Ответить
|
Re: Bilateral Fracture Clavicle
Никита Заднепровский 27 Январь 2007, 13:28
|
C> Postupil ko mne bolnoi s perelomom obeih kluchits, neznachitelny
C> pneumotorakx sleva.
Интересно было бы узнать механизм травмы. У меня был похожий случай у велосипедиста.
C> Hotelos' bi uznat' mnenie kolleg, kak bi oni lechili takogo bolnogo??
Накостный остосинтез обех ключиц в одну сессию рекон.пластиной в условиях интубационного наркоза с положительным ПДКВ (+ 5-7 мм вод. ст.) и интраоперационным контролем степени пневмоторакса. Возможно, дренирование плевральной полости слева, по результату рентгенконтроля, по Бюлау.
|
[
Ответить ]
|
Re: Bilateral Fracture Clavicle
A. Sitnik 27 Январь 2007, 20:46
|
Справа перелом практически поперечный, можно попробовать интрамедуллярно стержнем. Личного опыта правда не имею, у нас стандартом при оперативном лечении переломов ключицы является тот же остеосинтез пластиной. Но в литературе описана методика даже закрытого остеосинтеза - так, в порядке обсуждения.
С уважением
А. Ситник
|
[
Ответить ]
|
Re: Bilateral Fracture Clavicle
Антон Лебединец 28 Январь 2007, 22:50
|
Наблюдение из практики: оперированные ключицы срастаются дольше+ложные суставы возникали только после оперированных. Поэтому надо оперировать данные повреждения по строгим показаниям.у нас за последние пять лет кол-во оперированных ключиц уменьшилось в 5-6 раз. В данном случае почему не пойти по консервативной методе - тем более слева стоит неплохо, справа можно однозубыми крючками закрыто отрепонировать - и ватно-марлевые кольца, пускай хирурги разбираются с пневмотораксом. Срастется - никуда не денется, только больного надо предупредить о возможной деформации в месте перелома. Мужикам как правило на это тьфу!У нас потом один оперировался - избыточную мозоль резецировали.
|
[
Ответить ]
|
Re: Bilateral Fracture Clavicle
Отправитель: Вадим Э. Дубров 29 Январь 2007, 10:22
|
Уважаемый Антон,
Не могу молчать...
Мои уважаемые учителя приучили нас к консервативному методу лечения ключиц. Некоторое время назад, не без воздействия своих более молодых коллег, я начал менять свое скептическое отношение к оперативному лечению. Это связано, во многом, и с дискомфортом, обусловленным разнообразными иммобилизирующими повязками, и с появлением современных реконструктивных пластин, и с отработанной хирургической технологией (см. присоединенный файл - статья в AO Dialoge от 01.2006), резко снизившей число инфекционных или репаративных осложнений.

Что же касается билатеральных повреждений или ипсилатеральных (например, ключица и шейка лопатки) повреждений - так они являются практически абсолютными показаниями для операции в связи с возможностью грубого нарушения биомеханических соответствий плечевого пояса.
АЛ> Наблюдение из практики: оперированные ключицы срастаются дольше+ложные
АЛ> суставы возникали только после оперированных.
Кстати, когда мы оперировали винтообразные переломы голени при помощи стабильной накостной фиксации, то окончательное заживление по типу первичного наступало всегда позже, чем заживление с мозолью после остеосинтеза 2 винтами - давно известно, что ремоделирование процесс значительно более медленный, чем заживление кости по типу вторичного. Однако, на функции длительность заживления никоим образом не сказывалась. Что же касается ложных суставов - во многом результат зависит от выбора фиксатора и технологии вмешательства. Чем менее стабильный остеосинтез - тем больше вероятность появления неприятностей.
