AOTRAUMA.ORG Центр Илизарова  

Ортопедия и травматология Общие вопросы/General questions Help Информационные технологии в медицине
 вверх
 отправить
 поиск
 админ
 главная


Боли в стопе
Ортопедия и травматология Отправлено Maxim Agalakov 29 Сентябрь 2006, 19:25
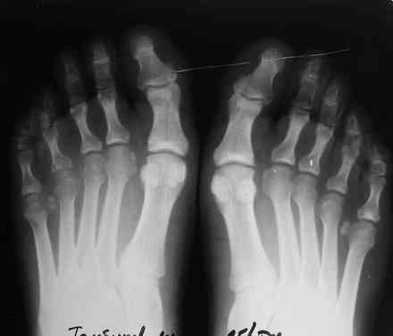
Уважаемые коллеги. Помогите определиться с диагнозом. Мужчина 28 лет обратился с жалобами на боль в правой стопе, усиливающиеся с утра "пока не расходишься".
Боль беспокоит на протяжении 4 мес, Имеется незначительная припухлость. болезненность при пальпации головок 4,5 плюсневых костей справа, кожа не измененена. Лабораторные данные в пределах нормы, хронических инфекций нет. рентгенологически имеется остеопороз головок 4,5 плюсневых костей справа.

<  |  >

 

  • Сообщения о Ортопедия и травматология
  • Также Maxim Agalakov
  • Связаться с автором
  • Ответить

    Re: Боли в стопе
    Николай Корышков 01 Октябрь 2006, 00:25
    Привет, Максим!
    В анамнезе целесообразно уточнить характер болей, их локализацию до формирования стойких проявлений на стопе, периодичность и причину возникновения еще более 4-х месяцев назад.Характер трудовой деятельности или спортивных увлечений пациента. Не было ли радикулита, ишиаса. Это первое.
    Кроме того, целесообразно дообследовать рентгенологически еще поясничный отдел позвоночника, при обнаружении признаков остеоартроза + анамнез= туннельные синдромы на стопе формируются втрое чаще, чем без этой отягощенности.
    Хорошо, что есть рентгенограммы, но нужны еще 3/4.
    Кроме того, есть смысл выполнить УЗИ сосудов и соединительнотканных образований стопы. Посмотреть пациента вместе с неврологом.Это второе.
    В отношении возможных диагнозов поговорить можно по получении этих данных.












    [ Ответить ]

    • Re: Боли в стопе
      Отправитель: Maxim Agalakov 01 Октябрь 2006, 23:29
      > В анамнезе целесообразно уточнить характер болей, их локализацию
      > до формирования стойких проявлений на стопе, периодичность и причину
      > возникновения еще более 4-х месяцев назад.


      Боли возникли, что называется, на ровном месте, не иррадиируют, возникают только при давлении на головки 4,5 плюсневых. Беспокоят каждый день, больше с утра.

      > Характер трудовой
      > деятельности
      не связана с физичесмкими нагрузками
      > или спортивных увлечений пациента.


      отсутствуют

      > Не было ли радикулита, ишиаса. Это первое.
      не было, неврологических проявлений нет
      > Кроме того, целесообразно дообследовать рентгенологически еще
      > поясничный отдел позвоночника, при обнаружении признаков
      > остеоартроза + анамнез= туннельные синдромы на стопе формируются
      > втрое чаще, чем без этой отягощенности.


      анамнеза по остеоартрозу нет, даже если обнаружить признаки артроза - не факт, что боли будут связаны с ним. Туннельные синдромы сочетаются с неврологическими нарушениями, наколькр помню

      > Хорошо, что есть рентгенограммы, но нужны еще 3/4.

      что именно на них смотреть?

      [ Ответить ]
    Re: Боли в стопе
    Ramil 01 Октябрь 2006, 23:50
    Здравствуйте Максим! Вполне возможно, что это остеохондропатия по типу болезни Келлера 2 в начальной стадии.
    [ Ответить ]

    • Re: Боли в стопе
      Отправитель: Maxim Agalakov 03 Октябрь 2006, 12:04
      там же вроде II -III плюсневые поражаются, чаще у молодых женщин.

      [ Ответить ]
    Re: Боли в стопе
    Зинчук 03 Октябрь 2006, 11:52
    А чуствительность в зоне дерматома S1 справа проверяли? Плюсневые кости и фаланги зона склеротома S1...

    [ Ответить ]

    Re: Боли в стопе
    Evgueny Tchekashkine 04 Октябрь 2006, 21:46
    Максим, Здравствуйте,

    -Симметричное поражение
    -мелкие суставы стоп/кистей
    - утренняя скованность
    очень напоминает ревматоидный полиартрит, направьте к ревматологам. как ортопеду причин для вмешательств пока нет.

    С наилучшими пожеланиями,
    Евгений
    [ Ответить ]

    • Re: Боли в стопе
      Отправитель: Maxim Agalakov 04 Октябрь 2006, 21:48
      > -Симметричное поражение

      в том то и дело, что асимметричное, только головки 4,5 справа, все остальное не беспокоит

      > -мелкие суставы стоп/кистей
      > - утренняя скованность


      не скованность, боль при нагрузке, Ревматологами уже обследован с головы до ног.


      [ Ответить ]
    Re: Боли в стопе
    Виктор 06 Октябрь 2006, 06:31
    Максим. Это может быть одно из заболеваний из группы патологий серонегативного спондилеартрита. Кроме того надо исключить Мортоновскую стопу.

    Будут вопросы отвечу подробно. С подобными больными сталкиваюсь часто. И что удивительно, ревматологи в диагностике помогают мало, приходится разбираться самостоятельно.

    Виктор.
    [ Ответить ]

    • Re: Боли в стопе
      Отправитель: Дмитрий 27 Октябрь 2006, 18:36
      Острые боли в стопе появились на ровном месте. Соглашусь с Виктором. Очень уж похоже на неврому Мортона. Попробуйте в этом направлении. С такой патологией сталкиваюсь, но редко. Виктор, а как вы лечите данную патологию, ответьте пожалуйста.

      [ Ответить ]

     

    ( Ответить )

    Powered by Zope  Squishdot Powered MedLink
    Посетитель: 0028764
      "По форме правильно, а по существу - издевательство" В.И.Ленин
    ©2001-2019Orthoforum Coordinator.
    [ Главная | Отправить сообщение | Поиск | Админ ]