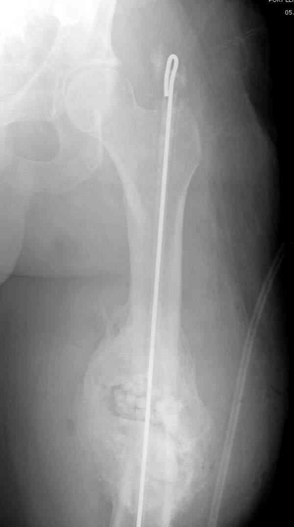
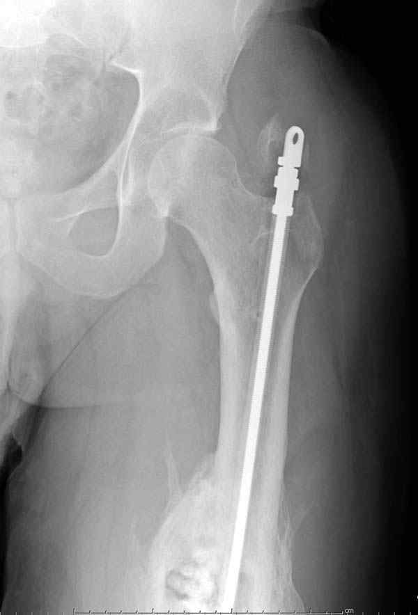
На ренгенограмме явный остеомиелит с секвестром, секвестерэктомия из медиального доступа и замена старого антибиотического гвоздя на новый.
После трех дней ваккуумного дренажа, из латерального доступа удаление остатков старых антибиотичеких бус, закрытие медиальной раны с наложением ваккуумирования латерально. В следующий раз, через пару дней надеемся закрыть рану.

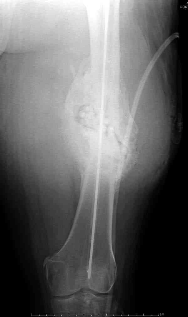
старый снтибиотический гвоздь

ренгенограмма инфицированного бедра со старым
антибиотическим гвоздем

удаление

подготовка гвоздя

7-8 послеоперационные
Djoldas Kuldjanov, MD
Department of Orthopedic Surgery
St. Louis University Medical Center
|
| Послать ответ |
Обратите внимание: Поля с жирными названиями обязательны.
Старайтесь отвечать в рамках обсуждаемой темы, а не начинать новые обсуждения.
Указывайте адекватную тему сообщения, чтобы было ясно, о чем оно.
Не послайте сообщений не по теме (оффтопик), раздраженных, грубых или обидных комментариев. Здесь это неуместно.
|