AOTRAUMA.ORG Центр Илизарова  

Ортопедия и травматология Общие вопросы/General questions Help Информационные технологии в медицине
 вверх
 отправить
 поиск
 админ
 главная


Несросшийся перелом
Ортопедия и травматология Отправлено Anton Vladzimirskyy 10 Ноябрь 2006, 16:07
Уважаемые коллеги!
Помогите, пожалуйста, советом.
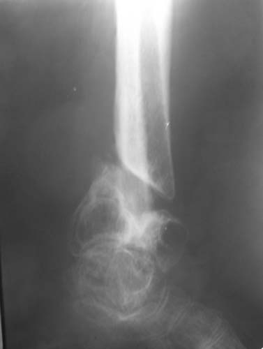
Женщина, 62 года. Травма 2 года назад в результате ДТП. Находится на лечении с 30.10.06 года с диагнозом: Несросшийся перелом дистальной трети правой большеберцовой кости с угловыми деформациями дистального отдела конечности, дефектом костной ткани.
Рубцовой деформацией мягких тканей медиальной поверхности дистальной трети голени. Нейротрофические нарушения. Посттравматический остеопороз. Дегенеративно-дистрофический остеоартроз правого голеностопного сустава.Сопутствующая патология.: ЖКБ, хронический калькулезный холецистит в стадии ремиссии. МКБ, хронический пиелонефрит в стадии ремиссии.Ожирение 3 ст. Посттромбофлебитический синдром нижних конечностей, ХВН 2 ст. Посттравматическая нейропатия левого малоберцового нерва с парезом левой стопы. Какие предложения по тактике лечения? Заранее благодарю!
С уважением,Антон ВладзимирскийДонецкий НИИ травматологии и ортопедии

<  |  >

 

  • Сообщения о Ортопедия и травматология
  • Также Anton Vladzimirskyy
  • Связаться с автором
  • Ответить

    Re: Несросшийся перелом
    Алексей Семенистый 10 Ноябрь 2006, 18:01
    Учитывая весь статус, лечение в аппарате вряд ли подходит.
    Можно после остеотомии м\б кости сделать интрамедулярный остеосинтез-артродез, забив штифт снизу через пятку. Для этого хорошо подходит короткий дистальный бедренный гвоздь Chm. дистальные винты заводить сзади в сагитальной плоскости в пяточную и таранную кости.

    Минимальная травма для мягких тканей, технически довольно просто, опороспособность восстанавливается прктически сразу. Срастется вряд ли, штифт будет работать как эндопртез, поэтому необходит толстый 12-14мм.

    С увуажением А.Семенистый.
    [ Ответить ]

    Re: Несросшийся перелом
    Jacob Odessky 10 Ноябрь 2006, 18:04
    Здравствуйте, Антон!
    Прежде, чем приступить к лечению данной пациентки, надо ответить на воапрос, что даст лечение ей??? Я имею ввиду её функциональные возможности... Для меня возраст не помеха для любого вида лечения... Но в случае, если пациентка после лечения будет сидеть в кресле, то зачем все эти мучения!!! Следовательно оценка функциональных возможностей пациентки очень важна перед выбором тактики ведения.
    В случае, если функциональный прогноз хороший, я бы предложил ей сбросить за 4-5 месяцев ненужное количество лишнего веса, только после этого я бы стал решать вопрос о дальнейшей тактике лечения.
    С уважением
    [ Ответить ]

    • Re: Несросшийся перелом
      Отправитель: Anton Vladzymyrskyy 10 Ноябрь 2006, 18:06
      >Прежде, чем приступить к лечению данной пациентки, надо ответить на воапрос, что даст лечение ей???

      Вокруг этой пациентки огромное количество жалоб, конфликтов и т.д. и т.п. Головная боль всего коллектива.
      Предложить ей похудение: Гхм:
      Одним словом лечить надо в любом случае. Проблема в том, как сделать это оптимально.

      [ Ответить ]
      • Re: Несросшийся перелом
        Отправитель: дмитрий бондарь 10 Ноябрь 2006, 22:21
        IMHO-закрытое штифтование,как советует Алексей,не связывайтесь с АВФ,интрамедулярный остеосинтез-артродез в данном случае-тот самый оптимум,тем более,что"Вокруг этой пациентки огромное количество жалоб, конфликтов и т.д."Даже,если и не срастется,что же, "Кто может,пусть сделает лучше".Вроде у вас ,в ДонОТБ,кто-то начал уже штифтовать?
        С уважением Д.Б.

        [ Ответить ]
    Re: Несросшийся перелом
    Alexander Chelnokov 11 Ноябрь 2006, 00:35
    > лечении с 30.10.06 года с диагнозом: Несросшийся перелом дистальной
    > трети правой большеберцовой кости с угловыми деформациями дистального


    Маловато подробностей по существу проблемы. Что и когда делали на предшествующих этапах? Что привело к нынешней ситуации? Эпизоды инфекции? Как передвигается сейчас?

