AOTRAUMA.ORG Центр Илизарова  

Ортопедия и травматология Общие вопросы/General questions Help Информационные технологии в медицине
 вверх
 отправить
 поиск
 админ
 главная


вертлужная впадина
Ортопедия и травматология Отправлено Anton Vladzymyrskyy 03 Октябрь 2006, 22:18
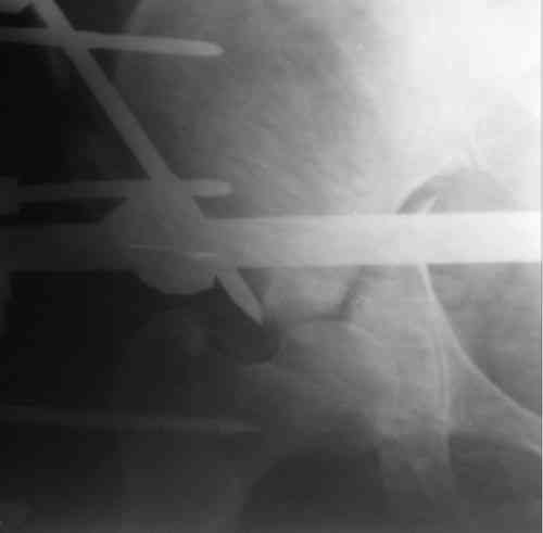
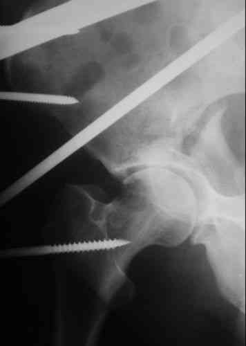
Пациентка 38 лет. В результате ДТП 02.09.06 получила поперечный перелом правой вертлужной впадины, центральный вывих правого бедра, разрыв правого крестцово-подвздошного сустава.
В одной из районных больниц вывих устранен, наложена система вытяжения по оси бедра и за вертельную область. Спустя 2 недели выполнен ВЧКО модулем "таз-бедро". Учитывая возраст пациентки и остаточный диастаз в области свода вертлужной впадины предполагается демонтаж аппарата, открытая репозиция и внутренний МОС вертлужной впадины через внутритазовый доступ.
Вопрос: другие возможные тактические и технические варианты ?
Заранее благодарю!
С уважением,
А.В.Владзимирский

<  |  >

 

  • Сообщения о Ортопедия и травматология
  • Также Anton Vladzymyrskyy
  • Связаться с автором
  • Ответить

    Re: вертлужная впадина
    Алексей Семенистый 03 Октябрь 2006, 22:23
    Почему внутритазовый? Можно и из заднего доступа. Перелом достаточно простой.
    С уважением А.Семенистый
    [ Ответить ]

    Re: вертлужная впадина
    Evgueny Tchekashkine 03 Октябрь 2006, 22:24
    Антон,
    здравствуйте,

    На показанных снимках повреждение правого КПС не очень заметно...
    У меня создалось впечатление( одна из РГ), что участок суставной поверхности нагрузочной зоны вертлужной впадины вдавлен( постарайтесь сделать КТ). Если это подтвердиться, то из внутритазового доступа отрепонировать будет невозможно.
    Чтобы уменьшить риск инфекции после открытой репозиции перед основным вмешательством неплохо было бы дождаться полного заживления стержневых
    проколов.

    Успехов,
    Евгений
    [ Ответить ]

    Re: вертлужная впадина
    Maxim Agalakov 03 Октябрь 2006, 22:57
    > перелом правой вертлужной впадины, центральный вывих правого бедра

    скорее задний тип

    > разрыв правого крестцово-подвздошного сустава.

    в этой ситуации не требует фиксации

    > области свода вертлужной впадины предполагается демонтаж аппарата

    в ближайшее время лучше выкрутить стержень из вертлужной области

    > Вопрос: другие возможные тактические и технические варианты ?

    классики жара рекомендуют Кохера с Лангенбеком, пара ссылок по доступам

    http://odoc.ru/article.php?name=article_7
    http://odoc.ru/article.php?name=article_6
    [ Ответить ]


    ( Ответить )

    Powered by Zope  Squishdot Powered MedLink
    Посетитель: 0056649
      "По форме правильно, а по существу - издевательство" В.И.Ленин
    ©2001-2019Orthoforum Coordinator.
    [ Главная | Отправить сообщение | Поиск | Админ ]