вверх
отправить
поиск
админ
главная
|
Perelom N/3 kostei goleny |
 |
 |
 |
Отправлено Castro 05 Январь 2007, 00:55
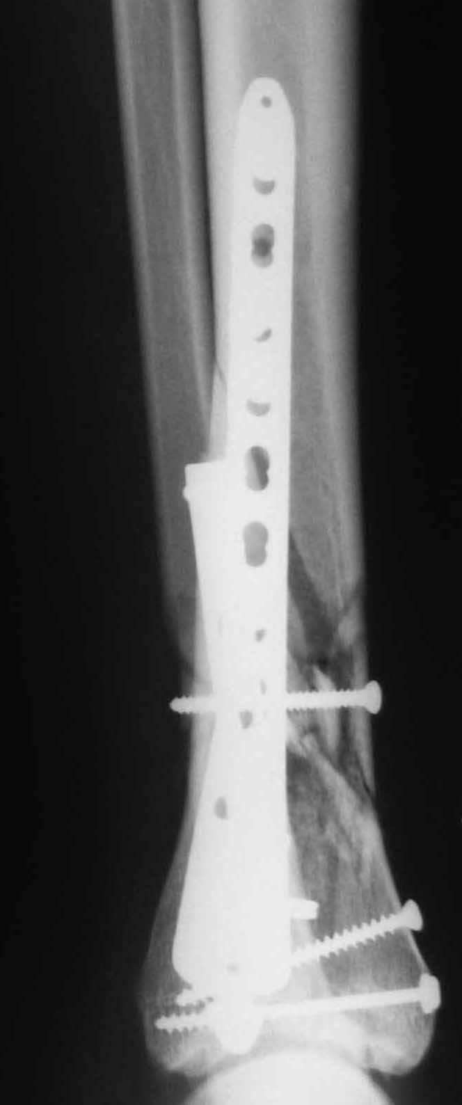
OK, Dr Driagin, Ja operiroval bolnogo po Vashemu, hotia sam ni ochen' ubezden' v itom, t.k. bolnoi otkazalsa na proch' ot ex.fix, ja emu sdelal ORIF + Kostnia plastika, snimky prelogiottsa,
 Isskrenny Vash Castro
<
|
>
|
|
Ответить
|
Re: Perelom N/3 kostei goleny
Дрягин В. 05 Январь 2007, 09:23
|
Очень прилично получилось, но мне показалось, что винты на 4,5 мм.Это принципиально винты используются 3,5 и 4,0 мм. И проекцию прямую бы переделать. С уважением Дрягин
|
[
Ответить ]
|
Re: Perelom N/3 kostei goleny
Отправитель: Alexaander Chelnokov 05 Январь 2007, 13:10
|
ДВ> Очень прилично получилось, но мне показалось, что винты на 4,5 мм.Это
ДВ> принципиально винты используются 3,5 и 4,0 мм.
А чем чревато использование обычных кортикальных винтов 4,5 мм с не-LCP пластинками?
ДВ> И проекцию прямую бы переделать.
А зачем ее переделывать?
На представленном снимке видно, что эпифиз смещен латерально.

Сейчас с этим ничего не сделать, похоже.
|
[
Ответить ]
|
Re: Perelom N/3 kostei goleny
Отправитель: Дрягин В. 05 Январь 2007, 14:08
|
Пластина лист клевера есть в варианте DCP -динамическая компрессирующая пластина.В ней все отверстия круглые,развальцованные отверстия под винт 3,5, чтобы шляпка винта не торчала.Винты 4,5 тоже проходят в эти отверстия, но шляпка не погружается.Могут быть проблемы с мягкими тканями.Пластина LCP -пластина с блокированием.В каждом отверстие пластины нарезана резьба и на шляпке винта такая же.Получается блок винт-пластина-кость.Очень крепко.Первоначально она готовилась для остеопороза, много лет в Давосе её разрабатывали.Я видел там первые образцы ещё в 1995 году, а начали они в 80-годах.Насчёт оси по рентгенограмме пока не согласен пусть сделают хорошую, правильную прямую проекцию.С уважением Дрягин
|
[
Ответить ]
|
Re: Perelom N/3 kostei goleny
Отправитель: Castro 05 Январь 2007, 15:10
|
Kak Vi schetaete Dr. Driagin, prav li Dr. Chelnokov, komenteruia snimky?
