вверх
отправить
поиск
админ
главная
|
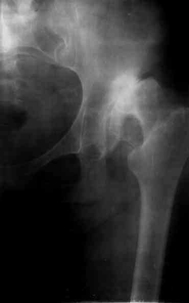
Диспластический коксартроз |
 |
 |
 |
Отправлено Sergey A. Melashenko 18 Октябрь 2006, 21:05
Ув. коллеги, женщина, 37 лет, имеет диспластический коксартроз. Сомневается в положительном результате от эндопротезирования, но хочет оперироваться. Что порекомендуете? С ув. Sergey A. Melashenko ул. Кирова 88-А, г. Приморск, Запорожская обл., 72100, Украина
<
|
>
|
|
Ответить
|
Re: Диспластический коксартроз
Maxim Agalakov 18 Октябрь 2006, 21:09
|
> Ув. коллеги, женщина, 37 лет, имеет диспластический коксартроз.
> Сомневается в положительном результате от эндопротезирования,
скорее приходится сомневаться в эффективности остальных паллиативных операций. результаты эндопротезирования, как представляется, изучены все же лучше чем множества альтернативных способов лечения.
> но хочет
> оперироваться. Что порекомендуете?
не могли бы вы более конкретно сформулировать вопрос, варианты других операций, варианты эндопротезирования?
|
[
Ответить ]
|
Re: Диспластический коксартроз
Отправитель: Sergey A. Melashenko 18 Октябрь 2006, 21:11
|
Ув. Максим, никаких вариантов не обсуждали, женщина ищет, кто сможет ее прооперировать и гарантировать хороший результат. Во Львове проф. Пидлесецкий и др. коллеги из Европы (фамилий не помнит), заезжающие во
Львов, отказали в операции, ссылаясь на возможную нестабильность вертлужного компонента.
|
[
Ответить ]
|
Re: Диспластический коксартроз
Отправитель: Maxim Agalakov 18 Октябрь 2006, 21:13
|
> Во Львове проф.
> Пидлесецкий и др. коллеги из Европы (фамилий не помнит), заезжающие во
> Львов
Может, в Донецк обратиться - поближе?
|
[
Ответить ]
|
|
Re: Диспластический коксартроз
Alexander Rykov 18 Октябрь 2006, 21:14
|
Оперироваться. Альтернативы нет. Надо делать обе ноги, поочередно с реконструкцией крыш для последующей удобной ревизии. Ножки бесцементные.
Остальное дело техники. С ув. А Рыков. Хабаровск. Мы бы взялись.
|
[
Ответить ]
|
Re: Диспластический коксартроз
Отправитель: Sergey A. Melashenko 18 Октябрь 2006, 21:15
|
Спасибо, но далековато.
Я так понял, что первым этапом буде реконструкция крыши, а сам протез ставить необходимо пожже, через сколько. Или не так?
|
[
Ответить ]
|
Re: Диспластический коксартроз
Отправитель: Alexander Rykov 18 Октябрь 2006, 21:21
|
Сергей. Операция первичного эндопротезирования предусматривает у данной больной (я бы сделал так) - 1. Доступ с хорошим обзором впадины (или задний
или с пересечением б.вертела) - затем установку тазового компонента с одномоментной пластикой крыши вертлужной впадины из утилизируемой головки
(если получится бесцементная чаша - это лучше, но не факт - вероятно будет моделирующее кольцо с цементируемой чашей - внимание к "версии" чаши) -
затем классическая бесцементная ножка. Справа будет попроще. Слева рассчет после установки правого сустава. Может потребоваться двухэтапное
протезирование. При отсутствии проблем с финансировании - отправьта в Харьков - Киев - Донецк. С уважением. А Рыков.
|
[
Ответить ]
|
|
Re: Диспластический коксартроз
Виктор Парфентьевич Волошин 20 Октябрь 2006, 01:50
|
1. при таком анатомическом варианте корригирующие остеотомии явно проигрывают тотальному эндопротезированию.
2. первым этапом оперируем сторону с преобладающим болевым.
3. справа может быть будет достаточно структурного аутотрансплантата, но вариант с кольцом надо иметь в виду; слева использовал бы армирующую конструкцию (плохая надацетабулярная кость - проблемное приживление трансплантата).
4. вероятность осложнений выше, чем в банальной ситуации, правильно дама беспокоится, лучше делать операцию там, где это на потоке. Если ближе не найдется, присылайте.
ВВП, МОНИКИ
|
[
Ответить ]
|
Re: Диспластический коксартроз
Каминский Андрей 20 Октябрь 2006, 21:55
|
Сергей, Курганский Цент Илизарова и ортопедическое отделение №10 может принять вашу пациентку и выполнить ей тотальное эндопротезирование.
Опыт протезирования диспластических коксартрозов достаточный.
Видимо, придется использовать цементную впадину и бесцементную ножку. Хотя кость во впадине есть, мможно выполнить и бесцементный вариант фиксации. Думаю получится.
Пишите, ответим и примем.
|
[
Ответить ]
|
( Ответить )
|
|