ВХОД ДЛЯ ПАЦИЕНТОВ
вверх
поиск
админ
главная
исходное
|
Re: Polytrauma
послал Evgueny Tchekashkine 13 Январь 2007, 10:56
|
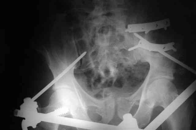
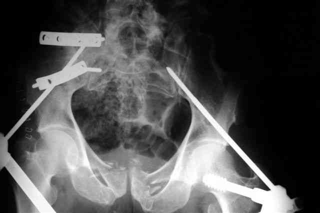
В приложении послеоперационные картинки.

Всего доброго,
Спасибо всем принявшим участие в обсуждении,
Чекашкин Е.И.
|
| Послать ответ |
Обратите внимание: Поля с жирными названиями обязательны.
Старайтесь отвечать в рамках обсуждаемой темы, а не начинать новые обсуждения.
Указывайте адекватную тему сообщения, чтобы было ясно, о чем оно.
Не послайте сообщений не по теме (оффтопик), раздраженных, грубых или обидных комментариев. Здесь это неуместно.
|