    > Посттравматический остеопороз. Дегенеративно-дистрофический
    [...]
    > стадии ремиссии. МКБ, хронический пиелонефрит в стадии ремиссии.


    Надо ли, упуская важные моменты, столько посвящать несущественным деталям типа самоочевидного местного остеопороза и т.п.? Что, есть основания полагать, что эти ремиссии как-то здесь должны повлиять на тактику?

    > Ожирение 3 ст. Посттромбофлебитический синдром нижних конечностей, ХВН 2
    > ст. Посттравматическая нейропатия левого малоберцового нерва с парезом
    > левой стопы.


    Да, комбинация проблем замечательная...

    > Какие предложения по тактике лечения?

    Голеностопный сустав тут, видимо, потерян. Так что надо думать только про стабилизацию. Какие из существующих вариантов артродеза доступны, и какой из доступных оптимален? Антон, есть ли смысл обсуждать варианты с закрытым штифтованием, доступно оно? Если да, то Алексей Семенистый предлагает вполне жизнеспособный план (хотя можно и антгерадно сделать). Если нет, то надо что-то придумывать с аппаратом. Наверно, латеральным доступом кпереди от fibula с ее пересечением открыться, и что-то костно-пластическое делать.
    [ Ответить ]

    Re: Несросшийся перелом
    А.В.Владзимирский 13 Ноябрь 2006, 12:40
    Да, свершилось! У нас тоже стали делать штифтование. Опыт пока естественно ограничен. Пока делали только при свежих травмах.
    Возможно это будет первая пациентка с осложненной патологией.
    В любом случае всем спасибо за ответы.
    [ Ответить ]

    • Re: Несросшийся перелом
      Отправитель: Alexander Chelnokov 13 Ноябрь 2006, 22:21
      АВВ> естественно ограничен. Пока делали только при свежих травмах.

      Поздравляю! Как удалось преодолеть все препаятствия, которые мешали внедрить методику раньше? Какие сегменты делаете, какими конструкциями?

      АВВ> Возможно это будет первая пациентка с осложненной патологией.

      Какой на сегодня сформировался план операции? Мне кажется, одним закрытым штифтованием может не получиться обойтись, лучше бы добиться костного блока. На "эндопротезе" без сращения проходит она полгода-год...

      [ Ответить ]
      • Re: Несросшийся перелом
        Отправитель: Anton Vladzymyrskyy 14 Ноябрь 2006, 22:54
        > Поздравляю! Как удалось преодолеть все препаятствия, которые мешали

        Как всегда, инициатива директора.

        <>>Какие сегменты делаете, какими конструкциями?

        ChM. Голень, бедро. Пока только свежая травма.

        >Какой на сегодня сформировался план операции?

        Пока его еще нет.
        Гхм... если она всех до оперции не пересажает...
        :/

        С уважением,
        А.В.Владзимирский

        [ Ответить ]
        • Re: Несросшийся перелом
          Отправитель: Alexander Chelnokov 14 Ноябрь 2006, 23:12
          AV> Как всегда инициатива директора.

          Что ж вы своего директора сами инициативами не радуете, приходится ему все за вас делать... ;-)

          >>Какие сегменты делаете, какими конструкциями?
          AV> ChM. Голень, бедро. Пока только свежая травма.


          А усилитель рентгеновского изображения в операционной есть? На Украине сейчас свои фиксаторы для interlocking производятся? А
          российские используются?

          AV> Пока его еще нет.

          Ну давай думать дальше.

          AV> Гхм... если она всех до оперции не пересажает...

          То есть все озабочены обеспечением себе алиби? ;-)

          [ Ответить ]
        • Re: Несросшийся перелом
          Отправитель: Алексей Семенистый 15 Ноябрь 2006, 01:57
          >>Какой на сегодня сформировался план операции?

          >Пока его еще нет.
          Гхм... если она всех до оперции не пересажает...
          :/

          А может тогда и не стоит скальпелем-то?
          А все-таки, какой анамнез?


          [ Ответить ]
    • Re: Несросшийся перелом
      Отправитель: Алексей Семенистый 14 Ноябрь 2006, 00:10
      Поделитесь потом результатом: ближайшим и отдаленным.
      Удачи!. А.Семенистый

      [ Ответить ]

     

    ( Ответить )

    Powered by Zope  Squishdot Powered MedLink
    Посетитель: 0011942
      "По форме правильно, а по существу - издевательство" В.И.Ленин
    ©2001-2019Orthoforum Coordinator.
    [ Главная | Отправить сообщение | Поиск | Админ ]