Castro
|
[
Ответить ]
|
Re: Perelom N/3 kostei goleny
Отправитель: Дрягин В. 05 Январь 2007, 15:21
|
Однозначно сказать сложно.Расстояние между тараном и медиальной лодыжкой меньше чем между тараном и крышей большеберцовой кости.Это может быть за счёт не правильной укладки.Пока не отчаиваетесь.Главное вы поняли принцип.Сделайте несколько проекций прямых и посмотрим.Для всех интересно.С уважением
|
[
Ответить ]
|
Re: Perelom N/3 kostei goleny
Отправитель: Алексей Семенистый 05 Январь 2007, 16:59
|
Здравствуйте, господа! С Новым годом!
Мне кажется, что все конечно далеко от идеала. Сложный перелом. Есть ощущение, что малоберцовая кость (ключ!) фиксирована с ротацией и удлинением. Снимки конечно необходимо сделать в правильных проекциях и без гипса...
А к мягким тканям сейчас самое пристальное внимание. Вообще проблема оперативного лечения пилона больше проблема мягких тканей и бережного отношения к ним, чем техника самой репозиции и фиксации. И показания и противопоказания к тому или иному способу остеосинтеза зависят при прочих равных условиях от состояния мягких тканей, а нет от "люблю-не люблю".
С уважением, А Семенистый.
|
[
Ответить ]
|
Re: Perelom N/3 kostei goleny
Отправитель: Castro 05 Январь 2007, 17:36
|
Ja ego posmotril pod C-arm, ito ni tak katasrofichno kak kazetsa posle Chelnokova, snimky preshlu lish v ponidelnik, no menia bolshe bespokoet sostianii miahgkih tkanei, biaos', chto, kreavoi necroz u nego nachalsa, uze prosho 48 chasov posle operasii, hotia on bil' na skelete, za tem v disstractore 5 dnei v obshei sloznosty, a ja segodnia bil' vinuzden emu dopolnitelnie nadsecheky na kozu sdelat' pod obshei anestezii, poluchaet on moshnie antibiotiky, i low molecular hiparin "clexane" 60- sutky
|
[
Ответить ]
|
Re: Perelom N/3 kostei goleny
Отправитель: Djoldas Kuldjanov 06 Январь 2007, 02:07
|

Др. Castro,
В голеностопном суставе обязательны 3 стандартные ренгенологические проекции: прямая, латеральная и мортиз. Без них невозможно трактовать состояние голеностопа.
Отсустствие покровов в нижнем отделе голени (кость и кожа) требует более щадящих методов операции, если в других участках позволительно по слоям, то здесь до кости доходят одним кожнонадкостничним слоем (cutaneoperiosteal flap).
Применение шурурпов 4.5 мм и более толстых пластин крайне недопустимы. Рекомендуется низкопрофильные, контурированные пластины с шурупами 3.5 мм, а иногда те же 3.5 шурупы но с головкой 2.7 мм.
Примущества Locking plate не только механическая, и еще отсутствует раздражающий фактор на местные ткани, потому что шуруп сидит в пластине заподлицо. Если рана ушита с натяжением и имеется отек, сомневаюсь в помощи от насечек, лучше распустить рану с латеральной стороны, там больше тканей, после спадения отека можно закрыть или в
крайнем случае кожная пластика.
Djoldas Kuldjanov, MD
Department of Orthopedic Surgery
St. Louis University Medical Center
|
[
Ответить ]
|
|
( Ответить )
|
|