ВХОД ДЛЯ ПАЦИЕНТОВ
вверх
поиск
админ
главная
исходное
последующие
|
Re: Proximal femoral shaft nonunion + osteomyeliti
послал Игорь Редько 10 Февраль 2007, 13:11
|
Павел, Дорогой!, ни коим образом не хотел посягнуть на желание быть профессионалом, умение делать все и тем более выправлять свои неудачи.
Этот стиль мне полностью приемлем и понятен. Наверно я бы поступил также. Но статистика упрямая вещь. Сколько у тебя или у другого врача опыта по замещению дефектов бедра? У меня за 25 лет работы 3, и еще около 15 случаев удлинения бедра. Случай у тебя очень сложный. Если Вы выбираете Илизаровскую методику то надо на в/з хорошую дугу, не менее 4-5 спиц с напайками.Стержни хороши когда кость не измучена и на 2-4 месяца. Здесь аппарат на 6-8 месяцев. Если есть желание я только за, и
желаю только успеха и чтоб все трудности которые будут преодолел.

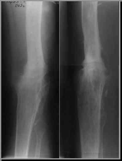
Прикрепляю пример замещения дефекта бедра 20 см, после резекции по поводу опухоли, эндопротеза Сиваша, вялотекущего остеомиелита со свищами в течении 3 лет. Получилось хорошо и всего за 6 месяцев в аппарате. Колена не было. У Вас случай сложнее. Это было в 1998г. Я работал в ЦИТО и у меня было 4 больных, я занимался им с утра до ночи. Сейчас 60 больных и операций в нашем отделении 25-30 в неделю.Если могу чем помочь - нет проблем.
С уважением и наилучшими пожеланиями Редько И.
|
| Послать ответ |
Обратите внимание: Поля с жирными названиями обязательны.
Старайтесь отвечать в рамках обсуждаемой темы, а не начинать новые обсуждения.
Указывайте адекватную тему сообщения, чтобы было ясно, о чем оно.
Не послайте сообщений не по теме (оффтопик), раздраженных, грубых или обидных комментариев. Здесь это неуместно.
|