АЛ> Поэтому надо оперировать
АЛ> данные повреждения по строгим показаниям.у нас за последние пять лет
АЛ> кол-во оперированных ключиц уменьшилось в 5-6 раз. В данном случае
АЛ> почему не пойти по консервативной методе - тем более слева стоит
АЛ> неплохо, справа можно однозубыми крючками закрыто отрепонировать - и
А насчет закрытой репозиции однозубыми крючками - ну уж если Вы так дружите с ангиохирургами.... К сожалению, приходилось видеть последствия подобных репозиций
С уважением
В.Дубров
Факультет фундаментальной медицины МГУ им. М.В.Ломоносова
|
[
Ответить ]
|
Re: Bilateral Fracture Clavicle
Отправитель: олег 29 Январь 2007, 16:27
|
Уважаемый Вадим Эрикович
В присланной Вами статье я больше согласен с доктором, кот. дает комментарии. Да,угловая деформация больше 45 градусов и укорочение больше 2 см. это конечно показания к операции, но и только. Повальное увлечение оперативными вмешательствами приводит к лавинообразному росту ложных суставов, кот., Вы конечно знаете, лечить очень и очень сложно. Прелом ключицы для многих способ "легких" денег. Результаты рсхлебываются в крупных травм.отделениях. Лучше опереировать ложный сустав после консервативного лечения. Тем более автор статьи пишет о тех же результатах при отсроченной операции.
С уважением Олег
|
[
Ответить ]
|
|
Re: Bilateral Fracture Clavicle
дмитрий бондарь 29 Январь 2007, 23:27
|
Доброго времени суток , коллеги . IMHO , стоит спросить больного ,чего он хочет и проинформировать о возможных методах лечения и о проблемах , с этими методами связанных . Ключичка - это такая косточка , где можно применять все , от колец до аппаратов .
С уважением Д.Б.
|
[
Ответить ]
|
Re: Bilateral Fracture Clavicle
Сергей Зырянов 30 Январь 2007, 11:25
|
Мы очень часто сейчас оперируем ключицы . Остеосинтез реконструктивной пластиной и винтами, без иммобилизации наружной в последующем. Несращений за последние годы не наблюдали. В течение последних 2х лет прооперировали 23 перелома.
Ну а за пневматораксом надо вести наблюдение, рентгенконтроль. При необходимости дренировать плевральную полость.
Зырянов Сергей
НСО г куйбышев
|
[
Ответить ]
|
Re: Bilateral Fracture Clavicle
Др.в 30 Январь 2007, 20:54
|
Здраствуйте.
С пневмотораксом все понятно-дренировать плевральную польсть. А вот на счет ключиц действительно вопрос интересный, необходима золотая середина. Учитывая, что имеется повреждение грудной клетки, для улучшения активного дыхания необходимо будет выполнить остеосинтез обеих ключиц, накостный, реконструктивными пластинами.
|
[
Ответить ]
|
Re: Bilateral Fracture Clavicle
Castro 31 Январь 2007, 17:48
|
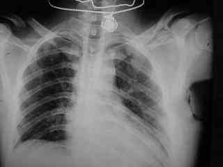
Bolnogo operirovali plastinami, snimky zdes'.
CIMG1145.JPG
9KB (9732 bytes)
|
[
Ответить ]
|
Re: Bilateral Fracture Clavicle
Отправитель: Alexander Chelnokov 01 Февраль 2007, 00:10
|
Похоже, все прошло по плану. Поздравляю с успешной операцией!
|
[
Ответить ]
|
Re: Bilateral Fracture Clavicle
Отправитель: Др.в 03 Февраль 2007, 03:40
|
Как справлялись с пневмотороксом?
Дренировали или пунктировали? Расскажите.
Сколько по времени ушло на операцию.
Результат хороший.
|
[
Ответить ]
|
Re: Bilateral Fracture Clavicle
Отправитель: Castro 04 Февраль 2007, 02:53
|
Pneumatorax hirurg punctiroval i lechil dalshe, operasia zanimala 1 chas 35 minut, ni bilo problem ossobih.
|
[
Ответить ]
|
|
Re: Bilateral Fracture Clavicle
Ильмир 15 Февраль 2007, 18:19
|
С начала пролечите пневмотрокас, апотом ключицы. Мы с успехом применяем интрамедулярный остеосинтез переломов ключицы.
|
[
Ответить ]
|
( Ответить )
|
|